Servicios Personalizados
Revista
Articulo
Indicadores
-
Citado por SciELO -
Accesos
Links relacionados
-
Similares en
SciELO
Compartir
Archivos de cardiología de México
versión On-line ISSN 1665-1731versión impresa ISSN 1405-9940
Arch. Cardiol. Méx. vol.84 no.1 Ciudad de México ene./mar. 2014
https://doi.org/10.1016/j.acmx.2013.05.005
Cartas científicas
Miocardiopatía arritmogénica del ventrículo derecho con afectación del ventrículo izquierdo y trombos endocavitarios: diagnóstico mediante cardiorresonancia magnética
Arrhythmogenic right ventricular cardiomyopathy with left ventricular involvement and intracavitary thrombus: Diagnosis with cardiac magnetic resonance
Gorka Bastarrikaa*, Laura Jiménez-Juana, Gregory P. Kinga, Anna E. Zavodnia, Alex W. Leberb y Eugene Crystalc
a Cardiothoracic Imaging Division, Department of Medical Imaging, Sunnybrook Health Sciences Centre, University of Toronto, Toronto, Ontario, Canadá
b Interventional Cardiology, Schulich Heart Centre, Sunnybrook Health Sciences Centre, University of Toronto, Toronto, Ontario, Canadá
c Arrhythmia Services, Schulich Heart Centre, Sunnybrook Health Sciences Centre, University of Toronto, Toronto, Ontario, Canadá
* Autor para correspondencia: Cardiothoracic Imaging Division. Department of Medical Imaging. Sunnybrook Health Sciences Centre. 2075 Bayview Avenue. Toronto, Ontario. Canada. M4N 3M5. Phone: 416-480-6100 (ext 85152). fax: +416-480-5855. Correo electrónico: gorka.bastarrika@sunnybrook.ca (G. Bastarrika).
Sr. Editor:
La miocardiopatía arritmogénica del ventrículo derecho (MAVD) es una enfermedad hereditaria autosómica dominante que afecta con mayor frecuencia a varones y puede causar muerte súbita en sujetos jóvenes1,2. Sus manifestaciones clínicas son variables en función de la severidad y patrón de afectación del miocardio. A pesar de que el ventrículo derecho es el ventrículo clásicamente afectado en esta enfermedad, la afectación del ventrículo izquierdo está siendo cada vez más reconocida. Esto se debe en gran parte al incremento en el empleo de técnicas de imagen, como la cardiorresonancia magnética (CRM), de gran utilidad clínica para caracterizar el miocardio y diagnosticar sus enfermedades.
Se presenta el caso de un hombre de 47 años, fumador, hipertenso, sin antecedentes familiares de cardiopatía isquémica, que acudió al Servicio de Urgencias de otro hospital por palpitaciones y disnea. Como único antecedente familiar refería que un tío había fallecido de muerte súbita a los 40 años. El electrocardiograma mostró taquicardia ventricular monomórfica con una frecuencia de 200 latidos/minuto que revirtió espontáneamente. Se le realizó un ecocardiograma transtorácico que demostró un ventrículo izquierdo no dilatado con fracción de expulsión (FE) del 35% e hipocinesia inferolateral. El paciente acudió a nuestro centro para la realización de una coronariografía con objeto de descartar enfermedad coronaria. El tronco principal izquierdo y las arterias coronarias descendente anterior, derecha y circunfleja resultaron normales, sin estenosis significativas. La ventriculografía confirmó la disfunción ventricular izquierda mostrando una FE del 35-40% y acinesia apical. La presión telediastólica del ventrículo izquierdo era de 28 mmHg y no se detectó insuficiencia mitral significativa ni gradiente. Ante estos hallazgos de ventrículo izquierdo no dilatado con FE moderadamente deprimida y ausencia de enfermedad coronaria se realizó una CRM con objeto de caracterizar el ventrículo izquierdo y descartar miocardiopatía, cicatriz o fibrosis.
El estudio de CRM se llevó a cabo con un protocolo convencional que incluía secuencias anatómicas del tórax, secuencias cine eco de gradiente steady-state free precession (SSFP) en los planos 4 cámaras, eje corto y tracto de salida del ventrículo izquierdo, perfusión en reposo y secuencias de realce precoz y realce tardío tras la administración intravenosa de contraste paramagnético3. La CRM puso de manifiesto un ventrículo izquierdo de tamaño
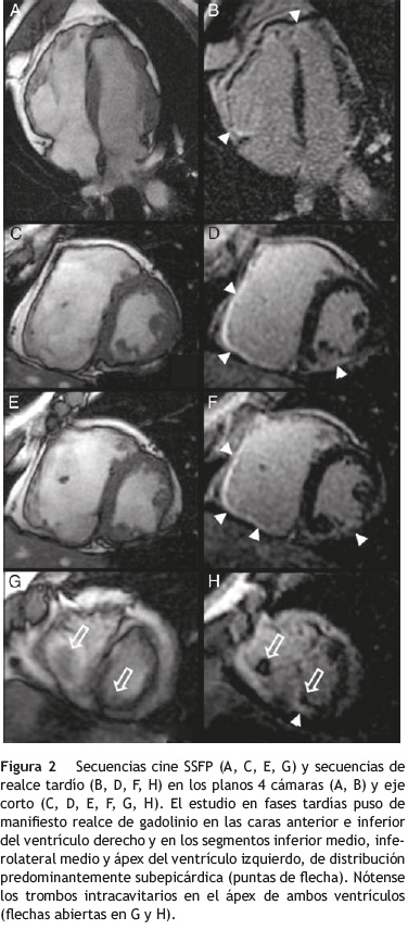
normal con disfunción sistólica moderada (FE = 35%), acinesia del segmento inferior medio y discinesia y abombamiento diastólico del segmento inferolateral medio. Los grosores miocárdicos eran normales excepto en el segmento inferolateral medio, que se encontraba muy adelgazado (6mm). La pared lateral del ventrículo izquierdo mostraba una morfología irregular y se encontraba infiltrada por tejido adiposo (fig. 1). El ventrículo derecho estaba dilatado (volumen telediastólico ajustado por superficie corporal de 147ml/m2, volumen telesistólico ajustado por superficie corporal de 111 ml/m2) y presentaba una función sistó-lica severamente deprimida (FE = 25%). Morfológicamente había áreas de adelgazamiento de la pared. El análisis de la contractilidad segmentaria de este ventrículo mostró movimiento disincronía del septum, disincronía de la contracción ventricular, segmentos acinéticos y discinéticos y formación de pequenñas saculaciones/aneurismas (fig. 1). Durante la perfusión en reposo se observaron trombos endocavitarios en los ápices de ambos ventrículos. En fases tardías se objetivó realce de las caras anterior e inferior del ventrículo derecho y de los segmentos inferior medio, inferolateral medio y ápex del ventrículo izquierdo, con una distribución predominantemente sube-picárdica (fig. 2). Ante estos hallazgos, el estudio de CRM se consideró compatible con miocardiopatía arritmogénica del ventrículo derecho con afectación del ventrículo izquierdo.
El paciente fue transferido a la Unidad de Arritmias, en donde tras valorar parámetros clínicos, electrofisiológicos y de imagen se le implantó un desfibrilador bicameral como medida de prevención secundaria. El procedimiento transcurrió sin complicaciones.
La MAVD o displasia arritmogénica del ventrículo derecho es una enfermedad del músculo cardiaco de difícil diagnóstico, con una prevalencia aproximada de 1:5,000 sujetos en la población general adulta1. Su origen es genético con expresión variable y penetrancia incompleta. Histológicamente se caracteriza por la sustitución progresiva del tejido miocárdico ventricular por tejido adiposo o fibroso, hecho que habitualmente ocurre en los estadios finales de la enfermedad2. En la mayoría de los casos la MAVD afecta al ventrículo derecho. En ocasiones, la enfermedad puede progresar y afectar al ventrículo izquierdo, generalmente a su cara inferolateral, como en el caso que se presenta, con una prevalencia de hasta el 76%4. Estudios recientes proponen 3 tipos de patrones de expresión de la enfermedad5: el clásico, manifestado como enfermedad aislada del ventrículo derecho o afectación del ventrículo izquierdo junto a disfunción significativa del ventrículo derecho; dominancia izquierda, con manifestaciones precoces y evidentes del ventrículo izquierdo y afectación derecha poco significativa; y biventricular, caracterizada por una afectación similar de ambos ventrículos.
Clásicamente el diagnóstico de MAVD se ha basado en la historia familiar, cambios electrocardiográficos, la presencia de arritmias, criterios de morfología y función ventricular y cambios histológicos del miocardio2. Los avances en técnicas de imagen y el reconocimiento de distintos patrones de la enfermedad han replanteado los criterios necesarios para su diagnóstico6. En particular, técnicas de imagen como la CRM se han convertido en uno de los pilares más importantes para el mismo7. En casos de MAVD, los estudios de CRM pueden mostrar áreas hipo o discinéticas y pequenas dilataciones saculares o aneurismáticas en la pared libre, el ápex y los tractos de entrada y salida del ventrículo derecho. Además, las secuencias anatómicas permiten caracterizar el miocardio y determinar si existe infiltración grasa o fibrosis del mismo. Estas 2 últimas características, tradicionalmente consideradas diagnósticas de la enfermedad, hoy en día se encuentran en entredicho, dado que la infiltración grasa del miocardio también se puede observar en sujetos normales8 y la detección de fibrosis con secuencias de realce tardío en el ventrículo derecho9 presenta limitaciones importantes.
Actualmente, los hallazgos morfológicos y funcionales de CRM que se consideran criterios mayores de MAVD son6: acinesia o discinesia regional del ventrículo derecho o desincronía de la contracción del ventrículo derecho y volumen telediastólico del ventrículo derecho ajustado por superficie corporal> 110ml/m2 (en varones)/> 100ml/m2 (en mujeres) o FE del ventrículo derecho < 40%. Los criterios menores por CRM son la presencia de acinesia o discinesia regional del ventrículo derecho o desincronía de la contracción del ventrículo derecho y volumen tele-diastólico del ventrículo derecho ajustado por superficie corporal> 100 pero <110ml/m2 (en varones)/>90 pero < 100ml/m2 (en mujeres) o FE del ventrículo derecho > 40% pero < 45%.
El caso que se presenta es una forma atípica de MAVD. Por un lado, aunque en este paciente predomina la disfunción del ventrículo derecho, existe afectación concomitante del ventrículo izquierdo. Además, el paciente presentaba trombos endocavitarios en ambos ventrículos.
La afectación del ventrículo izquierdo en la MAVD se ha considerado como una manifestación de enfermedad avanzada, de mal pronóstico. Un trabajo ha descrito que la sustitución fibrograsa del miocardio del ventrículo izquierdo demostrada histológicamente se asocia de manera independiente a un incremento de arritmias e insuficiencia cardiaca4. Así, varios estudios indican que la afectación del ventrículo izquierdo se asocia a mayor riesgo de palpitaciones, episodios sincopales, arritmias potencialmente letales e insuficiencia cardiaca que la afectación aislada del ventrículo derecho4-10. Por último, aunque la dilatación severa del ventrículo derecho y las alteraciones de la contractilidad características de la MAVD pueden predisponer a la formación de trombos endocavitarios, no existen muchos trabajos que subrayen este hallazgo11. Se ha descrito que la frecuencia de complicaciones tromboembólicas en la MAVD es significativamente menor que en pacientes con insuficiencia cardiaca izquierda12. No obstante, es necesario conocer si existe o no trombosis endocavitaria dado que la misma potencialmente puede provocar tromboembolismo pulmonar severo u obstruir el tracto de salida del ventrículo derecho y causar insuficiencia cardiaca. En este sentido, tal y como se muestra en el caso que se presenta, la CRM es una técnica que permite detectar la presencia y localización de los trombos con gran fiabilidad.
Como conclusión, en este caso se demuestra que en pacientes con MAVD la enfermedad no solo afecta al ventrículo derecho, sino que también puede afectar al ventrículo izquierdo. Además, las cavidades afectadas se deben estudiar con detenimiento dado que, aunque no es frecuente, pueden existir trombos que incrementen la morbilidad de estos pacientes. En este caso, el conocimiento de la trombosis endocavitaria fue tomada en cuenta al colocar los cables del desfibrilador para evitar complicaciones. Por último, este caso subraya la utilidad de la CRM en el diagnóstico de las miocardiopatías. La realización de esta exploración cambió por completo el diagnóstico y manejo clínico del paciente al demostrar una entidad potencialmente letal, como es la MAVD, no sospechada anteriormente con los estudios realizados.
Bibliografía
1. Basso C, Corrado D, Marcus FI, Nava A, Thiene G. Arrhythmogenic right ventricular cardiomyopathy. Lancet. 2009;373:1289-300. [ Links ]
2. Izurieta C, Curotto-Grasiosi J, Rocchinotti M, et al. Miocardiopatía arritmogénica del ventrículo derecho. Breve revisión de la literatura a propósito de un caso. Arch Cardiol Mex. 2013;83(4):282-8. [ Links ]
3. Hernández C, Zudaire B, Castaño S, et al. Principios básicos de resonancia magnética cardiovascular (RMC): secuencias, planos de adquisición y protocolo de estudio. An Sist Sanit Navar. 2007;30:405-18. [ Links ]
4. Corrado D, Basso C, Thiene G, et al. Spectrum of clinico-pathologic manifestations of arrhythmogenic right ventricular cardiomyopathy/dysplasia: Amulticenter study. J Am Coll Cardiol. 1997;30:1512-20. [ Links ]
5. Sen-Chowdhry S, Syrris P, Ward D, et al. Clinical and genetic characterization of families with arrhythmogenic right ventricular dysplasia/cardiomyopathy provides novel insights into patterns of disease expression. Circulation. 2007;115:1710-20. [ Links ]
6. Marcus FI, McKenna WJ, Sherrill D, et al. Diagnosis of arrhythmogenic right ventricular cardiomyopathy/dysplasia: Proposed modification of the task force criteria. Circulation. 2010;121:1533-41. [ Links ]
7. Tandri H, Macedo R, Calkins H, et al. Role of magnetic resonance imaging in arrhythmogenic right ventricular dysplasia: Insights from the North American arrhythmogenic right ventricular dys-plasia (ARVD/C) study. Am Heart J. 2008;155:147-53. [ Links ]
8. Tansey DK, Aly Z, Sheppard MN. Fat in the right ventricle of the normal heart. Histopathology. 2005;46:98-104. [ Links ]
9. Tandri H, Saranathan M, Rodriguez ER, et al. Noninvasive detection of myocardial fibrosis in arrhythmogenic right ventricular cardiomyopathy using delayed-enhancement magnetic resonance imaging. J Am Coll Cardiol. 2005;45:98-103. [ Links ]
10. Pinamonti B, Sinagra G, Salvi A, et al. Left ventricular involvement in right ventricular dysplasia. Am Heart J. 1992;123:711-24. [ Links ]
11. Attenhofer Jost CH, Bombeli T, Schrimpf C, et al. Extensive thrombus formation in the right ventricle due to a rare combination of arrhythmogenic right ventricular cardiomyopathy and heterozygous prothrombin gene mutation G20210 A. Cardiology. 2000;93:127-30. [ Links ]
12. Wlodarska EK, Wozniak O, Konka M, et al. Thromboembolic complications in patients with arrhythmogenic right ventricular dysplasia/cardiomyopathy. Europace. 2006;8:596 -600. [ Links ]














