INTRODUCCIÓN
Las lesiones traumáticas de los dientes y sus tejidos de soporte suelen ocurrir en personas jóvenes de entre 6 y 13 años, con daños que van desde la fractura del esmalte hasta la avulsión, con o sin compromiso pulpar o fractura ósea1. La fractura corona-raíz comprende el 5% de todas las lesiones traumáticas, resultantes de un impacto horizontal y que involucran al esmalte, la dentina y el cemento2. Los dientes anteriores maxilares son los más afectados y el 80% de ellos son incisivos centrales maxilares1. El tratamiento para las fracturas dentales depende del nivel de la línea de fractura y de la cantidad de estructura dental remanente. Estas fracturas se pueden tratar a través del alargamiento de corona clínica mediante un procedimiento quirúrgico o bien la extrusión forzada3. Ambas tienen el objetivo de obtener una cantidad de diente adecuada para su rehabilitación.
En casos de fractura dental hay aspectos que se deben tomar en cuenta, como la probabilidad de indicar un tratamiento endodóntico, tamaño de la futura restauración, requisito de poste de endodoncia, requisito de rehabilitación protésica, posición de la cresta ósea, longitud de la raíz, estado de los dientes adyacentes, higiene bucal, cumplimiento del paciente, costo4 y, en caso de premolares y molares evaluar la localización de la furca. Para restaurar dientes que tienen caries subgingivales o fracturas debajo de la inserción gingival, se necesita un procedimiento clínico de alargamiento de la corona para establecer el ancho biológico5. Esto es de gran importancia porque en el estudio de Carvalho et al.,6 se encontró una relación estadísticamente significativa entre sangrado al sondeo y recesión gingival en pacientes que presentaban defectos intraóseos por invasión del ancho biológico, lo que también puede estar relacionado con el grosor de la encía queratinizada.
Se prefiere la erupción forzada a la eliminación quirúrgica del hueso alveolar de soporte, ya que la erupción forzada conserva el ancho biológico, mantiene la estética y, al mismo tiempo, expone la estructura dental sana para la colocación de márgenes de restauración7. Biológicamente y cuando es posible, el tratamiento conservador representa siempre la mejor opción, en donde la selección correcta de materiales protésicos podría ser decisiva4. Este caso clínico presenta el manejo interdisciplinario de un diente fracturado subgingivalmente, en el cual se llevó a cabo la extrusión forzada con aparatología fija, tratamiento de conductos, restablecimiento del ancho biológico mediante cirugía periodontal (gingivectomía) y restauración final.
PRESENTACIÓN DEL CASO CLÍNICO
Paciente masculino de 21 años de edad que asistió a consulta dental para su rehabilitación. Durante el examen clínico intraoral se observó una buena higiene, sin presencia de lesiones sospechosas en mucosas. En el diente 11 se observó una fractura coronal no complicada, que se extendía por debajo del margen gingival, involucrando esmalte, dentina y cemento, de acuerdo con la guía de la Asociación Internacional de Traumatología Dental (IADT)8,9. Según lo expresado por el paciente durante el interrogatorio, la fractura es resultado de un accidente en bicicleta que tuvo a la edad de 11 años, así como fractura del diente 37 (no rehabilitable) y ausencia de diente 46 (Figura 1.A-B). Siguiendo la escala de severidad en rehabilitación descrita por Samet y Jotkowitz10, se estableció una Clase X para el diente 11, donde se valoraron la condición periodontal y soporte óseo alveolar, estructura dental sana remanente, condición endodóntica, plano oclusal y posición del diente. Al realizar interconsulta con periodoncia, ortodoncia y endodoncia se elaboró un plan de tratamiento integral, con la finalidad de mejorar el pronóstico en términos generales, pero sobre todo rehabilitar el diente 11 y alcanzar una Clase B acorde con Samet y Jotkowitz10.

Figura 1 Presentación del caso con finalización de tratamiento de ortodoncia. A. Radiografía inicial. B. Fotografía clínica inicial. C. Finalización del tratamiento de ortodoncia y colocación correcta del diente 11 en el arco dental.
Se inició el tratamiento con operatoria dental, retirando lesiones cariosas y obturando con resinas, para posteriormente canalizar a ortodoncia. Durante la fase de ortodoncia, se utilizaron brackets de autoligado pasivo con torque estándar, slot 0.22”. Se inició con arco Copper Ni-Ti 0.014”; para la segunda fase se utilizaron arcos Copper Ni-Ti 0.018” y 0.018” X 0.025”, y al final con arco TMA 0.019” x 0.025”. La elección de arcos se basó en las ventajas que presentan dichos arcos, como son fuerzas ligeras, continuas y controladas.
Para la extrusión del diente 11, primero se alinearon y conformaron los arcos dentales. Durante el procedimiento se colocó un open coil de Níquel Titanio para abrir el espacio de la extrusión. Durante la mecánica fue necesario iniciar con una tracción indirecta. Después de dos meses de tracción se refirió a endodoncia para posteriormente continuar con la tracción del diente, donde fue necesario ir recolocando el bracket para lograr la extrusión deseada. Se realizó una extrusión dental lenta, ya que por medio de ella se pretende llevar consigo el hueso alveolar, así como la altura de la inserción ósea a lo largo de la raíz y que sea aproximadamente la misma al inicio que al final11. El tratamiento endodóntico se efectuó con sistema rotatorio ProTaper e irrigación de hipoclorito de sodio (NaClO) al 5.25%; se colocó hidróxido de calcio (Ca(OH)2) por un periodo de siete días.
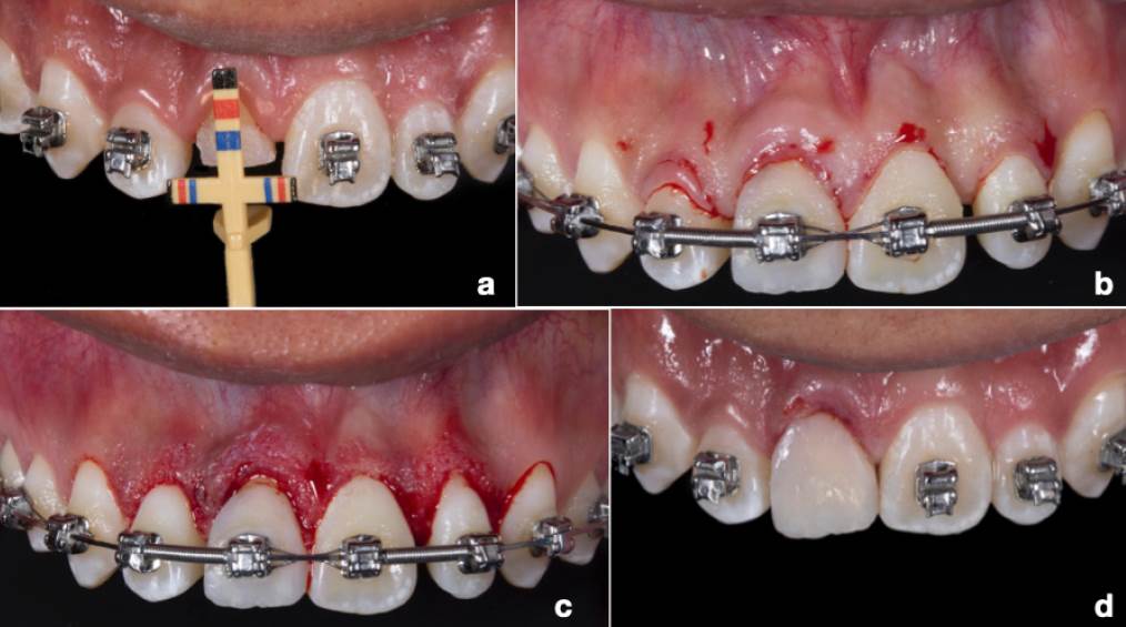
Después de una semana se obturó con gutapercha y se colocó una obturación temporal de más de 6mm durante una semana. Después del tratamiento de conductos, se realizó una reconstrucción temporal del diente, con la finalidad de continuar con la extrusión. Una vez lograda, se elaboró una mejor reconstrucción dental con el objetivo de mejorar la estética y sujeción. El resultado final de la extrusión fue de 2mm y se obtuvo después de 8 meses. Una vez que el diente se encontraba en la posición correcta dentro del arco dental (Figura 1.C) y antes de iniciar la rehabilitación post-endodóntica, se llevó a cabo una gingivectomía para eliminar el excedente de tejido blando post-extrusión e ir conformando el margen gingival de los dientes 11 y 12 (Figura 2.A-B).

Figura 2 Procedimiento periodontal y provisionalización. A. Mediciones pre-quirúrgicas. B. Remodelado gingival. C. Resina estratificada como provisional durante el tratamiento de ortodoncia. D. Colocación de provisional definitivo.
Después de 8 semanas de haber realizado la gingivectomía, se continuó con la rehabilitación post-endodóntica colocando un poste de fibra de vidrio (Kit Parapost Fiber Lux®, Coltène, Altstätten, Suiza), con reconstrucción de material resinoso de núcleos (ClearfilTM DC CORE PLUS, Kuraray Noritake Dental Inc., Okayama, Japón) y resina estratificada (ClearfilTM AP-X ES-2, Kuraray Noritake Dental Inc., Okayama, Japón) como provisional durante el tratamiento de ortodoncia (Figura 2.C) de acuerdo con la angulación de la raíz (Figura 2.D). En la Figura 3.A-B se muestran las radiografías tomadas antes y después del tratamiento. Por último, se continuó con la verticalización de la raíz del diente 11, así como la distribución mesio-distal de los espacios en la zona anterior, para la fase estética. Una vez que se alcanzaron las metas ortodónticas se refirió al paciente a rehabilitación bucal (Figura 3.C).

Figura 3 Avances del tratamiento. A. Radiografía final del tratamiento de conductos. B. Radiografía de la reconstrucción con estratificación temporal. C. Cicatrización del procedimiento quirúrgico. D. Toma de color de los núcleos
Se realizó la preparación de la corona del diente 11 con fresa de carburo y se realizó la hibridación dentinaria con técnica Resin Coatingn12 (ClearfilTM SE Bond Kit + ClearfilTM AP-X Esthetics Flow, Kuraray Noritake Dental Inc., Okayama, Japón) complementando las preparaciones para carillas de disilicato de litio (IPS e.max Press, Ivoclar Vivadent AG, Liechtenstein) de los dientes anteriores 12, 21 y 22, tomando color de núcleos (Figura 3.D) para la realización de las restauraciones (Figura 4.A). Para la cementación se realizó la reactivación del Resin coating con Óxido de Aluminio (Al2O3) a 50µm a 3.5 bar durante 5s con una distancia de 10mm13. Finalmente, se realizó la cementación con cemento largo plazo dual self-etch libre de aminas14 (PanaviaTM V5 Clear, Kuraray Noritake Dental Inc., Okayama, Japón) para garantizar la estabilidad de color transparente y compensar la atenuación del disilicato de litio en la pérdida de energía lumínica (Figura 4B-C).
DISCUSIÓN
Durante muchos años, el alargamiento de corona había sido el método más utilizado en dientes que presentaban fractura; sin embargo, este procedimiento quirúrgico suele provocar un contorno desigual del margen gingival en la región anterior. Como una alternativa, en la actualidad se han utilizado mini tornillos como Dispositivos de Anclaje Temporal para realizar movimientos dentales de ortodoncia, incluida la extrusión forzada15. La extrusión forzada es una técnica ortodóntica para extruir a un diente fuera de su alveolo a través del movimiento. Es un procedimiento que se parece mucho a la erupción natural del diente, logrando mantener una proporción corona-raíz de aproximadamente 1:1. Para realizar dicho procedimiento, se requiere una fuerza de 0.2-0.3 N con un movimiento de 2-4 mm para el incisivo central y 4-6 mm para el incisivo lateral. Para lograr una salud periodontal óptima, se ha recomendado conservar la distancia de 3-4 mm desde la cresta alveolar hasta la extensión coronal de la estructura dental remanente3.
Es importante resaltar que existen otras alternativas de tratamiento, dentro de las cuales podemos mencionar a los procedimientos quirúrgicos como la decorticación alveolar que en combinación con la terapia de ortodoncia reduce notablemente el tiempo de erupción forzada de los caninos impactados en el paladar16. Para la extrusión forzada de ortodoncia también se ha sugerido una inserción extracanal, que no compromete el espacio del canal obturado y puede ser una solución para la fractura de corona postraumática. El procedimiento descrito para la extrusión forzada mediante el uso de un accesorio de clavija extracanal es eficaz y conveniente, y no requiere que el médico aplique fuerza directamente a la corona provisional. Por lo tanto, hay menos riesgo de aflojar la corona provisional y el espacio del canal se mantiene intacto con la restauración final o el material del apósito17.
Varios autores han recomendado que la fuerza máxima para un movimiento lento no debe exceder los 30g, mientras que, para extrusiones rápidas, se aplican fuerzas superiores a 50g18,19. Después de un período de latencia de unos pocos días a unas semanas, incluido un período de hialinización, se produce una extrusión lenta a una velocidad de aproximadamente 1 mm o menos por semana. Brown & Welbury, reportan que en la práctica siempre hay algún movimiento del hueso circundante y del tejido gingival cuando se extruye el diente, pero tales cambios fueron menos prominentes cuando la extrusión se llevó a cabo con fuerzas ligeras y a una velocidad más lenta20.
De esta manera, en el caso clínico presentado se optó por la extrusión forzada, con el fin de preservar el ancho biológico y mejorar la remodelación de los tejidos ocasionada por la fuerza de tensión que se aplica al ligamento periodontal y hueso alveolar durante el movimiento de extrusión, induciendo así la aposición ósea. Estudios donde evaluaron la métrica del movimiento gingival asociado a la extrusión ortodóncica, indicaron que la encía libre y la encía adherida se movieron aproximadamente en un 80 - 90 % de la distancia total extruída. Esto dio como resultado estabilidad periodontal y la exposición de la estructura dentaria, para conseguir una buena restauración definitiva y preservar el diente con una buena estética21. Es importante que previo a la restauración definitiva, se debe retener la raíz en su nueva posición, para evitar recidivas20.
CONCLUSIONES
En nuestro caso clínico, se tomaron en cuenta factores como la edad del paciente, el diente involucrado (anterior maxilar) y la buena higiene bucal del paciente, mismos que permitieron la búsqueda de alternativas para lograr resultados estéticos y funcionales. Los procedimientos de ortodoncia, extrusión forzada, tratamiento de conductos, la colocación de poste endodóntico, gingivectomía y la restauración de la corona permitieron conservar al diente en condiciones óptimas, logrando así su estabilidad y salud periodontal. El trabajo interdisciplinario permite brindar más y mejores opciones de tratamiento a los pacientes, y aunque inicialmente se pueda pensar que son procedimientos prolongados y tediosos, a largo plazo terminan siendo una mejor opción para ellos.










texto en 



