Servicios Personalizados
Revista
Articulo
Indicadores
-
Citado por SciELO -
Accesos
Links relacionados
-
Similares en
SciELO
Compartir
Boletín médico del Hospital Infantil de México
versión impresa ISSN 1665-1146
Bol. Med. Hosp. Infant. Mex. vol.67 no.2 México mar./abr. 2010
Caso clínico
Tumor sólido pseudopapilar del páncreas pediátrico. Presentación de un caso y revisión en la literatura
Solid pseudopapillary tumor of the pancreas in pediatric patients. Case report and literature review
José Francisco Camacho Aguilera1, Juan Carlos Duarte Valencia2, Juan Francisco Hidalgo Corona3, Alfonso Valenzuela Espinoza4, Pameri Ortiz Equihua5
1 Cirugía General, Querétaro, Qro.
2 Cirugía Pediátrica
3 Cirugía General
4 Patología, Hospital General de Tijuana
5 Médico General, Universidad Xochicalco, Tijuana, Baja California, México
Autor de correspondencia:
Dr. José Francisco Camacho Aguilera
Correo electrónico: entamoebo@hotmail.com
Fecha de recepción: 30-06-08.
Fecha de aceptación: 30-09-08.
Resumen
Introducción. El tumor sólido pseudopapilar del páncreas (TSP) es un tumor epitelial de baja malignidad que afecta principalmente a mujeres jóvenes y comprende aproximadamente 1-2% de todas las neoplasias de páncreas. Presentamos un caso de este tipo de tumor tratado en el Hospital General de Tijuana en el Servicio de Cirugía Pediátrica, así como una revisión de la literatura.
Caso clínico. Se presenta el caso de un paciente femenino de 12 años de edad con la única sintomatología de tumor palpable en epigastrio de crecimiento progresivo. Es diagnosticada con un tumor sólido pseudopapilar localizado en la cola del páncreas y tratada exitosamente con pancreatectomía distal sin esplenectomía. Se egresa a los 3 días de postquirúrgico.
Discusión. Se concluye que el TSP es un diagnóstico diferencial ante la presencia de masas a nivel del páncreas, aunque por su rareza no debe ser la primera opción a descartar, especialmente en pacientes pediátricos. La cirugía por sí sola representa el mejor tratamiento para esta entidad patológica, ya que demuestra un nivel de curación excelente, y se debe intentar en todos los casos independientemente del tamaño de la lesión pancreática.
Palabras clave: tumor sólido, pseudopapilar, páncreas, pediátrico, tumor benigno.
Abstract
Background: Solid pseudopapillary tumor (SPT) of the pancreas is a low-grade epithelial malignant tumor principally affecting young women and represents ~1-2% of all pancreatic neoplasms. We present a case of this type of tumor treated at the General Hospital of Tijuana in the service of pediatric surgery. We also present a review of the literature.
Case: We present the case of a 12-year-old female with symptomatology of a progressively growing palpable tumor in the upper abdomen. She was diagnosed with SPT located in the tail of the pancreas. It was treated successfully with distal pancreatectomy without splenectomy. The patient was discharged on the third post-surgical day.
Discussion: SPT is a differential diagnosis with the presence of a mass at the level of the pancreas. Due to its rarity, it is not the first option to rule out, especially in pediatric patients. Surgery alone represents the best treatment for this pathological entity and should be attempted in all cases, independent of the size of the pancreatic lesion.
Key words: pediatrics, pancreatic solid pseudopapillary tumor, benign tumor.
Introducción
El tumor sólido pseudopapilar (TSP) del páncreas es un tumor epitelial de baja malignidad que afecta principalmente a mujeres jóvenes. Fue descrito por primera vez por Frantz1 en 1959 y ha sido denominado con otros términos como neoplasias papilares epiteliales, tumor acinar sólido y quístico, neoplasia papilar quística, carcinoma papilar quístico, tumor sólido y quístico, tumor papilar de bajo grado y tumor de Frantz.2 Finalmente, en 1996, la Organización Mundial de la Salud (OMS) le dió el nombre de tumor sólido pseudopapilar del páncreas,3 y lo clasificó dentro del grupo de tumores del páncreas exocrino tipo «borderline», es decir, con incierto potencial maligno.4 El TSP es una neoplasia que comprende aproximadamente 1-2% de todas las neoplasias de páncreas (Tabla 1).5 Presentamos un caso de este tipo de tumor tratado en el Hospital General de Tijuana en el Servicio de Cirugía Pediátrica, así como una revisión de la literatura.

Reporte del caso
Paciente femenino de 12 años de edad, sin antecedentes de relevancia. Refiere historia de 4 años de evolución con presencia de masa en región epigástrica, que fue incrementando paulatinamente de tamaño hasta ser notoria a la palpación superficial. El examen físico reveló una paciente en buenas condiciones generales, con presencia de un tumor indoloro palpable en epigastrio e hipocondrio izquierdo, de aproximadamente 15 x 10 cm.
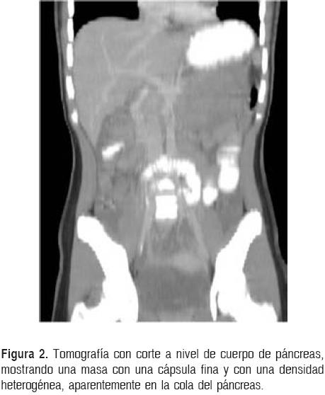
Los exámenes de laboratorio fueron normales, incluidos los niveles de α-feto-proteína y β-gonado-tropina coriónica humana. Se realizó ultrasonido que muestra lesión en cuadrante superior izquierdo, de 8 x 9 x 5 cm aproximadamente, sólido, de aspecto heterogéneo y cápsula bien definida (Fig. 1). Se realiza tomografía axial computarizada (TAC), en la que se observa un tumor de aproximadamente 8 x 8 cm, heterogéneo, bien definido por la presencia de una cápsula (Fig. 2). La imagen por resonancia magnética (IRM) de la lesión en sentido axial (Fig. 3) revela el tumor ocupando gran parte del cuadrante superior izquierdo.



Finalmente, se realiza celiotomía exploradora con abordaje a través de incisión subcostal izquierda. Se encontró tumor sólido de aproximadamente 10 cm de diámetro localizado en la cola del páncreas (Fig. 4). Se realizó pancreatectomía distal con resección del tumor. En el postquirúrgico, se observa con buena evolución, signos vitales normales, escaso gasto seroso por drenaje cerrado y tolerancia a la vía oral.

El análisis histopatológico reveló la presencia de un tumor de 9 x 8 x 4 cm, con cápsula color gris blanquecino, indurada. Al corte de la masa se encuentran áreas color café obscuro alternando con áreas sólidas, gris blanquecinas, granulares y áreas microquísticas, con aspecto congestivo hemorrágico (Fig. 5). El diagnóstico histopatológico fue de tumor sólido pseudopapilar del páncreas.

Discusión
El TSP del páncreas es una neoplasia sumamente rara. Desde el primer reporte hecho por Frantz en 1959 hasta el año 2006, se han reportado 629 casos en 178 series6-8 y solamente se han reportado 4 casos en nuestro país.9-11 Hasta 1999, se habían reportado aproximadamente 90 niños (menores a 18 años) con TSP.12 El TSP del páncreas es muy raro, constituyendo el 0.17-2.7% de los tumores primarios no endocrinos del páncreas.13-15 Se observa principalmente en mujeres no caucásicas en 90-95% de los casos5,6 (especialmente asiáticas y afroamericanas) que se encuentran en la 2ª y 3ª décadas de vida,5,16,17 con un pico de incidencia en la 3ª década de vida (promedio a los 24 años) y un rango que va desde los 2 hasta los 72 años.8 Los casos que se presentan en la primera década de vida son raros y menos del 10% se reportan en pacientes mayores de 40 años.18 El TSP rara vez se observa en hombres; de hecho existe una relación 1:9.5 hombre-mujer,15,19 aunque en niños se ha encontrado una relación 1:3 hombre-mujer.20 El pico promedio de incidencia en hombres es a los 31 años18 (la edad promedio es mayor en pacientes masculinos, P< 0.05).21
La etiología del tumor sólido pseudopapilar del páncreas aún es desconocida y continúa siendo motivo de controversia. Se han propuesto tres orígenes probables: en las células del conducto pancreático, en las células acinares o en las células endocrinas.16,22 Otra hipótesis es que el TSP se origina de células pancreáticas pluripotenciales o deriva de tejido extrapancreático, posiblemente gonadal (ovárico), que pudiera haberse adjuntado al parénquima pancreático durante la embriogénesis temprana.8,23 También se ha sospechado la presencia de factores genéticos en su origen al observarse una mayor incidencia en mujeres asiáticas.14 El análisis inmunohistoquímico revela que en más del 90% de los casos existe una positividad a la vimentina, a la enolasa especifica de neurona, a la α-1-antitripsina3,5,24,25 a la α-1-antiquimiotripsina16, al CD10 y al CD56.24,26 Además, se ha observado la expresión de cadherina-E en núcleo y su ausencia a nivel de membrana y citoplasma.27 Todas las células del TSP muestran inmunoreactividad citoplasmática para la galectina-3 y ha servido para diferenciar al TSP de los tumores endocrinos.22
No se ha observado la presencia de receptores de estrógeno en estos tumores, pero si se ha evidenciado la presencia de receptores de progesterona en muchos casos (de 80 a 100%).10,16,21,28 La expresión de vimentina, α-1 antitripsina, α-1 anti-quimiotripsina y enolasa específica de neurona confirma la sospecha de la teoría de una célula precursora proveniente de una célula epitelial primitiva.7 Se cree que las hormonas sexuales juegan un papel más importante en el crecimiento del tumor que en su etiopatogenia,14,18 como lo confirma el mayor índice de crecimiento del TSP durante el embara-zo.16 Por otro lado, Abraham y cols. observaron la presencia de mutaciones en el exón 3 del oncogén de la β-catenina en el 90% de las muestras analizadas, y sólo el 15.8% de las mismas mostraron so-breexpresión nuclear de p53.13 Tanaka y cols. observaron 100% de inmunoreactividad para la β-catenina en el citoplasma y 83% en núcleo de 18 muestras de TSP.29 Ocasionalmente se ha observado la presencia de aneuploidia,13 especialmente en los TSP malignos. Se han encontrado anormalidades cromosómicas, incluyendo doble pérdida de cromosomas X, trisomía de cromosoma 3 y translocación no balanceada entre los cromosomas 13 y 17, asociados con una conducta agresiva.18 El índice proliferativo, evaluado por la inmunoreactividad Ki-67, es menor del 1% en las muestras comunes de TSP. En los casos agresivos ha mostrado 30-40% de positividad.30
El cuadro clínico de estos tumores es variable. En la revisión de Martin RCG y cols. se encontró la presencia de dolor abdominal en el 58% de los casos, y el 29% permaneció asintomático,2 similar a lo observado por Nakagohri T y cols.31 Por otra parte, Patil TB y cols. evidenciaron la presencia de dolor abdominal en el 72% de los pacientes en su reporte de 14 casos,32 y Sheehan MK y cols. en el 63% de sus casos.33 El dolor abdominal también es el síntoma más frecuente en niños con TSP, presente en el 87% de los casos, además de masa palpable en el 35%, dispepsia en el 26% y elevación de la amilasa sérica en el 18%.20 Otros datos clínicos que pueden estar presentes son: malestar abdominal vago,16 sensación de plenitud,14 o saciedad temprana,7 sensación de una masa abdominal, ictericia34 náusea y vómito (32%),21 y pérdida de peso (18%).21,25,33 El palpar una masa abdominal puede ser un síntoma tardío de la enfermedad.7 A pesar de todo, este tipo de tumores son de lento crecimiento, lo que contribuye a largos periodos libres de enfermedad aún en pacientes con recurrencias o metástasis.1 Aunque este tipo de tumores pueden crecer hasta 20 cm, generalmente lo hacen alrededor de los tejidos más que dentro de los mis-mos.35 De ahí deriva que aunque el TSP se localice en la cabeza del páncreas, sólo 8% de los mismos cursen con ictericia.36 En otros casos, el diagnóstico se realiza en forma incidental durante la realización de algún estudio de imagenología complementario por otra patología,14 debido a que los pacientes se encuentran asintomáticos aun cuando son portadores de este tumor.20 En algunas series, el diagnóstico incidental alcanza hasta el 55% de los pacientes.23 El diagnóstico por abdomen agudo cuando se presenta hemoperitoneo por rotura espontánea o sangrado intratumoral, es más raro.14,17,34,37
Los exámenes de laboratorio usualmente son normales (p. ej. niveles de amilasa)16 y los marcadores de cáncer pancreático (p. ej. CA19-9, antígeno carcinoembrionario o α-fetoproteína) casi siempre son negativos.3
Los estudios de imagenología para el diagnóstico de estas lesiones son: el ultrasonido, la tomografía axial computarizada (TAC) y la imagen por resonancia magnética (IRM). En las placas simples de abdomen pueden observarse estructuras desplazadas o calcificaciones.9 Por otra parte, en el ultrasonido se visualiza una masa con áreas de alta y baja ecogenicidad sin septos en su interior,34 y la angiografía demuestra zonas de poca vascularidad.9,38 En la TAC, los TSP se presentan como masas heterogéneas grandes con presencia de una cápsula.25 Las zonas de hemorragia tienen hiperatenuación y las áreas de degeneración quística se observan con hipoatenuación. Las calcificaciones se observan en el 30% de los casos. Con el contraste se observa un reforzamiento periférico heterogéneo con un centro de baja densidad.39 La cápsula suele ser hi-perdensa (70%) y los tumores pueden presentar un nivel líquido en su interior (10%).35 Las calcificaciones son raras, pero cuando existen, se encuentran en la periferia del tumor.40 Algunos autores han reportado una frecuencia de calcificaciones de aproximadamente 40%.23,31 En las resonancias magnéticas se muestra una heterogeneidad en 73.5% de los casos y en 89% son hiperintensas. La presencia de hemorragias dentro de la lesión se observa en más del 70% de los casos.35 Las áreas de hiperintensidad en la serie T1 y de hipointensidad baja o no-homogénea en la serie T2 ayudan a identificar las áreas de hemorragia y también ayudan a diferenciar los TSP de otros tumores pancreáticos.19 Las zonas sólidas en la serie T1 se muestran hipointensas, aunque pueden verse ocasionalmente zonas de hiperintensidad.41 Se ha sugerido realizar biopsias por punción por aspiración con aguja fina (PAAF) percutánea guiada por TAC, aunque no se ha difundido su uso debido a complicaciones potencialmente serias.37 Por ello, se ha sugerido la posibilidad de realizar biopsias por aspiración con aguja fina guiada por ultrasonido endoscópico, ya que muestran sensibilidad de 81.6% y especificidad de 87.5% para tumores no neuroendocrinos.42 Las complicaciones con este método diagnóstico apenas son del 2%.43 El TSP también se ha detectado con la tomografía por emisión de positrones; se puede observar una captura elevada de la F-18 fluorodeoxiglucosa por la lesión.44
El TSP se encuentra circunscrito al páncreas en 85% de los casos y el 10-15% de los pacientes muestran metástasis13,16 o tendrán recurrencias del tumor.11,25 El sitio más frecuente de metástasis es el hígado (2-42%, promedio 14%),8,45 vena cava inferior (27%), bazo (17%),8 vena porta (5%),17,46 peritoneo (42%), ganglios linfáticos (25%)17 y el resto a otros órganos como retroperitoneo, duodeno, epiplón, colon, mesocolon y pulmón (9%).8,46 Otros autores reportan como sitios frecuentes de diseminación, después del hígado, a los ganglios linfáticos y el peritoneo.2 Las metástasis hepáticas generalmente son solitarias.19 No se han establecido criterios claros de malignidad, pero la invasión perineural o angio-invasión, con o sin invasión profunda a los tejidos circundantes,34 así como un alto grado de pleomorfismo celular y un índice mitótico elevado, pueden indicar el comportamiento agresi-vo.30,46 Otras características patológicas, probablemente asociadas con una conducta agresiva del TSP, son: patrón de crecimiento difuso con necrosis tumoral extensa, la presencia de un componente no diferenciado,30 atipia nuclear, la invasión venosa y la presencia de células gigantes mono o multinucleadas.22 La presencia del TSP en ancianos se ha relacionado con mayor probabilidad de malignidad.22 La neoplasia es más agresiva en pacientes masculinos.21
El análisis histopatológico demuestra la presencia de tumores encapsulados, compuestos por elementos quísticos, sólidos y hemorrágicos. La presencia de una cápsula y de hemorragia intratumoral son características importantes en el diagnóstico, debido a que rara vez se encuentran en otras neoplasias pancreáticas.3,15,34 El tamaño oscila entre los 2 a 20 cm, con un promedio entre diferentes reportes de 6 a 10 cm, siendo mayores en el cuerpo y cola que en la cabeza del páncreas.12,15,20,25 Se pueden encontrar calcificaciones en el 30% de los casos que generalmente son periféricas.8,19,34 A nivel microscópico, se observan áreas sólidas alternando con formaciones pseudopapilares, evidencia de degeneración celular, se incluyen cristales de colesterol y agregados de histiocitos, hendiduras nucleares y agregados de glóbulos hialinos citoplasmáticos.2,25 Los cambios degenerativos producen un patrón pseudopapilar característico de células epiteliales en varias capas alrededor de un tallo central fibrovascular. 3,16,25 Las células son uniformes, con escasa actividad mitótica, poligonales, monomórficas y con gran contenido de eosinófilos.10,15 Las áreas sólidas contienen necrosis, macrófagos esponjosos, gránulos de colesterol y calcificaciones.16 Es posible que el TSP sea esencialmente sólido e hipervascular y que, a medida que aumenta de tamaño, se acompaña de hemorragia intratumoral secundaria y necrosis, con desarrollo de componentes quísticos degenerativos. Las manifestaciones clínicas, características de crecimiento e inmunoperfil, son similares al TSP clásico.47 Otra forma de crecimiento es la denominada neoplasia quística papilar infiltrativa sólida, la cual es histológica, histoquímica y ultraestructuralmente semejante al TSP clásico, excepto la ausencia de una cápsula y la presencia de una porción infiltrativa.38
El diagnóstico diferencial incluye cualquier proceso sólido y/o quístico del páncreas.17,18,34 En niños, se debe descartar neuroblastoma, leucemia/ linfoma y desórdenes linfoproliferativos, pues son más comunes que las neoplasias primarias. Las metástasis son extremadamente raras.12
El tratamiento de elección es el quirúrgico, preservando la mayor parte de tejido pancreático posible.8 El sitio de localización de los TSP del páncreas es: en la cabeza en 33-40%, en el cuerpo en 14-28% y en la cola en 32-50%;2,10 de ahí que las opciones quirúrgicas abarquen la simple enucleación, la pancreatectomía distal y la duodenopancreatec-tomía.7,16,31 Se puede realizar esplenectomía con pancreatectomía distal, lo cual no altera en forma significativa la morbi-mortalidad.48 En el caso de la enucleación, el riesgo de desarrollar una fístula es alto, por lo que debe ser evitada en lo posible.33 No está justificada la disección linfática extensa ni la resección de estructuras adyacentes.14 El tamaño del tumor no es un predictor de irresecabilidad, ya que lesiones de hasta 20-30 cm pueden ser resecables sin ningún problema.2 Con la sola cirugía, el pronóstico del TSP es muy bueno; la sobrevida a 5 años es superior al 95%12,49 y a 10 años del 93%,28 con una morbilidad de hasta 43%35 y baja tasa de recurrencia (10-15%).6,10,46
Las complicaciones que se pueden presentar después de la cirugía son fístula pancreática, fístula biliar, infección de herida quirúrgica, absceso abdominal, vaciado gástrico prolongado, sangrado intra-abdominal e íleo.50 Incluso, en caso de existir metástasis sincrónicas, se debe intentar la resección de las mismas, ya que el pronóstico continúa siendo satisfactorio con ese abordaje, puesto que la diseminación no se considera como un factor predictivo negativo de supervivencia.2,37 Se ha sugerido que la edad es un factor de riesgo para el desarrollo de metástasis metacrónicas.51
La terapia adyuvante con quimioterapia se ha usado en un pequeño número de pacientes sin que sea claro su papel en esta entidad patológica, especialmente en los casos de metástasis hepáticas.14 Los regímenes de quimioterapia han sido diversos sin demostrar respuesta adecuada.2 Se puede intentar la administración de quimioterapia en pacientes con lesiones irresecables o con múltiples metástasis a hígado, aunque no hay un esquema quimioterapéutico estandarizado.45 La radioterapia se ha usado en forma infrecuente en tumores irresecables o como adyuvante después de la resección del tumor.2,46 Se ha observado una mala respuesta con ciclos de 5-fluorouracilo. Por otra parte, se ha observado un uso exitoso de radioterapia en TSP irresecable localmente avanzado. También se han obtenido buenos resultados con el uso de ablación con radiofrecuencia percutánea en las metástasis hepáticas.45
Nuestro caso corresponde a una paciente de 12 años de edad, lo que no es frecuente aun en esta rara entidad patológica, aunque se han reportado algunas series de casos en edades pediátricas, como la de Choi SH y cols.20 donde observaron una edad promedio de 13 años. Nuestro caso presenta los datos clínicos más frecuentes reportados para el TSP: dolor abdominal y presencia de una masa palpable de lento crecimiento. Al estudiar el caso, se observa la falta de alteraciones en los exámenes de laboratorio; no así en el ultrasonido, la tomografía axial computarizada y la imagen por resonancia magnética, donde se observa claramente la presencia de la lesión y se corrobora lo establecido por diversos autores, quienes sostienen que estos estudios son de gran valor para el diagnóstico del TSP de páncreas.
El tratamiento del TSP de páncreas en nuestra paciente fue una pancreatectomía distal. Se logró la resección completa del tumor sin ninguna complicación postquirúrgica inmediata.
Se concluye que el TSP es un diagnóstico diferencial ante la presencia de masas a nivel del páncreas, aunque por su rareza no debe ser la primera opción a descartar, especialmente en pacientes pediátricos. La cirugía por sí sola representa el mejor tratamiento para esta entidad patológica, ya que demuestra un nivel de curación excelente.
Referencias
1. Kato T, Egawa N, Kamisawa T, Tu Y, Sanaka M, Sakaki N, et al. A case of solid pseudopapillary neoplasm of the pancreas and tumor doubling time. Pancreatology 2002;2:495-498. [ Links ]
2. Martin RCG, Klimstra DS, Brennan M F, Conlon KC. Solid-pseudopapillary tumor of the pancreas: a surgical enigma? Ann Surg Oncol 2002;9:35-40. [ Links ]
3. Ulusan S, Bal N, Kizilkilic O, Bolat F, Yildirim S, Yildirim T, et al. Solid-pseudopapillary tumour of the pancreas associated with dorsal agenesis. Br J Radiol 2005;78:441-443. [ Links ]
4. Jiménez MFJ, Tolosa I, De Blas A, García SJ, Cabada T, Olier J. Tumores quísticos pancreáticos y lesiones pseu-dotumorales. An Sis Sanit Navar 2003;26:243-250. [ Links ]
5. De Castro SMM, Singhal D, Aronson DC, Busch ORC, van Gulik TM, Obertop H, et al. Management of solid-pseudopapillary neoplasms of the pancreas: a comparison with standard pancreatic neoplasm. World J Surg 2007;31:1129-1134. [ Links ]
6. Iribarren DM, Castro PG, Fernández MR, Meléndez VR, Freiria BG, García L F, et al. Neoplasia epitelial pseudopapilar sólido-quística de páncreas (tumor de Frantz). Estudio de dos nuevos casos. Rev Esp Enferm Dig 2004;96:877-878. [ Links ]
7. Costa-Neto GD, Amico EC, Costa GID. Tumor sólidocístico pseudopapilar do páncreas (tumor de Frantz). Estudo de quatro casos. Arq Gastroenterol 2004;41:259-262. [ Links ]
8. Targarona J, Paggi L, Garatea R, Romero C, Rosamedina JL, Lora A, et al. Tumores sólidos pseudopapilares de páncreas. Reporte de 7 casos y revisión de la literatura. Rev Gastroenterol Perú 2007;27:185-190. [ Links ]
9. Valdés R, Molinar L, Ortega J. Neoplasia epitelial papilar sólida y quística de páncreas. Imágenes del tumor y seguimiento. Gac Med Mex 1999;135:333-337. [ Links ]
10. Cervantes M F, Florez ZC, Álvarez MI. Tumor pseudopapilar sólido-quístico de páncreas. Presentación aguda postraumática. Reporte de un caso y revisión de la literatura. Rev Gastroenterol Mex 2002;67:93-96. [ Links ]
11. González M, Aldrete J. Neoplasias quísticas del páncreas: informe de tres casos de difícil diagnóstico. Rev Inv Clin 1995;47:43-48. [ Links ]
12. Rebhandl W, Felberbauer FX, Puig S, Paya K, Hochschorner S, Barlan M, et al. Solid-pseudopapillary tumor of the pancreas (Frantz tumor) in children: report of four cases and review of the literature. J Surg Oncol 2001;76:289-296. [ Links ]
13. Abraham SC, Klimstra DS, Wilentz RE, Yeo CJ, Conlon K, Brennan M, et al. Solid-pseudopapillary tumors of the pancreas are genetically distinct from pancreatic ductal adenocarcinomas and almost always harbor â-catenin mutations. Am J Pathol 2002;160:1361-1369. [ Links ]
14. Frago R, Fabregat J, Jorba R, García B F, Altet J, Serrano MT, et al. Tumor sólido pseudopapilar de páncreas: diagnóstico y tratamiento curativo. Rev Esp Enferm Dig 2006;98:813-816. [ Links ]
15. Hyang ES, Myung KL, Young DL, Seong WJ, Chang MC, Won YT, et al. Solid pseudopapillary tumor of the pancreas. J Clin Gastroenterol 2006;40:919-922. [ Links ]
16. Coleman KM, Doherty MC, Bigler SA. Solid-pseudopapillary tumor of the pancreas. Radiographics 2003;23:1644-1648. [ Links ]
17. Karagülle E, Yildirim E, Kiyici H, Karakayali H. Solid pseudopapillary of the pancreas: a case report. Turk J Gastroenterol 2006;17:316-319. [ Links ]
18. Salla C, Chatzipantelis P, Konstantinou P, Karoumpalis I, Pantazopoulou A, Dappola V. Endoscopic ultrasoundguided fine-needle aspiration cytology diagnosis of solid pseudopapillary tumor of the pancreas: a case report and literature review. World J Gastroenterol 2007;13:5158-5163. [ Links ]
19. Jin YC, Myeong JK, Joo HK, Seung HK, Joon Sl, Young TO, et al. Solid pseudopapillary tumor of the pancreas: typical and atypical manifestations. Am J Radiol 2006;187:W178-W186. [ Links ]
20. Choi SH, Kim SM, Oh JT, Park JY, Seo JM, Lee SK. Solid pseudopapillary tumor of the pancreas: a multicenter study of 23 pediatric cases. J Pediatr Surg 2006;41: 1992-1995. [ Links ]
21. Machado MCC, Machado MAC, Bacchella T, Jukemura J, Almeida JL, Cunha JEM. Solid pseudopapillary neoplasm of the pancreas: distinct patterns of onset, diagnosis, and prognosis for male versus female patients. Surgery. 2008;143:29-34. [ Links ]
22. Geers C, Moulin P, Gigot JF, Weynand B, Deprez P, Rahier J, et al. Solid and pseudopapillary tumor of the pancreas-review and new insights into pathogenesis. Am J Surg Pathol 2006;30:1243-1249. [ Links ]
23. Fernández JA. Tumores quísticos del páncreas: revisión de la literatura. Cir Esp 2003;73:297-298. [ Links ]
24. Salvia R, Bassi C, Festa L, Falconi M, Crippa S, Butturini G, et al. Clinical and biological behavior of pancreatic solid pseudopapillary tumors: report on 31 consecutive patients. J Surg Oncol 2007;95:304310. [ Links ]
25. Adams AL, Siegal GP, Jhala NC. Solid pseudopapillary tumor of the pancreas. A review of salient clinical and pathological features. Adv Anat Pathol 2008;15:39-45. [ Links ]
26. Notohara K, Hamazaki S, Tsukayama C, Nakamoto S, Kawabata K, Mizobuchi K, et al. Solid-pseudopapillary tumor of the pancreas. Immunohistochemical localization of neuroendocrine markers and CD10. Am J Surg Pathol 2000; 4:1361-1371. [ Links ]
27. El-Bahrawy MA, Rowan A, Horncastle D, Tomlinson I, Theis BA, Russell RCG, et al. E-cadherin/catenin complex status in solid pseudopapillary tumor of the pancreas. Am J Surg Pathol 2008;32:1-7. [ Links ]
28. Yeh TS, Jan YY, Chiu CT, Ho YB, Chen TC, Lee KF, et al. Characterisation of oestrogen receptor, progesterone receptor, trefoil factor 1, and epidermal growth factor and its receptor in pancreatic cystic neoplasms and pancreatic ductal adenocarcinoma. Gut 2002;51:712-716. [ Links ]
29. Tanaka Y, Kato K, Notohara K, Hojo H, Ijiri R, Miyake T, et al. Frequent β-catenin mutation and cytoplasmic/nuclear accumulation in pancreatic solid-pesudopapillary neoplasm. Cancer Res 2001;61:8401-8404. [ Links ]
30. Tang LH, Aydin H, Brennan M F, Klimstra DS. Clinically aggressive solid pseudopapillary tumors of the pancreas. A report of two cases with components of undifferentiated carcinoma and comparative clinicopathologic analysis of 4 conventional cases. Am J Surg Pathol 2005;29:512-519. [ Links ]
31. Nakagohri T, Kinoshita T, Konishi M, Takahashi S, Gotohda N. Surgical outcome of solid pseudopapillary tumor of the pancreas. J Hepatobiliary Pancreat Surg 2008;15:318-321. [ Links ]
32. Patil TB, Shrikhande SV, Kanhere HA, Saoji RR, Ramadwar MR, Shukla PJ. Solid pseudopapillary neoplasm of the pancreas: a single institution experience of 14 cases. HPB 2006;8:148-150. [ Links ]
33. Sheehan MK, Beck K, Pickleman J, Aranha GV. Spectrum of cystic neoplasms of the pancreas and their surgical management. Arch Surg 2003;138:657-662. [ Links ]
34. Kasem A, Ali Z, Ellul J. Papillary cystic and solid tumour of the pancreas: report of a case and literature review. World J Surg Oncol 2005;3:62. [ Links ]
35. Cantisani V, Mortele KJ, Levy A, Glickman JN, Ricci P, Passariello R, et al. MR imaging features of solid pseudopapillary tumor of the pancreas in adult and pediatric patients. Am J Roentgenol 2003;181:395-401. [ Links ]
36. Salvia R, Festa L, Butturini G, Tonsi A, Sartori N, Biasutti C, et al. Pancreatic cystic tumors. Minerva Chir 2004;59:185-207. [ Links ]
37. Hernández PA, Artigas V, Moral AM, Magarzo J, Targarona E, Trias MS. Tumor sólido pseudopapilar del páncreas. Cir Esp 2005;77:233-235. [ Links ]
38. Zinner MJ. Solid and papillary neoplasms of the pancreas. Surg Clin North Am 1995;75:1017-1024. [ Links ]
39. Rutland B, Pollock J, Thompson L, Tucker JA, Boudeaux C. Solid-pseudopapillary tumor: a report of three cases in adult males diagnosed utilizing three different modalities. Diagn Cytopathol 2007;35:234-238. [ Links ]
40. Choi EK, Ho PS, Yoon KD, Won KK, Ho BJ, Gyu LM, et al. Unusual manifestations of primary pancreatic neoplasia: radiologic-pathologic correlation. J Comput Assist Tomogr 2006;30:610-617. [ Links ]
41. Nakatani K, Watanabe Y, Okumura A, Nakanishi T, Nagayama M, Amoh Y, et al. MR imaging features of solid-pseudopapillary tumor of the pancreas. Magn Reson Med Sci 2007;6:121-126. [ Links ]
42. Voss M, Hammel P, Molas G, Dancour A, O'Toole D, Terris B, et al. Value of endoscopic ultrasound guided fine needle aspiration biopsy in the diagnosis of solid pancreatic masses. Gut 2000;46:244-249. [ Links ]
43. Nadler E P, Novikov A, Landzberg BR, Pochapin MB, Centeno B, Fahey TJ, et al. The use of endoscopic ultrasound in the diagnosis of solid pseudopapillary tumors of the pancreas in children. J Pediatr Surg 2002;37: 1370-1373. [ Links ]
44. Lee JK, Tyan YS. Detection of a solid pseudopapillary tumor of the pancreas with F-18 FDG positron emission tomography. Clin Nucl Med 2005;30:187-188. [ Links ]
45. Hah JO, Park WK, Lee NH, Choi JH. Preoperative chemotherapy and intraoperative radiofrequency ablation for unresectable solid pseudopapillay tumor of the pancreas. J Pediatr Hematol Oncol 2007;29:851-853. [ Links ]
46. Sperti C, Berselli M, Pasquali C, Pastorelli D, Pedrazzoli S. Aggressive behavior of solid-pseudopapillary tumor of the pancreas in adults: a case report and review of the literature. World J Gastroenterol 2008;14:960-965. [ Links ]
47. Albores SJ, Simpson KW, Bilello SJ. The clear cell variant of solid pseudopapillary tumor of the pancreas: a previously unrecognized pancreatic neoplasm. Am J Surg Pathol 2006;30:1237-1242. [ Links ]
48. Koukoutsis I, Tamijmarane A, Bellagamba R, Bramhall S, Buckels J, Mirza D. The impact of splenectomy on outcomes after distal and total pancreatectomy. World J Surg Oncol 2007;5:61. [ Links ]
49. Tornóczky T, Kálmán E, Jáksó P, Pajor L, Kajtár GG, Davidovics S, et al. Solid and papillary epithelial neoplasm arising in heterotopic pancreatic tissue of the mesocolon. J Clin Pathol 2001;54:241-246. [ Links ]
50. Shao QC, Sheng QZ, Qi BD, Hong L. Clinical analysis of solid-pseudopapillary tumor of the pancreas: report of 15 cases. Hepatobiliary Pancreat Dis Int 2008;7:196-200. [ Links ]
51. Vollmer CM, Dixon W, Grant DR. Management of a solid pseudopapillary tumor of the pancreas with liver metastases. HPB 2003;5:264-267. [ Links ]













