Introducción
La atresia de la vía biliar (AVB) se origina como consecuencia de una fibrosis y obliteración progresiva de las vías biliares intra y extrahepática, de la cual hasta el momento se desconoce la causa específica. Esta entidad se considera la causa principal de cirrosis y de hepatopatía mortal durante el primer año de vida, así como la indicación más frecuente de trasplante hepático en niños.1 La AVB es un término impreciso, ya que deberíamos referirnos a ella como una colangiopatía obliterante progresiva que puede afectar tanto la vía intrahepática como extrahepática.2 La AVB es la primera causa de colestasis neonatal en series nacionales e internacionales. Se presenta con datos de ictericia tardía que inician a la segunda semana de vida, con signos de obstrucción biliar como acolia y coluria, así como hepatomegalia, la cual se considera el signo más precoz y constante.3
La atresia de vía biliar se clasifica en 90% de los casos en adquirida, perinatal y no sindromática; 10% en sindromática o embrionaria.4 La frecuencia de la atresia de vía biliar en México varía de 1 en 10,000 a 1 en 16,700 nacidos vivos; predomina levemente en mujeres: 1.4-1.7:1 en hombres.5 En EUA se considera la hepatopatía crónica más frecuente en niños con una incidencia calculada de 1:8 a 12 mil nacidos vivos.6
Los hallazgos de laboratorio incluyen el incremento de la bilirrubina total a expensas de bilirrubina directa, elevación moderada de transaminasas, gamma-glutamil transpeptidasa elevada, fosfatasa alcalina usualmente elevada, albúmina y glucemia normales; triglicéridos y colesterol están habitualmente normales y la función hepática normal.7
El USG de vía biliar es una prueba diagnóstica que permite diferenciar la atresia de vía biliar de otras causas de colestasis. Este estudio valora la ausencia o hipoplasia de vesícula biliar y el signo de la cuerda triangular (S:85% y E:100%). El gamagrama hepatobiliar con ácido diisopropil iminodiacético marcado con TC99 confirma la presencia de conductos biliares y excluye la existencia de atresia de vía biliar. La ausencia de excreción no necesariamente confirma la presencia de este proceso, como puede ocurrir en el caso de una hepatitis neonatal. La sensibilidad de esta prueba es aproximadamente de 82%, con una especificidad de 91%.8
La biopsia hepática permite confirmar el diagnóstico en 97-98% de los casos. En ella, los hallazgos más típicos son proliferación de los conductos biliares, fibrosis portal y estasis biliar canalicular. En los casos precoces es posible observar escasos conductos biliares en lugar de proliferación, por lo que ante la sospecha clínica se recomienda realizar biopsias seriadas.3
Estudios sobre la historia natural de AVB demuestran que sin cirugía 90% de los pacientes muere antes de los tres años (promedio 19 meses). Desde la introducción de la cirugía de Kasai, la sobrevida a cinco años se incrementó gradualmente de 30 a 75%, misma que se modifica con la presencia de complicaciones frecuentes como la colangitis ascendente (70-90%), hipertensión portal progresiva y sangrado de várices esofágicas.9
Presentación de caso clínico
Lactante femenino de 99 días de vida, quien cuenta con los siguientes antecedentes de importancia: producto de la gesta 2 a las 38 SDG. Nacimiento por cesárea por miomatosis uterina, la madre no recibe inmunizaciones durante el embarazo, no se realiza TORCH, HIV y reporte de VDRL negativo. Peso al nacimiento de 3 kg, talla 50 cm, APGAR 9/9 sin complicaciones al nacimiento. Esquema básico de vacunación completo para la edad, actualmente alimentada al seno materno. Diagnóstico reciente de alergia a proteína de leche de vaca y enfermedad por reflujo gastroesofágico en tratamiento. Una semana previa se indica manejo para ictericia con fenobarbital y ácido urodesoxicólico.
Inicia su padecimiento actual a los siete días de nacimiento, presentando tinte ictérico generalizado. Se diagnostica por facultativo con ictericia neonatal fisiológica recomendando baños de sol. Refiere la madre mejoría parcial sin remisión completa de la ictericia.
Acude nuevamente con facultativo a los 70 días de vida refiriendo persistencia de ictericia, acolia y coluria, motivo por el cual solicita los siguientes estudios de laboratorio BT 9.6 mg/dL, BD 1 mg/dL, BI 8.6 mg/dL. Con estos resultados se repiten estudios que reportan BT 7.2 mg/dL BD 4.28 mg/dL BI 2.97 mg/dL. Continuando con el abordaje, se solicita gamagrama hepatobiliar en el cual no se observa paso de radiofármaco a conductos biliares e intestino, razón por la que se ingresa al servicio con diagnóstico de síndrome colestásico en estudio.
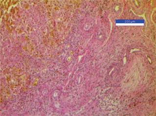
En la exploración física con TA 80/40 mmHg, FC 115 lpm, FR 36 rpm, T 37 oC, SatO2 92%, Peso 5 kg, Talla 59 cm. Se observa tinte ictérico en conjuntivas, mucosas y piel (Kramer 3), hepatomegalia de 4 × 4 × 4 cm, resto de la exploración sin alteraciones. Se solicitan laboratorios a su ingreso reportando BT 7.2 mg/dL, BD 4.28 mg/dL, BI 2.92 mg/dL, TGP 128 mg/dL, TGO 216 mg/dL, FA 1198 mg/dL, GGT 680 mg/dL y DHL 259 mg/dL. Se ingresa a quirófano para realización de laparotomía exploradora con toma de biopsia, con diagnóstico de ictericia progresiva y síndrome colestásico tardío. Durante la cirugía se observa hígado con cirrosis moderada y remanente de vía biliar, por lo que se realiza derivación portoentérica. Estudio histopatológico de hígado y remanente de árbol biliar extrahepático reportando colestasis y fibrosis extensa (estadio III/IV) secundaria a atresia de vía biliar extrahepática con conductos menores a 100 micras de diámetro (Figura 1).
Comentario
La atresia de vía biliar es una entidad clínica descrita por Thompson en 1892 y reconocida desde 1953 por Gross como la causa de ictericia neonatal de tipo obstructivo más frecuente. Representa un gran reto clínico, no sólo para el pediatra sino también para el médico de primer contacto, pues la importancia de su evolución y pronóstico dependerán del momento en el que se realice el diagnóstico. Distintas series establecen que cuanto más tarde se realice la derivación portoentérica o cirugía de Kasai, existe mayor riesgo de progresión a fibrosis en comparación con pacientes que reciben diagnóstico y tratamiento de forma oportuna.5
Diversos estudios han evidenciado que el diagnóstico precoz (< 60 días de vida) ha reportado menor grado de fibrosis en comparación con aquellos intervenidos quirúrgicamente entre 60-90 días de vida, en los cuales se encuentra la mayor incidencia de casos con fibrosis y cirrosis.10 La mayoría de los autores coinciden en que no existe un estudio que por sí solo confirme el diagnóstico de AVB, por lo que es indispensable realizar estudios serológicos y de imagen en conjunto para corroborar el diagnóstico clínico.3 Debe tenerse una alta sospecha de síndrome colestásico en todo paciente lactante que presente ictericia, acolia y hepatomegalia.7 El abordaje inicial ante un paciente con ictericia prolongada (> 15 días) es confirmar la presencia de colestasis para descartar otros cuadros que cursan con hiperbilirrubinemia indirecta. El ultrasonido hepatobiliar es una prueba no invasiva de gran utilidad, la cual permite diferenciar entre una colestasis intrahepática y extrahepática.11 También puede observarse un dato altamente sugestivo de AVB conocido como "la cuerda triangular", el cual representa un cono de fibrosis a nivel portal con una sensibilidad de 85% y especificidad de 100%, respectivamente.8
El gammagrama hepatobiliar (sensibilidad 82% y especificidad 91%) y colangiografía no han demostrado ser mejores que el ultrasonido de vía biliar, puesto que tienen varias limitantes, entre ellas su disponibilidad.3 De acuerdo con los hallazgos ultrasonográficos, debe realizarse una cirugía de forma temprana para restablecer el flujo biliar y prevenir el desarrollo de cirrosis y disfunción hepática.12 Con la finalidad de mejorar el pronóstico del paciente a largo plazo, se obtienen resultados óptimos si se realiza la corrección quirúrgica antes de los 2 meses de vida, siendo el momento ideal antes de 45 días de vida.3 El diagnóstico definitivo se realiza mediante la toma de biopsia seriada.8 La histología es de suma importancia para el pronóstico, ya que se ha reportado el beneficio de ductos > 300 micras para una evolución favorable.10
El seguimiento del paciente postoperado deberá estar encaminado hacia el mantenimiento de los niveles de bilirrubina adecuados, puesto que ésta se considera un predictor evolutivo cuando se encuentra dentro de los parámetros normales posteriores a la derivación portoentérica a largo plazo. Se reporta una tasa de supervivencia de 5 años en 75% de los pacientes postoperados de Kasai.13










nueva página del texto (beta)



