Introducción
La disección aórtica (DA) es la forma de presentación más frecuente del síndrome aórtico agudo así como la patología aórtica potencialmente mortal más frecuente. En algunos estudios recientes tiene una mortalidad específica de hasta un tercio de los pacientes hospitalizados, observando que la sobrevida se relaciona significativamente con el tratamiento temprano, por lo cual el diagnóstico temprano es imprescindible1. La DA ocurre por la rotura de la capa íntima de la aorta, por lo cual el contenido hemático intraluminal entra y diseca la capa media, formando una segunda luz. Según la literatura se asocia a factores como la edad, la hipertensión arterial, la enfermedad ateromatosa calcificada y no calcificada de la aorta, el antecedente de aneurisma aórtico, y las enfermedades de tejido conectivo1. La DA se clasifica dependiendo del sitio anatómico y la extensión de la rotura, de acuerdo con las clasificaciones de Stanford y De Bakey, lo cual además tiene implicaciones en el manejo y la mortalidad. El diagnóstico se realiza principalmente mediante estudios de imagen seccionales, predominantemente por angiotomografía computarizada de aorta (ATCA), debido a su alta disponibilidad, rapidez de adquisición, alta sensibilidad y especificidad2,3. En el presente estudio se describe la técnica de adquisición de la ATCA en nuestra institución, los hallazgos por ATCA, los factores de riesgo asociados, y la mortalidad observada en pacientes mexicanos durante un período de un año. Así mismo, se realizó un análisis estadístico para buscar asociación entre las variables de género, síndrome de Marfan, hipertensión arterial sistémica y enfermedad ateromatosa calcificada en asociación con los subtipos de disección, sitios de reentrada y datos de hipoperfusión.
Métodos
Esta investigación retrospectiva no requirió consentimiento informado de los pacientes. A menos que se mencione lo contrario, la recopilación de datos fue realizada por el autor principal (L.B.N.), y el análisis estadístico, por el autor y los coautores. Se realizó una revisión de tipo retrospectivo de los expedientes electrónicos e imágenes de las ATCA de los pacientes del Instituto Nacional de Cardiología Ignacio Chávez de la Ciudad de México con sospecha de DA y otras enfermedades aórticas, en el período comprendido desde el 3 de noviembre de 2014 hasta el 30 de octubre de 2015. Para el estudio de los pacientes, se empleó un tomógrafo multicorte de 128 cortes doble fuente (Siemens Somatom Definition Flash), utilizando un protocolo flash. Nuestro pro- tocolo de estudio incluyó cráneo y tórax-abdomen en fase simple, así como tórax-abdomen en fase arterial y cráneo en fase arterial tardía. La técnica de adquisición se llevó a cabo por medio de «bolus tracking» con un umbral de 200 unidades Hounsfield (UH) colocando un área de «region of interest» (ROI) en aorta ascendente al existir sospecha de síndrome aórtico agudo de aorta ascendente, o en aorta abdominal a nivel diafragmático en caso de sospecha de síndrome aórtico agudo a nivel de aorta abdominal, previa colocación de cánula intravenosa periférica en vena antecubital de 20 gauge o mayor calibre, con medio de contraste no iónico con concentración de 370 mg/dl (iopromida) a una dosis de 1 mg/kg de peso y caudal de 5 ml/s, así como un «chaser» de solución salina de 40 ml. Se realizaron reconstrucciones finas de 1 mm de grosor. Los estudios fueron revisados e informados por radiólogos del departa- mento de radiología del instituto. Se obtuvo una lista de 434 pacientes con ATCA en el período previamente mencionado, posterior a lo cual se incluyó solo a 32 pacientes con diagnóstico de DA de primera vez (casos positivos), los cuales se clasificaron de acuerdo con la clasificación de Stanford/De Bakey. Se cuantificó el número de sitios de reentrada, así como la presencia de datos de hipoperfusión y de datos de enfermedad ateromatosa calcificada aórtica. Se realizó una revisión de los expedientes electrónicos de los pacientes positivos para DA, los antecedentes de hipertensión arterial sistémica, aneurisma de aorta, síndrome de Marfan y tabaquismo. Se efectuó un seguimiento a 6 meses de la fecha del estudio tomográfico para cuantificar las defunciones. El aná- lisis estadístico se realizó de forma descriptiva, y mediante el cálculo de significación estadística por Chi-cuadrada para las variables independientes de género, síndrome de Marfan, hipertensión arterial sistémica y enfermedad ateromatosa calcificada en asociación con los subtipos de DA, sitios de reentrada y datos de hipoperfusión.
Resultados
De los 434 pacientes con ATCA, 244 fueron masculinos (56.2%) y 190 fueron femeninos (43.7%). El promedio de edad para los pacientes masculinos y femeninos fue de 50.6 ± 18.4 años (desviación estándar) y 50.9 ± 21.2 años, respectivamente. El promedio de edad general fue de 50.7 ± 19.7 años, con un rango desde los 14 hasta los 94 años. Un total de 32 pacientes fueron positivos para DA (7.3%). De estos, 21 pacientes fueron masculinos (65.6%) con un promedio de edad de 54.5 ± 13.6 años, y 11 pacientes fueron femeninos (34.4%), con un promedio de edad de 42.5 ± 20.4 años. No se encontró asociación significativa entre el sexo y los subtipos de DA por la clasificación de Stanford (p = 0.3884). El grupo etario en el que se registró el mayor número de casos fue el de 50 a 59 años (25%) (fig. 1).
En cuanto al antecedente de aneurismas aórticos, 17 pacientes contaron con antecedente de aneurisma de aorta ascendente (53.1%), 8 pacientes con aneurisma de aorta torácica descendente (25%), y 6 pacientes con aneurisma de aorta abdominal (18.7%); en estos últimos se
encontró asociación significativa con los subtipos de DA según la clasificación de Stanford (p = 0.047104). Inciden- talmente, en un paciente se identificó úlcera penetrante coexistente con DA. Veintitrés pacientes (71.9%) contaban con antecedente de hipertensión arterial sistémica; no se encontró asociación significativa entre la hipertensión arterial sistémica y los subtipos de DA según su clasificación de Stanford (p = 0.0804). Siete pacientes (21%) contaban con antecedente de síndrome de Marfan, 4 de los cuales fueron pacientes del grupo etario de 20 a 29 años. En pacientes con síndrome de Marfan de nuestra muestra se obtuvo asociación significativa con p marginal al comparar con los subtipos de DA de Stanford (p = 0.0506). Dieciocho pacientes (56.3%) eran fumadores, y en 20 pacientes (62.5%) se identificaron calcificaciones ateromatosas en la aorta como dato sugestivo de enfermedad ateromatosa cal- cificada (tabla 1). Hubo 10 pacientes (31.3%) con disección tipo Stanford A/De Bakey 1; 7 pacientes con disección tipo Stanford A/De Bakey 2, y 15 pacientes con disección tipo Stanford B/De Bakey 3 (tabla 2). En 16 pacientes (50%) no se hallaron sitios de reentrada entre la luz verdadera y la falsa; en 6 pacientes (18.8%) se observó un sitio de reentrada, y en 6 pacientes (18.8%) se observaron 2 sitios de reentrada.
En cuanto al seguimiento en 6 meses, se observaron 6 defunciones, con una tasa de mortalidad del 18.7% a 6 meses. Se observaron 3 defunciones de los 10 pacientes con DA clasificación Stanford A/De Bakey 1 (mortalidad del 30%), 0 defunciones de los pacientes con DA clasificación Stanford A/De Bakey 2 (mortalidad del 0%), y 3 defunciones de los 15 pacientes con DA clasificación Stanford B/De Bakey 3 (mortalidad del 20%). No se encontró asociación sig- nificativa entre la mortalidad a 6 meses y los subtipos de DA de Stanford (p = 0.8648). No se halló asociación significativa entre la mortalidad y los datos de hipoperfusión a vísceras abdominales (p = 0.1166). De estos pacientes, uno inició con sintomatología 2 h previas a su ingreso a urgencias, 3 pacientes entre 10 y 12 h previas a su ingreso, un paciente 6 días previos a su ingreso, y otro paciente 8 meses previos a su ingreso. Del resto de los pacientes, 14 acudieron a urgencias 12 h antes de su ingreso, mientras que 12 personas acudieron más de 12 h después. No se encontró asociación significativa entre la mortalidad y el tiempo de sintomatología previo a su ingreso al servicio de urgencias (p = 0.5682).
Discusión
La DA es una enfermedad en general poco frecuente, encontrando en el presente estudio una incidencia de 7 casos por cada 100 pacientes estudiados por ATCA. Sin embargo, es la enfermedad aórtica con mayor riesgo de mortalidad más frecuente, ya que se ha visto que la mortalidad inmediata puede incrementar hasta el 1% por hora durante las prime- ras horas, por lo cual es importante realizar el diagnóstico oportuno1.
En el presente estudio, de las 434 ATCA realizadas, se diagnosticó DA de primera vez en un total de 32 pacientes (7.3%). Hayter et al. reportaron un 18% de casos positivos para síndrome aórtico agudo en su estudio3.
Entre los hallazgos clínicos que se pueden encontrar se incluyen dolor retroesternal agudo similar a un cuadro de isquemia o infarto de miocardio, en pacientes con antecedentes de hipertensión arterial sistémica, que en algunos estudios se describe en hasta el 70% de los pacientes4. Otros síntomas incluyen dolor migratorio, síncope, ausencia de pulso, o soplo en foco aórtico1,4.
En nuestro estudio, el 65.6% de los pacientes con DA fueron masculinos, dato similar a lo reportado en la literatura (65.3%)4,5. En nuestra muestra no se encontró asociación significativa entre el sexo y los subtipos de DA según la clasificación de Stanford (p no significativa).
Dentro de la fisiopatología de la enfermedad, la DA ocurre por una rotura longitudinal de la íntima aórtica, a través de la cual existe entrada del componente hemático intraluminal con separación de las capas intimal y adventicia, produciendo una luz falsa6. La luz falsa generalmente mantiene presiones iguales o mayores que la luz verdadera, lo cual se asocia con disminución en la elasticidad de la luz falsa debido a que la capa externa contiene aproximadamente un tercio de la elastina normal, por lo que tiende a ser de mayores dimensiones, y en ocasiones puede colapsar a la luz verdadera6. Eventualmente la presión intraluminal conlleva rotura; el grado de dilatación depende de la presión arterial, el grosor de la pared y el porcentaje de pared que involucra la disección6. Dentro de la evolución de la disección, la luz falsa puede permanecer permeable, puede trombosarse, o formar sitios de reentrada con la luz verdadera; puede haber rotura a espacios pericárdico, pleural o peritoneal6.
Las DA se pueden clasificar según el sitio anatómico que involucren, de acuerdo con las clasificaciones de Stanford y De Bakey. La clasificación de Stanford divide las disecciones en tipo A si involucra a la aorta ascendente, y en tipo B si involucra a la aorta descendente distal a la emergencia de la arteria subclavia izquierda (fig. 2). La clasificación de De Bakey divide las disecciones en tipo 1 si afecta a aorta ascendente, descendente y abdominal, tipo 2 si solamente
afecta a aorta ascendente, y en tipo 3 si afecta solamente a aorta descendente y abdominal.
La ATCA es el método de elección para el diagnóstico de DA6,7. Las ventajas que presenta al compararla con las otras modalidades diagnósticas son la adquisición rápida del estudio, la alta disponibilidad, y la alta precisión diagnóstica6,7. Los hallazgos primarios por imagen encontrados de la DA por ATCA incluyen la visualización de un colgajo de disección intimal que divide en dos a la luz, forma una luz verdadera y una luz falsa (pueden ser múltiples si el colgajo es complejo); en algunos estudios se ha descrito que es posible observar este hallazgo hasta en el 70% de los casos6,7. Así mismo, se han descrito calcificaciones en la luz falsa en disecciones crónicas, al igual que hallazgos secundarios que incluyen desplazamiento de las calcificaciones intimales, realce tardío de la luz falsa, incremento del diámetro de la aorta y mediastino, derrame pleural y/o pericárdico6. El hallazgo de un hematoma retroperitoneal adyacente a un aneurisma aórtico abdominal es el hallazgo por imagen más común de rotura del aneurisma, y el contenido hemático puede extenderse al espacio periaórtico, perirrenal, pararrenal, o a los músculos psoas8.
Es importante diferenciar entre la luz verdadera y la luz falsa, ya que esto tiene repercusión en el manejo, específicamente en la selección del tratamiento intravascular. Entre los signos importantes para distinguir la luz falsa de la luz verdadera se incluyen el tamaño, la localización, la morfología, el signo de la telaraña, y el signo del pico. En cuanto al tamaño, la luz falsa generalmente es de mayores dimensiones. En cuanto a localización, la luz falsa generalmente es excéntrica, o lateral, mientras que la luz verdadera tiende a ser más central. Con respecto a la morfología, la luz falsa tiende a ser biconvexa, mientras que la luz verdadera tiende a ser bicóncava9. Otra característica importante es la atenuación, ya que típicamente la luz falsa tiende a ser menos densa que la luz verdadera; sin embargo, esta característica depende de otros factores, como por ejemplo de la fase angiográfica en la que se adquiere el estudio. El signo del

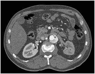
Figura 3 Caso de disección aórtica con sitio de reentrada y datos de hipoperfusión visceral. Paciente masculino de 64 años de edad con diagnóstico de disección aórtica; la flecha negra marca un sitio de reentrada a nivel de las renales, y el asterisco (*) muestra una disminución de la atenuación de la corteza renal izquierda al compararla con la contralateral.
pico se refiere al ángulo agudo que se forma dentro de la luz falsa en la porción adyacente al colgajo intimal, formando un triángulo hiperdenso; fue descrito por Le Page et al.9. El signo de la telaraña se refiere a hipodensidades lineares dentro de la luz falsa en relación con tejido residual del colgajo10.
Así mismo, los colgajos de disección pueden ser de diversa morfología, dentro de lo cual un dato importante a estudiar, sobre todo para la planeación del manejo terapéutico, es la cantidad de sitios de reentrada entre la luz falsa y la luz verdadera (fig. 3), ya que se ha visto que el número de reentradas puede asociarse a cambios en la movilidad del colgajo de disección, afectando el flujo intraluminal, que puede tener repercusiones hemodinámicas en el paciente11. En el presente estudio, el 50% de los casos no presentaron sitios de reentrada. El 18.8% tuvo un sitio de reentrada, mismo porcentaje obtenido en pacientes con 2 sitios de reentrada. No se observaron pacientes con 3 sitios de reentrada. Solo el 3.1% tuvo 4 sitios de reentrada, y el 9.4% de los pacientes tuvieron 5 o más sitios de reentrada. En el presente estudio no se encontró asociación significativa entre la mortalidad y los sitios de reentrada.
De acuerdo con la clasificación de Stanford, en nuestro estudio observamos que 17 pacientes (53.1%) fueron catalogados como Stanford A (fig. 4), mientras que los restantes 15 pacientes (46.9%) fueron catalogados como Stanford B (fig. 5). De acuerdo con la literatura, el subtipo Stanford A ocurre en el 60-70% de los casos6. En cuanto a la clasificación de De Bakey, el subtipo 3 fue el más frecuentemente diagnosticado, con 15 pacientes (46.9%), seguido del sub- tipo 1, que fue diagnosticado en 10 pacientes (31.2%), y del subtipo 2 en 7 pacientes (21.9%).
Entre los antecedentes, los factores de riesgo más frecuentemente asociados incluyeron la hipertensión arterial sistémica, el síndrome de Marfan, la coexistencia de aneurisma aórtico y la enfermedad ateromatosa calcificada. Un 71.9% de los pacientes con DA tenían hipertensión arterial

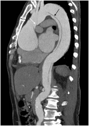
Figura 4 Caso de disección aórtica Stanford A/De Bakey 1. Paciente masculino de 53 años de edad con disección aórtica Stanford tipo A/De Bakey tipo 1. La flecha blanca indica el colgajo de disección a nivel de la aorta ascendente, y la flecha negra el colgajo de disección a nivel de aorta descendente que se extiende hasta el segmento abdominal.
sistémica, sin embargo, en nuestra muestra no se encontró asociación significativa con la DA por categorías de Stanford, con p no significativa, lo cual está probablemente relacionado con el tamaño de la muestra. Seguido de la hipertensión arterial, son de importancia los antecedentes de enfermedad ateroesclerótica calcificada de aorta (62.5%), el tabaquismo (56.3%) y el síndrome de Marfan (21%); este último sobre todo en pacientes jóvenes, ya que 4 pacientes de los 7 con antecedente de síndrome de Marfan se encuen- tran en el grupo etario entre los 20-29 años (57%). El síndrome de Marfan, causado por mutaciones del gen fibrilina- 1, tiene una prevalencia aproximada de 2-3 pacientes por cada 10,000 personas, causando dilatación gradual de la aorta que conlleva aneurisma y, finalmente, disección12,13. En esta población, el diámetro de los aneurismas es un factor importante a tomar en cuenta, ya que hay estudios que mencionan que el riesgo de muerte súbita o DA es bajo en pacientes con diámetros aórticos entre 45 y 49 mm, por lo que recomiendan cirugía profiláctica en diámetros aórticos mayores de 50 mm14. En pacientes con síndrome de Marfan de nuestra muestra, se presentó asociación con la DA por subtipos según la clasificación de Stanford con p marginal del 0.0506, siendo el 85% Stanford A. Según Tsai et al., lo más frecuente en esta población es la asociación con disección Stanford A

Figura 5 Caso de disección aórtica Stanford B/De Bakey 3. Paciente masculino de 50 años de edad con disección aórtica Stanford tipo B/De Bakey tipo 3. La flecha negra indica el colgajo de disección que inicia distal a la arteria subclavia izquierda. La flecha blanca indica la luz falsa trombosada.
(6.7% de la muestra) en comparación con Stanford B (1.8% de la muestra), similar a lo observado en nuestro estudio15. El 53.1% de los pacientes tuvieron antecedente de aneurisma aórtico; se encontró asociación significativa de aneurismas de aorta abdominal con los subtipos de DA según la clasificación de Stanford (p = 0.047104). Así mismo, se encontró incidentalmente un caso con úlcera penetrante en el cayado en un paciente con aneurisma de aorta torácica con trombo mural asociado (fig. 6). La úlcera penetrante es, junto con la DA y el hematoma intramural, una de las patologías que componen el síndrome aórtico agudo, y consiste en la ulceración de placas ateroescleróticas que pueden llevar
a hematoma intramural, disección o perforación aórtica15. La mortalidad general a 6 meses en los pacientes con
DA fue del 18.7%; en la literatura, Hagan et al.4 han descrito una tasa de hasta un 27.4%. Los pacientes con disección tipo A tuvieron peor pronóstico que los otros subtipos, observando una mortalidad del 30% en estos pacientes, hallazgo esperado al comparar con la literatura, donde se reportan mortalidades del 32.5% de los pacientes4,16. Los pacientes con disección Stanford B/De Bakey 3 tuvieron una mortalidad del 20%. En relación con el tiempo de la sintomatología y la mortalidad observada, no se encontró asociación significativa, en probable relación con el tamaño de la muestra y con el hecho de que el lugar de donde se obtuvo la muestra es un centro de referencia de nivel terciario de atención.

Figura 6 Caso de disección aórtica Stanford B/De Bakey 3. Paciente femenino de 53 años de edad con disección aórtica Stanford tipo B/De Bakey tipo 3. La flecha blanca indica úlcera penetrante en el cayado aórtico, mientras que el asterisco (*) indica el trombo mural.
Dentro de la morfología de la disección hay varias variables, dependiendo de su evolución. Es por esto que es de suma importancia identificar el origen de los vasos viscerales, ya que cuando se oblitera la luz verdadera existe pérdida del flujo anterógrado en su interior, lo cual puede causar isquemia visceral17. En el presente estudio, 3 de las 6 defunciones tenían datos de hipoperfusión visceral, observando una mortalidad del 20% en disecciones Stanford A/De Bakey 1 y del 6% en Stanford B/De Bakey 3. Sin embargo, no encontramos asociación significativa entre los datos de hipoperfusión visceral y mortalidad a 6 meses, de igual forma en probable relación con la poca cantidad de la muestra.
En cuanto al manejo, el tratamiento inicial depende de la presentación clínica. Se ha descrito que se deben administrar medicamentos para disminuir la contracción ventricular y prevenir la extensión de la DA18. El manejo quirúrgico es fundamental para pacientes con disección Stanford tipo A. Su objetivo principal es prevenir la extensión, la escisión del colgajo intimal, y el reemplazo del segmento aórtico susceptible de rotura; a veces es necesario emplear un injerto así como reemplazo valvular aórtico19. En las disecciones Stanford tipo B, la intervención quirúrgica es necesaria en caso de dolor persistente o recurrente intratable, expansión del aneurisma, complicaciones isquémicas periféricas y rotura18. Otra opción de tratamiento para este tipo de disecciones incluye la colocación de una endoprótesis que excluya el sitio de entrada de la disección; en el estudio de Czermak et al. se realizó en pacientes con alto riesgo quirúrgico por enfermedad coronaria, enfermedad pulmonar obstructiva crónica o ambos, observando que posteriormente al procedimiento no hubo complicaciones cardiacas ni embolización distal, por lo que parece ser una alternativa de tratamiento prometedora19.
La ATCA es útil de igual forma para el seguimiento posterior al manejo de las DA, ya que se ha comprobado su utilidad en el diagnóstico de las complicaciones posquirúrgicas así como después del manejo médico, siendo también de utilidad para evaluar y dar seguimiento a los casos con compromiso de las ramas viscerales20. En el estudio se identificaron algunas dificultades, incluyendo que el estudio se basó en los pacientes con ATCA, sin tomar en cuenta otros pacientes con DA no estudiados o estudiados con otros métodos de estudio, recordando que esta patología tiene una alta mortalidad de forma aguda4. No se realizó correlación histopatológica o quirúrgica; solo se efectuó correlación con los hallazgos por imagen, sin embargo, esta limitación probablemente no sea significativa dada la sensibilidad y especificidad de la ATCA.
Conclusiones
La DA es una patología poco frecuente, sin embargo, sus complicaciones son severas y con una mortalidad significativa. La ATCA es el método diagnóstico de elección por su rapidez, su disponibilidad y su alta sensibilidad, por lo cual es de suma importancia para los radiólogos conocer los hallazgos de imagen más importantes para realizar un diagnóstico oportuno e identificar las complicaciones relevantes que puedan tener impacto en el manejo. En nuestra muestra encontramos asociación significativa de pacientes con antecedente de síndrome de Marfan y aneurisma de aorta abdominal con disecciones según la categoría de Stanford. El resto de las variables independientes no mostraron asociación significativa, en probable relación con el tamaño de la muestra.










nueva página del texto (beta)






