Introducción
En 1987, Kim y Factor1, a través del estudio de necropsia, describieron el primer caso histopatológico con datos compatibles de hipertensión arterial pulmonar (HAP) en un paciente fallecido por complicaciones del virus de inmunodeficiencia humana (VIH).
Este hallazgo en la circulación pulmonar, considerada la misma una enfermedad huérfana por su poca prevalencia en la población general, al presentarse en coexistencia al VIH motivó un campo amplio de investigación de esta dualidad. La Organización Mundial de la Salud (OMS) clasifica a los pacientes con HAP en 5 grupos, siendo la HAP/VIH correspondiente al grupo 12 (tabla 1).
La HAP se define como una presión arterial media de la pulmonar ≥ 25 mmHg en reposo medida por cateterismo cardiaco derecho, con una presión capilar pulmonar (PCP) ≤ 15 mmHg y resistencia pulmonar vascular > 3 unidades Woods.
En la mayoría de los centros se confirma el diagnóstico por ecocardiografía (ECO) y posteriormente se programa para el cateterismo cardiaco derecho3.
La asociación HAP/VIH se considera una complicación pulmonar no infecciosa de los pacientes con este virus, el cual disminuye la calidad de vida y el pronóstico de sobre- vida a pesar de lograr un control en la carga viral y en la cuenta de linfocitos tipo CD4.
Epidemiología
La población VIH tiene un riesgo aumentado de 2,500 veces de padecer HAP con respecto a la población general no VIH4. La prevalencia en países industrializados es de alrededor del 0.5% de la población infectada5, pero en lugares como el continente africano se ha reportado una presentación del 8%6.
En México se está realizando el registro de HAP el cual demostrará la incidencia y prevalencia de esta patología en los diferentes grupos7.
Diagnóstico clínico
Las manifestaciones clínicas son similares a las otras formas de HAP, predominando la disnea de esfuerzo, la intolerancia al ejercicio y los datos de falla cardiaca derecha en fases avanzadas. Se observa disnea progresiva (85%), edema periférico (30%), tos no productiva (19%), fatiga (13%), pre- síncope y síncope (12%) y dolor torácico (7%).
En la mayoría de las ocasiones, a nivel global, se diagnostica la HAP/VIH en casos severos de la enfermedad, lo cual provoca que el manejo no sea exitoso, por lo que se enfa- tiza actualmente en considerar esta asociación en aquellos con disnea crónica y/o que no remiten mediante el manejo convencional.
Diagnóstico de gabinete
La ECO, la tomografía con angiografía pulmonar y la resonancia magnética han demostrado la misma utilidad que el resto de los grupos con HAP. Es imperante la realización del cateterismo cardiaco derecho para la medición de la hemodinámica correspondiente.
Fisiopatogenia
La patogénesis sigue siendo compleja. Esta se caracteriza por 3 procesos mayores: vasoconstricción, remodelamiento vascular y eventos microtrombóticos (tabla 2).
La infección por VIH induce secreción de algunas citoquinas por los monocitos, macrófagos y linfocitos (IL-1,IL-6,IL-8,IL-13,TNF), además del factor de crecimiento de plaquetas (PDGF); todo esto exacerba la inflamación del endotelio vascular, provocando en el paciente susceptible la aparición de HAP.
La IL-8 juega un papel importante en el desarrollo de HAP, especialmente en las fases tempranas del remodelamiento vascular, ya que tiene efecto proangiogénico y
antiapoptótico. La IL-13 es un mediador importante en la proliferación celular y en el remodelamiento tisular pulmonar.
Las proteínas virales del VIH, como el factor negativo (Nef), de transcripción (Tat) y glicoproteína 120 (gp120), inducen estrés oxidativo vascular, proliferación del músculo liso y lesión endotelial. La proteína Tat estimula la actividad de las células endoteliales vía IL-6. La presencia de proteína Nef se asocia a lesiones plexiformes. En la vasculatura pulmonar esta proteína puede entrar en las células endoteliales vía receptor CXCR-4, provocando proliferación y apoptosis8. La localización de esta proteína en los espacios lipídicos de la pared celular explica su participación y el tipo de lesión resultante.
El receptor proteico morfogenético óseo tipo II (BMPR2) participa en varios procesos: inhibición de la proliferación vascular del músculo liso, promoviendo la sobrevivencia de las células endoteliales, previniendo el daño de la res- puesta inflamatoria por lo que la mutación de este receptor aumenta la sensibilidad a padecer HAP. La predisposición genética se ha relacionado también en presencia de HDL-DR6 y HLA-DR5.
Últimamente se ha descrito la participación de la endotelina en la fisiopatogenia de la HAP/VIH, lo cual abre un campo de investigación terapéutica con respecto a los agonistas de los receptores de esta proteína8,9.
Histopatología
Histológicamente existen las mismas manifestaciones que en el resto de las presentaciones de HAP. Predominan 3 presentaciones: arteriopatía pulmonar primaria (plexiforme, trombótica, hipertrofia de la media y fibrosis de la íntima), enfermedad pulmonar venooclusiva y hemangiomatosis capilar pulmonar10.
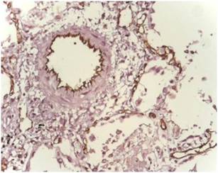
La forma más frecuente en la HAP/VIH es la arteriopatía plexogénica, seguido de arteriopatía pulmonar trombótica, hipertrofia de la media con fibrosis de la íntima y enfermedad venooclusiva11 (fig. 1).

Figura 1 Expresión de endotelina-1 (color café) en paciente masculino en la 3. década de la vida con VIH, fallecido por complicaciones pulmonares.
Tratamiento antirretroviral
Hasta el momento no existe una cura para la HAP/VIH; es indispensable la utilización del tratamiento antirretroviral (ARV), ya que este tiene beneficios clínicos en el manejo de estos pacientes. Aunque se ha demostrado que el ARV en las fases iniciales de la HAP/VIH tiene efectos benéficos, faltan estudios prospectivos que demuestren el efecto del mismo en la hemodinámica de la circulación pulmonar12.
Actualmente existen más de 30 medicamentos de este tipo en el mercado farmacéutico (tabla 3).
Los pacientes que han recibido tenofovir han presentado menos prevalencia de HAP/VIH.
Tratamiento para la hipertensión arterial pulmonar
Actualmente se cuenta con herramienta terapéutica para manejar este binomio (tabla 4). Es de considerar que cuando se presenta falla cardiaca derecha, el tratamiento va orientado a lo que regularmente se maneja en esta situación.
Conclusiones
La prevalencia del VIH en la población general a nivel global se ha mantenido (0.8% de la población adulta)13, lo que obliga a buscar otras complicaciones no infecciosas, que pueden empeorar el pronóstico a pesar del control viral que se pueda tener. Las enfermedades cardiopulmonares tienen una presentación importante en este grupo de pacientes, a pesar de que el ARV permite una mayor sobrevida. La HAP/VIH hasta el momento ha pasado desapercibida por clínicos de primer contacto, internistas, infectólogos, neumólogos y cardiólogos14. Es necesaria la difusión de esta entidad para que el diagnóstico oportuno, el óptimo manejo y la mejoría de los pacientes se hagan una realidad.










nueva página del texto (beta)






