SciELO - Scientific Electronic Library Online

 
vol.94 número2Etiología y evolución de la anemia en pacientes sometidos a cirugía cardiovascular índice de autoresíndice de materiabúsqueda de artículos
Home Pagelista alfabética de revistas  

Servicios Personalizados

Revista

Articulo

Indicadores

Links relacionados

  • No hay artículos similaresSimilares en SciELO

Compartir


Archivos de cardiología de México

versión On-line ISSN 1665-1731versión impresa ISSN 1405-9940

Arch. Cardiol. Méx. vol.94 no.2 Ciudad de México abr./jun. 2024  Epub 14-Mayo-2024

https://doi.org/10.24875/acm.23000018 

BASIC AND CLINICAL RESEARCH

Influence of sexual hormones on Chagas disease

Influencia de las hormonas sexuales en la enfermedad de Chagas

Óscar A. Reboreda-Hernández1 

Rocío Ortiz-Butron2 

Benjamin Nogueda-Torres3 

Nayeli González-Rodríguez1  * 

1Pathology Laboratory, Department of Morphology

2Neurobiology Laboratory, Department of Physiology

3Helmints Laboratory, Departament of Parasitology. Escuela Nacional de Ciencias Biológicas, Instituto Politécnico Nacional, Mexico City, Mexico


Abstract

Objective:

Analyze sex hormone's influence during Chagas disease.

Methods:

Male and female BALB/c mice were divided into six groups, four experimental (sham, orchiectomized, orchiectomized and supplemented with estradiol, orchiectomized supplemented with testosterone, oophorectomized, oophorectomized and supplemented with estradiol, and oophorectomized and supplemented with testosterone), and two control (healthy and intraperitoneally with T. cruzi strain NINOA infected). Clinical data were recorded daily, parasitemia was evaluated using a Neubauer chamber during the infection, and heart histopathological analysis was performed using the paraffin embedding technique. To analyze parasitemia curves and the area under the parametric curves, two-way ANOVA test was performed to correlate groups' data. P-values < 0.05 were considered statistically significant.

Results:

Higher mortality rates, cardiomegaly, hepatomegaly, ascites, edema, higher parasitemia levels, more amastigote nests, and more severe inflammatory infiltrate were found in higher testosterone concentration mice, whereas in higher estradiol concentration groups, paresia, prostration, edema, and necrosis were found.

Conclusions:

Our results showed that testosterone increased infection severity, whereas estradiol had the opposite effect. This research improves the understanding of sex hormones´ infuence upon this infection to contribute with the handling of Chagas´ disease.

Keywords Chagas disease; Estradiol; Gonadal steroid hormones; Testosterone; Trypanosoma cruzi

Resumen

Objetivo:

Analizar la influencia de las hormonas durante la enfermedad de Chagas.

Métodos:

Se separaron grupos de ratones macho y hembras BALB/c, todos infectados con T. cruzi (cepa NINOA), 4 grupos experimentales de machos (Sham, orquidectamizados, orquidectimezados y suplementados con estradiol, orquidectamizaos y suplementados con testosterona). 4 grupos experimentales de hembras (oforectomizadas, oforectomizadas y suplementadas con estradiol, oforectomizadas y suplementadas con testosterona y sham), and y dos grupos control para cada sexo (sin infección e infectados intraperitonealmente con T. cruzi (cepa NINOA). Los datos clínicos fueron registrados diariamente, la parasitemia fue evaluada durante toda la infección utilizando una cámara de Neubauer y el análisis histopatológico del corazón fue realizada con la técnica de inclusión en parafina. Para el análisis de las curvas de parasitemia y el área bajo la curva, se realizó una prueba de ANOVA de dos vías, p < 0.05 fueron considerados estadísticamente diferentes.

Resultados:

Las mayores tasas de mortalidad, cardiomegalia, hepatomegalia y mayor infiltrado inflamatorio, se encontró en los ratones con una mayor concentración de testosterona. En contraste los ratones con mayor concentración de estradiol presentaron paresia, postración edema y necrosis.

Conclusiones:

Nuestros resultados ponen en manifiesto que la testosterona incrementa la severidad del curso de la enfermedad de Chagas, mientras que el estradiol tuvo el efecto opuesto. Este trabajo mejora el entendimiento del rol que juegan las hormonas sexuales en esta infección para contribuir en un mejor manejo de la enfermedad de Chagas.

Palabras clave Enfermedad de Chagas; Estradiol; Hormonas esteroideas gonadales; Testosterona; Trypanosoma cruzi

Introduction

Chagas disease (CD) is a parasitic zoonosis caused by the protozoan Trypanosoma cruzi. Even this disease is endemic of America, nowadays, is considered an emerging worldwide disease affecting nearly 8 million people. CD incidence is 30,000 cases yearly, and currently, is the most lethal parasitosis with 14,000 deaths annually1.

As Chagas himself said "the virulence of Schizotrypanum cruzi (now Trypanosoma cruzi) is influenced by several factors, whose nature and effects we do not know yet"2. Currently, the factors that determine host susceptibility to T. cruzi infection remained unknown.

The host endocrine system plays an important role in the establishment and development of the parasitic infections, importantly the sexual dimorphism (different host susceptibility between males and females)3. It has been described that the testosterone (T) increases host susceptibility and decreases the immune system efficiency4 and, the estradiol (E2) has the opposite effect5.

In another parasitosis, sexual dimorphism was reported. In leishmaniasis, male-infected hamsters had bigger lesions than females6, and men are infected more often than women7. Hence, better understanding of sexual dimorphism in parasitic diseases will allow the development of more efficacious treatments7.

Regarding to CD, it has been proposed that the microenvironment of each sex modulates the host response. However, very little is known about it.

Materials and methods

Parasites and animals

T. cruzi NINOA strain, member of the predominant lineage in Mexico, was used in these experiments8.

Adult female and male BALB/c mice (6 weeks old) were maintained and handled according to the Animal Care and Use Committee Guide9. The protocol for this study was evaluated and approved by the Bioethics Committee.

Mice were divided into six animal groups as follows: uninfected or infected intraperitoneally with 1 × 103 trypomastigotes10 (infected, sham infected, orchiectomized, orchiectomized and supplemented with estradiol, orchiectomized supplemented with testosterone, oophorectomized, oophorectomized and supplemented with estradiol, and oophorectomized and supplemented with testosterone). The sham group were mice that had a simulated operation, they were opened and closed without any organ removal, just to verify if the operation istelf causes any alteration.

Gonadectomy

Oophorectomies and orchiectomies were performed on mice. In addition, fake operations (sham) were performed to account any change that the operation itself could had in T. cruzi infection behavior.

Hormones administration

Estradiol (5 mg/kg) (Whitney, Mexico City, Mexico) and testosterone (20 mg/kg) Ara-Test 2500 (Laboratorios Aranda, Mexico City, Mexico) were administrated subcutaneously weekly throughout the experiment (3 months).

Clinical features, parasitemia, and mortality

Clinical features presented during the parasitemia curves were recorded. Parasitemia was quantified according to the modified Brennerʼ technique employing a Neubauer chamber Blaubrand (Merck, Darmstadt, Germany). Then, parasitemia curves were constructed11. Mice death was recorded daily. All experiments were performed in triplicate.

Histopathological analysis

In the parasitemia peak (the day with the most parasites), mice were sacrificed12. Then, hearts were obtained, paraffin embedded, and blocks were sliced on a microtome Thermo Scientific HM325 (Thermo Fisher Scientific, Waltham, Massachusetts, USA) to obtain 30 sections of 5μm (6 slides per heart), slides were stained with the hematoxylin/eosin (HE) technique. For each section, six microscopic fields were counted through a microscope Nikon-Eclipse 50i (Nikon, Chiyoda, Japan) at a magnification of ×40. Amastigote nest numbers were recorded. Inflammatory infiltrate was ranked as follows: absent (−), mild (< 25% of the field), moderate (25-50% of the field), and severe (> 50% of the field).

Statistical analysis

To analyze parasitemia curves and the area under the curve, two-way ANOVA test was performed. p < 0.05 was considered statistically significant. Tests were performed using GraphPad Prism v.7 (GraphPad Software, La Jolla, CA, USA).

Results

Clinical features, parasitemia, and mortality

Since the second week post-inoculation (p.i.), parasitemia was positive. On the third week p.i., infected mice presented: piloerection and postration; paresia was presented only in higher estradiol groups. Statiscally, T. cruzi-infected and sham T. cruzi-infected groups behaved similarly (both sex groups) (p < 0.05). Regarding to the females, the oophorectomized T. cruzi-infected group had the highest parasitemia peak (1.75 x 105 parasites/mL) at day 17 p.i. contrasting ooporectomized and estradiol supplemented T. cruzi-infected group has the lowest (5 x 104 parasites/mL) at day 24 p.i. on the other hand, concerning to malesthe highest parasitemia peak was presented by T. cruzi-infected and T-cruzi sham infected groups (4.8 x 105 parasites/mL) at day 33 p.i. whereas the lowest peak was presented by orchiectomized (Fig. 1).

Figure 1 Parasitemia curves of the behavior of Trypanosoma cruzi in mice of each mice group among all the experiment; the lines are discontinued if the mice group died. A: females. 1. Uninfected (black). 2. T. cruzi-infected (green). 3. Sham T. cruzi-infected (purple). 4. Oophorectomized T. cruzi-infected (red). 5. Oophorectomized and supplemented with estradiol T. cruzi-infected (pink). 6. Oophorectomized and supplemented with testosterone T. cruzi-infected (blue). B: males. 1. Uninfected (black). 2. T. cruzi-infected (green). 3. Sham T. cruzi-infected (purple). 4. Orchiectomized T. cruzi-infected (red). 5. Orchiectomized and supplemented with estradiol T. cruzi-infected (pink). 6. Orchiectomized and supplemented with testosterone T. cruzi-infected (blue). 

To compare the parasitemia, the area under the curve was calculated. Regarding females, oophorectomized T. cruzi-infected group presented the highest parasitemia whereas oophorectomized supplemented with estradiol T. cruzi-infected group, the lowest. In males, the highest parasitemia was displayed by the T. cruzi-infected, while orchiectomized supplemented with estradiol T. cruzi-infected group, the lowest. Comparing both sexes, T. cruzi-infected and sham T. cruzi-infected groups had a similar parasitemia, showing that the fake operation does not change the infection course by itself. The highest parasitemia corresponded to T. cruzi-infected and sham T. cruzi-infected males; oophorectomized supplemented with estradiol females had the lowest (Fig. 2).

Figure 2 Parasitemia presented in Trypanosoma cruzi-infected mice. Males (black) and females (gray). 1. Uninfected, 2. T. cruzi-infected. 3. Sham T. cruzi-infected. 4. Gonadectomized T. cruzi-infected. 5. Gonadectomized and supplemented with estradiol T. cruzi-infected. 6. Gonadectomized and supplemented with testosterone T. cruzi-infected

Mortality percentage was higher in males than in females. Regarding to females, deceases were present mainly in the oophorectomized, stradiol supplemented, T. cruzi-infected group; whilst in minor amount in the oophorectomized T. cruzi-infected group. In contrast, males died on almost all groups (except on the orchiectomized supplemented with estradiol T. cruzi-infected group). The highest mortality was presented by orchiectomized supplemented with testosterone T. cruzi-infected group (Fig. 3).

Figure 3 Mortality of the Trypanosoma cruzi-infected mice. Males (black) and females (gray). 1. Uninfected. 2. T. cruzi-infected. 3. Sham T. cruzi-infected. 4. Gonadectomized T. cruzi-infected. 5. Gonadectomized and supplemented with estradiol T. cruzi-infected. 6. Gonadectomized and supplemented with testosterone T. cruzi-infected. 

Histopathological analysis

Hearts of T. cruzi-infected mice showed cardiomegaly. Males showed higher cardiomegaly rate, ascites, and hepatomegaly; females showed more edema and necrosis.

Oophorectomized T. cruzi-infected group had more amastigote nests, whilst, orchiectomized supplemented with testosterone T. cruzi-infected group had severest inflammatory infiltrate. Orchiectomized T. cruzi-infected group had less amastigote nests, and orchiectomized supplemented with estradiol T. cruzi-infected group had less inflammatory infiltrate (Fig. 4).

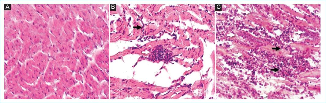
Figure 4 Microscopic analysis of the heart tissues of Trypanosoma cruzi-infected mice. Heart tissues were stained according to the HE technique to show the T. cruzi amastigote nests NINOA strain, edema, and the inflammatory infiltrate. The photograph was taken at ×40 magnification. A: healthy mice tissue. B: heart tissue T. cruzi-infected female mouse, amastigote nest, and mild acute inflammatory infiltrate. C: heart tissue T. cruzi-infected male mouse, amastigote nests, edema, and severe acute inflammatory infiltrate. Amastigote nest (white arrow); inflammatory infiltrate (black arrow). 

Discussion

The host-parasite relationship is multifactorial; sex hormones could affect infection intensity13. Sexual dimorphism has been scarcely reported for CD14.

Clinically, infected mice from both sex groups presented piloerection caused by adrenergic receptor activation in stressed individuals and prostration that has been described as acute phase CD sign on humans with T. cruzi-infection14. Both features have been reported with T. cruzi Y strain5, as well as the paresia that leads them to take a hunch posture15, presented in the mice groups with higher E2 concentration. This could be explained by host autoantibodies denervation, as occurred in the Chagasic hearts16.

In males, orchiectomized group presented fewer parasites than non-orchiectomized ones as was reported in T. cruzi Y strain5. In females, higher E2 groups had less parasitemia as has been reported17.

Heart failure implies cardiomegaly, accompanied by hepatomegaly, ascites, and edema18, signs presented in the T. cruzi-infected mice. Hepatomegaly is a consequence of this organ´s hypoperfusion, in fact, ascites accompanies this sign on 25% of the cases19. Inflammation causes edema20 and necrosis, resulted from ischemia produced by the reactive oxygen species (ROS) released in the inflammatory process.

In terms of mortality, higher T concentration correlated with a higher mortality rate accordingly with Tulahuén strain T. cruzi-infected reports21. In CD Mexican reports, most of the patients are women13. It has been proposed that the parasites have a preference to infect the sex that lives longer22; further, we propose that men, due to the higher death rates (curiously related to cardiovascular diseases), die before a proper CD diagnosis could be done.

Higher T concentration groups presented more severe inflammatory infiltrate; accordingly, cardiac damage may be a consequence more than the presence of the parasite itself, of the inflammatory oxidative damage21. Besides, T. cruzi infection disturbed mitochondrial membrane, leading to ROS production, that oxidize lipids, proteins, and deoxyribonucleic acid (DNA)23.

In this regard, estrogens are a cardiovascular protector factor because they can decrease the NO (potent vasodilator) concentration21, helping the host. In contrast, the male immune system could be weaker due to the oxidation handicap hypothesis (OHH), which postulates that males have a higher T concentration, implying an overproduction of ROS, making them more susceptible to tissue damage24.

Moreover, host´s cells mitochondrial antioxidant function is lower in males23, and antioxidant enzymes, superoxide dismutase and catalase, concentrations are host sex-related (83% males versus 180% females)25.

It has been reported that T concentration does not influence the severity of the cardiac damage26 contrasting with the present study where T does influence it.

Thus, in CD, inflammation plays a main role in tissue damage, and in patients´ death, because this protozoan avoids the oxidant action, but the host cell does not27. Sex hormones have been related to this because can control the macrophages21; the feminine supremacy paradigm stablishes that the female hosts are more resistant to parasitosis because they have a different immune response17; for example, macrophages have estrogen receptors (ERα) that modulate the oxidative microenvironment28. Moreover, E2 inhibits M1 macrophage activation (by inhibiting the metalloprotease 9)29 having an anti-inflammatory activity, but leads to the interleukin 10 production and to the chronicity of the infection30.

Notwithstanding, as T. cruzi affects cytokine release in the host, this parasite could modulate macrophage´s polarization in CD and this process could be sex hormone mediated. Therefore, experiments are being carried out in this regard.

Conclusions

The data presented showed that testosterone increased infection severity, whereas estradiol had the opposite effect, not only confirm previous data but also expanding and detailing these phenomena, highlighting the importance of T. cruzi host sex bias. This research improves the understanding of sex hormones´ infuence upon this infection to contribute with the handling of Chagas disease.

References

1. Salazar-Schettino PM, Cabrera-Bravo M, Vazquez-Antona C, Zenteno E, De Alba-Alvarado M, Gutierrez ET, et al. Chagas disease in Mexico:report of 14 cases of chagasic cardiomyopathy in children. Tohoku J Exp Med. 2016;240:243-9. [ Links ]

2. Chagas C. Nova tripanozomiaze humana:estudos sobre a morfolojia e o ciclo evolutivo do Schizotrypanum cruzi n. Gen., n. Sp., Ajente etiolojico de nova entidade morbida do homem. Mem Inst Oswaldo Cruz. 1909;1:159-218. [ Links ]

3. Cervantes-Rebolledo C, Carrero-Sanchez JC. Hormonas y la susceptibilidad a las infecciones parasitarias. Rev Med Ext Port. 2008;2:77-88. [ Links ]

4. Carrada-Bravo T. Trypanosoma cruzi:historia natural y diagnóstico de la enfermedad de chagas. Rev Mex Patol Clin Med Lab. 2004;51:205-19. [ Links ]

5. Hernandez-Bello R, Ramirez-Nieto R, Muniz-Hernandez S, Nava-Castro K, Pavon L, Sanchez-Acosta AG, et al. Sex steroids effects on the molting process of the helminth human parasite Trichinella spiralis. J Biomed Biotechnol. 2011;2011:625380. [ Links ]

6. Travi BL, Osorio Y, Melby PC, Chandrasekar B, Arteaga L, Saravia NG. Gender is a major determinant of the clinical evolution and immune response in hamsters infected with Leishmania spp. Infect Immun. 2002;70:2288-96. [ Links ]

7. Roberts CW, Walker W, Alexander J. Sex-associated hormones and immunity to protozoan parasites. Clin Microbiol Rev. 2001;14:476-88. [ Links ]

8. Bosseno MF, Barnabe C, Magallon Gastelum E, Lozano Kasten F, Ramsey J, Espinoza B, et al. Predominance of Trypanosoma cruzi lineage I in Mexico. J Clin Microbiol. 2002;40:627-32. [ Links ]

9. Available from:https://web.jhu.edu/animalcare/updatedbluebooknodrugformulary.pdf [Last accessed on 2023 Aug 16]. [ Links ]

10. Díaz-Limay E, Escalante H, Jara CA. Niveles de parasitemia y alteraciones histopatológicas en Mus musculus BALB/c infectado con Trypanosoma cruzi obtenido de Panstrongylus chinai del Valle Chamán, La Libertad-Perú. Parasitol Latinoam. 2004;59:153-58. [ Links ]

11. Valdez RH, Tonin LT, Ueda-Nakamura T, Silva SO, Dias Filho BP, Kaneshima EN, et al. In vitro and in vivo trypanocidal synergistic activity of N-butyl-1-(4-dimethylamino)phenyl-1,2,3,4-tetrahydro-b-carboline-3-carboxamide associated with benznidazole. Antimicrob Agents Chemother. 2012;56:507-12. [ Links ]

12. Romano MC, Jimenez P, Miranda-Brito C, Valdez RA. Parasites and steroid hormones:corticosteroid and sex steroid synthesis, their role in the parasite physiology and development. Front Neurosci. 2015;9:224. [ Links ]

13. Rojo-Medina J, Ruiz-Matus C, Salazar-Schettino PM, González-Roldán JF. Enfermedad de Chagas en México. Gac Med Mex [Internet]. 2018;154(5). Disponible en:http://dx.doi.org/10.24875/gmm.18004515 [ Links ]

14. Vargas A, Malta JM, da Costa VM, Cláudio LD, Alves RV, da Silva Cordeiro G, et al. Investigação de surto de doença de chagas aguda na região extra-amazônica, Rio Grande do Norte, Brasil, 2016. Cad Saude Publica. 2018;34:e00006517. [ Links ]

15. Campos JD, Hoppe LY, Duque TL, de Castro SL, Oliveira GM. Use of noninvasive parameters to evaluate Swiss Webster mice during Trypanosoma cruzi experimental acute infection. J Parasitol. 2016;102:280-5. [ Links ]

16. Dos Santos R, Hudson L. Denervation and the immune response in mice infected with Trypanosoma cruzi. Clin Exp Immunol. 1981;44:349-54. [ Links ]

17. Morales-Montor J, Chavarria A, De Leon MA, Del Castillo LI, Escobedo EG, Sanchez EN, et al. Host gender in parasitic infections of mammals:an evaluation of the female host supremacy paradigm. J Parasitol. 2004;90:531-46. [ Links ]

18. Mora G. Chagas Cardiomyopathy. France:Escardio.org. Available from:https://www.escardio.org/journals/e-journal-of-cardiology-practice/volume-14/chagas-cardiomyopathy [Last accessed on 2023 Aug 16]. [ Links ]

19. Goncalvesova E, Kovacova M. Heart failure affects liver morphology and function. What are the clinical implications?Bratisl Lek Listy. 2018;119:98-102. [ Links ]

20. Jeserich M, Foll D, Olschewski M, Kimmel S, Friedrich MG, Bode C, et al. Evidence of myocardial edema in patients with nonischemic dilated cardiomyopathy. Clin Cardiol. 2012;35:371-6. [ Links ]

21. Roggero E, Del Rey A, Wildmann J, Besedovsky H. Glucocorticoids and sympathetic neurotransmitters modulate the acute immune response to Trypanosoma cruzi. Ann N Y Acad Sci. 2019;1437:83-93. [ Links ]

22. Duneau D, Ebert D. Host sexual dimorphism and parasite adaptation. PLoS Biol. 2012;10:e1001271. [ Links ]

23. Wen JJ, Vyatkina G, Garg N. Oxidative damage during chagasic cardiomyopathy development:role of mitochondrial oxidant release and inefficient antioxidant defense. Free Radic Biol Med. 2004;37:1821-33. [ Links ]

24. Mougeot F, Martinez-Padilla J, Webster LM, Blount JD, Perez-Rodriguez L, Piertney SB. Honest sexual signalling mediated by parasite and testosterone effects on oxidative balance. Proc Biol Sci. 2009;276:1093-100. [ Links ]

25. Azevedo RB, Lacava ZG, Miyasaka CK, Chaves SB, Curi R. Regulation of antioxidant enzyme activities in male and female rat macrophages by sex steroids. Braz J Med Biol Res. 2001;34:683-7. [ Links ]

26. Tartalini VM, Fontanella GH, Nocito AL, Revelli SS. Estudio preliminar de la miocarditis chagásica aguda experimental y su relación con la administración de esteroides sexuales. Insuf Card. 2011;6:156-64. [ Links ]

27. Cardoso MS, Reis-Cunha JL, Bartholomeu DC. Evasion of the immune response by Trypanosoma cruzi during acute infection. Front Immunol. 2015;6:659. [ Links ]

28. Khan D, Ahmed AS. The immune system is a natural target for estrogen action:opposing effects of estrogen in two prototypical autoimmune diseases. Front Immunol. 2015;6:635. [ Links ]

29. Vegeto E, Ghisletti S, Meda C, Etteri S, Belcredito S, Maggi A. Regulation of the lipopolysaccharide signal transduction pathway by 17beta-estradiol in macrophage cells. J Steroid Biochem Mol Biol. 2004;91:59-66. [ Links ]

30. Villa A, Rizzi N, Vegeto E, Ciana P, Maggi A. Estrogen accelerates the resolution of inflammation in macrophagic cells. Sci Rep. 2015;5:15224. [ Links ]

FundingThis work was supported by the Consejo Nacional de Ciencia y Tecnología (CONACyT) SIP 20171233, and SIP 20180575 projects. We thank the Instituto Politécnico Nacional. Institutional Ethical Committee reference number: CEI-ENCB-017-2017.

Ethical disclosures

Protection of human and animal subjects. The authors declare that the procedures followed were in accordance with the regulations of the relevant clinical research ethics committee and with those of the Code of Ethics of the World Medical Association (Declaration of Helsinki).

Confidentiality of data. The authors declare that no patient data appear in this article.

Right to privacy and informed consent. The authors declare that no patient data appear in this article.

Use of artificial intelligence for generating text. The authors declare that they have not used any type of generative artificial intelligence for the writing of this manuscript, nor for the creation of images, graphics, tables, or their corresponding captions.

Received: January 25, 2023; Accepted: October 19, 2023

* Correspondence: Nayeli González-Rodríguez E-mail: bassolsae@gmail.com

Conflicts of interest

None.

Creative Commons License Instituto Nacional de Cardiología Ignacio Chávez. Published by Permanyer. This is an open ccess article under the CC BY-NC-ND license