INTRODUCCIÓN
El término impactación dental hace referencia a aquel diente con tres cuartos de formación radicular que no ha erupcionado en la cavidad oral en la cronología esperada, generando una alteración en la secuencia eruptiva1. La impactación del incisivo central superior permanente es de baja prevalencia, varía entre 0.05% a 3-4% a nivel mundial2 y generalmente ocurre en la primera fase de dentición mixta1. Tiene como ventaja que puede ser diagnosticado fácilmente por los padres y/o tutores de los niños, debido a la ausencia notoria de éste en su arcada3. Sin embargo, cuando es detectada conlleva un gran impacto funcional, psicológico, social y por sobre todo estético para el paciente pediátrico1,2,4.
La etiología de la impactación del incisivo central superior permanente puede ser dividida en dos grupos: obstructiva o traumática. Dentro de las causas obstructivas se describe la presencia de supernumerarios, odontomas, lesiones patológicas, encía fibrótica, o falta de espacio como consecuencia de una compresión maxilar5,6, siendo los mesiodens la causa más común2. Por otra parte, el trauma dentario a temprana edad previo a la erupción de los dientes permanentes daña las células encargadas de la formación de la raíz de germen dentario no erupcionado, afectando su orientación y grado de desarrollo5, lo que puede dar lugar a dientes ectópicos, dilaceraciones y anquilosis1. Causas idiopáticas como anomalías de forma, descoordinación entre la rizálisis del diente deciduo y la erupción del diente sucesor y anquilosis, también son descritas en la etiología de la impactación de estos dientes6.
Como consecuencias de la impactación del incisivo central superior permanente, se describen la reducción del perímetro del arco con desplazamiento mesial de los dientes adyacentes, desviación de la línea media, lesiones en dientes vecinos, quistes e implicaciones estéticas y funcionales por la ausencia del diente anterior7. El abordaje terapéutico debe implicar la identificación de su causa y en este sentido realizar un adecuado y oportuno diagnóstico8 que debe ser complementado con la utilización de exámenes imagenológicos complementarios, tales como una ortopantomografía y/o una tomografía computarizada de haz cónico (Cone Beam Computarized Tomography o CBCT, por sus siglas en inglés) para verificar la presencia y posición del diente impactado, evaluar morfología y estructura del diente impactado y evaluación de obstáculos o lesiones patológicas. El CBCT es el elemento más preciso para determinar un plan de tratamiento para la impactación dental. Proporciona información más precisa de la ubicación y relación dental con respecto a estructuras adyacentes1,9.
Dentro de las opciones de tratamiento para los incisivos maxilares impactados, se describe la creación de espacio espontáneo para la erupción, exposición quirúrgica y tracción ortodóncica o extracción del incisivo impactado seguida por rehabilitación prostodóntica. La tracción ortodóncica se ha reportado como aquel tratamiento con resultados más favorables tanto estética como funcionalmente3,4. La exposición quirúrgica de un diente impactado puede realizarse mediante una técnica abierta o cerrada. Se ha discutido que una técnica abierta podría presentar inconvenientes estéticos por la cicatrización de los tejidos blandos y el contorno gingival que podría quedar irregular. La técnica de exposición quirúrgica cerrada se realiza mediante la cementación de un botón para luego cubrir nuevamente el diente y así idealmente permitir que el tejido gingival no se vea afectado, sin embargo, podría presentar inconvenientes como posible anquilosis, un movimiento más lento y una mecánica de ortodoncia más difícil de realizar10.
El propósito de esta presentación es exponer dos casos de pacientes en dentición mixta primera fase, los cuales fueron parte de un tratamiento ortodóncico-quirúrgico mediante tracción y control de torque de un incisivo central superior permanente ectópico e impactado, causado por un diente supernumerario.
PRESENTACIÓN DE CASOS CLÍNICOS
CASO 1
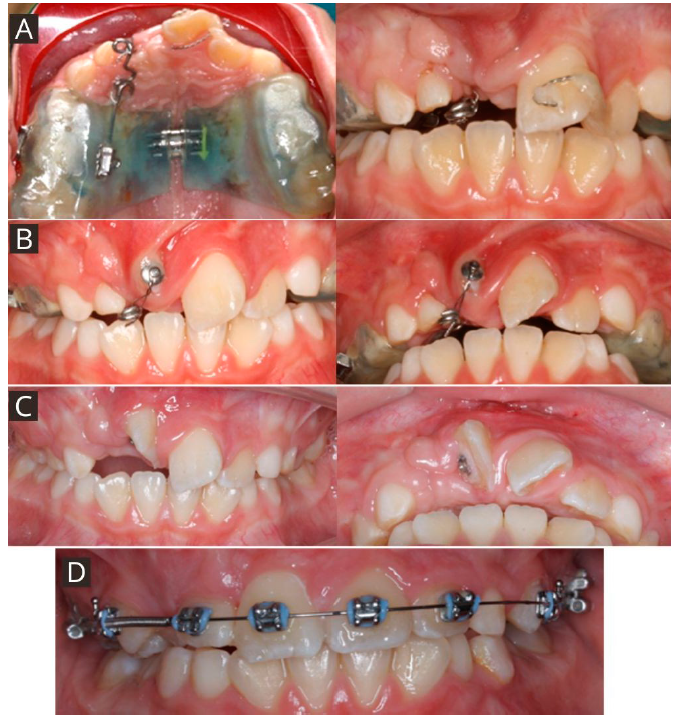
Paciente de género femenino de 9 años de edad, sin antecedentes mórbidos, perfil convexo, clase II esqueletal. En el análisis intraoral se observó dentición mixta primera fase, ausencia del diente 21, neutroclusión molar bilateral, discrepancia óseo-dentoalveolar moderada superior y severa inferior, relación transversal favorable, línea media dentaria superior desviada un milímetro a la izquierda respecto a la línea facial y la línea media dentaria inferior centrada con la línea media facial (Figura 1. A-D). En el análisis con CBCT, realizado con el software Nemotec® se observó el diente 21 en evolución intraósea en una posición alta, horizontal y paralelo al plano oclusal, con formación radicular incompleta, con una distancia de 26.39 milímetros al borde incisal del incisivo central contralateral, y asociado a este se encontró un diente supernumerario en posición alta en relación con el piso de fosas nasales, de forma coronaria cónica ubicado hacia palatino (Figura 2. A-B). En la primera fase de tratamiento, se inició por la desinclusión del diente supernumerario y luego se abordó el diente 21 mediante una exposición quirúrgica cerrada realizada por un cirujano maxilofacial, en el mismo acto quirúrgico se instaló un botón vestibular y uno palatino de refuerzo con ligadura de acero inoxidable de 0.9 Ferderhard (FH) para la tracción. Se realizó instalación de biteblock céntrico, el cual consistió en un dispositivo interoclusal cementado confeccionado en articulador digital para mantener la funcionalidad masticatoria y evitar contactos prematuros, y que tiene un botón central para otorgar rigidez que fue activado ¼ de vuelta a diario por 12 días. Desde este botón se confeccionó un brazo de tracción en alambre de acero inoxidable de calibre 0.8 FH, realizando la activación de la tracción 15 días posterior a la cirugía cada cuatro semanas, dejando la encía del reborde marginal levemente isquémica con una fuerza de aproximadamente 50 gramos (Medidor de tensión VTSYIQI model ATG-500-2 ®) (Figura 3. A-B).

Figura 1 Fotografías iniciales. A. Extraoral frontal. B. Extraoral de perfil. C. Intraoral frontal. D. Intraoral oclusal superior.

Figura 2 Representación tridimensional de posición inicial de diente 21 evaluado en CBCT. A. Vista frontal. B. Vista axial.

Figura 3 Fotografías durante el tratamiento. A. Instalación Bite block céntrico con brazo de tracción. B. Activación de brazo de tracción. C. Control a las 4 semanas de tracción. D. Control a las 8 semanas de tracción. E. Instalación de aparatología fija 2x4 para alineación del grupo incisivo superior.
Al control de cuatro semanas se observó exposición de un tercio coronario del diente 21 (Figura 3. C), y en el control de 8 semanas ya se tenía una evolución favorable con exposición de la cara vestibular casi completa del diente 21 (Figura 3. D). En la semana 8 se realizó el retiro del biteblock céntrico, se instaló aparatología fija autoligante prescripción cco 2x4 para una mejor alineación del grupo incisivo superior con una secuencia de arco NiTi termoactivado 0.014” - 0.016” - 0.018” - 0.017” x 0.025” y luego arco de acero 0.019” x 0.025” (Figura 3. E). Durante la tracción solo se utilizó el botón vestibular para generar un vector de fuerza más favorable con sentido posteroinferior y así mejorar el pronóstico periodontal del diente 21.
CASO 2
Paciente de género masculino de 8 años de edad, sin antecedentes mórbidos. Perfil convexo, clase II esqueletal. En el análisis intraoral se observó dentición mixta primera fase, diente parcialmente erupcionado en zona de diente 11, diente 21 mesiorotado, distoclusión molar bilateral, discrepancia óseo-dentoalveolar severa superior y moderada inferior, relación transversal desfavorable, líneas medias dentarias centradas (Figura 4. A-D). En el análisis con CBCT, realizado con el software Nemotec ® se observó el diente 11 en evolución intraósea en una posición alta, perpendicular al plano oclusal con formación radicular incompleta, ubicado hacia vestibular, con una distancia de 19.57 milímetros al borde incisal del incisivo central contralateral, y la presencia de un diente supernumerario parcialmente erupcionado, de forma coronaria cónica en zona del diente 11 (Figura 5. A-B).

Figura 4 Fotografías iniciales. A. Extraoral frontal. B. Extraoral de perfil. C. Intraoral frontal. D. Intraoral oclusal superior.

Figura 5 Imágenes tomográficas. A. Corte sagital inicial de diente 11 evaluado en CBCT. B. Representación tridimensional de posición inicial de diente 11 evaluado en CBCT, vista frontal.
El abordaje quirúrgico del diente 11 se realizó con exposición quirúrgica cerrada llevada a cabo por un cirujano maxilofacial y en el acto quirúrgico se instalaron un botón vestibular y uno palatino de refuerzo con ligadura de acero inoxidable de 0.9 FH para la tracción. Se realizó la desinclusión del supernumerario previo a la cirugía de exposición dentaria. Se realizó la instalación de disyuntor McNamara con extensión palatina acrílica, brazo de tracción palatino con alambre 0.9 FH y tornillo central simple con ¼ de activación diaria por 20 días para lograr una expansión de 5 milímetros (Figura 6. A). Se agregaron tubos vestibular y palatino en el disyuntor para un eventual cantilever de titanio beta molibdeno (TMA). Se empleó disyunción maxilar acorde a lo planificado y 15 días posterior a la cirugía se activó el brazo de tracción palatino con una fuerza de 50 gramos (Medidor de tensión VTSYIQI model ATG-500-2 ®) aproximadamente cada cuatro semanas, dejando la encía del reborde marginal levemente isquémica.

Figura 6 Fotografías clínicas de seguimiento. A. Instalación de disyuntor McNamara con extensión palatina acrílica, brazo de tracción palatino con alambre 0.9 FH y tornillo central simple. B. Control a las 20 semanas de tracción. C. Control a las 28 semanas de tracción. D. Instalación de aparatología fija para la alineación y nivelación del grupo incisivo superior.
A las 20 semanas se observó exposición de botón vestibular del diente 11 (Figura 6. B), retirando a las 28 semanas el disyuntor (Figura 6. C) e instalando aparatología fija para la alineación y nivelación del grupo incisivo superior, donde se realizó la misma secuencia del primer caso: brackets autoligantes prescripción cco 2x4 para una mejor alineación del grupo incisivo superior con una secuencia de arco NiTi termoactivado 0.014” - 0.016” - 0.018” - 0.017” x 0.025” y luego arco de acero 0.019” x 0.025”. Como refleja la Figura 6. D fue posible observar la evolución de 1 año de tratamiento con aparatología fija. Durante la tracción se utilizó solo el botón vestibular para generar un vector de fuerza más favorable con sentido posteroinferior y así, mejorar el pronóstico periodontal del diente 11. No se utilizaron los tubos añadidos al disyuntor.
Los resultados obtenidos son favorables para ambos casos descritos. Respecto al caso número uno, en el control tomográfico el diente 21 presenta un soporte periodontal favorable, paralelismo radicular y proporción corono radicular 1:1 (Figura 7. A-B). Respecto al caso número dos, en el control tomográfico, el diente 11 presenta una posición adecuada en la arcada, una longitud radicular disminuida y un soporte periodontal con pronóstico reservado (Figura 8. A-B). Ambos casos clínicamente presentan un posicionamiento adecuado en el arco y no presentaron defectos mucogingivales posterior a la tracción.

Figura 7 Imágenes tomográficas. A. Evaluación inicial de diente 21 en CBCT, corte sagital. B. Evaluación final de diente 21 en CBCT, corte sagital.
DISCUSIÓN
Diversos estudios mencionan que el tratamiento para los incisivos impactados por obstrucción consiste primordialmente en la eliminación del agente que obstruye la vía de erupción del diente afectado11. Tras la eliminación de la obstrucción, Prillaman et al.12 sugieren que, si la ubicación del diente no erupcionado es favorable, se anticiparía una erupción espontánea, la cual se describe como posible mediante la creación de espacio en la arcada.
Leyland et al.13 observaron que, si la obstrucción es debido a un diente supernumerario, como lo es en los casos presentados, la edad recomendada para su extracción es entre los 8 y 9 años de edad, presentando una tasa de éxito en la erupción espontánea que fluctúa entre un 49-91%. Por otra parte, otros autores indican que, en casos de localización desfavorable, se recomienda un manejo ortodóncico-quirúrgico que consiste en la eliminación de la obstrucción, complementando con tracción ortodóncica1,3,14.
Los procedimientos ortodóncico-quirúrgicos se han reportado como la opción terapéutica con resultados más favorables tanto estéticos como funcionales15. Sin embargo, Jiang et al.4 discuten que puede existir riesgo de falla de tracción y falta de control del torque de los incisivos impactados, siendo este último un problema común cuando la fuerza de tracción es aplicada solo en un punto de los dientes impactados, es por esto que es fundamental la planificación biomecánica del vector de tracción ortodóncica4,16. En casos donde se realice la eliminación de la obstrucción sin tracción ortodóncica coadyuvante, existe un aumento significativo de la duración total del tratamiento y una disminución, a su vez, en la efectividad del mismo1. Se ha demostrado que las posibilidades de erupción de un diente impactado aumentan al 90% cuando la exposición quirúrgica es combinada con tracción ortodóncica9.
Se ha descrito ampliamente que el tratamiento ortodóncico-quirúrgico de los dientes impactados es relativamente largo. La fase de tracción de los casos expuestos fue eficiente, con una duración aproximada de 5 meses, a diferencia de lo postulado por Chaushu et al.5 que fue aproximadamente 8 +/- 4.5 meses, lo que también se ha evidenciado que el tiempo de tratamiento tiene relación a la altura que tiene el diente impactado, si la raíz presenta o no dislaceraciones y la posición inversa en la que se encuentre, tal como se presenta en ambos casos9,17. Son preferibles abordajes tempranos cuando se presentan dientes impactados, ya que un retraso puede implicar alteraciones secundarias como dilaceraciones, anquilosis de los dientes afectados o reabsorciones radiculares de la dentición adyacente1. Para ponderar el pronóstico de la tracción ortodóncica, se deben tomar en cuenta factores como la edad del paciente, espacio disponible, grado de desarrollo radicular, posición y angulación del diente impactado, relación con los dientes adyacentes, grado de percepción del problema tanto por parte del paciente como de su apoderado y la cooperación del paciente durante el tratamiento2,8.
En ambos casos descritos el incisivo impactado se incorporó con éxito a la arcada sin secuelas endodónticas y mucogingivales. El vector de tracción debe ser idealmente en diagonal hacia abajo y palatino, como en los casos expuestos; lo que permitió que los dientes impactados erupcionen con encía adherida, favoreciendo su pronóstico periodontal, sin la necesidad de cirugía complementaria de tejidos blandos, debido a que se ha demostrado que cuando se prevalece mantener tejido conectivo en la superficie vestibular se obtiene un borde gingival estético en los incisivos simétricamente10. Además, el espacio disponible para la alineación de los dientes fue suficiente para que el incisivo central permanente superior lograra su posición anatómica en la arcada, siendo necesario en uno de los casos una disyunción maxilar para aumentar el perímetro de la arcada. La edad de ambos pacientes fue la óptima para eliminar el supernumerario sin presentar complicaciones.
Por último, la frecuencia, magnitud y sentido de la fuerza aplicada en la tracción del diente fue importante ya que fue controlada con una activación cada cuatro semanas con 50 gramos. Es esencial definir estos puntos desde el inicio del plan de tratamiento, para así optimizar el movimiento dentario que se espera realizar en el diente impactado y lograr un buen pronóstico.
CONCLUSIONES
La impactación del incisivo central permanente representa un desafío en la práctica ortodóntica, requiere de un diagnóstico acertado y oportuno, lo que permite que el ortodoncista se enfoque en lograr un adecuado plan de tratamiento. El abordaje temprano en pacientes que presentan dientes impactados nos ayuda a evitar que se puedan presentar complicaciones secundarias capaces de comprometer en un mayor grado el pronóstico de nuestros pacientes.
Para la obtención de resultados favorables es necesario una evaluación que contemple todos los factores tanto locales como generales presentados por el paciente, y asegurando que la tracción sea realizada mediante fuerzas controladas y en la dirección adecuada, junto con seguimientos clínicos e imagenológicos a corto, mediano y largo plazo.










texto en 



