INTRODUCCIÓN
El aumento de volumen gingival es una característica común de las enfermedades gingivales.1 La terminología actual denomina este padecimiento como «agrandamiento gingival» o «crecimiento gingival excesivo».2,3 La inflamación gingival crónica puede resultar en un agrandamiento gingival.4 El agrandamiento gingival crónico es provocado por una exposición prolongada a la placa dental. Los factores que favorecen la acumulación y retención de placa incluyen una mala higiene bucal, además de irritación por anormalidades anatómicas y aplicación de fuerzas ortodónticas y de restauraciones inapropiadas.1,2
El agrandamiento gingival inflamatorio se origina como una tumefacción leve de la papila interdental y la encía marginal. Esta tumefacción puede aumentar de tamaño hasta que cubre parte de las coronas. El agrandamiento puede ser localizado o generalizado y progresa de forma lenta e indolora, a menos que se complique con una infección aguda o un trauma.2 En ocasiones, el agrandamiento gingival inflamatorio crónico se da como una masa sésil o pediculada que se asemeja a un tumor. Estos agrandamientos pueden presentarse a nivel interproximal, o tanto en la encía marginal como en la insertada.2 Pueden someterse a una reducción de volumen espontánea, seguida por una exacerbación y agrandamiento continuo. Los agrandamientos gingivales inflamatorios crónicos muestran elementos exudativos y proliferativos característicos de la inflamación crónica, con engrosamiento vascular, nueva formación capilar y cambios degenerativos relacionados. Las lesiones relativamente firmes, resistentes y color rosa tienen un mayor componente fibrótico con abundancia de fibroblastos y fibras de colágeno.2 Este crecimiento excesivo de la encía puede ser mayor en pacientes con factores genéticos, pacientes que consumen fármacos como: anticonvulsivantes, ciclosporina y bloqueadores de canales de calcio; o por factores sistémicos.4-6 En algunos de estos casos, el agrandamiento gingival puede minimizarse con una adecuada higiene oral personal y mantenimiento profesional. Sin embargo, el desbridamiento radicular en pacientes con sobre crecimiento gingival a menudo no devuelve al periodonto su contorno normal.4-8 El crecimiento excesivo residual no sólo puede complicar la capacidad del paciente para limpiar adecuadamente la dentición, también puede presentar problemas estéticos y funcionales.4,5
Este artículo reporta el caso de una paciente con agrandamiento gingival y lesiones gingivales inducidas por placa bacteriana resuelto mediante terapia periodontal no quirúrgica.
PRESENTACIÓN DEL CASO CLÍNICO
Paciente de 71 años de edad, de sexo femenino acude a la Clínica de la Maestría en Periodoncia de la Universidad de San Martín de Porres manifestando: «dolor en las encías, sangrado al cepillado y dos lesiones que no le permiten masticar». Como antecedentes la paciente refiere padecer de osteoporosis y artrosis actualmente en tratamiento. Siendo su última visita al odontólogo hace tres meses por exodoncia debido a caries dental.
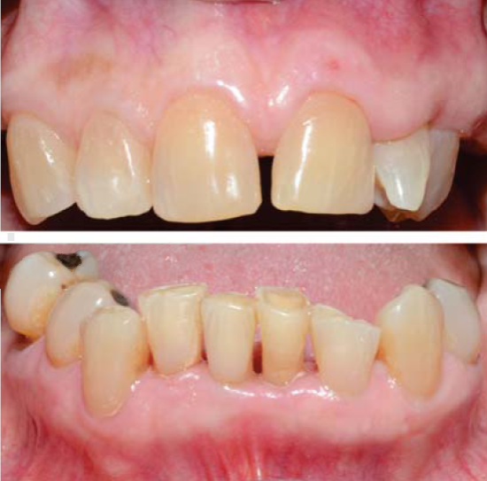
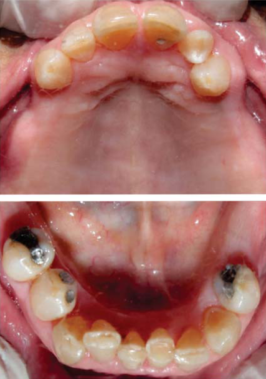
Al examen intraoral se evidencia inflamación gingival en la mayoría de los dientes, también se observó una lesión de tejidos blandos en la encía marginal e insertada vestibular de la pieza 2.1 con presencia de supuración (Figuras 1 a 3). Esta lesión se presenta como una masa sésil, eritematosa, con sangrado espontáneo; que mide aproximadamente 1 × 1 cm y con presencia de bolsa periodontal de 6 mm. Se tomaron radiografías periapicales seriadas, observándose pérdida ósea horizontal en incisivos superiores e inferiores (Figura 4). En la evaluación periodontal se encontró: presencia de bolsas periodontales en el 35.56% de los sitios evaluados, de hasta 12 mm de profundidad. Se observó movilidad grado 2 en las piezas con reabsorción ósea del sector antero superior e inferior, supuración en la pieza 2.1, sangrado al sondaje, y la paciente presentaba un índice de higiene oral del 80% (índice de O’Leary Malo). Mediante toda la información obtenida se llegó al siguiente diagnóstico: periodontitis crónica generalizada severa, deformidades mucogingivales y lesiones adquiridas alrededor de los dientes: «agradamiento gingival». Por este motivo se elaboró el siguiente plan de tratamiento: instrucción de higiene oral, raspado y alisado radicular por sextantes con antibioticoterapia sistémica; más el uso de un agente químico. Reevaluación y primer mantenimiento a los 30 días. Además de esto, inicialmente se planificó la remoción quirúrgica de la lesión.

Figura 1 Vista frontal: periodontitis crónica generalizada y agrandamiento gingival a nivel de pieza 2.1.

Figura 4 Pérdida de continuidad de la cresta ósea en incisivos superiores y pérdida ósea horizontal en incisivos inferiores.
Tratamiento
La fase I de la terapia periodontal se inició con la instrucción de higiene oral a la paciente en cada cita y motivación utilizando como registro e indicador de mejora el índice de O’Leary. Se indicó el uso de un cepillo dental de cerdas suaves y la aplicación de la técnica de Bass para el cepillado. Además, como medios complementarios para la higiene se indicaron el uso de hilo dental y cepillos interproximales los cuales fueron objetos de instrucción en cada sesión del tratamiento. En una segunda sesión se inició la terapia de raspado y alisado radicular por sextantes y pulido de todas las piezas. Este procedimiento fue realizado en un total de cuatro sesiones con un intervalo de tiempo de un día entre cada sesión. El raspado y alisador radicular fue realizado con instrumentación manual utilizando raspadores Jacquet y curetas gracey específicas. Simultáneamente, se indicó amoxicilina 875 mg/ ácido clavulánico 125 mg por vía oral cada ocho horas por una semana, colutorios con clorhexidina 0.12% cada 12 horas 15 mL por un minuto durante 14 días.
Reevaluación al mes
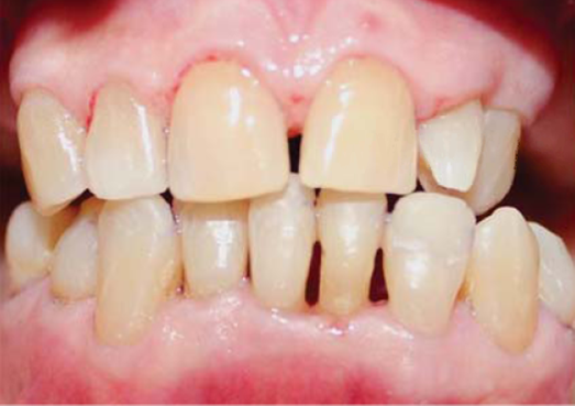
Se realizó un nuevo periodontograma e índice de O’Leary. En esta evaluación, se encontró un porcentaje de bolsas de 12.2%, con profundidad de bolsa de hasta 7 mm, presencia de movilidad grado 2 en la pieza 4.1, ausencia de supuración y un índice de higiene oral de 51.6% (índice de O’Leary Malo) (Figuras 5 y 6). Además se evidenció la remisión del agrandamiento gingival, observándose la encía de color rosado coral, consistencia firme, con márgenes regulares y aspecto saludable. Se realizó nuevamente raspado y alisado radicular en las zonas con presencia de placa dental con bolsas periodontales activas. Posteriormente la paciente fue referida para los tratamientos de operatoria dental y prostodoncia correspondientes.
Reevaluación a los tres meses
En esta reevaluación se encontró un porcentaje de bolsas de 5.5%, con profundidad de hasta 5 mm, presencia de movilidad grado 1 en los dientes anteroinferiores, ausencia de supuración y un índice de higiene oral de 40% (índice de O’Leary Malo) (Figura 7). Se realizó nuevamente terapia de mantenimiento periodontal con instrumentación manual. Se programó la siguiente reevaluación para después de tres meses más.
DISCUSIÓN
Las enfermedades gingivales asociadas a placa bacteriana, las fluctuaciones hormonales endógenas, fármacos, enfermedades sistémicas y la malnutrición tienen varias características esenciales en común. Las características universales de estas enfermedades gingivales incluyen signos clínicos de inflamación, la reversibilidad de las enfermedades mediante la eliminación de la etiología, la presencia de placa bacteriana para iniciar y exacerbar la gravedad de la lesión y un posible papel como precursor de la pérdida de inserción.1 Los signos clínicos de inflamación gingival incluyen contornos gingivales agrandados debido al edema o fibrosis, transición de color a un rojo o rojo azulado, sangrado al sondaje y el aumento de exudado gingival.1
El agrandamiento gingival es un hallazgo frecuente en la práctica clínica y el tratamiento depende de un correcto diagnóstico de la etiología. La forma más común del agrandamiento gingival se debe a la inflamación inducida (hiperplasia inflamatoria) y esto tiende a estar localizado a nivel de las papilas interdentales. Este agrandamiento gingival puede ser exacerbado por efectos hormonales, como en la pubertad y el embarazo, y también por ciertos medicamentos. La hiperplasia inflamatoria inducida por placa debe resolverse con la remoción de placa y cálculo, y la mejora de la higiene bucal por parte del paciente.7 El crecimiento excesivo estéticamente deformante de la encía es un resultado adverso significativo principalmente asociado con el uso de anticonvulsivos, inmunosupresores, y bloqueadores de los canales de calcio.1
Las características clínicas comunes de agrandamiento gingival influenciada por drogas incluyen una variación en el patrón entre pacientes (es decir, la predisposición genética), con una tendencia a ocurrir más a menudo en la región anterior, mayor prevalencia en grupos de edad más jóvenes, aparición en los primeros tres meses de uso, inicio a nivel de las papilas y se puede encontrar en un periodonto con o sin pérdida ósea.1
Sin embargo, en el presente caso se observó inflamación gingival, sangrado al sondaje, presencia de bolsas periodontales, supuración, movilidad dental y agrandamiento gingival a nivel papilar y en encía adherida; siendo la placa bacteriana el factor etiológico de esta lesión debido a la ausencia de otros factores que puedan relacionarse.
Para los pacientes con agrandamiento gingival, la modificación topográfica del tejido por remodelación quirúrgica puede llevarse a cabo para crear un ambiente oral adecuado para el mantenimiento. La recurrencia es común en muchos pacientes con sobre crecimiento gingival inducido por fármacos. Para estos pacientes, la interconsulta con el médico es necesaria para determinar si es posible utilizar una terapia farmacológica alternativa que no induzca el agrandamiento gingival. De lo contrario, puede ser necesario repetir el procedimiento quirúrgico.4
En pacientes periodontales, el tratamiento mecánico no quirúrgico de las bolsas reduce la inflamación, la profundidad de sondaje y aumenta el nivel de inserción clínica.8,9 Sin embargo, a pesar de realizar una meticulosa instrumentación no quirúrgica, la placa residual y el cálculo pueden todavía ser encontrados. Por lo cual, en situaciones en las que persisten los signos de inflamación, el tratamiento quirúrgico puede estar indicado.10
Heitz-Mayfield y colaboradores evaluaron la efectividad del tratamiento quirúrgico versus no quirúrgico para el tratamiento de la periodontitis crónica mediante una revisión sistemática. Ellos indicaron que 12 meses después del tratamiento, la terapia quirúrgica resultó en 0.6 mm más en la reducción de la profundidad al sondaje y en ganancia de inserción clínica 0.2 mm más que la terapia no quirúrgica en las bolsas profundas (> 6 mm). En bolsas periodontales de 4-6 mm, el raspado y alisado radicular resultó en 0.4 mm más de ganancia de inserción clínica y 0.4 mm menos en reducción de la profundidad al sondaje que la terapia quirúrgica. A partir de esto se llegó a la conclusión de que tanto el raspado y alisado radicular por sí solo, y el raspado y alisado radicular combinado con un procedimiento a colgajo son métodos eficaces para el tratamiento de periodontitis crónica, en términos de ganancia de inserción y reducción de la inflamación gingival. Además, se observó que en bolsas profundas (> 6 mm), el desbridamiento a colgajo resulta en una mayor reducción de la profundidad al sondaje y ganancia del nivel de inserción clínica.10
En el caso presentado en este artículo, sólo fue requerida la terapia periodontal no quirúrgica para observar reducción significativa del número y profundidad de bolsas; y reducción en los signos de inflamación. La paciente respondió de manera positiva, encontrando una mejora del estado de salud periodontal en el tiempo con remisión del agrandamiento gingival, sin recidiva hasta el momento del último control.
Por otra parte, en la literatura también se ha reportado el uso complementario de antimicrobianos sistémicos para la terapia periodontal.11,12 La justificación de su combinación con el desbridamiento no quirúrgico es la supresión de los patógenos periodontales persistentes en el biofilm de bolsas periodontales profundas, bifurcaciones radiculares y concavidades.10 Sin embargo, en ciertas situaciones puede ser necesaria la cirugía periodontal y en estos casos existe controversia con respecto a cuándo es más eficaz prescribir el antimicrobiano sistémico: sea en combinación con la terapia periodontal básica o con la fase quirúrgica.11
Cionca y colaboradores encontraron que el metronidazol sistémico, combinado con amoxicilina, mejora significativamente los resultados clínicos a los seis meses del desbridamiento periodontal no quirúrgico de toda la boca, reduciendo así de manera significativa la necesidad de la terapia adicional.10
Sin embargo, la evidencia indirecta sugiere que la ingesta de antibióticos debe ser completada dentro de un corto periodo de tiempo (preferentemente menor a una semana).13
De este modo, en el presente caso se indicó terapia antibiótica sistémica por una semana durante la terapia no quirúrgica, favoreciendo así los resultados obtenidos.
La reevaluación de los resultados después del tratamiento inicial es esencial para seleccionar adecuadamente la terapia adicional y establecer el mejor pronóstico posible a largo plazo. Tradicionalmente, la reevaluación se lleva a cabo pocos meses después del tratamiento periodontal inicial. Si bien los datos demuestran que la curación puede continuar durante nueve meses después del tratamiento inicial, la mayor parte de la curación se completa a los tres meses del tratamiento.8
Varios estudios retrospectivos han evaluado la eficacia del tratamiento periodontal inicial (TPI) seguido de la terapia periodontal de mantenimiento (TPM). En general, la TPM parece eficaz en la prevención de la recurrencia de la periodontitis. En ausencia de TPM aumenta el riesgo de pérdida de dientes. Se ha demostrado que en pacientes con dientes gravemente afectados por la enfermedad periodontal, el control de las concentraciones microbianas y el uso de antibióticos sistémicos como complemento de la TPM no quirúrgica pueden reducir la necesidad de extracciones dentarias. Esto demuestra que la TPM tiene fundamental importancia en el éxito del tratamiento periodontal.14
De acuerdo con todo lo mencionado, la reevaluación del presente caso a los tres meses, mostró una gran mejora en lo que se refiere a: reducción de porcentaje y profundidad de bolsas periodontales, reducción del grado de movilidad, ausencia de supuración, ausencia de recidiva del agrandamiento y un menor porcentaje en el índice de higiene oral (Cuadro I). Esta evolución de la paciente, destaca la importancia de la terapia periodontal de mantenimiento y la necesidad de un seguimiento periódico y permanente de este tipo de pacientes que permitan preservar la salud periodontal a largo plazo.










texto en 








