Paciente masculino de 46 años de edad con antecedentes personales de hipertensión arterial sistémica, tabaquismo y etilismo y heredofamiliares de hipertensión arterial sistémica. El padecimiento inició con cuadro de astenia, adinamia, disnea progresiva, edema de miembros inferiores y aumento del volumen abdominal, por lo que acudió con el médico, quien decidió hospitalizarlo. El paciente recibió tratamiento médico con captopril, furosemida y espironolactona, sin mejoría de los síntomas, motivo por el cual fue referido a la institución. Al llegar al servicio de urgencias, el sujeto se encontraba estable. A la exploración física estaba consciente y orientado, con adecuada coloración e hidratación de tegumentos, ingurgitación yugular grado II y pulsos carotídeos simétricos de adecuada amplitud. La auscultación reveló estertores crepitantes en la región subescapular bilateral, hipoventilación en la región subescapular derecha y síndrome de derrame ipsilateral. El choque de la punta se palpó en el sexto espacio intercostal, línea media clavicular izquierda y se detectó frémito paraesternal izquierdo. Los ruidos cardíacos eran rítmicos, con S3 y soplo holosistólico en mesocardio III/IV, con irradiación excéntrica y sin frote pericárdico. Las extremidades inferiores estaban íntegras, simétricas, con edema hasta el tercio proximal tibial bilateral y llenado capilar inmediato. Los pulsos eran simétricos y de adecuada amplitud en las cuatro extremidades. El electrocardiograma mostró ritmo sinusal con FC de 83 lpm, dextrorrotación, crecimiento de la aurícula izquierda e imagen de infarto reciente inferolateral, con onda q, lesión subepicardica e inversión simétrica de la onda T en DII, III, aVF, V5 y V6 (Fig. 1). En la radiografía de tórax se observó cardiomegalia grado II con hipertensión venocapilar pulmonar (Fig. 2). El ecocardiograma demostró ruptura septal apical de 17 mm (Fig. 3), con Qp/Qs de 3.6 y gradiente a través del defecto de 26 mmHg y presión sistólica de arteria pulmonar de 74 mmHg (Fig. 4), dilatación auricular izquierda y función sistólica del ventrículo izquierdo normal, con fracción de expulsión de 58%. El paciente ingresó a la sala de hemodinámica para colocación de un balón intraaórtico de contrapulsación (BIAC). Se realizó coronariografía diagnóstica, que demostró tronco, arteria descendente anterior izquierda y circunfleja sin lesiones angiográficas significativas, con flujo distal TIMI 3. La arteria coronaria derecha dominante mostraba lesión tubular ulcerada en el segmento medio, de bordes mal definidos, excéntrica, con sitio de máxima estenosis del 70% y oclusión total crónica de la descendente posterior en el segmento medio (flujo TIMI 0), con circulación colateral de la arteria descendente anterior, Rentrop 3 (Fig. 5). En la ventriculografía se identificó una comunicación interventricular apical y la presión teledistólica del ventrículo izquierdo fue de 35 mmHg. Se inició tratamiento con diurético de asa, nitroprusiato de sodio y levosimendán a dosis-respuesta, con evidente mejoría. Se colocó un catéter de Swan-Ganz, que demostró una presión capilar pulmonar de 34 mmHg.

Figura 1 Electrocardiograma en ritmo sinusal con FC de 83 lpm, dextrorrotación, crecimiento de la aurícula izquierda y una imagen de infarto reciente inferolateral, con onda q, lesión subepicardica e inversión simétrica de la onda T en DII, III, aVF, V5 y V6.

Figura 2 Radiografía de tórax que revela cardiomegalia grado II, hipertensión venocapilar pulmonar considerable, catéter de flotación en la arteria pulmonar y balón de contrapulsación aórtico.

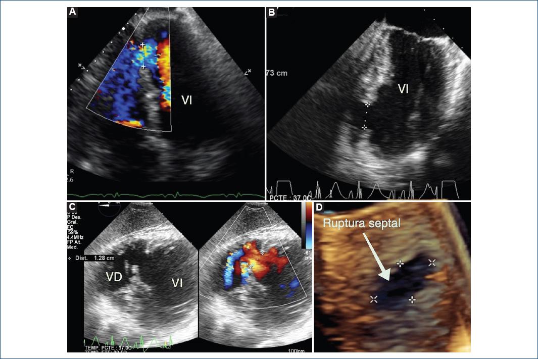
Figura 3 A: Ecocardiograma transtorácico bidimensional y con Doppler a color en el plano apical de cuatro cámaras, que muestra ruptura septal en la porción apical del septum. B: Ecocardiograma transesofágico bidimensional que muestra la ruptura septal en la porción apical del septum. C: Ecocardiograma transgástrico bidimensional y con Doppler a color, a nivel de ambos ventrículos, que muestra la ruptura septal. D: Reconstrucción tridimensional de la ruptura septal que tiene forma ovalada (flecha blanca).

Figura 4 Ecocardiograma transtorácico bidimensional y con Doppler a color que muestra ruptura septal apical; el gradiente a través de la comunicación interventricular (27 mmHg) se calculó con Doppler continuo. La presión sistólica de la arteria pulmonar (PSAP) se calculó con la siguiente fórmula: presión sistólica sistémica-gradiente transCIV = 100-26 = 74 mmHg.

Figura 5 Coronariografía en la proyección oblicua anterior izquierda a 45º. A: Coronaria derecha dominante con lesión tubular ulcerada en el segmento medio, de bordes mal definidos, excéntrica, con sitio de máxima estenosis del 70% (flecha blanca) y oclusión total crónica de la descendente posterior en el segmento medio, flujo TIMI 0 (flecha azul), con circulación colateral de la arteria descendente anterior, Rentrop 3. B: En la proyección oblicua anterior derecha se observa el tronco de la coronaria izquierda sin lesiones angiográficas significativas, l-a arteria circunfleja y la descendente anterior izquierda sin obstrucciones angiográficas significativas con flujo distal TIMI 3.CD: coronaria derecha; Cx: circunfleja; DA: descendente anterior; TCI: tronco de la coronaria izquierda.
Tras la estabilización hemodinámica, se le realizó una intervención de cierre de la comunicación interventricular (CIV) con parche de pericardio bovino y colocación de hemoducto venoso a la descendente posterior.
En su evolución, el paciente cursó con un cuadro de sepsis de origen pulmonar, debido al desarrollo de una neumonía relacionada con la ventilación mecánica. Desarrolló deterioro hemodinámico a pesar de la administración de vasopresores a dosis altas, signos de hipoperfusión persistente con gasto cardíaco de 1.5 L/min, hipotensión arterial de 80/40 mmHg y acidosis láctica. El ecocardiograma transtorácico evidenció la presencia de taponamiento cardíaco con separación de las hojas del pericardio de 2.1 cm, colapso de cavidades derechas e incremento de la variabilidad del flujo transmitral y transtricuspídeo. Se creó una ventana pericárdica urgente con extracción de 140 ml de material hemático. El paciente falleció ese mismo día y se establecieron los diagnósticos de choque séptico, choque cardiogénico, neumonía bacteriana e infarto agudo del miocardio (IAM).
A pesar de los recientes avances en el diagnóstico y tratamiento de la cardiopatía isquémica, ésta es aún la principal causa de morbimortalidad en el mundo. Incluso los pacientes que sobreviven al IAM tienen riesgo de sufrir complicaciones mecánicas que disminuyen en grado significativo la sobrevida a corto y largo plazos; más del 50% de las muertes ocurren dentro de los primeros 28 días posteriores al IAM, sin que el paciente llegue al hospital. El resto muere en las primeras 24 horas de hospitalización1,2.
Con el advenimiento de la intervención coronaria percutánea (ICP), la incidencia de las complicaciones mecánicas del IAM ha disminuido de manera significativa en los últimos años3 y en la actualidad es < 1%. Sin embargo, aún representan una emergencia clínica y son una importante causa de mortalidad a corto plazo4.
Las complicaciones del IAM pueden ser mecánicas, eléctricas, inflamatorias, isquémicas y embólicas (Tabla 1)4 y su aparición eleva la mortalidad, en particular en los casos sin tratamiento de reperfusión o con trombólisis tardía5. El choque cardiogénico es la complicación mecánica más frecuente y la principal causa de muerte después de un IAM3.
Tabla 1 Complicaciones del infarto agudo del miocardio
| Complicaciones | Subtipos | |
|---|---|---|
| Mecánicas | Choque cardiogénico, ruptura de pared libre, ruptura del septum ventricular, aneurisma ventricular e insuficiencia mitral aguda | |
| Eléctricas | Arritmias, bloqueos AV y bloqueos fasciculares | |
| Inflamatorias | Síndrome de Dressler | |
| Isquémicas | Angina posterior a infarto | |
| Embólicas | Trombosis mural y embolismo sistémico |
Modificada de Moreno et al., 20174.
La incidencia de ruptura septal antes de la reperfusión6 era de 1 a 3%, y con la trombólisis y la ICP ha descendido a 0.17 a 0.31%7. En la actualidad, esta complicación mecánica representa sólo el 5% de todas las muertes por IAM3,4,8, pero cuando se presenta tiene una mortalidad hasta del 46% en la primera semana y alcanza el 90% en los dos primeros meses en aquellos pacientes no sometidos a tratamiento quirúrgico9,10. El paciente fue sometido a revascularización y cierre de CIV, pero falleció en los dos primeros meses tras el inicio del padecimiento. La bibliografía registra que aun con la reparación quirúrgica, la mortalidad en estos enfermos es de 40%7,11.
Las manifestaciones clínicas de la ruptura septal interventricular ocurren en los primeros tres a cinco días después del IAM, aunque algunos informes mencionan que pueden presentarse incluso hasta en los 30 días posteriores al infarto12. Este caso que no recibió tratamiento de reperfusión mostró ruptura septal cuatro días después del episodio isquémico. Entre los factores de riesgo que predisponen a la ruptura septal destacan la hipertensión, edad avanzada, sexo femenino, ausencia de angina, tiempo de isquemia prolongado, ausencia de colaterales, IAM anterior e IAM extenso1,13. Este paciente era hipertenso, pero el factor de riesgo más significativo para la ruptura septal fue el tiempo prolongado de isquemia sin reperfusión.
Cabe destacar que en los infartos de localización anterior, la ruptura septal es más frecuente en la región apical, mientras que en los infartos de la cara inferior o lateral aparecen en la región posterobasal6,14-16. En contraste con estos hallazgos, este paciente sufrió un IAM transmural posteroinferior con ruptura septal en la porción apical, presentación rara de esta complicación. Hay que recordar que la mayor parte del septum ventricular (2/3) está irrigada por la coronaria izquierda, pero en un tercio por la coronaria derecha. Esto podría explicar la inusual presentación de ruptura septal apical en presencia de obstrucción de la arteria descendente posterior.
En más de 70% de los pacientes, la presentación clínica más frecuente corresponde al colapso hemodinámico y soplo holosistólico17-19. El ecocardiograma transtorácico es el estudio diagnóstico de elección para las complicaciones mecánicas del IAM18, aunque en ocasiones el ecocardiograma transesofágico, especialmente la técnica tridimensional, es superior para delinear con precisión la extensión completa de la ruptura16.
Si bien las guías de la ACC/AHA recomiendan que la ruptura septal ventricular posterior a infarto exige intervención urgente20, algunos estudios muestran que la mortalidad del tratamiento quirúrgico es mayor cuanto más temprana sea la intervención8. Los pacientes que entran a quirófano en los primeros siete días poseen una mortalidad de 54.1%, en comparación con el 18.4% de aquéllos operados después de siete días. La mortalidad es mayor al 60% si el procedimiento se practica en las primeras 24 horas6. Debido a ello, el uso del BIAC, los fármacos inotrópicos, vasodilatadores y los métodos invasivos son indispensables en la estabilización prequirúrgica del paciente1. La mortalidad quirúrgica en los casos con choque cardiogénico es de 20 a 50%15.
La incidencia de derrame pericárdico, hemodinámicamente significativo, se ha descrito en 1 a 2% de todas las operaciones cardíacas; la presencia de lesión renal y el tiempo en bomba de circulación extracorpórea prolongado son factores de riesgo independientes para el desarrollo de esta complicacion21, ambas alteraciones presentes en este paciente. Aunque los autores consideran que el taponamiento cardíaco no fue la causa de muerte en este paciente, sí contribuyó al deterioro hemodinámico y por consiguiente a la hipoperfusión tisular sostenida.
El cierre percutáneo de la ruptura septal es una alternativa que ha mostrado resultados favorables a corto y largo plazo1,3,18,20; en este caso, los bordes del defecto no eran adecuados para la fijación de un dispositivo de cierre percutáneo.
Conclusión
Este caso es de especial interés porque presentó un infarto transmural de la pared posteroinferior del ventrículo izquierdo, que presentó ruptura septal en la porción apical del septum, localización atípica de esta complicación diagnosticada mediante los datos clínicos, la exploración física y la ecocardiografía. A pesar de las intervenciones realizadas, el paciente murió por choque cardiogénico.










nueva página del texto (beta)


