Introduction
Paracoccidioidomycosis is a systemic fungal disease1 with a restricted geographic distribution in Mexico and Central and South America. The most significant number of patients is registered in Brazil, with 80% of all reported cases, followed by Colombia, Venezuela, and Argentina2. It occurs most frequently in adult male agricultural workers due to exposure to the fungal habitat (soil), mainly in those who cultivate coffee, cotton, and tobacco3.
Two clinical forms of the disease have been described: an acute/subacute form (juvenile type) and a chronic form (adult type). The former occurs in a smaller percentage of cases and includes weight loss, fever, anemia, and lymphadenopathy as clinical manifestations. In addition, liver, splenic, bone marrow, and gastrointestinal involvement may also be present4, although the latter has not been frequently reported in the literature.
Here, we present the case of a 9-year-old male patient with paracoccidioidomycosis admitted to a hospital in northern Peru with digestive manifestations from the onset of infection.
Clinical case
We describe the case of a 9-year-old male patient from Tabaconas, a coffee-growing district in the Cajamarca region of Peru. He presented with a 10-week course of illness, which started with hyporexia and sporadic abdominal pain. After one week, liquid evacuations were present, mainly at night in the beginning, although later increased in frequency and volume until reaching 4 to 6 episodes per day. After six weeks, the abdominal pain intensified, with the addition of nausea, vomiting, and an unquantified sensation of thermal elevation. The frequency of bowel movements also increased to 8 to 10 episodes per day, for which he was admitted to a local general hospital. Given the poor clinical evolution and significant weight loss, the patient was referred to our hospital (Figure 1).

Figure 1 Clinical evolution of the patient. APR: acute phase reactants; FFP: fresh frozen plasma; HD: hospital day; STE: sensation of thermal elevation.
On admission, the patient was found afebrile, with cachexic facies, marked pallor, polyadenopathy, edema of the lower limbs, and diffuse abdominal pain on deep palpation. Initial laboratory tests showed moderate anemia, leukocytosis with neutrophilia and anisocytosis with mild hypochromia, prolonged prothrombin and activated partial thromboplastin time, increased C-reactive protein, severe hypoalbuminemia, moderate hyponatremia and hypokalemia (Table 1), as well as fecal leukocytes > 100 per field.
Table 1 Laboratory studies at admission and by hospital days
| Admission | HD 9 | HD 14 | HD 25 | HD 29 | HD 38 | HD 51 | HD 63 | |
|---|---|---|---|---|---|---|---|---|
| Hemoglobin (g/dL) | 7.9 | 10.2 | 8.7 | 6.1 | 8.9 | 9.1 | 8 | 8.5 |
| Leukocytes (x103/mm3) | 20.2 | 17.64 | 13.06 | 14.57 | 11.79 | 14.9 | 8.5 | 10.1 |
| Rods (x103/mm3) | 0 | 0 | 0.13 | 0 | 0 | 0.59 | 0 | 0.1 |
| Neutrophils (x103/mm3) | 18.18 | 14.11 | 11.69 | 10.49 | 8.3 | 11.9 | 3.6 | 5.35 |
| Platelets (x103/mm3) | 353 | 208 | 250 | 197 | 108 | 53 | 556 | - |
| INR | 1.47 | 1.37 | - | - | - | 1.53 | - | - |
| Activated partial thromboplastin time (s) | 51 | 45.4 | - | - | - | 63.2 | - | - |
| Glucose (mg/dL) | 90 | 85 | - | 80 | 85 | 84 | - | - |
| Urea (mg/dL) | 8 | - | - | 21 | - | 9 | 11 | 37 |
| Creatinine (mg/dL) | 0.16 | - | - | 0.18 | - | 0.08 | 0.09 | 0.23 |
| Aspartate aminotransferase (U/L) | 13 | 11 | 11 | 21 | - | 14 | 17 | 22 |
| Alanine aminotransferase (U/L) | 11 | 6 | 8 | 15 | - | 14 | 13 | 20 |
| Total protein (mg/dL) | 5.46 | 4.5 | 4.07 | 5.35 | 4.89 | 5.47 | 6.61 | 7.47 |
| Albumin (mg/dL) | 1.85 | 1.31 | 2.09 | 2.32 | 2 | 2.48 | 2.59 | 3.25 |
| C-reactive protein (mg/L) | 29.2 | 47.3 | 44.6 | 18.4 | 22.3 | 54.1 | 4.9 | 4.5 |
| Sodium (mmol/L) | 127 | 127.9 | 136 | 145.8 | 138.8 | 130.1 | 136.1 | 138.2 |
| Potassium (mmol/L) | 2,97 | 3.81 | 2.42 | 2.52 | 2.29 | 3.43 | 4.86 | 4.67 |
| Chloride (mmol/L) | 106.7 | 107.9 | 104.9 | 116.2 | 116 | 106.7 | 109.9 | 104.9 |
| Calcium (mmol/L) | 1.2 | 1.3 | 1.32 | 1.09 | 1.1 | 1.07 | 1.25 | 1.26 |
| Magnesium (mg/dL) | - | - | - | 1 | 1.5 | - | - | - |
HD: hospital days; INR: international normalized ratio.
Sepsis of abdominal origin was diagnosed, and after cultures were taken, intravenous treatment with ceftriaxone (100 mg/kg/day) and metronidazole (30 mg/kg/day) was started. In addition, vitamin K (10 mg) was administered, and a blood transfusion and fresh frozen plasma were indicated. The differential diagnosis included metaxenic disease (bartonellosis, malaria), intestinal parasitosis, fungal colitis, tuberculosis, and lymphoma.
Other laboratory studies were requested, such as beta-2 microglobulin (normal results), IgM-IgG for toxoplasma, cytomegalovirus and herpes simplex, antibodies for SARS-CoV-2 virus, ELISA (enzyme-linked immunosorbent assay) for HIV (human immunodeficiency virus), smear for Bartonella, thick drop for malaria, test for bacillus Koch (BK) in gastric contents, stool, and urine; expanded serial parasitology, blood culture, urine culture, and stool culture, all negative.
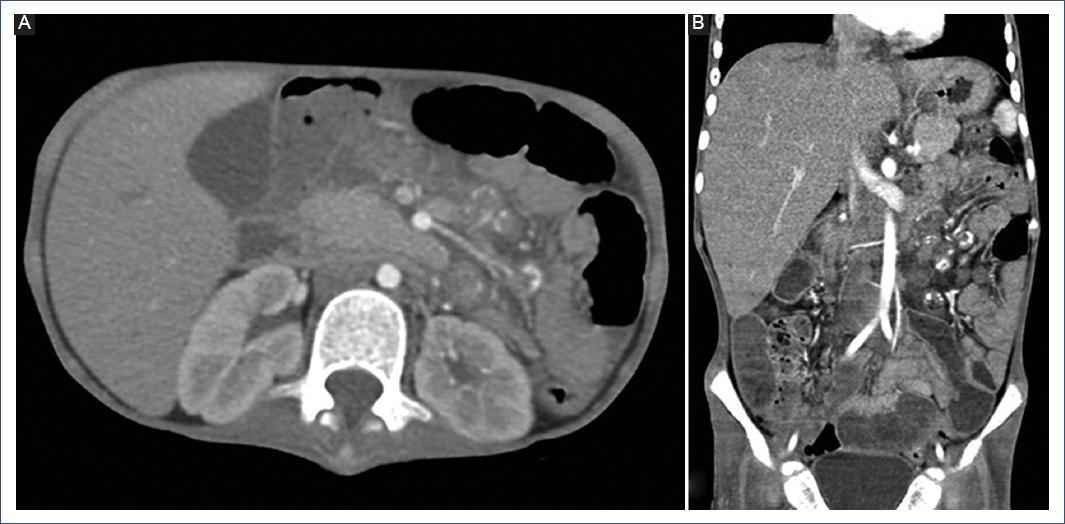
A contrasted abdominal CT scan showed hepatomegaly and multiple mesenteric, para-aortic, and retroperitoneal lymphadenopathies (Figure 2). Due to suspecting a lymphoproliferative picture, a cervical lymph node biopsy was performed on hospital day 3 (HD3).

Figure 2 Contrast-enhanced abdominal CT scan. A: multiple ovoid mesenteric adenopathies. B: hepatomegaly, multiple retroperitoneal adenopathies with a tendency to conglomerate and some with internal calcification images.
During the evolution of the disease, the patient presented abdominal pain of moderate intensity during feeding, persistent edema in the lower limbs, and a fecal flow between 2.5 and 4.5 g/kg/h, requiring replacement of losses with polyelectrolyte solution. On HD9, there was a slight improvement in the coagulation profile, with persistent hyponatremia, increased C-reactive protein, and decreased serum albumin values (Table 1), so it was decided to administer human albumin at a dose of 0.5 g/kg/day for three consecutive days.
The anatomopathological report was received with the following result: chronic granulomatous inflammatory process and multiple mycotic structures corresponding to Paracoccidioides (Figure 3). Intravenous treatment with amphotericin B was started at an initial test dose of 0.25 mg/kg/day, with good tolerance, gradually increasing at a rate of 0.25 mg/kg/day up to the therapeutic dose of 1 mg/kg/day.

Figure 3 Lymph node biopsy. A: hematoxylin-eosin (HE) stain 400X. Chronic granulomatous inflammatory process (yellow asterisk) where round yeasts are observed (red arrow). B: special methenamine-silver stain 400X. Multiple multigemant yeasts in the shape of a ship’s rudder corresponding to Paracoccidiodes are observed (yellow arrow).
The patient showed clinical improvement during the first week of treatment (HD14) with a fecal flow between 1.6 and 3.6 g/kg/h, a mild decrease in abdominal pain, and improvement in food acceptance. Although there was a decrease in peripheral blood neutrophils and C-reactive protein, severe hypokalemia was identified, requiring intravenous potassium correction and increased oral intake.
At the end of 12 days of treatment with amphotericin B (HD25), increased skin and mucosal pallor, and edema and paresthesia in the lower limbs were reported. Laboratory tests revealed severe anemia, hypokalemia, and hypomagnesemia, requiring blood transfusion and intravenous correction with potassium chloride and magnesium sulfate. Fecal output was registered at 1 g/kg/h.
Considering the favorable clinical evolution and the evidence of adverse effects (anemia, mild thrombocytopenia, and persistent hypokalemia with the need for frequent corrections with potassium chloride), it was decided to discontinue amphotericin B on day 22 (HD31) of treatment with this drug, and to initiate itraconazole orally at a dose of 8 mg/kg/day with good tolerance.
On HD38, the patient presented with fever and oral intolerance, with a hemogram showing leukocytosis and increased neutrophils and rods, coagulation disorder, increased C-reactive protein, hyponatremia (Table 1), and a urine culture positive for E. coli ESBL (extended-spectrum beta-lactamase), for which meropenem was administered at a dose of 60 mg/kg/day, with good clinical response.
Finally, the patient was discharged on HD63 to continue treatment with itraconazole and medical check-ups in the primary care unit.
For the present publication, informed consent was obtained from the patient’s father and authorization from the ethics committee of the Hospital Regional Lambayeque.
Discussion
Paracoccidioidomycosis is a disease caused by fungi of the genus Paracoccidioides, including the Paracoccidioides brasiliensis and Paracoccidioides lutzii species, which are thermally dimorphic and are found as mycelia between 22-26°C and as yeast at 37°C1. Multilocus sequence typing (MLST) has identified at least five phylogenetic groups of P. brasiliensis: S1a, S1b, PS2, PS3, and PS4, which have a particular geographic distribution5. The phylogenetic species S1a and S1b predominate in southeastern and southern Brazil, Argentina, and Paraguay; PS2 has been reported less frequently, and human cases have only been reported in Venezuela and southeastern Brazil, while PS3 and PS4 are endemic exclusively in Colombia and Venezuela, respectively4.
Prevalence in areas considered endemic can reach 50-70% of the adult population, with approximately 10 million people infected by this fungus1. Although paracoccidioidomycosis occurs as natural infection, mainly in humans, sporadic infections have been reported in domestic and wild animals, mainly in some species of armadillos6.
In adults, the chronic form of the disease is more prevalent in males between 30 and 60 years of age, with an average male-to-female ratio of 13:1 in Brazil and up to 70:1 in other South American countries7. Male predominance may be due to the protective effect of beta-estradiol. This female hormone could inhibit the yeast phase of the fungus, explaining why this gender difference is not observed before puberty, during which the acute/subacute form of the disease usually occurs4.
Paracoccidioides spp. enter by inhalation into the lungs, where activated neutrophils and macrophages can block fungal growth and dissemination in most individuals, forming granulomas at sites of primary infection and sometimes in metastatic foci that may contain viable but inactive fungal forms8. After a prolonged latency period (years), when the immune balance is lost due to some conditions that have not yet been fully identified, the infection can spread to any part of the body by hematogenous or lymphatic routes, generating a florid disease (chronic form of paracoccidioidomycosis)4.
Less frequently, the systemic disease may also progress from the primary focus of infection without a latency period, accounting for less than 10% of cases. It presents a rapid clinical deterioration of the patient (acute-subacute or juvenile paracoccidioidomycosis), which may appear as early as 45 days after exposure9. In the latter case, dissemination of the infection to the reticuloendothelial system manifests with lymphadenopathy, hepatosplenomegaly, and anemia due to bone marrow dysfunction, frequently accompanied by fever and weight loss, with pulmonary involvement being very infrequent, unlike the chronic form, as occurred in the present case. Laboratory tests may show anemia (89%), eosinophilia (76%), hypoalbuminemia (73%), hyperbilirubinemia (44%), and mild hypertransaminasemia (20%)10. In addition, our patient also presented with coagulation disorders, a situation not frequently reported in this infection11 that could be associated with hepatic involvement.
Digestive involvement is uncommon in children and can also be caused by ingestion of Paracoccidioides spp12. Our patient showed abdominal pain and diarrhea in the early stages of the disease, which are the most frequent symptoms of gastrointestinal tract involvement. However, other manifestations have also been described, such as hematochezia, mucus in the stool, vomiting and, less frequently, regurgitation, altered intestinal motility, hiccups, and palpable abdominal mass12-15. A recent review reported that the most common location of the disease was the colon, followed by the small intestine and mouth, with the most significant involvement in segments of the gastrointestinal tract rich in lymphoid tissue such as the ileum, cecum, appendix, and ascending colon14.
In severe disease with multisystem involvement, as in this patient, intravenous treatment with amphotericin B is recommended, followed by administration of itraconazole after observing an improvement in clinical status (between 20 and 40 days of intravenous therapy)4 since amphotericin B can be associated with adverse effects such as hypokalemia and hypomagnesemia. Therefore, we administered amphotericin B for 22 days and observed several adverse effects, a situation that improved upon rotation to itraconazole.
In conclusion, we reported this case not only because of the age of presentation but also due to the digestive symptoms observed since the onset of the disease, which were the reason for consultation and have not been frequently reported in the literature within the clinical manifestations of paracoccidioidomycosis.









nueva página del texto (beta)


