Servicios Personalizados
Revista
Articulo
Indicadores
-
Citado por SciELO -
Accesos
Links relacionados
-
Similares en
SciELO
Compartir
Revista odontológica mexicana
versión impresa ISSN 1870-199X
Rev. Odont. Mex vol.18 no.4 Ciudad de México oct./dic. 2014
Case reports
Reconstruction of maxillary alveolar process with iliac crest autologous graft
Jorge Pérez Villaseñor* y David Villanueva Jurado§
* Professor, National School of Dentistry, National University of Mexico.
§ Head of Maxillofacial and Oral Surgery Service, Morelos Clinic ISSEMYM (Social Security Institute, State of Morelos).
ABSTRACT
The clinical case presented in this article illustrates the combination of multiple surgical techniques geared to the prosthetic rehabilitation of an edentulous patient for the treatment of an atrophic upper jaw with an onlay type iliac crest autologous graft. Treated patient was a 60 year old female presenting a type IV Cawood and Howell atrophic alveolar process. Therefore, treatment conducted was reconstruction of the alveolar process with an iliac crest autologous graft.
Key words: Autologous graft, reconstruction, bone defects, maxillofacial region.
INTRODUCTION
Patients who have suffered total amputation of teeth are doomed to become invalids for the rest of their lives, unless they receive the benefits of a suitable prosthetic rehabilitation. This implies restitution of maxillary or mandibular alveolar and basal bone in order to achieve long term thickness and height.
Physiopathology of alveolar resorption takes place caused by metabolic components (nutrition, endocrine factors, associated osteopenia, etc.) as well as local elements. These factors exert a significant impact in the field of reconstructive surgery.1
One of the most common local components is the absence of teeth. This elicits resorption in the maxillary bone which is caused by lack of intra-osseous stimulus. Consequently, the proportion of medullar bone compared to cortical bone is modified, nevertheless, cortical bone experiences lesser loss.
It is therefore important to take into consideration the physiological process of mandibular and maxillary bone resorption in order to achieve suitable reconstruction. In maxillary bone, resorption is centripetal, therefore resulting in collapse, nevertheless, in the mandible resorption is centrifuged.
This process initiates in the alveolar ridge, after tooth loss, which elicits gingival collapse and decrease of bone volume. This process takes place from the initial 6 months up to two years after the extraction.1,2 This situation can increase during the rest of the patient's life, due to the compression produced by the use of mal-adjusted removable prostheses, since the patient tends to adapt to their use and modify thus eating habits as well as functional processes of the stomatognatic system.1,3
Alterations in bony form or function are followed by certain changes in their internal and external architecture. Therefore, if bone is loaded into a new direction, its form and structure can change according to its new function. If a deformed bone is rectified and its function restored, the whole bony structure will return to its original shape.4,5
This form and function alteration can be explained with the Wolf principle, where alveolar bone formation is produced through the minimum required effort to preserve itself securing a stable bone physiological process. On the contrary, if this effort is insufficient or there is an excessive load, a bone regressive remodeling could occur.4,5 Since there is a certain equilibrium between the collapse and reparation by means of the osteoma (functional bone unit); this process results in bone shape viability.
This effect of alveolar bone resorption has been described by Cawood and Howell in the following manner:6,7
a) Class I: dentate patients.
b) Class II: post-extraction patients.
c) Class III: convex shaped process with suitable height and width.
d) Class IV: razor's edge with sufficient height, insufficient width of alveolar process.
e) Class V: flat shape with loss of alveolar process.
f) Class VI: loss of basal bone.
Several techniques of pre-prosthetic surgery have been designed in order to rehabilitate different types of alveolar atrophy in both upper and lower jaws. Some of these techniques target the increase of vestibular depth achieved by dissection of soft tissues, such as Wassmund, Kazanjian or Obwgeser vestibuloplasties. Nevertheless, the aforementioned techniques did not meet long term expectations in severe atrophy cases. 7
Currently, procedures are geared towards increasing the remaining bone with the help of autografts, allografts and xenografts. From these derive hybrid techniques such as onlay type grafts, interposition grafts with Lefort I type osteotomy, maxillary sinus grafts, nasal floor grafts, morphogenetic protein, microvascular grafts, dental implants, zygomatic implants and osteogenic distraction. All these can be considered successful reconstructive methods of an atrophic maxillary process.2,7,8
In cases of single tooth loss, or loss of three to four teeth, it is possible to achieve grafting techniques with intraoral donor sites such as the chin, mandibular ramus and maxillary tuberosity.7,8
Nevertheless, in cases of full edentulous atrophic maxillary processes, the bone volume that might be provided by these sites is insufficient for reconstruction. In this context, the clinical operator has the option of choosing an extra-oral donor site, which might provide the option of full maxillary reconstruction, with enough bone to obtain desired volume.9
Procedures involved in harvesting these grafts might present several complications such as postoperative pain, or nerve and healing lesions. When the clinical operator possesses sufficient experience and surgical anatomical knowledge, these complications can be reduced to a minimum.9,10
Autologous grafts of anterior iliac crest provide bone with high content of cellular bony components. Therefore it is considered the standard for reconstruction treatment of the different degrees of maxillary atrophy, since it allows sufficient corticocancellous bone volume, which is a requirement for success in pre-prosthetic surgery.10-12
International scientific literature concurs in the benefits achieved with the reconstruction of atrophic ridges aiming at placing implants. To achieve this aim a treatment plan is required; in that plan it is important to consider the amount and origin of the bone loss. This is essential to obtain successful results in the reconstruction, always bearing in mind the fact that the main objective is long term increase of alveolar process' width and height.7,10-12
When treating atrophic alveolar processes classified as Cawood and Howell IV-VI, an iliac crest onlay type graft is indicated to re-establish maxillary dimensions. This graft is fixed with 1.5 to 2 mm screws as sources of retention and stabilization.7,10-12
PATIENT AND METHOD
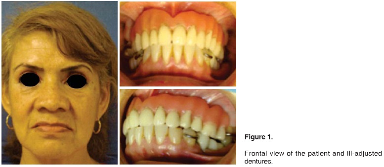
Our patient was a 60 year old female, with no chronic pathological history. The patient's main complaint was instability of the upper prosthesis, which had been manufactured by many specialists. Intra-oral physical examination revealed incomplete permanent dentition, presence of two teeth with grade III mobility in the upper jaw, Cawood and Howell class IV atrophic alveolar process, which measured 3 mm thickness. These data were confirmed with a tomographic study (Figures 1 to 3)(2).


It was decided to extract residual maxillary teeth preserving the alveolus, and to reconstruct the alveolar process by means of onlay-type anterior iliac crest graft, contemplating implant placement in a second surgical event.
SURGICAL TECHNIQUE
Surgical procedure was achieved under balanced general anesthesia. The anterior iliac crest graft was first harvested, following the Kalk technique which consists on taking a corticocancellous block, reciprocating saw, straight and curved chisel, additional cancellous bone was harvested with curettes. Once the graft was harvested, hemostasis was achieved with placement of bone wax9,13 (Figures 4 to 11) (5, 6, 7, 8, 9, 10). Immediately after this, residual teeth were extracted, preserving the alveolus as well as a mucoperiosteal linear incision, on which suspension points with silk 3-0 suture were placed in the palatal mucosa (Figures 12 and 13).










Once the alveolar process was exposed, vestibular cortical decortications were conducted, as well as in one graft wall. Onlay type graft blocks were placed, and graft was fastened with 1.5 mm diameter x 10 mm long screws. Osteosynthesis material was placed in a direction from graft vestibular to alveolar process. Upon conducting this procedure at canine region level, where the most curved section of the maxillary process can be found, some graft blocks began to fracture. Therefore, their direction was altered, and process was initiated through the palatal side, avoiding thus loss of some blocks (Figure 14). Once the blocks were fixated, a cancellous graft was placed in order to achieve anatomical conformation of the alveolar process. A 0.3 collagen membrane was placed as shaper and as cancellous bone maintainer (Figure 15).


Once the block graft, cancellous graft and collagen membrane were in place, the vestibular mucosa was raised and tension was removed from the periosteum in order to achieve tension-free mucosal closing and avoid graft exposition; suture was achieved with simple stitches (Figure 16).

The patient experienced a post-operative period free of intra oral iliac crest wound complications; therefore, a temporary prosthesis was placed with tissue conditioner (Figure 17). Six months later, a sufficiently long and thick alveolar process was obtained (Figure 18), which allowed placement of eight intra-osseous implants (Figures 19 and 20). A full fixed prosthesis was placed, which was supported by zirconium-ceramic implants. During a four year evolution period, in the long term, the alveolar process was reconstructed to reach suitable width and length; therefore, surgical aims as well as patient's expectations were met (Figures 21 to 23) (22).






DISCUSSION
Reconstruction of edentulous atrophic maxillary process with autologous bone graft and intra-osseous implant placement is currently a well established treatment with favorable prognosis.14-16
The aforementioned procedure has been extensively reported in scientific literature. Sjöströmy et al17 reported that the most used graft is the onlay-type anterior iliac crest graft, since it allows to harvest great amounts of cortical and cancellous bone required for the reconstruction of the atrophic edentulous maxilla. Harvesting from this donor site causes practically no complications.14-17 These factors render the anterior iliac crest the first option for harvesting a graft to be used in maxilla reconstruction.16-19
When bone is transplanted from a donor site to another location in the same individual, several processes are initiated. Contact between both will determine the degree of success.13,14,17,19
For a suitable integration to take place, certain circumstances will be required, such as: proliferative activity of osteoprogenitor cells, cellular differentiation, osteoconduction, osteoinduction and biochemical properties of both graft and the recipient bed. Integration mechanism in cortical and medullar bone is similar, nevertheless, certain differences do prevail.19,20
A medullar graft contains a great number of hematopoietic cells, vascular elements, medullar fat, as well as a significant number of cells in the trabecular surface or close to it, which can survive in thegraftand thus directly contribute to the osteogenic response of the bony graft on the recipient bed; nevertheless, a great amount of those components become necrotic.17-19
Re-vascularization of medullar transplants can take place in hours, resulting in anastomosis of host's vessels to the transplant. In transplanted medullar tissue, osteogenic cells differentiate first into osteoblasts, which align in the trabeculae and deposit osteoid tissue.18-20
Basic differences between cortical and medullar graft reparation are: a) re-vascularization speed is greater in the medullar graft, b) initiation of osteoclastic and osteoblastic activity is greater in the medullar graft and c) medullar graft tends to repair with time whereas cortical graft remains as a mixture of necrotic substances and variable bone.19
Multiple studies describe three main techniques for bone reconstruction: a) Onlay, b) Lefort I maxillary interposition and c) Maxillary sinus elevation. All the aforementioned techniques sustain high successful treatment results.2,3,13,14
In several scientific literature reports, a controversy point is the technique of placing implants with the graft in one single phase, or in a second surgical event.
Better results have been reported when the procedure is conducted in two stages, at which point a higher survival rate (88%) is achieved.16,18-20
One of the reasons for this difference probably is the fact that, in the two phase technique, graft re-vascularization is better than with the surgical trauma generated with implant placement. It exhibits the additional advantage of better planning for later rehabilitation.1,3,4,7
Scientific literature reports gradual changes in these results. Since then, more reports of success in reconstruction and placement of implants have been reported when using hybrid techniques.14-16,18
REFERENCES
1. Ellis, Edward. Biology of bone grafting: an overview. San Francisco, Calif. Guild for Scientific Advancement in Oral and Maxillofacial Surgery, 1991: p 1-27. [ Links ]
2. Davis WH. Surgical management of soft tissues problems. In: Fonseca RJ, Davis WH et al. Reconstructive preprosthetic oral and maxillofacial surgery. Philadelphia, PA: WB Saunders, 1986, p. 19-39. [ Links ]
3. Palacci P. Aesthetic treatment of the anterior maxilla: soft and hard tissue considerations. Oral Maxillofac Surg Clin N Am. 2004; 16: 127-137. [ Links ]
4. Beskin JL, Burke SW, Johnston CE 2nd, Roberts JM. Clinical basis for a mechanical etiology in adolescent Blount's disease. Orthopedics. 1986; 9 (3): 365-370. [ Links ]
5. Rubin C, Gross T. Differentiation of the bone-tissue remodeling response to axial and torsional loading in the turkey ulna. J Bone Joint Surg Am. 1996; 78: 1523-1533. [ Links ]
6. Cawood JI, Howell RA. A classification of the edentulous jaws. Int J Oral Maxillofac Surg. 1988; 17: 232-236. [ Links ]
7. Cawood JI, Howell RA. Reconstructive preprosthetic surgery. I. Anatomical considerations. Int J Oral Maxillofac Surg. 1991; 20: 75-82. [ Links ]
8. Sjöström M, Sennerby L, Nilson H, Lundgren S. Reconstruction of the atrophic edentulous maxilla with free iliac crest grafts and implants: a 3-year report of a prospective clinical. Clin Implant Dent Relat Res. 2007; 9 (1): 46-59. [ Links ]
9. Nkenke E, Weisbach V, Winckler E, Kessler P, Schultze-Mosgau S, Wiltfang J, Neukam FW. Morbidity of harvesting of bone grafts from the iliac crest for preprosthetic augmentation procedures: a prospective study. Int J Oral Maxillofac Surg. 2004; 33: 157-163. [ Links ]
10.Stenport VF, Örtorp A, Thor A. Onlay and inlay bone grafts with platelet-rich plasma: histologic evaluations from human biopsies. American Association of Oral and Maxillofacial Surgeons. J Oral Maxillofac Surg. 2011; 69: 1079-1085. [ Links ]
11. Beirne JC, Barry HJ. Donor site morbidity of the anterior iliac crest following cancellous bone harvest. Int J Oral Maxillofac Surg. 1996; 25: 268-271. [ Links ]
12. Bloomquist DS, Feldman GR. The posterior ilium as a donor site for maxilla-facial bone grafting. J Maxillofac Surg. 1980; 8: 60-64. [ Links ]
13. Kalk WWI. Morbidity from iliac crest bone harvesting. J Oral Maxillofac Surg. 1996; 54: 1424-1429. [ Links ]
14. Nyström E, Ahlqvist J, Legrell PE, Kahnberg KE. Bone graft remodelling and implant success rate in the treatment of the severely resorbed maxilla: a 5-year longitudinal study. Int J Oral Maxillofac Surg. 2002; 31: 158-164. [ Links ]
15. Zakhary IE, El-Mekkawi HA, Elsalanty ME. Alveolar ridge augmentation for implant fixation: status review. Oral Surg Oral Med Oral Pathol Oral Radiol. 2012; 114 (5 Suppl): S179-189. [ Links ]
16. Shimizu T, Ohno K, Matsuura M, Segawa K, Michi K. An anatomical study of vascularized iliac bone grafts for dental implantation. J Craniomaxillofac Surg. 2002; 30 (3): 184-188. [ Links ]
17. Sjöström M, Lundgren S, Sennerby L. A histomorphometric comparison of the bone graft-titanium interface between interpositional and onlay/inlay bone grafting techniques. Int J Oral Maxillofac Implants. 2006; 21: 52-62. [ Links ]
18. Siadat H, Panjnoosh M, Alikhasi M, Alihoseini M, Bassir SH, Rokn AR. Does implants taging choice affect crestal bone loss? J Oral Maxillofac Surg. 2012; 70 (2): 307-313. [ Links ]
19. Hunziker EB, Enggist L, Küffer A, Buser D, Liu Y. Osseointegration: the slow delivery of BMP-2 enhances osteoinductivity. Journal Bone. 2012; 51: 98-106. [ Links ]
20. Vu DD, Pharm D, Schmidt BL. Quality of life evaluation for patients receiving vascularized versus nonvascularized bone graft reconstruction of segmental mandibular defects. J Oral Maxillofacial Surg. 2008; 66 (9): 1856-1863. [ Links ]
Note This article can be read in its full version in the following page: http://www.medigraphic.com/facultadodontologiaunam
Mailing address:
Jorge Pérez Villaseñor
E-mail: jpv_vf25@hotmail.com









texto en 


