Servicios Personalizados
Revista
Articulo
Indicadores
-
Citado por SciELO -
Accesos
Links relacionados
-
Similares en
SciELO
Compartir
Boletín médico del Hospital Infantil de México
versión impresa ISSN 1665-1146
Bol. Med. Hosp. Infant. Mex. vol.68 no.4 México jul./ago. 2011
Caso clínico
Enfisema lobar congénito en los lóbulos superior y medio del pulmón derecho en una paciente de 2 meses de edad
Congenital lobar emphysema in upper and middle lobes of right lung in a 2-month-old female patient
Roberto Mijangos Vázquez, Salvador Coronado Aguirre
Departamento de Pediatría, Hospital Regional Dr. Valentín Gómez Farías, Instituto de Seguridad y Servicios Sociales de los Trabajadores del Estado (ISSSTE), Zapopan, Jalisco, México
Autor de correspondencia:
Dr. Roberto Mijangos Vázquez
Correo electrónico: borre007@hotmail.com
Fecha de recepción: 11-02-10
Fecha de aceptación: 26-06-10
Resumen
Introducción. Las malformaciones broncopulmonares son infrecuentes, esporádicas y pueden asociarse con malformaciones congénitas en otros sistemas. Dentro de este grupo de malformaciones se encuentra el enfisema lobar congénito: una anomalía del desarrollo del tracto respiratorio bajo que se manifiesta como la hiperinsuflación de uno o más lóbulos pulmonares. Entre sus causas se han propuesto el atrapamiento de aire por un mecanismo valvular en los bronquios o el gigantismo lobular por sobredesarrollo alveolar del parénquima pulmonar.
Caso clínico. Se reporta el caso de una paciente de 2 meses de edad que desde el nacimiento cursó con una patología respiratoria catalogada como proceso neumónico; fue tratada con múltiples esquemas de antibióticos, así como con la colocación de sellos pleurales por complicaciones con aparente neumotorax y derrame pleural. Posteriormente se realizó el diagnóstico de enfisema lobar congénito derecho con el apoyo de estudios de gabinete. Se manejó quirúrgicamente y se encontró la afectación de los lóbulos medio y superior del pulmón derecho.
Conclusiones. La paciente evolucionó favorablemente con una buena expansión del pulmón residual derecho y la corrección de las posiciones mediastínicas.
Palabras clave: enfisema lobar congénito, malformación congénita pulmonar, dificultad respiratoria, toracotomía posterolateral.
Abstract
Background. Bronchopulmonary malformations demonstrate a low frequency in the population. Their presentation is sporadic and may be associated with malformations in other systems. Within this group is congenital lobar emphysema, which is a developmental anomaly of the lower respiratory tract manifesting as hyperinflation of one or more lung lobes. Among its causes, entrapment of air through a valve mechanism at the bronchus or gigantism by overdevelopment of lobular alveolar lung parenchyma has been proposed.
Case report. We report the case of a 2-month-old female patient who from birth presented with respiratory disease classified as pneumonic process. The patient was treated with multiple antibiotic schemes as well as placement of pleural seals complicated by pneumothorax and pleural effusion. Subsequently, diagnosis of congenital lobar emphysema was made and supported by laboratory studies. Surgery was carried out where involvement of the middle and upper lobes of the right lung was demonstrated.
Conclusions. The patient presented a favorable evolution with a good expansion of residual right lung and correction of mediastinal positions.
Key words: congenital lobar emphysema, congenital pulmonary malformation, respiratory difficulty, posterolateral thoracotomy.
INTRODUCCIÓN
El enfisema lobar congénito (ELC) es una malformación pulmonar caracterizada por la obstrucción parcial de las vías aéreas. Los bronquios permiten la entrada del aire inspirado pero durante la espiración se colapsan con la subsecuente hiperinsuflación de uno o más lóbulos en un pulmón histológicamente normal. Esta sobreinsuflación origina una retención focal de aire a la espiración con la consiguiente distensión del lóbulo afectado y la compresión de estructuras adyacentes. De acuerdo con la teoría sugerida por Hislop y Reid el defecto radicaría en un deficiente desarrollo del cartílago (broncomalacia) que sustenta al bronquio del lóbulo afectado o en una obstrucción intraluminal.1-3 En una mitad de los casos no se encuentra la causa y en la otra la Enfisema lobar congénito en los lóbulos superior y medio del pulmón derecho en una paciente de 2 meses de edad obstrucción intraluminal, ya sea por repliegue de la mucosa bronquial, por rotaciones, por estenosis bronquiales o por tejido de granulación, es la causa más frecuente. En 2% de los casos la causa es extrínseca, por anillos vasculares o adenopatías mediastinales. Una segunda teoría propone, como mecanismo del ELC, el crecimiento exagerado de los alveolos en el área afectada. Esta teoría se basa en el hallazgo anatomopatológico de acinos pulmonares con un número elevado de alveolos de tamaño normal sin que la vía aérea presente anomalías (forma polialveolar).2
El ELC constituye de 1.4 a 2.2% de todas las malformaciones congénitas. La incidencia es de 1 caso por cada 20,000 a 30,000 nacidos vivos y predomina en el sexo masculino (relación 3:1).4-6 Los lóbulos afectados más frecuentemente son el lóbulo superior izquierdo (47-50%), el lóbulo medio derecho (28-24%), el lóbulo superior derecho (18-20%) y los lóbulos inferiores (5%).4,5 El ELC se asocia con otras malformaciones congénitas en 14 a 40% de las ocasiones, siendo las más comunes el ductus arterioso persistente, los defectos del septo interventricular, las hernias diafragmáticas y las malformaciones renales.
Los síntomas suelen manifestarse al nacimiento en 33% de los casos, en 50% durante el primer mes de vida y la mayoría antes del año de edad. El cuadro clínico es como el de cualquier lesión que ocupa el tórax y, dependiendo de la severidad de la malformación, puede presentarse como dificultad respiratoria progresiva de evolución rápida en los primeros meses de vida o tener un inicio insidioso y más gradual e, incluso, no presentar síntomas durante años. Habitualmente afecta a niños eutróficos que consultan por disnea o insuficiencia respiratoria que puede ser progresiva. La severidad depende del tamaño del lóbulo sobredistendido, de la compresión del tejido pulmonar que le rodea y del grado de desplazamiento del mediastino.
El ELC es una de las causas de pulmón hiperlúcido unilateral, por lo que las radiografías anteroposterior (AP) y lateral de tórax son fundamentales en el diagnóstico y seguimiento de estas entidades. En la radiografía de tórax podemos observar una sobredistensión del lóbulo o lóbulos afectados con líneas broncovasculares mal definidas en su interior, atelectasia del pulmón contralateral, aplanamiento del hemidiafragma ipsilateral y desviación del mediastino hacia el lado contralateral. La tomografía axial computarizada (TAC) de tórax de alta resolución demuestra la zona enfisematosa y la compresión del pa-rénquima no afectado.7,8
La lobectomía ha sido el tratamiento tradicional en los pacientes con ELC que presentan síntomas severos o de inicio en la etapa neonatal. En la actualidad, el tratamiento conservador es el más aceptable en niños asintomáticos de cualquier edad o que presenten síntomas respiratorios leves o moderados, sobre todo si la exploración broncoscópica resulta normal. En estos casos la conducta a seguir serán la observación y la vigilancia estrechas, ya que muchos casos involucionan. El manejo conservador en niños se puede llevar a cabo bajo un seguimiento estricto, dando información sobre el padecimiento y sus complicaciones a los padres y adiestrándolos para identificar los datos de alarma. En caso de persistir los síntomas respiratorios se deberá realizar una lobectomía en forma electiva, evitando así mayores riesgos para el paciente.9
CASO CLÍNICO
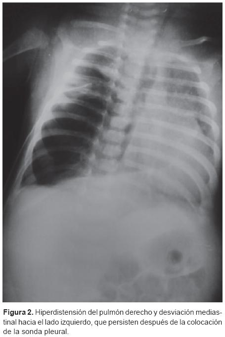
Se trata de un paciente femenino de 2 meses de edad que desde su nacimiento en el Hospital Regional de Zona del Instituto de Seguridad y Servicios Sociales de los Trabajadores del Estado (ISSSTE) en La Paz, Baja California, México, presentó un cuadro caracterizado por dificultad respiratoria severa acompañada de tos seca, estridor espiratorio, cianosis central durante la alimentación, además de la presencia de tiraje intercostal y disociación toraco-abdominal, lo que se catalogó como un proceso neumónico; se manejó con múltiples esquemas de antibióticos y con la colocación de un sello pleural en dos ocasiones para resolver un supuesto neumotórax y un derrame pleural como complicaciones del proceso infeccioso. Se realizaron estudios de gabinete y se observó en la radiografía simple de tórax una imagen de hiperlucidez y atrapamiento de aire en el pulmón derecho, atelectasia en el pulmón contralateral y desplazamiento del mediastino hacia el lado izquierdo (Figuras 1 y 2). Se complementó el estudio de imagen con TAC de tórax y se encontró en los cortes superiores una zona enfisematosa aparentemente del lóbulo superior derecho (Figura 3) y en los cortes inferiores parénquima pulmonar normal, imágenes compatibles con ELC derecho. Se decidió enviar a la paciente del Hospital Regional de Baja California a un hospital de alta especialidad en la Ciudad de México para realizar la corrección quirúrgica del padecimiento. Sin embargo, durante el traslado aéreo, la paciente presentó un evento de cianosis e incremento de la dificultad respiratoria, por lo que descendió de manera urgente en la Ciudad de Guadalajara, Jalisco, México, y se trasladó al Hospital Regional Dr. Valentín Gómez Farías (HRVGF).



Ya en el HRVGF, en la exploración física inicial, se encontró una paciente con datos leves de dificultad respiratoria, polipnea, tiraje intercostal y aleteo nasal, con la presencia de un orificio de sonda pleural en fase de cicatrización a nivel de parrilla costal derecha (colocado durante el manejo inicial en el hospital de referencia), con oxígeno suplementario en mascarilla facial saturando por arriba de 90%. Se tomaron exámenes paraclínicos que reportaron los siguientes resultados:
1. Biometría hemática con Hb 11.6g/dl, Hto 34%, leucocitos 9,770, neutrófilos 56.1%, linfocitos 35.8% y monocitos 5.4%, plaquetas 376,000.
2. Química sanguínea con glucosa 96 mg/dl, BUN 12 mg/dl, urea 25 mg/dl, creatinina 0.41 mg/dl.
3. Electrolitos séricos con Na 139.4 mmol/l, K 5.1 mmol/l, Cl 102.9 mmol/l.
4. Tiempos de coagulación con TP 12, TPT 25.9, fibrinógeno 333.
Se valoró por el servicio de Cirugía Pediátrica y se corroboró el diagnóstico de referencia, por lo que se programó el procedimiento quirúrgico en forma electiva.
Se realizó la toracotomía exploradora posterolateral derecha y se encontraron los lóbulos superior y medio del pulmón derecho hiperinsuflados, protruyendo por la herida quirúrgica a pesar de la pérdida de presión negativa de la cavidad torácica; el lóbulo inferior, de características normales, se encontró colapsado. Se realizó lobectomía media y superior. El lóbulo inferior se expandió con presión positiva ocupando 60% de la capacidad de la cavidad torácica. El procedimiento se terminó colocando una sonda de toracotomía con sistema PLEUR EVAC®.
En la Unidad de Terapia Intensiva Pediátrica (UTIP), durante el posoperatorio inmediato, el paciente presentó gasto hemático por la sonda de toracotomía (aproximadamente de 200 ml); se tomaron muestras y se encontraron TP de 18.3 y TPT no coagula. Se requirió de la exploración quirúrgica por segunda ocasión y se encontró sangrado de vasos intercostales; se realizó hemostasia para cohibir el sangrado. Durante el posoperatorio mediato la paciente presentó coagulopatía por consumo y proceso séptico, por lo que requirió de manejo intensivo con apoyo de asistencia mecánica ventilatoria, antibioticoterapia (cefepime, amikacina) y la corrección de las alteraciones hematológicas con vitamina K, plasma fresco congelado y paquetes globulares. La paciente presentó cifras tensionales altas para su edad por lo que se le administraron captopril y espironolactona. Cardiología pediátrica realizó un ecocardiograma y encontró músculo cardiaco de características normales e hipertensión pulmonar leve.
La paciente evolucionó de forma favorable. El pulmón derecho residual presentó una buena expansión posquirúrgica y se centralizaron las estructuras mediastínicas (Figura 4). Se retiró la sonda de la toracotomía al sexto día después de la cirugía. También se corrigieron la sepsis y las alteraciones hematológicas.

Posteriormente, la paciente fue dada de alta de la UTIP para ingresar al piso de Pediatría, donde terminó el esquema de antimicrobianos y, finalmente, fue egresada a su domicilio.
La pieza macroscópica mostró lóbulos de color rosado y áreas violáceas con aspecto enfisematoso (Figura 5). El estudio histopatológico de la pieza quirúrgica reportó múltiples dilataciones de los espacios aéreos correspondientes a los bronquiolos, a los conductos alveolares y a los alvéolos, con algunos bronquios con hiperplasia nodular linfoide, además de zonas de atelectasia (Figura 6), neumonitis intersticial (Figura 7), reacción xantogranulomatosa a cuerpo extraño (Figura 8), enfisema (Figura 9) y zonas hemorrágicas (Figura 10).






DISCUSIÓN
El tratamiento del enfisema lobar congenito (ELC) varía dependiendo de las condiciones clínicas del paciente.10-12 Una alternativa de manejo es la expectante en pacientes asintomáticos sin eventos de descompensación cardiovascular o con compromiso respiratorio, a los cuales se les debe llevar un seguimiento clínico y radiológico estricto. El tiempo de observación reportado varía en diferentes estudios; el de mayor duración ha sido hasta los 17 años demostrando el decremento en la hiperexpansión del lóbulo afectado.8
La otra alternativa es el manejo quirúrgico, que consiste en la resección del segmento pulmonar afectado por medio de toracotomía exploradora y/o toracoscopia, indicado en los pacientes sintomáticos con compromiso respiratorio y/o descompensación cardiovascular.
Por lo anterior, en este caso se decidió el tratamiento quirúrgico, mismo que se llevó a cabo de manera exitosa con una evolución favorable, presentando una buena expansión del pulmón residual derecho y la corrección en la posición de las estructuras medias-tínicas. Únicamente presentó hipertensión pulmonar leve como secuela.
Cabe señalar que la trascendencia de este caso radica tanto en la baja incidencia de ELC bilobular ipsilateral (ya que no se encontró en la literatura médica mexicana algún caso anteriormente reportado) como en la importancia de establecer un diagnóstico oportuno y de certeza en vista de que muchos casos son confundidos con la presencia de neumotórax, neumomediastino o derrame pleural; por lo que, en varias ocasiones, los pacientes son tratados con sondas pleurales sin haber necesidad, lo que puede provocar complicaciones de diversa índole.
REFERENCIAS
1. Acitores Suz E, Lalinde Fernández M, Lamela Lence MT. Enfisema lobar congénito, causa de dificultad respiratoria en un neonato. Rev Pediatr Aten Primaria 2007;9:41-46. [ Links ]
2. Giudici R, Leáo L, Moura L, Wey S, Ferreira R, Crotti P. Polial-veolose: patogénese do enfisema lobar congénito? Rev Ass Med Brasil 1998;44:99-105. [ Links ]
3. Álvarez Muñoz V. Patología torácica quirúrgica en la infancia. Bol Pediatr 2001;41:131-136. [ Links ]
4. Castellanos Morfín J, Rodríguez Balderrama I, Villareal Castellanos E, Villegas Álvarez C, Gutiérrez Ramírez SF, Rodríguez Juárez DA, et al. Manejo conservador del enfisema lobar congénito: informe de un caso y revisión de la literatura. Rev Mex Pediat 1997;64:18-21. [ Links ]
5. Visrutaratna P, Euathrongchit J, Kattipattanapong V. Clinics in diagnostic imaging. Singapore Med J 2003;44:325-329. [ Links ]
6. Karnak I, Senocak ME, Ciftci AO, Büyükpamukçu N. Congenital lobar emphysema: diagnostic and therapeutic considerations. J Pediatr Surg 1999;34:1347-1351. [ Links ]
7. Eren S, Balc1 AE, Ülkü R, Eren NM, K1l1nç N. Congenital lobar emphysema. Turkish J Thorac Cardiovasc Surg 2002;10:244-246. [ Links ]
8. Ozçelik U, Göçmen A, Kiper N, Dogru D, Dilber E, Yalçin EG. Congenital lobar emphysema: evaluation and long-term follow-up of thirty cases at a single center. Pediatr Pulmonol 2003;35:384-391. [ Links ]
9. Cruz Anleu ID, Marín Santana JC, Islas Salas MA, Flores Hernández SS. Enfisema lobar congénito. ¿Es el tratamiento conservador una alternativa? Bol Pediatr 2009;49:118-121. [ Links ]
10. Quiñones AA, Sotelo RR, Juárez HF, Flores A, Rivera F, Romero IA. Enfisema lobar congénito coexistente con pecho excavado. Presentación de un caso clínico-radiológico. Rev Inst Nal Enf Resp Mex 2006;19:282-285. [ Links ]
11. Palacios Malmaceda G, Compen Kong R. Enfisema lobar congénito. Bol Med Hosp Infant Mex 1979;36:445-452. [ Links ]
12. Ollano A, Altamirano E, Drut R. Enfisema lobular congénito: reporte de un caso. Patolog Rev Latinoam 2008;46:348-350. [ Links ]













