Paciente masculino de 71 años, diabético, postoperado de cáncer esofágico, el cual cursó con evolución postquirúrgica tórpida, con manejo prolongado en UCI por múltiples complicaciones sistémicas, entre ellas, cuadro neumónico pulmonar que evolucionó a empiema necessitatis. El derrame paraneumónico es una complicación con prevalencia de 40%. Puede complicarse hasta la generación de empiema. Cuando éste se extiende a través de la pleura parietal hacia tejido circundante, formando un trayecto fistuloso y una masa en el tejido extra pleural se denomina “empiema necessitatis”1 (EN). La incidencia actual de EN es rara. Fue descrito por Guillan de Baillon en 1640. La mayoría de los casos reportados son secundarios a infección2 por Mycobacterium tuberculosis, Actinomyces israelii, S. pneumoniae, E. coli, Pseudomonas, Aspergillus, anaerobios y menos frecuente por Staphylococcus aureus. Los factores de riesgo3 son: pacientes inmunocomprometidos con diabetes mellitus tipo 2, alcoholismo crónico, enfermedad pulmonar obstructiva crónica (EPOC) y caquexia. Los estudios de imagen y el cultivo son las herramientas de elección para el diagnóstico; la tomografía es primordial en el diagnóstico. El tratamiento incluye: inicio temprano de antibiótico de amplio espectro, por tres o cuatro semanas y drenaje percutáneo o quirúrgico.4 Debido a la rareza actual del EN no hay reportes de defunciones en la literatura médica mundial, lo que indica una adecuada respuesta al tratamiento.

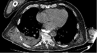
Figura 1: Imagen de tomografía de tórax en proyección axial con ventana de tejidos blandos a nivel de la silueta cardiaca. Se observa en cavidad pleural posterior y derecha, zona heterogénea en densidad con burbujas aisladas que se extiende a través de la pared torácica, condicionando pérdida del plano graso entre la cavidad pleural y la pared del tórax y desplazando lateralmente el músculo dorsal ancho (compárese con el lado contralateral). Diagnóstico: empiema necessitatis.










nueva página del texto (beta)


