Case report
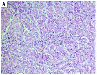
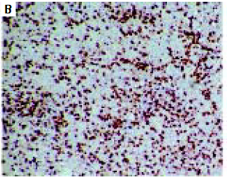
A 73-year-old Asian female with chronic hepatitis B presented with periportal lymphadenopathy, 5 years after she underwent partial hepatectomy for hepatocellular carcinoma (HCC). Segment 7 liver resection specimen at the initial presentation revealed a cirrhotic liver with a 1.2 cm poorly-differentiated HCC accompanied by dense lymphocytic inflammatory infiltrate (Figure 1A) and microvascular invasion (stage pT2 based on American Joint Committee on Cancer, 7th edition). The tumor-infiltrating lymphocytes predominantly comprised of T-lymphocytes (Figures 1B-1C) and the resection margin of the hepatectomy specimen was negative for tumor involvement. During the most recent follow-up, computed tomography scan revealed a 3.4 cm mildly arterial enhancing nodule in porta hepatic with washout on venous phase, concerning for a recurrent HCC in the caudate lobe. Enlarged peripancreatic lymph node (1.6 cm) and precaval lymph node (1.1 cm) were also identified. Her serum alpha-fetoprotein level at the time was within normal limits, 2.4 ng/mL (reference range: 0.0-9.0 ng/mL). The patient subsequently underwent surgical resection for diagnostic and therapeutic purposes. At the time of surgery, no caudate lobe lesion was identified and the porta hepatic nodule was found to be an enlarged porta hepatic lymph node.
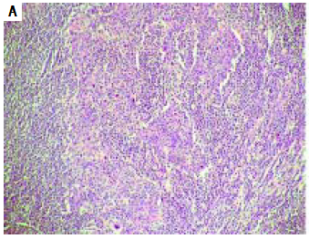
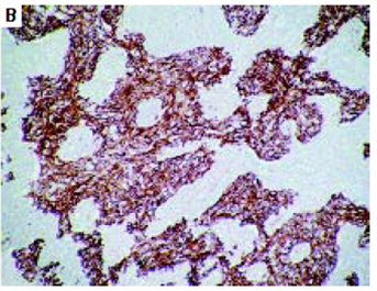
Histologic examination of the enlarged porta hepatic lymph node revealed neoplastic cells arranged in nests and sheets with a lymphoid-rich background (Figure 2A). Immunohistochemical marker confirmed the epithelial origin of these lesional cells (Figure 2B). Histologic slides of the initial hepatic tumor were reviewed, and the metastatic neoplastic cells demonstrated similar morphology to the primary HCC. Meanwhile, microscopic examination of the periportal nodules revealed sheets of mildly atypical small-sized lymphocytes with scattered highly atypical large cells (Figure 3A), concerning for a lymphoproliferative disorder. However, immunohistochemical study demonstrated that the atypical large cells to be of epithelial origin (Figure 3B) without evidence of monoclonal lymphoid cell populations. In addition, perineural invasion was identified in one of the periportal lesions (Figure 3C).

Figure 1A The primary hepatic tumor shows a poorly differentiated carcinoma with abundant tumor-infiltrating lymphocytes (hematoxylin-eosin, 100x).

Figure 1B These tumor-infiltrating lymphocytes were predominantly T-lymphocytes, highlighted by CD3 immunostain (100x).

Figure 1C Less B-lymphocytes were identified, highlighted by CD20 immunostain (100x). The findings are consistent with lymphoepithelioma-like hepatocellular carcinoma.

Figure 2A The hilar lymph node showed metastatic carcinoma with sheets of malignant neoplastic cells with a lymphoid background (hematoxylineosin, 100x).

Figure 3A The periportal nodule was predominantly comprised of small atypical lymphocytes (hematoxylin-eosin, 100x). Inset shows scattered large atypical cells (hematoxylin-eosin, 400x).

Figure 3B Scattered malignant epithelial cells were seen in single-cell infiltrative pattern (cytokeratin AE13, 100x).

Figure 3C Focus of perineural invasion was also noted (asterix highlights the nerve) (hematoxylin-eosin, 400x).
The patient was doing well after the surgery and she subsequently received adjuvant external-beam radiotherapy due to lymphovascular and perineural invasions identified in the porta hepatic nodule.
Discussion
Lymphoepithelioma was initially described as a distinctive type of nasopharyngeal undifferentiated carcinoma with brisk lymphocytic infiltrates and a strong association with Epstein-Barr virus (EBV);1,2 while tumors with similar morphology that arise outside of the nasopharynx are designated as lymphoepithelioma-like carcinomas. Primary lymphoepithelioma-like carcinomas in the liver, which include cases of lymphopeithelioma-like cholangiocarcinoma (LEL-CC) and lymphopeitheliomalike hepatocellular carcinoma (LEL-HCC), are particularly rare. LEL-CC is characterized by female predominance, favorable overall survival, and an association with EBV.3 LEL-HCC, which is less common than LEL-CC, is also characterized by female predominance and better overall and progression-free survivals compared to HCC without significant tumor infiltrating lymphocytes. However, there is no established association between LEL-HCC and EBV based on the case series reported by Chan, et al.4 and Patel, et al.5
The histologic diagnosis of metastatic LEL-HCC can be challenging, particularly in cases without known primary tumor. Differential diagnoses include LEL carcinoma from other organs, medullary carcinoma, metastatic melanoma, and lymphoma. LEL-HCC is notably difficult to distinguish from the latter in lesions with single-cell infiltrative pattern. The highly atypical neoplastic cells interspersed between small lymphocytes may resemble Reed-Sternberg cells seen in Hodgkin’s lymphoma.6 Immunohistochemistry is helpful to characterize the origin of these neoplastic cells. The presence of aberrant immunophenotype in the lymphoid component would also support the diagnosis of lymphoma. In addition, flow cytometry might be helpful to make or exclude the diagnosis in cases with suspected lymphoma.
Recently, Calderaro, et al.7 reported high expression of programmed death ligand 1 (PD-L1) immune checkpoint in the inflammatory cells of LEL-HCC. PD-L1 expression by the neoplastic cells was associated with markers of tumor aggressiveness (high serum alpha-protein level, macro- and microvascular invasion, and satellite nodules) and with the progenitor subtype of HCC.7 In our patient, the metastatic tumor cells and tumor infiltrating lymphocytes in the periportal lesion showed positive membranous staining for PD-L1 (Figure 4) (Anti-PD-L1205921, Abcam, Cambridge, MA, United States). This information will be pertinent for patients with particular HCC subtypes as targeted therapy becomes available in the future.

Figure 4 Programmed death ligand-1 membranous positivity in the neoplastic cells and tumor-infiltrating lymphocytes of the periportal lesion (PDL1, 400x).
In conclusion, we reported a case of a patient with chronic hepatitis B who presented with a small, solitary LEL-HCC and developed metastatic disease 5 years later. The metastatic lesions demonstrated different morphologic features. The hilar lymph node showed a straightforward diagnosis of metastatic carcinoma with sheets of malignant epithelial cells. Meanwhile, the morphologic findings of the periportal nodules were more subtle, as the predominant component of these lesions was the (tumorinfiltrating) lymphocytes. Immunohistochemistry is an important diagnostic tool in making the diagnosis. Finally, LEL-HCC has also been associated with frequent PD-L1 expression which might have prognostic and therapeutic implications.










nueva página del texto (beta)



