Servicios Personalizados
Revista
Articulo
Indicadores
-
Citado por SciELO -
Accesos
Links relacionados
-
Similares en
SciELO
Compartir
Revista odontológica mexicana
versión impresa ISSN 1870-199X
Rev. Odont. Mex vol.22 no.2 Ciudad de México abr./jun. 2018
Literature review
Presence of the fourth molar. Literature review
* Graduate. National School of Dentistry, National University of Mexico (UNAM).
§ Full time professor, Head of Pharmacology subject. National School of Dentistry, National University of Mexico (UNAM).
II Maxillofacial and Oral Surgery Clinic, Graduate and Research School. National School of Dentistry, National University of Mexico (UNAM).
Fourth molars, also called distomolars, are a variant in shape and number appearing as alterations during odontogenesis. They can be eumorphic or dismorphic, single or multiple, erupted or impacted, unilateral or bilateral, and can appear in both jaws. They are of unknown etiology, but there are several theories to justify these tooth alterations such as dental lamina duplication, its horizontal proliferation or its hyperactivity. Other factors can be hereditary factors, full division of tooth bud or phylogenetic regression. Fourth molars are found in a very important space, and when their own existence or the suitable extraction techniques are unknown, severe complications can frequently occur during and after surgery. A literature review was undertaken, examining different articles and texts of different years, in order to better determine the origins and formation of this supernumerary tooth.
Key words: Fourth molar; supernumerary teeth; distomolar; syndrome
El cuarto molar, también llamado distomolar, es una variante de número y forma que se presenta como una alteración durante la odontogénesis, pueden ser eumórfico o dismórfico, único o múltiple, erupcionado o retenido, de forma unilateral o bilateral y se puede presentar en ambos maxilares. La etiología es desconocida, pero existen varias teorías que justifican el desarrollo de esta alteración dentaria como la duplicación de la lámina dental, su proliferación horizontal o hiperactividad de ésta; otros factores pueden ser los hereditarios, la división completa del germen dentario o regresión filogenética. El cuarto molar se encuentra en un espacio muy importante, que al desconocer su existencia o técnica adecuada para su extracción, las posibilidades de tener severas complicaciones transy postoperatorias son altas. Se realiza una revisión bibliográfica de diferentes artículos y textos en diferentes años para determinar de forma más clara el origen y formación de este diente supernumerario.
Palabras clave: Cuarto molar; dientes supernumerarios; distomolar; síndrome
Introduction
The process of dental development which leads to formation of teeth within bones is called odontogenesis (Figure 1).
Teeth develop from epithelial invaginations which normally start to form in the anterior portion of the jaws to then advance to a posterior direction. Although outlines possess a determined shape according to the tooth they are going to be the origin of, and possess their precise location in the jaw, all have a common development plan which takes place in a gradual manner.1,2
Supernumerary teeth are rare development alterations as a result of processes occurring during odontogenesis, they appear in all areas of dental arches, and can affect any sector of said arches. Since they normally are asymptomatic, they are usually detected through routine x ray examinations.3
History
Within the Homo classification (genre which groups all species considered human), dentition is of a heterodontic type, that is to say, exhibiting teeth of different morphology and function. Human dentition comprises four types of teeth: incisors, canines, premolars and molars. Teeth are of the utmost importance not only for mastication purposes, they are vital for phonetics and facial morphology.4
It is well known that cavemen possessed stronger and harder teeth than modern men, it is considered they possessed up to four molars since they mainly lived on raw and fibrous meat, roots and vegetables. Nevertheless, when primitive men began to master fire, among other things, they used it to cook food, making them softer and easier to ingest, and therefore, development of the jaws experienced a decrease.
Changes in mankind’s body tissues through evolution include teeth: their shape number volume and type of bite.5
In a research conducted at the Instituto Nacional de Antropologia e Historia (National Institute of Anthropology and History) it was reported that none of the specimens in the exposition exhibited fourth molars.4
Pompa and Padilla mention that Australopithecus men did not exhibit fourth molars (Figure 2).4
Marina Lozano, researcher at the Instituto Catalan de Paleocologia Humana y Evolucion Social (Catalan Institute of Human Paleocology and Social Evolution) (IPHS) and one of the authors of the article «History of Dentistry, Originis, Humanism and Culture» writes about the discovery of a male gender hominid (Figure 3) aged 4760-4200 years, with a fourth molar, who had been found at the collective sepulcher known as La Cueva el Mirador, in Atapuerca, (Burgos, Spain). The author reported that «in archeological populations there are very few published and studied examples of supernumerary molars».6
Fourth molar
Fourth molars, also called distomolars or retromolars due to their distal or posterior location with respect to third molars, are a variant in shape and number which might take place during odontogenesis.7
Fourth molars can be:
It can erupt or be retained or compacted, its eruption failure can be due to physical, dental bone or systemic origin factors.12,13 When these teeth are found in the upper jaw, the situation becomes critical due to the distal furcation of the third molar.7
In some instances fourth molars fuse to third molars, and appear as a tubercle appended to its crown in the distal-lingual area, it is then called distomolar tubercle, it can even be appended to the third molar roots such as the palatine root in the case described by Gay-Escoda, Berini, Duarte and Azevedo14,15(Figure 6).
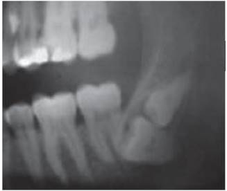
Fourth molars are formed and develop like any other teeth although in some instances it might not possess the same evolutionary moment as teeth in the area, they can erupt into the arch in a position very similar to that of a molar, or they can remain within the bone.16 They can be found in upper and lower jaws (Figures 7y8), they can be unilateral or bilateral, or they can even be found in both jaws.
When fourth molars appear bilaterally in both jaws (Figure 9) they can (or cannot) be associated to syndromes such as: cleidocranial dysplasia, Down’s syndrome, Leopard’ s syndrome, Gardner’ s syndrome, Ellis Van Creveld syndrome, facial orodigo disostosis, Crouson’ s syndrome, Hallerman Streiff syndrome, Sturge-Weber syndrome and cleft lip or palate among others. All the aforementioned syndromes exhibit in common the presence of facial cranial anomalies. Table I describes other examples.12,18,19,20
Table I Syndromes associated to supernumerary multiple teeth.21
| Syndrome | Genetics | Gene |
| Cleidocranial dysplasia | Chromosome 6p21, autosomal dominant | RUNX2 |
| Familiar adenomatous polyposis, including Gardner's syndrome | Chromosome 5q21-q22, autosomal dominant | APC |
| Type III Ehlers-Danlos | Chromosome 6p21.3 y 2q31, autosomal dominant | Tenascin-XB or COL3A1 |
| Nance-Horan syndrome | Chromosome Xp22.13, linked to dominant chromosome | NHS |
| Fabry's disease | Chromosome Xq22, linked to chromosome X | a-alactosidase A |
| Ellis-Van Creveld syndrome | Chromosome 4p16, automosal recessive | EVC or EVC2 |
| Trichorhino síndrome of the thumb | Chromosome 8q24.12, autosomal dominant | TRPS1 |
| Robinow Syndrome | Autosomal dominant or automosal recessive | ROR2 |
An association has been found between gene RUNX2 with development of cleidocranial dysplasia (CCD) as well as with supernumerary teeth. Nevertheless, development of supernumerary teeth in CCD patients has been delayed, in both primary and permanent dentitions, probably due to the incomplete dissolution of the dental lamina, giving thus rise to supernumerary teeth.21
Inactivation of gene APC or forced activation of signaling pathways Wnt/catenines β result in the formation of multiple supernumerary teeth in human beings and mice, nevertheless key genes in these pathways are still not very clear.21
It has been reported that 76%-86% of non syndromic cases exhibit only one supernumerary tooth, and 12%-23% of all cases exhibited two supernumerary teeth. Only 1% of non-syndromic cases presented multiple supernumerary teeth, which were more frequently found in the lower premolar area, followed by fourth molars and anterior regions respectively.22
Etiology
Etiology is yet unknown, since human dentition is composed of two dentitions and exhibits different morphology for each tooth group, number of teeth in each dentition and all sort of variations experienced during phylogenetic evolution favor their formation.14
During dental embryology processes, alterations in different development stages can occur, which can eventually affect teeth with respect to their number, shape or structure, giving thus rise to different anomalies.
Anomalies, or dental variations in number, as is the case of fourth molar or distomolar take place in the dental development initial stage, and can affect both dentitions,23 among theories offering to explain this phenomenon we can count:
Hyperactivity of embryonic epithelial cells
All cells of the tooth bud have same origin and same biological characteristics, therefore, in some situations, some cells can acquire properties of other specially differentiated cells, with resulting proliferation and formation of evaginations or invaginations which will give rise to new tooth tissues. This new tooth formation can be formed from any of the following successive embryonic stages experienced by a tooth.4,14
Causes that can motivate epithelial over-activity can be:
• Local factors: Trauma, infection, irritant factors.
• General factors: Genetic or enzymatic dysfunctions, hereditary factors.
Among the different conditions of stages or phases of tooth formation we have the following:
Hyperactivity of dental lamina or its remnants
Odontogenesis process begins at the 6th week of intrauterine life, a week later dental bud is formed, due to proliferation of dental lamina cells, if alterations are present at this stage, they will result in a supernumerary tooth in the primary dentition.14
Once the crown of the permanent tooth has been formed, dental lamina is subjected to programmed cellular death, it degenerates resulting in epithelial pearls or remnants located within the jaws. If proliferation excess or prolonged survival of dental lamina epithelial cells are stimulated through inductive factors, they can cause formation of a fourth molar, an odontoma or an erupting cyst.21
It has been reported that a lingual extension of the dental lamina will result in a eumorphic tooth (Figure 10), and epithelial remnants induced by dentition pressure will result in a dismorphic tooth (Figure 11).12,16,18
Over-activity of epithelial cord
At the eighth week of intrauterine life, at the cap stage, the dental bud begins to separate from the dental lamina through an epithelial proliferation called epithelial cord or gubernaculum dentis. Over-activity from the epithelial cord can originate formation of a fourth molar (Figure 12).14
Overactivity of the external layer of Hertwig’s sheath and Malassez’s epithelial remnants
Hertwig’s sheath is an epithelial prolongation of the enamel organ and is in charge of forming the root pattern; when completing the first dentin layer, the sheath fractures and degenerates forming Malassez epithelial remnants, which remain present in the periodontal ligament until adult life, and are part of the lining of certain cysts. An alteration of these processes will result in the presence of a fourth molar.14
Phylogenetic theory (Atavism)
It’s the first theory which undertook to explain formation of fourth molars and supernumerary teeth.; it proposes the hypothesis of regression to ancestral dentition of primate dentition, characterized by counting with a great number of teeth. It is the less accepted or defended theory, due to lack of supporting information.12,14
In different images obtained from the internet and scientific articles, none of them shows presence of a fourth molar, rather, one can see sufficient space to lodge the third molar and become a functional part of the primitive man’s dentition (Figure 13).

Figure 13 2.8 million year old dentition found in Ethiopia thought to have belonged to Homo species.27
Dichotomy theory
This theory proposes cleavage of the dental follicle as a result of dental bud division.
Different factors such as trauma or evolution mutations can cause accidental division of the dental follicle into two or more fragments. This cleavage can cause development of two teeth from one single tooth bud. Result will be either two similarly shaped teeth or one normal tooth and one dismorphic tooth.12,14,16
Small alterations in molecules’ signals which regulate the size of placodes, could cause placode disintegration or division and thus the formation of 2 or 3 supernumerary teeth.21
This theory is supported by animal experiments where divided tooth buds were cultured in vitro. 12,14,16
There is a case of fusion of left lower third and fourth molars reported by Hernandez-Guisado et al (Figure 14); they state that the fact that the fourth molar possessed a volume similar to that of the third molar, and the union groove went from crown to apex, led them to believe existence of bonding (union) of two independent buds which were not separated by a bone septum during their development.
Nadal-Valldaura, in this subject, defines germination as the union taking place between a normal tooth and a fourth molar.
Gemination can occur at the same levels as fusion (Figure 15). Generally, a fused fourth molar comes from the bud of the tooth to which it is fused.11
Duarte reported a case of an African American, 47 year old patient, with x-ray evidence of a radiopaque shape with characteristics of cementoblast or fourth molar; exploration clearly stated an inverted distomolar, fused to the palatal root of the third molar, additionally compromising the root canal (Figure 16).15
Another example was reported by Gomez Sosa: a 48 year old Venezuelan female, who exhibited fusion of lower third molar and distomolar, involving root canal and chamber. These structures could be linked, either individually or separately according to the development stage at which the union took place29(Figure 17).
Fusion and germination of molars is infrequent in permanent dentition, prevalence varies from 0.08% to 0.5%.30
Fusion of a permanent tooth to a supernumerary tooth is less than 0.1% of all cases, it mainly affects anterior supernumerary teeth.15
Dental fusion has, to this date, unknown etiology. It has been suggested that pressure of adjacent dental follicles might cause contact and fusion before calcification, hereditary factors of ethnic differences might predispose to fusion. It is observed more frequently in people of Japanese extraction and in primary dentition, no differences have been observed with respect to gender.30
Unified etiology
Combination of environmental and genetic factors, although hereditary transmission of fourth molars has not been yet proved.12,23,31 They most frequently appear in patients with familial history of such teeth.21 Presence of multiple supernumerary teeth have been reported in one single family, occurring as a non-syndromic trait. Non syndromic dominant autosomal transmission of multiple supernumerary teeth is new.20 Thus, a dominant autosomal heritage with incomplete penetration has been proposed as genetic theory, or being linked to chromosome X, this would explain recurrence in the same family and in monozygotic twins, such as was the case of two siblings with bilateral distomolars (Figures 18 y 19) presented by Dr Daniel Cortes Caballero.12,21,23,31
Kallay supports the hypothesis of a possible third molar or even second molar division.14
Other authors support the theory that multiple supernumerary teeth are part of a post-permanent dentition, this theory is not widely accepted, but was re-opened in studies conducted by Thelseff and his team, where they described the «third dentition» inhibiting protein.16
Incidence
Supernumerary teeth
With respect to supernumerary teeth incidence, there are different authors, for instance Salcido Garcia, who reach the conclusion that these teeth can be found in a range of 0.3 to 3.8%. Leco Berrocal report in his study that supernumerary teeth were present with onset frequency of 1.05%, and were more frequently located at upper distomolar level, reporting that mechanical accidents were the most common complication (TableII and Figure 20).
Incidence of fourth molar or distomolar
On the contrary, when reporting fourth molar incidence, there are different authors, for instance Daniela Nascimiento who place it in second place, after mesiodens, or Fernandez Montenegro who places it in third place, after paramolars, with variable percentage of incidence (Table III). Ohata H mentions that fourth molar incidence is very infrequent, from 0.02 to 0.16%, being 1.15% in the upper jaw and 0.021 in the lower jaw.37
Table III Incidence of fouth molar.
| Author | Location | Incidence (%) |
| Daniela Nascimento et al.3 | 2 | 15-26 |
| Reyes Velázquez et al.12 | 3 | |
| Radi et al.12 | 4 | 2.9 |
| Gay y Stafne et al.14 | 2 | 15 upper. 1 lower. |
| Costa Pinho et al.18 | 2 | |
| Fernández Montenegro et al.18 | 3 | |
| Paula Fernández et al.34 | 3 | 18 |
| Gopakumar et al.35 | 4 | 0.39 |
| Ohata H et al.37 | 0.02-0.16 | |
| Philip Sapp et al.38 | 2 | |
| Patricia Barajas et al.39 | 3 | 7 |
| Salcido García et al.33 | 4 | 9.7 |
Kurt H, Berkay ST presented a study with orthopantomographic X rays of 14,250 Turkish patients (6,482 females and 7,768 males) in the time frame 2010-2014. Out of the total 14,058 patients included in the study, 45 presented distomolar (14 female, 31 male), representing 0.32% of the study group. Out of 9 cases, (0.06%) 19 distomolars were found bilaterally, they were more frequent in males than in females (68.8% versus 31.2%).
All were found in the upper jaw, with 92.7% of all patients affected and only 7.3% erupted.40
Reis Castro reported 5 cases, where patients did not exhibit skeletal or systemic anomalies, he found 35 (100%) supernumerary teeth, out of which 18(51.4%) were located in the upper jaw and 17 (48.5%) in the lower jaw.36
In the upper jaw, 5 cases (14.2%) of distomolar were found whilst only one was found in the lower jaw (2.8%) (Table IV).36
Table IV Paramolar and distomolar distribution in both arches.36
| Case | Number of | Location/number | Classification | Inclusion |
| Supernumerary teeth | ||||
| 1 | 10 | Lower (5) Premolar (5) | Supplementary (5) | 4 |
| Upper (5) Premolar (4) | Supplementary (3) | 5 | ||
| Distomolar (1) | Rudimentary (1) | |||
| 2 | 8 | Lower (4) Premolar (4) | Supplementary (4) | 2 |
| Upper (4) Premaxilar (2) | Supplementary (2) | 2 | ||
| Distomolar (2) | Supplementary (2) | 2 | ||
| 3 | 7 | Lower (5) Premolar (4) | Supplementary (4) | 4 |
| Distomolar (1) | Rudimentary (1) | 1 | ||
| Upper (2) Premolar (2) | Supplementary (2) | 2 | ||
| 4 | 5 | Lower (3) Premolar (3) | Supplementary (3) | 3 |
| Upper (2) Distomolar (2) | Rudimentary (2) | 2 | ||
| 5 | 5 | Upper (5) Premaxilar (5) | Supplementary (3) | 2 |
| Rudimentary (2) |
Caseta M, Alteri F et al reported 61 posterior supernumerary teeth in 45 patients (32 males and 13 females) out of a total of 25,186 patients. A 64.9% paramolar and 31.5% distomolar41 percentage were found (Table V).
Table V Distribution of supernumerary molars according to their location in the jaws, morphology, position and intra-bone or erupted location.41
| Supernumerary tooth | |||||
| 37 (60.7%) | |||||
| Supernumerary tooth | Paramolars | Distomolars | Total | ||
| 24 (39.3%) | (64.9%) | (31.5%) | 61(100%) | ||
| Bone | Upper jaw n (%) | 6 (9.8) | 22 (36.1) | 10 (16.4) | 38 (62.3) |
| Lower jaw n (%) | 18 (29.5) | 2 (3.3) | 3 (4.9) | 23 (37.7) | |
| Position | Buccal n (%) | 7 (11.7) | 22 (36.7) | - | 29 (48.4) |
| Oral n (%) | 14 (22.6) | 2 (3.2) | - | 16 (25.8) | |
| Align n (%) | 3 (4.8) | - | 13 (21) | 16 (25.8) | |
| Morphology | Conical n (%) | - | 8 (21.6) | 8 (21.6) | 16 (43.2) |
| Tuberculate n (%) | - | 16 (43.3) | 5 (13.5) | 21 (56.8) | |
| Location | Erupted n (%) | 21 (34.4) | 2 (6) | 10 (16.4) | 33 (54.1) |
| Impacted n (%) | 3 (4.9) | 22 (36.1) | 3 (4.9) | 28 (45.9) | |
Nirmala and Tirupathi report in their study prevalence studies comparing supernumerary molars (paramolar and distomolar) and prevalence of distomolar or fourth molar with different authors, studies and reported cases42(Tables VI and VII).
Table VI Distormolar or fourth molar prevalence studies.42
| Author | Year | Unilateral (U) | UUpper jaw/Lower jaw |
| Bilateral (B) | |||
| Moreira et al. | 2015 | U | UUnilateral distomolar in inverted position, atypically fused to upper left third molar as a disto-palatal root |
| Ohata et al. | 2013 | U | 1 case unilateral right lower jaw |
| 1 case unilateral left lower jaw | |||
| 1 case unilateral left upper jaw | |||
| Wang & Pan | 2013 | B | Mandibular (lower jaw) |
| Clementini et al. | 2013 | B | Upper and lower jaw (impacted) |
| Szkaradkiewicz et al. | 2012 | B | Upper jaw impacted vertical position |
| Prakash et al. | 2012 | U | Left unilateral lower jaw impacted and fused to third molar associated to paradental cyst |
| Zeylabi et al. | 2010 | U | Lower jaw unilateral mandibular fused to third molar |
| Ferreira Junior et al. | 2009 | U | Unilateral mandibular fused to right third molar |
| Refioua et al. | 2006 | B | Bilateral, 5 distomolars in upper and lower jaw |
| 2 right distomolars in upper jaw | |||
| Kokten et al. | 2003 | B | Upper jaw bilateral |
| Kokten et al. | 2003 | U | 2 right distomolars in upper jaw |
| Turell & Zmener | 1999 | U | Mandibular unilataeral fused to third molar |
Cuadro VII Prevalecence studies of supernumerary molars (paramolar and distomolar).42
| Authors | Year | Study | Prevalence | |
| Bereket et al. | 2015 | 111,293 | patients | 0.00% |
| Retrospective study | Distomolar more common than paramolar | |||
| Non-syndromic Turkish population | Maxilary > mandibular | |||
| Kaya et al. | 2014 | 10,111 | Non-syndromic Turkish subpopulation | 0.29% male |
| 0.23% female | ||||
| Distomolars more frequently found in upper jaw | ||||
| Cassetta et al. | 2014 | 25,186 | Italian Caucasian patients | 0.18% |
| Male > female | ||||
| Maxilary > mandibular | ||||
| Paramolar > distomolar | ||||
| Kumar & Gopal | 2013 | 5,000 | Patients of Chennai, India | Paramolar > distomolar |
| Male > female | ||||
| Maxilar > mandibular | ||||
| Thomas et al. | 2013 | 1,000 | Patients Kerala, India | 2.1% prevalence of distomolars |
| Kara et al. | 2012 | 104,902 | patients, retrospective analysis Turkey | 0.33% |
| Supernumerary molars | ||||
| Females > males | ||||
| Distomolar > paramolar | ||||
| Purcarea et al. | 2012 | 2,267 | Adult Caucasian patients, Rumania | 0.26% prevalence of distomolar |
| Celikoglu et al. | 2010 | 3,491 | Patients, retrospective analysis, Turkish population | Distomolar > paramolar |
| Arslan & Ahmet | 2009 | 4,023 | patients | 0.57% distomolar prevalence |
| Males > females | ||||
| Upper jaw > lower jaw | ||||
Gender and anatomical preference
Most authors such as Reyes Velazquez concur in reporting that the area of most frequent apparition is the upper jaw, with respect to gender they are more frequently found in males (Table VIII).
Table VIII Area of greater prevalence for fourth molars.
| Author | Area | Gender |
| Daniela Nascimento et al.3 | Upper jaw (impacted) | |
| Hugosson et al.12 | Male | |
| Reyes Velázquez et al.12 | Upper jaw 6:1 | |
| Gay Escoda et al.14 | Upper jaw | |
| Fernández Montenegro et al.18 | Upper jaw 74.5% | |
| Rodríguez Romero et al.18 | Upper jaw 3:1 | Male 9:2 |
| Leco Berrocal et al.32 | Upper jaw 79.2% | Male |
| Reis A et al.36 | Upper jaw | |
| Ohata H et al.37 | Upper jaw 1.15% | |
| Lower jaw 0.02% | ||
| Kurt H et al.40 | Upper jaw | Male 68.8% |
| Cassetta M et al.41 | Upper jaw 62.3% | Male 2.5:1 |
| Kokten et al.43 | Upper jaw | Female |
Ethnicity
There are different opinions and percentages with respect to incidence related to race or ethnicity. Frequency in Caucasian population is 0.15-1%, with male predominance in a 2:1 proportion. Moreover, it has been reported that these teeth are longer than those found in females.44
Duarte mentions it is more common in subjects of African descent, and that it affects 2.2% of population.15
Prevalence according to ethnicity is as follows:44,45
•In general Caucasian population it reaches 0.1-3.8%.
•In Japanese and Chinese subjects it is 2.7-3.4%.
•In Mongol racial groups it is more than 3%.
•In Hispanic population it is 2.2%.
•In Finns it is 0.4%.
The study conducted by Harris et al reported greater prevalence of fourth molars in African Americans, 2.67%, in contradiction to what was classically reported in Caucasians, where greater prevalence was found in the upper jaw.46
It was also mentioned that there has been no Latin American study to show predominance for a specific ethnicity or country where fourth molar occurrence would be more frequent.8
In Mexico, a prevalence of 0.3 to 3.8% has been reported in a population of 2,241 patients; where fourth molars were found in 9.7% when compared to mesiodens which were found in 48.6%.33
Associated diseases
Literature reports established consensus in the need of surgically treating this type of clinical situations since there is high percentage of derived complications, among them whether the tooth is or is not retained or impacted.13,18,47
•It can or cannot be asymptomatic.
•Malpositions (rotations, displacement, gyrated teeth).
•Eruption failure of permanent tooth.
In some instances, eruption mechanisms fail giving rise to different retention varieties; in this case, the cause was the fourth molar (Figure 21).48 In some cases they can cause problems such as pericoronitis, elicited by eruption attempts, although generally they are found in full intra-osseous inclusion, frequently favoring third molar retention, especially when found in the lower jaw.14
Inclusion and retention
In inclusion cases, the fourth molar is not totally formed, and is found in the «expected» timeframe for eruption or formation within the bone, due to interference or trajectory blockage; an opposite situation occurs with retained teeth, where this process has exceeded «established» time.47 When a tooth is impacted, it is considered potentially harmful, since it can cause retention of the adjacent tooth as well as infectious or cystic processes.9
Mention is even made of keratocyst formation due to inclusion of numerous teeth, causing greater loss of bone tissue around the crowns of these teeth, and thus increasing mandibular fracture risks in a high percentage of cases.13,18
Cysts or tumors
Dentigerous cysts can be sizeable and cause bone expansion due to the fact they are asymptomatic and with remarkable growth ability. Although they normally are related to crowns of permanent teeth, with much lesser frequency they can be related to primary teeth or fourth molars (Figures 22 and 23).48
This type of cystic lesions, or like keratocysts, exhibit high incidence of appearing related to third molars due to their high impaction incidence, even more so when they are related to fourth molars.49
Epithelial lining possesses transformation potential, enabling development of odontogenic tumors and carcinoma. Among odontogenic tumors we find ameloblastoma.
When there are mucous cells in the cystic structure, there is possibility for a muco-epidermoid carcinoma to appear. Even metastasic potential has been reported, although it is not a habitual situation. Transformation into carcinoma would occur at advanced ages.48,51
Periodontal disease
Bacteria (Peptostreptococcus, Fusobacterium, bacteroides) having a more direct entrance access, possess to greater root proportions, due to absence of root bone, thus causing intense local periodontitis.47
Rhyzolysis and pain
Pressure of the molar along with sack surrounding the crown cause localized bone destruction, which might cause rhyzolysis , which in turn might lead to pain and fractures due to bone absence in the area.47
Ehsan Camarata described the case of a fourth molar in a 50 year old male patient. The molar was located underneath and alongside the right mandibular canal; clinical manifestations initiated as a neurological picture: that is to say, atypical oral and facial pain and sensitivity alteration in the are of the right lower tooth nerve.54
Diagnosis
Fourth molars or distomolars, since they not always exhibit isolated symptomatology, are mostly found after X ray examinations conducted to treat third molar problems (Figure 24). Fourth molars are rarely found erupted, thus first findings are clinical.
The most used radiographic techniques to complement diagnosis are:
Cone-beam computerized tomography (CBCT) enables to increase assessment ability in the clinic, with lesser distortion that that obtained with 3D images.55
With respect of tooth recording within clinical history, different formulae and nomenclatures are used, the most used one is that belonging to IDF (International Dental Federation), thus, Sarjeev Singh Yadav and Sapna Sonkurla proprose the following nomenclature for supernumerary teeth.56
Treatment and complications
Early diagnosis, accurate assessment and suitable treatment of supernumerary teeth are essential. There are two kinds of treatment: surgical extraction or frequent clinical and X-ray observation.
Decision with respect to whether distomolars require treatment is based on their location, and the probability they might cause pathological alterations, or even dental arch alterations.
Probably, these teeth only should be extracted in cases where their presence might be responsible for eruption failure or poor alignment of permanent teeth, or when any of the already mentioned complications take place (Figure 25).

Figure 25 Presence of lower right fourth molar exerting pressure in the distal root of third molar and presence of left lower fourth molar, both compromising the vascular-nervous package.54
These teeth have also been found in ectopic regions such as maxiloarry sinuses, sphenopalatine fissures, soft palate and nasal cavity.
There might be cases when treatment should include orthodontic and oral rehabilitation with the aim of correcting dental malposition , improve occlusion, and esthetically characterize the tooth, mimicking and adjacent tooth’s morphology with the help of resin filling, veneers or crowns.22
Fourth molars are approached like third molars. Surgical event must be conducted by an experienced oral surgeon, who must be alert to all complications that might arise during surgery, such as tuberosity or alveolar bone fracture, or displacement towards maxillary sinuses among others.
After surgery suitable clinical and radiographic controls must be conducted after 15 days, 1 month, 3 months and 6 months, in order to verify there is occurrence of postoperative lesions or complications.53
If there are suitable clinical circumstances, these supernumerary teeth can also be treated by means of a root canal treatment, such was the case reported by Gomez Sosa, describing a 48 year old female patient with fused lower third molar and distomolar, treatment involved root canal and chamber erupted in a favorable position. In this case the patient was subjected to X-ray control and clinical examination every three months, during one year29(Figures 26 and 27).
Conclusions
According to different theories on their existence, it can be concluded that fourth molars did not exist as part of ancient men’s dentition, rather, it appeared as yet another variable much like it is presently considered.
With respect to its incidence, several authors report ait in 2nd to 3rd position after mesiodens and paramolars, therefore it is important to fall into the habit of suitably reporting this type of anomaly in order to count with accurate information to better help us to determine its origins.
Most reported cases have been identified with the help of X-ray findings, for this reason, surgeons must routinely possess at least an orthopantomography in their clinical files., stressing the importance of conducting thorough clinical examination with additional tests in order to determine correct treatment.
Likewise, knowledge of anatomy is extremely important, since, due to their location, many complications can arise, which surgeons must equally be able to treat.
With respect to anatomical shape of these anomalies, they can be found similar to the adjacent tooth or lacking specific shape, the fact of being similar to a normal tooth suggests that the same cells which formed different groups of teeth in maxillary bones are the same cells, but with altered genetic code, and although this has not yet been reported, they could form with another group of teeth not belonging to the affected area, from that derives the shape sometimes taken by paramolars or third premolars and the shape sometimes assumed by the fourth molar or the upper lateral incisor.
Decision of treatment or non -treatment will depend on the risk-benefit assessment for each particular case, as well as the patient’s decision.
Referencias
1. Gómez de Ferraris E, Campos MA. Histología, embriología e ingeniería tisular bucodental. 3a ed., Editorial Médica Panamericana, 2009. [ Links ]
2. Sadler TW. Langman: embriología médica: con orientación clínica. 10a ed. Editorial Médica Panamericana, 2007. [ Links ]
3. Nascimento-Silva D, Ferraro-Bezerra M, Barbosa-Guimarães K, Hernández-Cancino CM. Cuartos molares supernumerarios: Relato de caso clínico. Rev Cubana Estomatol. 2006; 43 (1). [ Links ]
4. Ugalde-Morales FJ. El mito del cuarto molar. Rev Esp Ortd. 2012; 42 (2): 107-112. [ Links ]
5. Muñoz-Velázquez C. Historia de la odontología: orígenes, humanismo y cultura. Odont Moder. 2012; 8 (92): 16-17. [ Links ]
6. Ceperuelo D, Lozano M, Duran-Sindreu F, Mercadé M. Supernumerary fourth molar and dental pathologies in a Chalcolithic individual from the El Mirador Cave site (Sierra de Atapuerca, Burgos, Spain). HOMO. 2015; 66 (1): 15-26. [ Links ]
7. Fontes da Silva H, Galvão CD, Saquete MP, de Santana ST, Santos JS. Distomolares superiores inclusos bilateralmente: relato de caso. Odontol Clin Cient (Online). 2011; 10 (1): 99-101. [ Links ]
8. Blanco-Ballesteros G. Dientes múltiples supernumerarios no relacionados a un síndrome: reporte de un caso. Rev Estomatológica. 2005; 13 (1): 13-19. [ Links ]
9. Fuente propia. [ Links ]
10. Disponible en: Disponible en: http://www.dentalborras.com/cuartos-molares . (Febrero 2015). [ Links ]
11. Hernández-Guisado JM, Torres-Lagares D, Infante-Cossío P, Gutiérrez-Pérez JL. Geminación dental: presentación de un caso. Med Oral. 2002; 7 (3): 231-236. [ Links ]
12. Reyes-Velázquez JO, Castrejón AJ. Cuartos molares: revisión de la literatura y presentación de un caso clínico. Med Oral. 2009; 11 (4): 122-125. [ Links ]
13. Ibáñez GP, Loughney GA, Fernández DM, Caballero ML, Pérez CI. Trastornos eruptivos de segundos molares y terceros molares incluidos. A propósito de un caso. Cient Dent. 2013; 10 (1): 73-76. [ Links ]
14. Gay-Escoda C, Berini AL. Tratado de cirugía bucal. Editorial Ergon, 2004. [ Links ]
15. Duarte MD, Azevedo-Vaz SL, Sousa MS, Queiroz FD. Unusual fusion of a distomolar with a third molar assessed by cone-beam computed tomography. Stomatos. 2014; 20 (38): 12-17. [ Links ]
16. Ferrés-Padró E, Giner L, Llopis J. Estudio de la prevalencia de quistes foliculares en dientes supernumerarios. [Tesis Doctoral]. UIC. Nov. 2008. España. [ Links ]
17. Disponible en: Disponible en: http://www.ceocor.com/cirugiaa.html . (Febrero 2015). [ Links ]
18. Rodríguez-Romero FJ, Cerviño S. Múltiples dientes supernumerarios distomolares. Av Odontoestomatol. 2009; 25 (6): 319-325. [ Links ]
19. Kariya PB, Mallikarjuna R, Singh S, Mulchandani V. Rare combination of paramolar and distomolar supernumerary teeth in a 15-year-old male adolescent. BMJ Case Rep. 2014; 2014: bcr2014205000 doi: 10.1136/bcr-2014-205000. [ Links ]
20. Batra P, Duggal R, Parkash H. Non-syndromic multiple supernumerary teeth transmitted as an autosomal dominant trait. J Oral Pathol Med. 2005; 32 (10): 621-625. [ Links ]
21. Wang XP, Fan J. Molecular genetics of supernumerary tooth formation. Genesis 2011; 49 (4): 261-277. [ Links ]
22. Cruz EA. Clasificación de dientes supernumerarios: revisión de la literatura. Rev Estomatol. 2014; 22 (1): 38-42. [ Links ]
23. Cortés-Caballero D, Chappuzeau LE, Cortés RP. Cuartos molares: presentación de 3 casos clínicos. Revista Dental de Chile. 2009; 100 (2): 23-27. [ Links ]
24. Disponible en: Disponible en: https://medranov56.wordpress.com/about/ (Febrero 2015). [ Links ]
25. Disponible en: Disponible en: http://clinicadentalasistencial.blogspot.mx/2014/11/distomolar.html (Febrero 2015). [ Links ]
26. Disponible en: Disponible en: https://es.wikipedia.org/wiki/Odontogénesis (Octubre 2016) [ Links ]
27. Disponible en: Disponible en: https://www.scientificamerican.com/espanol/noticias/el-primer-homo-existio-al-menos-medio-millon-de-anosantes-de-lo-que-se-pensaba/ (Octubre 2016) [ Links ]
28. Disponible en: Disponible en: http://clinicadentalasistencial.blogspot.mx/2014_11_01_archive.html (Febrero 2015). [ Links ]
29. Gomez-Sosa JF, Goncalves PJ. Endodontic treatment of a rare case of fusion between a right mandibular third molar and a distomolar. ENDO (Lond Engl). 2014; 8 (3): 223-227. [ Links ]
30. López-Carriches C, Leco-Berrocal I, Baca-Pérez BR. Fusión de un tercer molar mandibular con un cuarto molar supernumerario. Rev Esp Cir Oral y Maxillofac. 2008; 30 (5): 344-347. [ Links ]
31. Chaparro GN, Alamancos TI, Hermoso SL, Rodríguez AR, Jiménez ZA. Herencia autosómica recesiva en paciente no sindrómico con múltiples dientes supernumerarios. Acta Odontológica Venezolana. 2014; 52 (1). [ Links ]
32. Leco-Berrocal MI, Martín MJ, Martínez GJ. Estudio observacional sobre la frecuencia de dientes supernumerarios en una población de 2000 pacientes. Medicina oral, patología oral y cirugía bucal, Ed. Española. 2007; 12 (2): 96-100. [ Links ]
33. Salcido-García JF, Constantino ML, Hernández FF, Pérez D, Garcés OM. Frecuencia de dientes supernumerarios en una población Mexicana. Med Oral Patol Oral Cir Bucal. 2004; 9 (5): 403-409. [ Links ]
34. Fernández-Montenegro P, Valmaseda-Castellón E, Berini AL, Gay EC. Estudio retrospectivo de 145 dientes supernumerarios. Med Oral Patol Oral Cir Bucal. 2006; 11 (4): 339-344. [ Links ]
35. Gopakumar D, Thomas J, Ranimol P, Vineet DA, Thomas S, Velayudhan NV. Prevalence of supernumerary teeth in permanent dentition among patients attending a dental college in South Kerala: a pilot study. J Indian Acad Med Oral Radiol. 2014; 26: 42-45. [ Links ]
36. Reis-Castro A, Almeida LM, Olveira JG, Kaminagakura E. Multiple supernumerary teeth in non-syndromic patients. Report of 5 clinical cases. Braz J Oral Sci. 2007; 6 (22): 1415-1419. [ Links ]
37. Ohata H, Hayashi K, Iwamoto M, Muramatsu K, Watanabe A, Narita M et al. Three cases of distomolars. Bull Tokyo Dent Coll. 2013; 54 (4): 259-264. [ Links ]
38. Philip-Sapp J. Patología oral y maxilofacial contemporánea. Editorial Elsevier, 2005. [ Links ]
39. Espiritusanto-Barajas MP, Rodríguez-Castrejón JA, Llamosas HE. Frecuencia de dientes supernumerarios en la Clínica Naucalpan y su relación con las diferentes maloclusiones. [Tesis de Especialidad]. UNAM Postgrado, Oct. 2007. Disponible en TESIUNAM. [ Links ]
40. Kurt H, Berkay ST, Şenel B, Avsever H. A retrospective observational study of the frequency of distomolar teeth in a population of 14,250 patients. J Cumhuriyet Dental. 2015; 14 (4): 335-342. [ Links ]
41. Cassetta M, Altieri F, Giansanti M, Di-Giorgio R, Calasso S. Morphological and topographical characteristics of posterior supernumerary molar teeth: an epidemiological study on 25,186 subjects. Med Oral Patol Oral Cir Bucal. 2014; 19 (6): e545-549. [ Links ]
42. Nirmala SVSG, Tirupathi SP. Rare combination of developing unerupted paramolar and distomolar in maxilla: a case report and review of literature. J Interdiscipl Med Dent Sci. 2016; 4 (4): 1-6. [ Links ]
43. Kokten G, Balcioglu H, Buyukertan M. Supernumerary fourth and fifth molars: a report of two cases. J Contemp Dent Pract. 2003; 4 (4): 67-76. [ Links ]
44. Chiara C, Contreras Romanelli. Múltiples dientes supernumeraries. Reporte de un caso. [Tesis de Especialidad] Caracas-Venezuela: Universidad Central de Venezuela, Postgrado de Ortodoncia; 2007. [ Links ]
45. Hachity OJ, Bonilla RJ, Vázquez LS, Peral GA, Arenas MA. Dientes supernumerarios múltiples. Presentación de caso clínico. Oral. 2012; 13 (43): 927-930. [ Links ]
46. Harris EF, Clark LL. An epidemiological study of hyperdontia in american blacks and whites. Angle Orthod. 2008; 78 (3): 460-465. [ Links ]
47. Raspall G. Cirugía oral e implantología. 2a. ed. Editorial Médica Panamericana, 2006. [ Links ]
48. Navarro-Villa C. Tratado de cirugía oral y maxilofacial. Tomo I. 2a ed. Editorial Arán, 2008. [ Links ]
49. Martínez-Treviño JA. Cirugía oral y maxilofacial. Editorial Manual Moderno, 2009. [ Links ]
50. Available in: Available in: http://posterng.netkey.at/esr/viewing/index.php?module=viewing_poster&task=viewsection&pi=123749&ti=413069&searchkey= (Febrero 2015). [ Links ]
51. Robbins y Cotran. Patología estructural y funcional. 8a ed., Editorial Elsevier, 2010. [ Links ]
52. Rodríguez-Romero FJ, Cerviño FS, Muriel CP. Quiste dentígero asociado con mesiodens: exposición de un caso, revisión de la literatura y diagnóstico diferencial. Av Odontoestomatol. 2011; 27 (6): 2011, ISSN 0213-1285. [ Links ]
53. Clementini M, Ottria L, Pandolfi C, Agrestini C, Barlattani A. Four impacted fourth molars in a young patient: a case report. Oral Implantol (Rome). 2012; 5 (4): 100-103. [ Links ]
54. Ehsan D, Tu HK, Camarata J. Mandibular supernumerary tooth causing neurosensory changes: a case report. J Oral Maxillofac Surg. 2000; 58 (12): 1450-1451. [ Links ]
55. Bissoli CF, Agreda CG, Mitsunari TW, Castilho MJ, Medici-Filho E, Moraes ME. Importancia y aplicaciones del sistema de tomografía computarizada cone-beam (CBCT). Acta Odontológica Venezolana. 2007; 45 (4): 589-592. [ Links ]
56. Singh S, Sonkurla S. Supernumerary tooth notation system: a universally compatible add-on the two-digit system. Indian J of Dental Research. 2013; 24 (3): 395-396. [ Links ]
Received: October 2016; Accepted: September 2017









texto en 



























