Presentación del caso
Paciente de sexo masculino de 32 años edad con antecedente de corrección quirúrgica de coartación aórtica a los dos meses edad y cambio valvular mitral mecánico a los 26 años. Durante su seguimiento desarrolla insuficiencia cardiaca terminal, por lo que se realizó trasplante cardiaco en 2022. Los primeros nueve meses cursa con excelente evolución, permaneciendo asintomático con fracción de eyección del ventrículo izquierdo (FEVI) del 60%, adecuada repuesta a terapia inmunosupresora triple (sirolimús 2 mg cada 24 h, ácido micofenólico 500 mg cada 12 h más prednisona 10 mg cada 24 h) y antibioticoterapia profiláctica. Al décimo mes es hospitalizado por insuficiencia cardiaca. Se realiza ecocardiograma con FEVI 18%, requiriendo manejo inotrópico y descongestivo. Se realiza biopsia endomiocárdica con resultado de rechazo celular agudo 2R de la International Society for Heart and Lung Transplantation (ISHLT) (Fig. 1). Se inició manejo con metilprednisolona 1 g intravenosa (IV) cada 24 h, sin embargo a las 72 h continúa dependiendo de inotrópicos y aún con disfunción sistólica severa. Debido a la corticorresistencia se inició terapia citolítica con timoglobulina IV durante siete días, con lo que presentó mejoría parcial, lográndose retirar el inotrópico. Como parte del abordaje diagnóstico se realiza determinación de anticuerpos específicos de donante (DSA), observando niveles elevados (Fig. 2). Dado que el paciente continuaba con disfunción ventricular severa y ante la evidencia de los DSA elevados se asumió que el paciente tenía rechazo humoral concomitante y se inició Ig IV. Cursó con adecuada evolución y pudo ser egresado, aunque con disfunción sistólica severa. Desafortunadamente, dos semanas posteriores a su egreso es hospitalizado por insuficiencia cardiaca aguda, aunque sin requerir inotrópicos. Se administró tratamiento depletor y a las cuatro semanas se repitieron mediciones de DSA, mostrándose sin cambios. Por lo tanto, se realiza plasmaféresis en cinco ciclos más administración de rituximab de forma semanal por cuatro ocasiones. Una semana posterior a completar el tratamiento mencionado se realiza biopsia endomiocárdica, la cual reporta rechazo celular 1R y rechazo mediado por anticuerpos pAMR 1 (H+). Finalmente se repiten mediciones de DSA al mes del tratamiento, observando disminución significativa de estos. A dos meses de seguimiento el paciente se encuentra en clase funcional I, con FEVI del 40% y sin nuevas hospitalizaciones.

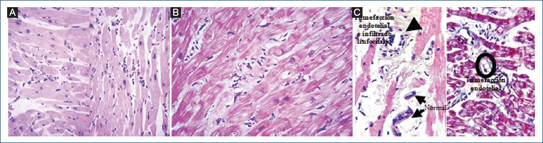
Figura 1 Biopsias endomiocárdicas tomadas durante la evolución del caso. A: evento agudo: focos de infiltrado inflamatorio linfocitario perivasculares e intersticiales que se acompañan de daño miocítico/cambios por rechazo agudo celular grado 2R (moderado). B: primera hospitalización (posterior al tratamiento esteroides e inmunoglobulina), presencia de foco de infiltrado linfocitario intersticial asociado a daño miocítico/cambios histológicos por rechazo agudo celular grado 1R. C: segunda hospitalización cambios por rechazo agudo celular grado 1R; un fragmento con cambios vasculares aislados sugerentes de rechazo mediado por anticuerpos pAMR 1(H+).

Figura 2 A: esquema de la historia natural del rechazo humoral del trasplante cardiaco que destaca su etapa subclínica, preclínica y clínica, la cual acorde a su temporalidad puede ser hiperaguda, aguda o crónica. B: métodos de diagnóstico en el rechazo humoral. C: el presente caso clínico presenta la tríada de rechazo humoral (disfunción del aloinjerto, evidencia serológica de anticuerpos antidonante y cambios histológicos). D: opciones terapéuticas en el rechazo humoral. FEVI: fracción de eyección del ventrículo izquierdo; ISHLT: International Society for Heart and Lung Transplantation; RH: rechazo humoral; RM: resonancia magnética.
Discusión
El rechazo humoral del aloinjerto cardiaco es una entidad desafiante y potencialmente mortal con una incidencia estimada del 10-20%. En un 20% de los rechazos del aloinjerto cardiacos, como en el caso presentado, puede existir de forma concomitantemente componente celular, denominándose rechazo del aloinjerto cardiaco mixto (celular y humoral)1. Fisiopatológicamente el rechazo humoral se debe a la respuesta inmunitaria del huésped frente a los antígenos del injerto, que lesiona los miocitos y las células endoteliales de los vasos. Estos anticuerpos se dirigen típicamente contra moléculas de clase I o clase II del HLA1. Su espectro debe ser percibido como un continuo clínico-patológico que cursa desde etapas subclínica, preclínica y clínicas según exista la presencia de DSA circulantes, alteraciones anatomopatológica o clínicas respectivamente (Fig. 2). Además de acuerdo con su temporalidad el rechazo humoral clínico puede describirse como hiperagudo, agudo o crónico2.
La evaluación diagnóstica ante la sospecha de rechazo humoral es desafiante, pues implica la correcta identificación de antecedentes clínicos, factores de riesgo (como la sensibilización HLA previa al trasplante aparentemente presente en nuestro caso debido a hemotransfusiones durante intervenciones quirúrgicas o la edad joven y los niveles de DSA elevados previos, siendo otros factores de riesgo no presentes en el caso pero descritos episodios previos de rechazo moderado o severo, donante o receptor mujer, receptor de raza negra); así como manifestaciones clínicas de insuficiencia cardiaca. En un 29-47% de los casos, como el nuestro, se presenta compromiso hemodinámico y con frecuencia se requiere soporte inotrópico, llegando ocasionalmente a soporte mecánico3.
En la mayoría de las pruebas de laboratorio, como en el caso presentado, los biomarcadores de daño miocárdico suelen estar elevados, como el péptido natriurético, troponinas, DSA e incluso ADN libre de células del donante. Incluso el electrocardiograma puede brindar datos como voltajes bajos y anomalías en la conducción como aumento de los intervalos QRS, QT, QTc y PR4. Los estudios de imagen como la ecocardiografía y la resonancia magnética cardiaca constituyen exámenes de gran valor diagnóstico. Los hallazgos en ecocardiografía incluyen disfunción sistólica o disminución de la deformación longitudinal global, así como aumento en el engrosamiento de las paredes del ventrículo izquierdo5. La resonancia magnética cardiaca puede detectar edema intersticial miocárdico y aumento en la masa del VI6.
Los estudios histológicos e inmunohistoquímicos de biopsia endomiocárdica se consideran el método de referencia. Sin embargo se debe considerar que en algunos casos, como en la primera biopsia de nuestro paciente, el resultado puede ser negativo debido a los errores de muestreo por la distribución heterogénea o multifocal del rechazo humoral. En los estudios inmunohistoquímicos pueden observarse cambios endoteliales capilares (activación endotelial o la inflamación de los capilares) y macrófagos intracapilares. En 2013 la ISHLT propuso un sistema de clasificación patológico que varía de pAMR 0 a pAMR 3, acorde al cual nuestro caso corresponde a pAMR 1(H+)7. La tinción positiva de inmunofluorescencia o inmunoperoxidasa se ha utilizado tradicionalmente para la confirmación, desafortunadamente como en nuestro caso su disponibilidad sigue siendo una limitante en su realización, los hallazgos principales son capilares con presencia de Ig (p. ej., IgG, IgM, IgA), complemento (C4d, C3d y/o C1q), tinción CD68 de macrófagos o fibrina en una distribución endovascular, considerando la inmunofluorescencia para C4d el método de referencia. Debe considerarse que una inmunofluorescencia negativa no descarta un episodio de rechazo humoral8.
Diferentes sociedades han propuesto una tríada clásica de rechazo humoral, la cual se presentó claramente en nuestro paciente con los tres criterios: disfunción del aloinjerto, evidencia de DSA y cambios histológicos-inmunopatológicos en la biopsia8.
Las diferentes estrategias terapéuticas en la actualidad carecen de evidencia científica contundente. Estas terapias se enfocan en la inhibición del sistema inmunitario humoral en diferentes niveles: inhibición/agotamiento de las células plasmáticas productoras de anticuerpos como el bortezomib, inhibidor selectivo del proteasoma 26S, o como en nuestro caso el rituximab, anticuerpo IgG monoclonal dirigido contra el antígeno CD20 que agota los linfocitos B por citotoxicidad o inducción de apoptosis, a dosis de 375 mg/m2 por semana durante cuatro semanas; eliminación/bloqueo de anticuerpos circulantes por medio de Ig IV que inhibe el complemento y regula a la baja los receptores de linfocitos B a dosis de 1-2 g/kg, o mediante plasmaféresis eliminando los anticuerpos del plasma circulante por la separación extracorpórea del plasma de los componentes celulares de la sangre mediante centrifugación o filtración por membrana; la supresión de los linfocitos T (timoglobulina, OKT3, corticosteroides e inhibidores de la calcineurina); la inhibición de la cascada del complemento por medio de eculizumab, anticuerpo monoclonal humanizado dirigido contra C5 que previene la activación del complemento al inhibir la división de C5 en C5a y C5b y la formación del complejo de ataque a la membrana9.
Evidentemente, este artículo tiene la limitación de ser sobre un solo caso y no contar con información a largo plazo. Dado que es un solo caso no podemos comparar esta estrategia con otros enfoques terapéuticos, lo que representa una importante limitación. Los efectos adversos que se observaron fueron anemia y leucocitopenia durante el tratamiento con rituximab, los cuales remitieron sin necesidad de tratamiento específico, y actualmente el paciente tiene valores normales de hemoglobina, leucocitos y plaquetas.
Conclusión
El rechazo del aloinjerto cardiaco es una complicación desafiante y potencialmente mortal. Especialmente, el rechazo humoral supone un reto que requiere un alto índice de sospecha. Explícitamente, un paciente con rechazo agudo celular moderado pero con compromiso hemodinámico debe hacernos pensar en rechazo humoral concomitante, más aún si hay resistencia a esteroides. Afortunadamente, en nuestro medio existen los medios para diagnosticar y tratar estas complicaciones, por ejemplo con timoglobulina, Ig, plasmaféresis y rituximab. La coordinación entre diferentes equipos involucrados en este tratamiento (cardiología, terapia intensiva, hematología, patología, etc.) es fundamental para aumentar las probabilidades de éxito en estos casos.










nueva página del texto (beta)


