Introducción
El origen anómalo de una rama de la arteria pulmonar en la aorta ascendente es la discontinuidad de una de las ramas y la otra mantiene su origen en la arteria pulmonar (ramas pulmonares no confluentes), en presencia de válvulas aórtica y pulmonar separadas, con presencia de tronco de la arteria pulmonar1 (Figs. 1A y B).

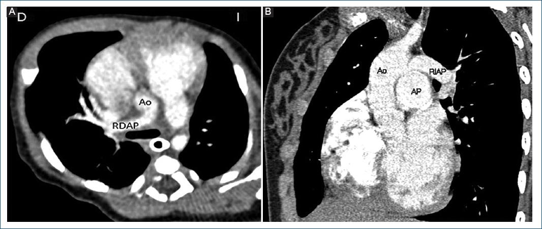
Figura 1 A: OARDAP. B: OARIAP. OARDAP: origen anómalo de la rama derecha de la arteria pulmonar; RDAP: rama derecha de la arteria pulmonar; RIAP: rama izquierda de la arteria pulmonar; AP: arteria pulmonar; AAo: arteria aorta; OARIAP: origen anómalo de la rama izquierda de la arteria pulmonar.
La primera descripción fue en 18681. La primera corrección quirúrgica fue en 1961 y la cirugía con translocación de la rama pulmonar se realizó en 19672.
Es una anomalía cardiovascular rara que representa el 0.1% de las cardiopatías congénitas y con alta mortalidad temprana infantil3.
Presentamos nuestra experiencia en los últimos cinco años.
Presentación de casos
Caso clínico 1
Se encontró soplo sistólico III/VI paraesternal izquierdo alto. Se realizó ecocardiograma y tomografía axial computarizada (TAC), las cuales informaron hipertensión arterial pulmonar (HAP) suprasistémica, persistencia del conducto arterioso (PCA) y origen anómalo de la rama derecha de la arteria pulmonar (OARDAP) (Fig. 2A).

Figura 2 A: TC vista axial de nuestro primer caso con OARDAP. B: TC vista anterior de nuestro cuarto paciente con OARIAP. TC: tomografía computarizada; AO: aorta; RDAP: rama derecha de la arteria pulmonar; AP: arteria pulmonar; RIAP: rama izquierda de la arteria pulmonar.
Se decidió corrección quirúrgica total realizando sutura y sección de PCA, reimplante de rama derecha de la arteria pulmonar. Se encuentra actualmente en clase I de Ross (Tabla 1).
Tabla 1 Características de los pacientes con OARAP
| No. | Sexo | Edad | Cavidades | Asociaciones | Ramas pulmonares | Cirugía | Evolución |
|---|---|---|---|---|---|---|---|
| 1 | M | 1 d | CAD, CVD | PCA | OARDAP | Si | Ross I |
| 2 | F | 1 d | CVI, HVD | TF, SIA | OARDAP | Si | Falleció |
| 3 | F | 8 m | HVD | PCA | OARIAP | No | Ross II |
| 4 | M | 9 m | CG | PCA | OARIAP | Si | Ross I |
| 5 | M | 3 m | HVD | Ninguna | OARDAP | Si | Ross I |
M: masculino; F: femenino; d: días; m: meses; D: derecho; CAD: crecimiento de aurícula derecha; HVD: hipertrofia del ventrículo derecho; CVI: crecimiento del ventrículo izquierdo; CG: cardiomegalia global; PCA: persistencia del conducto arterioso; EP: estenosis pulmonar; CIV: comunicación interventricular; SIA: subclavia izquierda aberrante; OARDAP: origen anómalo de rama derecha de la arteria pulmonar; OARIAP: origen anómalo de rama izquierda de la arteria pulmonar.
Caso clínico 2
Diagnóstico prenatal de cardiopatía compleja, al nacimiento pobre esfuerzo respiratorio. Facies característica que nos hizo sospechar síndrome velo-cardiofacial, el cual se confirmó mediante prueba de Fish+ para microdeleción 22q11.2. Soplo expulsivo paraesternal izquierdo grado II/VI. Se realizó ecocardiograma, el cual diagnosticó tetralogía de Fallot (TF) con estenosis del origen de la rama derecha, estenosis pulmonar (EP) mixta (desviación del septum infundibular) con hipoplasia del anillo y tronco de la arteria pulmonar y hemitroncus derecho. Se realizó angio-TAC, donde se documentó OARDAP, hipoplasia del anillo y tronco pulmonar, arco aórtico derecho con subclavia izquierda anómala, la cual disminuye el tamaño de la tráquea por arriba de la carina.
Se realizó corrección quirúrgica, con reinserción de la rama derecha, cierre de la comunicación interventricular, ampliación el tracto de salida del ventrículo derecho y reinserción de la subclavia izquierda. En las primeras horas del posquirúrgico con inestabilidad hemodinámica, pobre respuesta al tratamiento, presenta bradicardia que evoluciona a paro cardiorrespiratorio y fallece a los 30 días de vida (Tabla 1).
Caso clínico 3
Con datos de insuficiencia cardiaca (IC). Presencia de soplo sistólico en foco pulmonar y 2R intenso. En ecocardiograma se aprecia PCA e HAP, por lo que se realizó cateterismo donde se diagnosticó origen anómalo de la rama izquierda de la arteria pulmonar (OARIAP) además de la PCA, con presión de ramas pulmonares superior a la sistémica con resistencias pulmonares elevadas y sin respuesta a oxígeno.
Por lo que se consideró no candidata a corrección quirúrgica. Actualmente con tratamiento con antagonista de endotelina, en clasificación de Ross II en su última revisión (Tabla 1).
Caso clínico 4
Con IC desde el nacimiento e infecciones de vías aéreas de repetición a los 7 meses de edad.
Presentó taquicardia y dificultad respiratoria. Por ecocardiograma se diagnosticó PCA y OARIAP, confirmándose por angio-TAC, en donde se apreció también estenosis de la rama izquierda y compresión del bronquio principal izquierdo que condicionó atelectasia (Fig. 2B).
Se llevó a cabo cirugía correctiva con anastomosis directa de la rama izquierda al tronco pulmonar y cierre de PCA, se encuentra actualmente en Ross I y ecocardiograma sin estenosis residuales (Tabla 1).
Caso clínico 5
Se presentó con cianosis y dificultad respiratoria, soplo sistólico I/VI, en foco pulmonar con 2R intenso. El ecocardiograma inicial reportó transposición de grandes arterias, con foramen oval restrictivo, por lo que se realizó cateterismo cardiaco, en donde se descartó el diagnóstico inicial y se documentó OARDAP, la presión del pulmón derecho y rama izquierda se encontró a nivel sistémico, con resistencia pulmonar móvil con oxígeno.
Se maneja con óxido nítrico y antibiótico. En forma posterior se realizó corrección quirúrgica con reinserción de la rama derecha al tronco de la arteria pulmonar. En el postoperatorio inmediato se manejó con adrenalina, milrinona y sildenafilo, presentó taquicardia atrial que revirtió a la administración de amiodarona. Actualmente con trombo en la vena cava superior, tratado con acenocumarina. Buena evolución clínica (Ross I) (Tabla 1).
Discusión
La relación entre sexos fue 1.5:1, para los masculinos, con media de edad de 4 meses y mediana de 3 meses. Todos cursaron con soplo, cardiomegalia, hiperflujo pulmonar y ejes de QRS a la derecha. La relación de frecuencia en nuestros pacientes del origen anómalo de rama pulmonar fue de 1.5:1 para los izquierdos.
La causa embrionaria está dada por una migración incompleta de izquierda a derecha del 6.° arco aórtico, con defecto de la septación del tronco-cono que da origen a la rama pulmonar4.
En un estudio de 108 casos el 82% correspondió a OARDAP que se asoció a arco aórtico izquierdo en todos los casos, el otro 18% correspondió a OARIAP, que se presentó en el 74% TF con arco aórtico derecho5.
En Boston se realizó un estudio de 30 años, encontrando 27 casos de OARDAP y 2 del OARIAP, de los cuales 19 con reimplante de la rama pulmonar a la arteria pulmonar contralateral y mortalidad en dos pacientes6.
Uno de nuestros pacientes de OARDAP, con TF y se asoció a EP mixta, estenosis de rama pulmonar, con arco aórtico derecho. Los otros tres pacientes se asociaron a PCA y arco aórtico izquierdo. El último paciente con OARDAP sin cardiopatías asociadas. A todos se les realizó ecocardiograma y angio-TAC.
Los pacientes con deleción 22q.11 se asocian a defectos cardiacos tronco-conales, por lo que es posible la asociación del OARDAP en este síndrome, como es el caso de una de nuestras pacientes y asociación de subclavia izquierda aberrante (caso No. 2). En cambio, el OARIAP cursa con la asociación de TF4,5, lo cual nosotros encontramos en uno de los pacientes con OARDAP.
El diagnóstico se debe sospechar cuando se presenta HAP sin explicación y sin observar ningún defecto estructural intracardiaco. El diagnóstico se puede apoyar con la realización de la ecocardiografía, angiografía, angio-TAC y o angio-resonancia magnética y optimizar el plan quirúrgico.
El tratamiento inicial consiste en administrar anticongestivos, dopamina, captopril, óxido nítrico, sildenafilo y cirugía correctiva lo más pronto posible para mejorar la mortalidad, que es a los 3 meses del 30% y a los 6 meses de edad del 70%, debido a la evolución de enfermedad vascular pulmonar irreversible.
Las complicaciones postoperatorias que descartar son la estenosis en la unión quirúrgica pulmonar hasta en un 45-50%6, en estos casos se valora la dilatación con colocación de malla en el sitio obstruido o angioplastia quirúrgica7.










nueva página del texto (beta)


