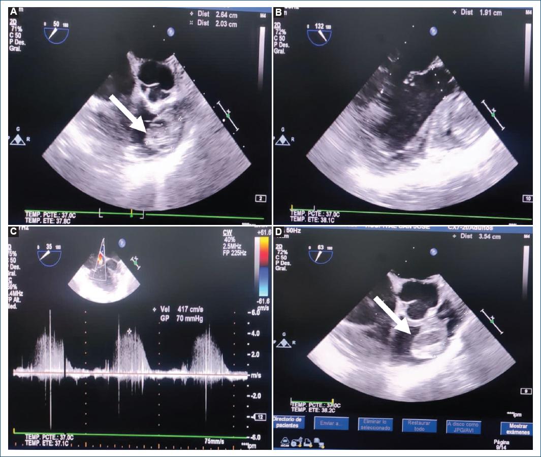
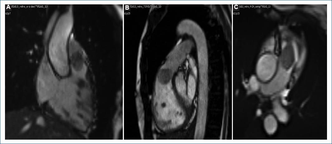
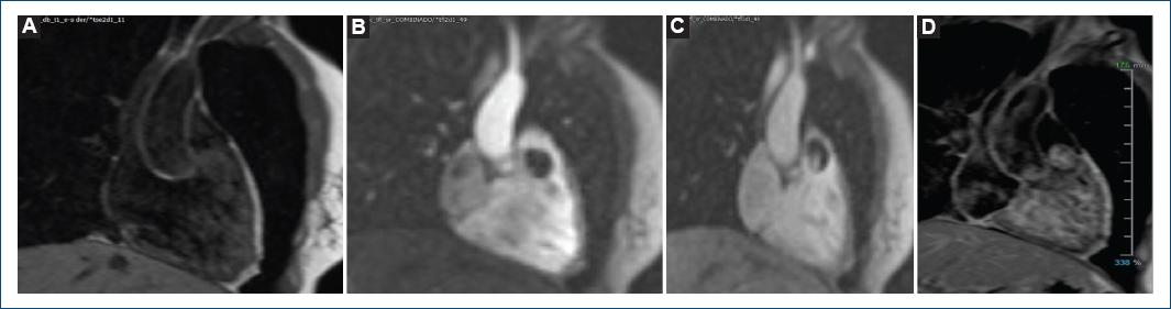
A 52-year-old woman presented with a history of hypothyroidism. She consulted for 8 days of atypical chest pain associated with decreased functional class (III/IV) and lower-limb edema, without syncope. She attended the emergency department where an echocardiogram was performed showing an image of a cardiac mass with regular borders, high mobility toward the pulmonary valvular plane, circular in appearance (2.9 × 2.2 cm), with areas of echo-lucencies in its interior located probable myxoma in the right ventricular outflow tract (RVOT) causing functional pulmonary stenosis and severe RV dilatation (Fig. 1). Cardiac magnetic resonance imaging shows a well-defined, pedunculated mass, arising from de RVOT, occupying 80% of the RVOT (36 × 32 × 20 mm), isointense on T1-weighted images (Fig. 2). CMR SSFP cine images show a well-defined, pedunculated mass, arising from de RVOT, occupying 80% of the RVOT, in contact with the inferior surface of the pulmonary valve. During images in systole, the mass moves through de valvular plane (Fig. 3), and the mass has heterogeneous enhancement during the perfusion images and T1-weighted images after gadolinium (Fig. 4).

Figure 1 A-D: echocardiogram. Echocardiogram was performed showing an image of a cardiac mass with regular borders, high mobility toward the pulmonary valvular plane, circular in appearance (2.9 × 2.2 cm), with areas of echo-lucencies in its interior located (probable myxoma) in the right ventricular outflow tract causing functional pulmonary stenosis and severe right ventricle dilatation.

Figure 2 Cardiac magnetic resonance. CMR shows a well-defined, pedunculated mass, arising from de RVOT, occupying 80% of the RVOT (36 × 32 × 20 mm), isointense on T1-weighted images. RVOT: right ventricular outflow tract.

Figure 3 Cardiac magnetic resonance. CMR SSFP cine images. A-C: a well-defined, pedunculated mass, arising from de RVOT, occupying 80% of the RVOT, in contact with the inferior surface of the pulmonary valve. During images in systole, the mass moves through de valvular plane. RVOT: right ventricular outflow tract.

Figure 4 Cardiac magnetic resonance. CMR shows a well-defined, pedunculated mass, arising from de RVOT, occupying 80% of the RVOT, isointense on T1-weighted images. A: the mass has heterogeneous enhancement during the perfusion images. B and C: T1-weighted images after gadolinium. D: RVOT: right ventricular outflow tract.
The tumor was resected and removed by total resection surgery. Macroscopically, the tumor surface (3 × 2.5 × 1.5 cm) was dark red and covered with abundant capillaries (Fig. 5). Histologically, the abundant capillaries packed over a myxoid stroma (Fig. 6). Immunohistochemistry was performed with six tumor markers (calretinin, HHV8, CD 34, FLI1, CD31, and ERG) negative for malignancy, confirming the diagnosis of right ventricular capillary hemangioma.

Figure 5 A and B: macroscopic sample. The tumor was resected and removed by total resection surgery. Macroscopically, the tumor surface (3 × 2.5 × 1.5 cm) was dark red and covered with abundant capillaries.

Figure 6 Microscopic sample. Histologically, the abundant capillaries packed over a myxoid stroma. Immunohistochemistry was performed with six tumor markers (calretinin, HHV8, CD34, FLI1, CD).
During the post-operative period, the edema of the lower limbs and dyspnea improved. On discharge, she did not report symptoms of heart failure.
In conclusion, haemangiomas are rare benign cardiac tumours that occur most commonly on the right side of the heart. They are difficult to distinguish from malignant tumours such as angiosarcomas and haemangiosarcomas1. There are many reports of cardiac haemangiomas, but less frequently when they present with obstruction to the RVOT2. Because the prognosis is favourable for most patients with haemangiomas, it is important to assess the characteristics of the mass as accurately as possible, especially since cardiac reconstruction, which is required for wide excision, presents an enormous challenge3. Our case successfully underwent complete surgical excision of the mass avoiding serious complications such as systemic embolisation and allowing a definitive diagnosis to be reached.










nueva página del texto (beta)


