INTRODUCCIÓN
Una revisión de la literatura desde 1995 muestra que la prevalencia de las lesiones dentales traumáticas (LDT) en la dentición temporal y permanente es alta en todo el mundo. Las estadísticas de la mayoría de los países muestran que una cuarta parte de todos los niños en edad escolar y casi un tercio de los adultos han sufrido LDT, pero hay variaciones entre países. Las principales causas de LDT son golpes por: caídas, objetos, deportes, colisiones, actividades físicas de ocio y accidentes de tránsito, presentándose en mayor cantidad durante el otoño.1,2,3
El 47% de las LDT reciben tratamiento, pero éste es inadecuado en el 59% de los casos y sólo el 4% de los pacientes es atendido por un especialista en odontología.4 Casi todas las lesiones abarcan los dientes anteriores, principalmente los incisivos centrales superiores y por lo regular se afecta un diente. El patrón facial es otro aspecto a considerar. Las personas que presentan incisivos protruidos tienen casi dos veces más posibilidades de sufrir LDT que otros con sobremordida horizontal normal.5,6,7
OBJETIVO
Describir el manejo clínico multidisciplinario de tres pacientes que presentan lesiones dentales traumáticas (LDT) y acuden a la clínica de la Especialidad de Odontología Restauradora Avanzada de la División de Estudios de Postgrado e Investigación de la Facultad de Odontología de la Universidad Nacional Autónoma de México.
Lesiones dentales traumáticas
Se pueden clasificar dependiendo de las estructuras involucradas. Aunque existen varias clasificaciones de las LDT, se seguirá la descrita por Andreassen y aceptada por la OMS en su «Clasificación internacional de las enfermedades» de 1978.5,8
Lesiones de tejidos dentales y pulpares
- Fractura de esmalte.
- Fractura de esmalte y dentina.
- Fractura complicada que involucra: esmalte, dentina y pulpa.
Lesiones óseas
Las lesiones dentales cuando se comparan con otras lesiones traumáticas, se consideran como las menos graves. Sin embargo, al tener el diente un bajo potencial en recuperar un estado de salud tras el trauma, la mayor parte de las lesiones en esta región necesitan un diagnóstico y tratamiento urgente. Aunque los síntomas y signos a menudo son complejos, el tratamiento preciso depende del diagnóstico correcto.2,5,9,10
Evaluación clínica
La observación inicial juega un papel fundamental para establecer un diagnóstico e instaurar la terapéutica a seguir.
Exploración extraoral
El paciente que presenta un traumatismo buco-facial debe incluir la observación de heridas incisas, contusiones y abrasiones en cara y labios. Destacar que, ante cualquier lesión en el mentón, hay que tener en cuenta la posible fractura de la mandíbula, que se suele localizar, en niños, a nivel de los cóndilos. También se debe buscar fracturas en los molares, debido al golpe brusco de la arcada inferior sobre la superior, habrá que sospechar fracturas del maxilar, malares y mandíbula cuando se observen asimetrías al indicarle al paciente que abra y cierre la boca. Si en una fractura de la corona dental hubiera laceración en los labios, pensar que el fragmento podría estar incluido en la masa muscular antes de suturar.5
Exploración intraoral
Evaluar la movilidad de los dientes, tanto en dirección vertical como horizontal. Se sospechará de una fractura del proceso alveolar si al mover un diente, se mueven varios.1,5
Una lesión del ligamento periodontal se presumirá cuando al percutir suavemente un diente se produzca dolor. Al evaluar la hipersensibilidad o movilidad de los dientes, se hará comparando con los de la zona no afectada. En los dientes fracturados habrá que observar la posible exposición pulpar.3,5
CASO CLÍNICO 1
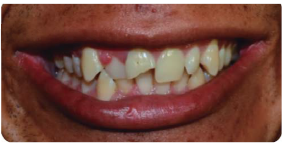
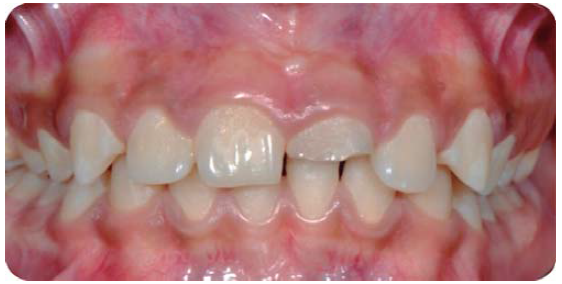
Paciente masculino de 21 años de edad, sano, presentando LDT al caer de una bicicleta; con fractura coronaria complicada de los dientes: 12, 11 y 21, con una evolución de 48 horas (Figura 1).
Debido a la evolución de dos días desde el accidente, el paciente presenta dolor e inflamación a la exploración extraoral, durante la exploración intraoral se observa la exposición pulpar de los dientes involucrados (Figura 2) e indica el tratamiento de urgencia a seguir, para disminuir el dolor e inflamación.
Tratamiento de urgencia
Consistió en el retiro de los fragmentos dentales (Figuras 3 a 6) (4,5) para tener una mejor visión del área y del posible tratamiento a ejecutar. Se realizó bajo anestesia local con lidocaína al 2% con epinefrina 1:100,000, luego se realizó la pulpectomía de los dientes 12, 11 y 21 dejando una medicación de hidróxido de calcio al 35% (UtraCal ® XS, pH 12.5, Ultradent) y como curación temporal un ionómero de vidrio (Figura 7).11,12
Diagnóstico
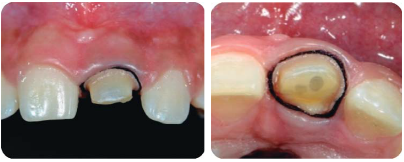
Paciente de sonrisa gingival que presenta fractura complicada de corona del diente 21 en el tercio medio coronal (Figura 3) y del diente 12 en el tercio cervical (Figura 4), fractura complicada de corona y raíz del diente 11 (Figura 5); gingivitis inducida por placa dentobacteriana (Figura 7), trasposición de los dientes 13 y 14, anodoncia verdadera de los dientes 15, 35 y 45, presentando los dientes temporales 55, 75 y 85.
Plan de tratamiento
Fase I periodontal
Interconsulta con el Departamento de Ortodoncia para dirigir el tratamiento de forma interdisciplinaria, realizando la alineación del diente 13 y extrusión ortodóntica de los dientes que sufrieron LDT.13
Alargamientos de coronas con fines endodónticos y restaurativos
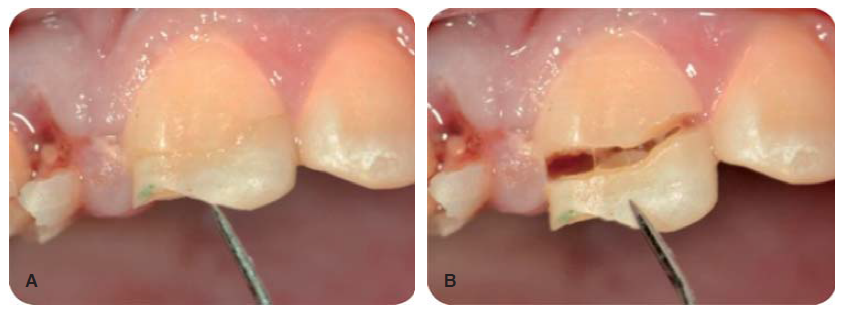
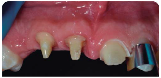
Con una hoja de bisturí 15c, se realiza una incisión a bisel interno y luego una intrasurcal para eliminar un collar de encía y continuar levantando un colgajo de espesor total para exponer la estructura radicular remanente (Figura 8).
Se realizan las medidas con una sonda periodontal, para determinar la cantidad de tejido óseo que se debe eliminar con la osteotomía y osteoplastia para asegurar el efecto férula necesario para las restauraciones provisionales. Se mide con la sonda para asegurar una osteotomía de mínimo 3 mm (Figura 9), se procede a suturar con puntos simples (Figura 10).14
En la historia clínica, el paciente reveló que sus dientes incisivos centrales superiores presentaban diastemas, por lo cual durante la misma cirugía se procede a liberar el frenillo labial superior por medio de una frenilectomía, ya que su inserción era baja (Figura 10).15
Tratamiento de sistema de conductos
Cicatrizada la cirugía de alargamiento de corona, se contó con mayor estructura dental, lo cual facilita y asegura el aislamiento para conformar los conductos con instrumentos manuales (K-FlexoFile, Dentsply Maillefer) y fuerzas balanceadas (Figura 11), protocolo de irrigación con hipoclorito de sodio al 5.25% y obturación vertical con técnica de Schilder usando cemento endodóntico MTA Fillapex (Angelus ®).16,17,18
Reconstrucción con postes de fibra de vidrio
Con aislamiento absoluto, se realiza la desobturación con instrumentos de compactación vertical de Schilder, se toman radiografías control de desobturación y ajuste de los postes de fibra de vidrio RelyXTM Fiber Post® 1.3Ø amarillo (3M ESPE). Se graba con ácido fosfórico al 37% por 20 seg, se lava el conducto con espray de agua y se seca con puntas de papel; el cementado del endoposte de fibra de vidrio y la reconstrucción coronal se realiza con el sistema del cemento resinoso Rebilda DC® (VOCO) (Figura 12), se toma radiografía control de la cementación.19,20 Cuidando exhaustivamente el protocolo de adhesión, una vez reconstruidos y preparados, se planifica cementar con ionómero de vidrio los provisionales de larga duración de Telio Lab (Ivoclar Vivadent), para mayor comodidad y estética del paciente (Figura 13).21
Cementación de los provisionales
Se cementaron con ionómero de vidrio KetacTM Cem (3M ESPE), y se envió a ortodoncia para el respectivo tratamiento.
Control periodontal durante el inicio del tratamiento de ortodoncia
El paciente fue citado para realizar el control personal de placa y darle indicaciones de cepillado con la actual aparatología ortodóntica (Figura 14).
Durante esta cita de control periodontal, se realizan radiografías dentoalveolares, en las que se observa una resorción radicular, la cual se puede atribuir a una respuesta inflamatoria del ligamento periodontal como respuesta al traumatismo o a los movimientos ortodónticos (Figura 15).
CASO CLÍNICO 2
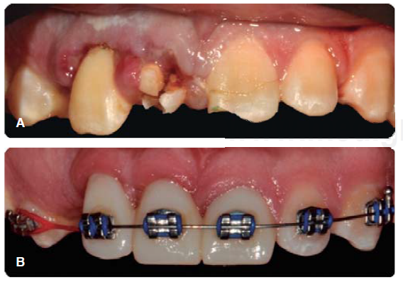
Paciente masculino de 28 años de edad, con LDT en el incisivo central superior derecho por un golpe al desmayarse, previo a un procedimiento quirúrgico para extirpar un tumor que presentaba en el riñón izquierdo, cinco años de evolución.
En la exploración extraoral se observa una cicatriz en el labio inferior (Figura 16), el paciente refiere que, él extrajo el fragmento del incisivo 11 un día después de la LDT.5

Figura 16 Aspecto inicial con fractura del 11, agrandamiento gingival en el 12 y cicatriz en el labio inferior.
Durante la exploración intraoral, se observa una lesión fistulosa a nivel del ápice del diente 11 y el paciente refiere que los síntomas han disminuido con el transcurrir de los años (Figura 17).
Estos signos (Cuadro I) y síntomas, sumados con la imagen radiográfica confirma el daño pulpar del diente 11.
Diagnóstico
Fractura no complicada de corona del diente 11, presentando necrosis pulpar con periodontitis apical crónica supurativa; gingivitis inducida por placa dentobacteriana y agrandamiento gingival en el diente 12.
Plan de tratamiento
Fase I periodontal
Gingivectomía y gingivoplastia del diente 12
Estos procedimientos se realizaron para generar el nuevo margen gingival y de esta forma conformar la encía marginal (Figura 18).14
Tratamiento de sistema de conductos
Necropulpectomía del diente 11 (Figura 19). Técnica de instrumentación coronoapical (fuerzas balanceadas)22 con limas manuales tipo K (Dentsply © Maillefer) de la segunda serie, protocolo de irrigación con hipoclorito de sodio al 5.25% y técnica de obturación lateral usando cemento endodóntico MTA Fillapex ® Angelus ®.17
Reconstrucción con poste de fibra de vidrio
Con aislamiento absoluto, se realiza la desobturación usando instrumentos de compactación vertical de Schilder ®, se toman radiografías de control de desobturación y ajuste del poste de fibra de vidrio RelyX Post ® 1.9Ø de la casa comercial 3MTM ESPE. Para continuar con el grabado, lavado, secado del conducto (Figura 20), cementado del endoposte de fibra de vidrio y finalizando con la reconstrucción coronal con el sistema del cemento resinoso Rebilda ® DC (VOCO) y radiografía control de cementación (Figura 21).19,20
Preparación de muñón
Con la finalidad de restaurar con corona de disilicato de litio23 se toma la impresión con poliéter (Impregum Soft ® 3M) usando la técnica de separación gingival a doble hilo (Figura 22).24
Registro del color
Con el colorímetro Chromascop ® (Figura 23) y provisionalización con resina bisacrílica Protemp 4 ® de 3M (Figura 24), se realiza el cementado de provisional con cemento RelyX Temp ® (3M ESPE), con la finalidad de ir conformando los tejidos previo a la cementación de la restauración final, de igual forma es importante acotar que el registro del color se realiza tanto del muñón de la preparación, como del diente homólogo para que el técnico protesista dental (TPD) tenga mayor información al momento de estratificar y de esta manera crear armonía con la elección de los tonos de las cerámicas a utilizar.
Restauración final (disilicato de litio estratificado)
La restauración de disilicato de litio estratificado (IPS e.max ®, Ivoclar Vivadent ©) fue cementada con Variolink ® N, previo tratamiento para un protocolo de adhesión, siendo grabada por 20 segundos con ácido fluorhídrico al 9%, lavado con agua en espray por 20 segundos y sumergida en una solución de bicarbonato de sodio para neutralizar el efecto del ácido, lavada y secada para continuar silanizando por 60 segundos.25 El ataque químico disuelve la estructura cristalina y permite la retención adicional de los bloques con silano y cemento de resina.23,26
La superficie de la preparación fue acondicionada con ácido fosfórico al 37% por 15 segundos, se lavó con agua en espray, se secó y aplicó el adhesivo ExciTE F DSC, para continuar con la mezcla del Variolink N (Base) para aplicarlo en la corona, llevarla a su posición final eliminando excedentes y polimerizando por 10 segundos para verificar que no existan excedentes del material cementante que comprometan la salud periodontal, finalizando con una polimerización por 20 segundos (Figuras 25A y 25B).23
CASO CLÍNICO 3
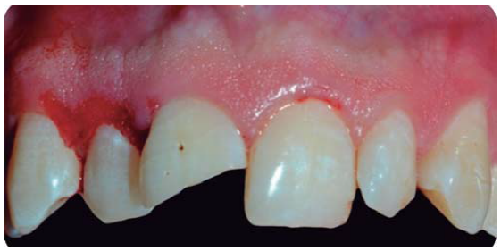
Paciente masculino de nueve años de edad, que presenta LDT en el incisivo central superior izquierdo, por golpe al caer de una patineta; durante la urgencia le realizaron el tratamiento del sistema de conductos del diente 21.
En la exploración clínica extra e intraoral sólo se observa la fractura dental (Figura 26), en la radiografía se observa el tratamiento de sistema de conductos (Figura 27).
Diagnóstico
Fractura complicada de corona del diente 21, radiográficamente se observa un diente despulpado con tratamiento de sistema de conductos y sin lesión periapical; periodontalmente presenta gingivitis inducida por placa dentobacteriana (Figura 28).
Plan de tratamiento
Fase I periodontal
Reconstrucción con poste de fibra de vidrio
Desobturación con instrumentos de compactación vertical de Schilder, tratando de sellar mejor al momento de termoplastificar la gutapercha, se toma radiografía control de desobturación, observando que el Drill del sistema a utilizar queda con espacios (Figura 29 A), se ajuste del poste de fibra de vidrio FRC Postec ® Plus tamaño 3, de la casa comercial Ivoclar Vivadent, cuyo diámetro coronal es de 2 mm y el apical de 1 mm (Figura 29 B). Se corta el poste de fibra de vidrio en una intensión con pieza de alta velocidad, fresa de diamante grano grueso y abundante irrigación, luego se graba, se lava, se seca el conducto y se cementa el endoposte de fibra de vidrio con la parte coronal del mismo hacia apical del conducto para de esta forma ser más congruentes con el diámetro de un diente joven y el excedente apical del poste se introduce como poste complementario en coronal del conducto, la cementación y reconstrucción coronal se realizó con el sistema del cemento resinoso Rebilda DC ® (VOCO), finalmente se toma una radiografía control de cementación (Figura 29 C).

Figura 29 A) Desobturación. B) Prueba del poste de fibra de vidrio. C) Cementación del poste de fibra de vidrio.
Preparación de muñón
Siendo extremadamente conservadores y con el objetivo de restaurar con corona de cerómero (SR Adoro, Ivoclar Vivadent), se toma la impresión con polivinilsiloxano de 3M (Express ®) usando la técnica de separación gingival a doble hilo (Figura 30).

Figura 30 Separación gingival a doble hilo para toma de impresión, oclusal de la cementación del poste de fibra de vidrio y colocación de hilos.
Registro de color y provisionalización
Con el colorímetro VITA classical ® y provisionalización con resina bisacrílica Protemp 4 ® de 3M, se cementa el provisional con cemento RelyX Temp ® (3M ESPE), manejando el tejido previo a la cementación de la restauración final. De igual forma es importante acotar que el registro de color se realiza tanto del muñón de la preparación (Figura 31 A), como del diente homólogo (Figuras 31B y 31C).

Figura 31 A) Registro de color del muñón. B) En blanco y negro para apreciar el valor de los dientes contiguos. C) Color y características del diente homólogo.
Restauración final
Se optó por utilizar cerómero (Adoro).27,28 Fue cementada con Variolink II color A3, previo tratamiento de la restauración para protocolo de adhesión, siendo acondicionada con ácido fosfórico al 37%, lavado con agua en espray por 20 segundos, secada para continuar silanizando por 60 segundos (Monobond S, Ivoclar Vivadent) para facilitar la unión química. Después de limpiar el muñón, se aplica gel de ácido fosfórico al 37% y se deja actuar por 20 seg. Se elimina el gel con agua y se seca el exceso de humedad de tal forma que se aprecie una superficie de dentina que no se encuentre deshidratada (Figura 32).
Se satura el esmalte y la dentina con una abundante cantidad de Excite DSC, eliminando ligeramente el sobrante y el solvente (alcohol) se evapora con aire.
El sobrante del material resinoso usado en la cementación, se elimina de la restauración en estado blando o parcialmente polimerizado; por ejemplo, con ayuda de un pincel monouso o esponja dental, se debe polimerizar el Variolink II con una lámpara de alta intensidad (900 mW/cm2), el tiempo de exposición con esta potencia es de 40 seg por segmento (Figura 33).
DISCUSIÓN
La decisión más difícil en odontología es elegir qué opción de tratamiento es la mejor, es decir, la decisión de restaurar uno o más incisivos superiores que se han debilitado como resultado de LDT.1 Un resultado óptimo implica con frecuencia una visión multidisciplinaria, incluyendo el área de periodoncia, endodoncia y restauradora, haciendo uso de interconsultas con cirujanos orales, maxilofaciales y ortodoncistas.29,30,31,32
El profesional actuará sobre este tipo de LDT buscando la protección de la pulpa dental y la reconstrucción de la morfología dental afectada. En los dientes con ápice cerrado, si hay exposición pulpar, es urgente el tratamiento dental (pulpectomía);3,7,10 debe considerarse que la pulpa casi inmediatamente sufre una contaminación bacteriana, por lo que el tratamiento se enfocará en eliminar la misma, preparación biomecánica y química para destoxificar el sistema de conductos y lograr un sellado hermético del conducto en tres dimensiones, siendo vital para asegurar el éxito del tratamiento.33,34,35 Si el ápice está abierto, tal como ocurre en los dientes recién erupcionados, el tratamiento se fundamenta en la eliminación de la pulpa inflamada y conservación de la pulpa sana remanente (pulpotomía).5,9
Las decisiones restaurativas están basadas y condicionadas por la necesidad de tratamientos complementarios de ortodoncia, periodontales, así como por la edad del paciente, por este motivo la necesidad de restauraciones provisionales de larga duración, cerómeros, disilicato de litio y óxido de zirconia, siendo conservadores con la estructura remanente. Las restauraciones metal-porcelana se han considerado el estándar de oro para la restauración de los dientes. Tienen buenas propiedades mecánicas, resultados estéticos satisfactorios y un comportamiento biológico aceptable, necesario para la salud periodontal.36,37 Sin embargo, tienen algunas condiciones que pueden limitar su uso, por ejemplo, la estética está limitada por la estructura metálica y la capa de porcelana opaca necesaria para enmascarar la sombra del metal grisácea subyacente. Recientemente, el costo de los metales preciosos ha aumentado notablemente, haciéndolas relativamente poco atractivas desde un punto de vista económico.36,38,39
En el caso No 1, los alargamientos de coronas se realizaron con el fin de lograr estructura dental que permitiera realizar un aislamiento absoluto ideal, de igual modo lograr el 1 mm de efecto férula cervico-radicular para las restauraciones, al finalizar los alargamientos se observó que los zenit no se encuentran nivelados, siendo un paciente con sonrisa alta y mal posición dental, se confió la nivelación estética de los zenits al tratamiento de ortodoncia, para que con la extrusión forzada lo lograra.13,14 La gingivectomía es un tratamiento realizado frecuentemente en la consulta odontológica, fue ejecutado en el caso No 2, como parte del tratamiento periodontal, siendo un paciente con antecedente de tumor en un riñón, que puede estar presentando alteraciones hormonales sumándose a la mala higiene causante de la lesión de agrandamiento gingival que presentaba en el diente 12, la cual fue simplemente eliminada por gingivectomía.39,40
CONCLUSIÓN
La sonrisa es un elemento de comunicación social invaluable, aquí la necesidad de lucir unos dientes saludables, funcionales, armónicos y estéticos, siendo estos parámetros el reto a conseguir con restauraciones anteriores.
Las LDT localizadas en zona estética deben ser evaluadas teniendo presente varios aspectos, incluyendo entre ellos: el tipo de sonrisa, edad, vitalidad de los dientes, tejidos involucrados, ubicación de la fractura, y la cantidad de estructura dental remanente. En los casos presentados, el enfoque multidisciplinario involucrando lo endodóntico, quirúrgico y protésico-adhesivo, brindaron buenos resultados en términos de mantener la integridad estructural del diente con restauraciones predecibles y longevas.
Hay varias soluciones disponibles para tratar este tipo de LDT. El tratamiento ideal suele ser la opción más conservadora, en la que la estética y requerimientos funcionales se cumplen.










texto en 
































