SciELO - Scientific Electronic Library Online

 
vol.76 suppl.4Síndrome X vs síndrome metabolico: Entendiendo sus coincidencias y sus diferencias hacia una "nueva cardiología" índice de autoresíndice de materiabúsqueda de artículos
Home Pagelista alfabética de revistas  

Servicios Personalizados

Revista

Articulo

Indicadores

Links relacionados

  • No hay artículos similaresSimilares en SciELO

Compartir


Archivos de cardiología de México

versión On-line ISSN 1665-1731versión impresa ISSN 1405-9940

Arch. Cardiol. Méx. vol.76  supl.4 Ciudad de México oct./dic. 2006

 

Investigación Clínica

 

Sífilis cardiovascular: Diagnóstico y tratamiento

 

Cardiovascular syphilis: Diagnosis, treatment

 

Teodoro Carrada–Bravo*

 

* Infectólogo. Jefe Regional de Educación Médica e Investigación, Hospital General de Zona y Medicina Familiar 2, Instituto Mexicano del Seguro Social (IMSS). Irapuato, Guanajuato. México.

 

Correspondencia:
Dr. T. Carrada–Bravo.
Hospital General de Zona y Medicina Familiar 2, Instituto Mexicano del Seguro Social (IMSS),
Av. Reforma 702, Fraccionamiento Gámez, 36670, Irapuato, Guanajuato, México.
Tel.: 01 (462) 625–17–46
E–mail: teocarrada@yahoo.com.mx

 

Resumen

La sífilis cardiovascular terciaria puede producir aortitis, aneurisma aórtico, estenosis de las coronarias, insuficiencia aórtica y rara vez miocarditis. El médico debe estar familiarizado con las presentaciones clínicas de este proceso incluso las lesiones asintomáticas, y debe ser capaz de llevar a cabo un plan de diagnóstico y de evaluación bien organizado, para establecer o excluir la existencia de la patología cardiovascular y su diagnóstico diferencial con otras entidades. Cuando se han establecido los diagnósticos etiológico y topográfico, el paciente debe ser tratado con penicilina, doxiciclina u otros antibióticos, y considerar las posibles consecuencias de la enfermedad existentes o potenciales, antes de recomendar el abordaje quirúrgico. Aunque la sífilis tardía destructiva puede prevenirse con un tratamiento bien indicado de la sífilis temprana, la enfermedad cardíaca muy probablemente continuará diagnosticándose inoportunamente, por ello, es importante entender la patología y la fisiopatología de la enfermedad, lo cual facilitará el rápido reconocimiento y el manejo subsecuente. En este trabajo se revisa la historia natural, el diagnóstico y la terapia de la sífilis cardiovascular.

Palabras clave: Sífilis cardiovascular. Patología. Epidemiología. Diagnóstico. Tratamiento.

 

Summary

Cardiovascular tertiary syphilis may lead to aortitis, aortic aneurism, coronary stenosis, aortic insufficiency and, rarely, to myocarditis. The physician must be familiar with the clinical presentations of this process, including the asymptomatic variety and must be able to have an organized plan for the diagnosis and evaluation to establish or exclude the presence of cardiovascular pathology and the differential diagnosis with other entities. Once the etiologic and topographic diagnosis is established, the patient should be treated with penicillin, doxicycline and other antibiotics, and the consequences of the disorder, both actual and potential, should be considered before deciding weather to recommend surgical intervention. Although late syphilis can be prevented by appropriate therapy of early syphilis, this is a cardiovascular disease that most likely will continue to be diagnosed lately. Understanding of the pathology and patho physiology of the disease, is most important for its prompt recognition and subsequent management. This paper reviews the natural history, diagnosis and therapy of cardiovascular syphilis.

Key words: Cardiovascular syphilis. Pathology. Epidemiology. Diagnosis. Treatment.

 

Introducción

La sífilis terciaria o tardía, hace referencia a la fase destructiva de esta treponematosis, que no es ya transmisible en esta etapa, y se manifiesta sólo en el 10 a 15% de los enfermos sifilíticos no tratados.1 Después de un período latente de 10 a 20 años de haber contraído la infección primaria, el paciente puede tener lesiones cardiovasculares: Aortitis, aneurisma de la aorta ascendente, obstrucción del ostium de las arterias coronarias, insuficiencia aórtica o miocarditis asociados o no con alteraciones neurológicas y lesiones cutáneas nodulares o ulcerosas en sacabocado, de bordes policíclicos, llamadas gomas.2,3 En este trabajo se revisa la historia natural y la patogenia de la sífilis cardiovascular, los métodos de diagnóstico y las opciones de tratamiento médico–quirúrgico.

 

Agente etiológico

El Treponema pallidum pertenece taxonómicamente a la familia Spirochaetaceae, es un organismo delgado de morfología helicoidal "en sacacorchos", la bacteria mide 5 x 15 µm de largo y 0.09 a 0.18 de ancho, tiene movimiento rotario–ondulatorio característico, y de flexión cerca del punto central con los extremos puntiagudos, esta morfología se demuestra en el exudado de las lesiones tempranas observado "en fresco" con microscopio de campo oscuro.4 El citoplasma está rodeado por una cubierta trilaminar: a) constituida de peptidoglican, b) mucopéptido interno o periplasto, y c) una capa más superficial rica en fosfolípidos. En el espacio entre la pared celular interna y la membrana lipoídica externa hay 6 endoflagelos enredados sobre el cuerpo celular, son los responsables de la motilidad bacteriana. Este agente no se ha cultivado in vitro, pero las cepas virulentas han podido mantenerse por inoculación y pases sucesivos en los conejos del laboratorio.5,6 Se ha logrado determinar la secuencia genómica completa del T. pallidum y en los laboratorios especializados se dispone de técnicas para inmunofluorescencia y de inmunoperoxidasa útiles para demostrar el Treponema en los tejidos humanos. Recientemente se ha implementado la reacción de polimerasa en cadena (PCR) para confirmar la presencia del agente en los gomas sifilíticos terciarios y en los tejidos secos de las momias, incluso7,8 con apoyo de la nueva genética e inmunología molecular es factible investigar la historia y la evolución de la sífilis en un contexto sociocultural muy vasto.9,10

 

Epidemiología

Para entender la historia natural de la sífilis cardiovascular, es necesario revisar la evolución de la infección no–tratada. Los datos disponibles mejores son los del estudio de Oslo proporcionados por Clark y Danbolt, como sigue: en 303 varones y 584 mujeres hubo insuficiencia aórtica en 7.3 y 3.3 por 100 respectivamente; aneurisma sacciforme de aorta ascendente y del arco aórtico 3.6 y 1.5 por 100; estenosis del ostium coronario 0.7 y 0.3 x 100; y aortitis asintomática descubierta en la necropsia, 0.7 y 0.0 por 100. En total la frecuencia de sífilis cardiovascular fue del 12.3 por 100 en los varones y 5.1 por 100 en mujeres, con un 10 por ciento de prevalencia global en 887 personas investigadas,11,12 esta frecuencia es sólo una estimación mínima. Rosahn efectuó otro estudio amplio y minucioso de las autopsias efectuadas en la Escuela de Medicina de la Universidad de Yale. El material provenía de 380 sifilíticos, pero 198 (52%) de ellos, no recibieron ningún tratamiento antiinfeccioso, y en este subgrupo, se registraron 106 lesiones anatómicas, de las cuales 88 (83%) se encontraron en el sistema cardiovascular, con la distribución que se muestra en la Tabla I.13

 

Patogenia y anatomía patológica

En los enfermos no tratados, el Treponema pallidum se propaga al corazón en la fase temprana de la sífilis, la bacteria alcanza la pared aórtica y se aloja y se multiplica en los vasa vasorum de la adventicia, generando una arteritis con inflamación granulomatosa (Fig. 1), permanece en estado latente por varios años, y en ocasiones se afecta también el ostium coronario. Este proceso inflamatorio de endarteritis y periarteritis obliterativa se continúa sin interrupción aun después de haber desaparecido las lesiones cutáneas primarias y secundarias, por ello, se piensa que la respuesta inflamatoria de plasmocitos, linfocitos y macrófagos abundantes es indicativo de un proceso inmunopatológico complejo subyacente,14–16 (Fig. 2). Como resultado de la oclusión de la microcirculación aórtica suele presentarse necrosis focal y destrucción de las fibras elásticas de la capa aórtica media (Fig. 3) y del anillo valvular aórtico, acompañados de fibrosis y calcificación. La patología se hace manifiesta principalmente en aorta ascendente, el arco aórtico y con menor frecuencia en aorta torácica descendente. Después de 20 a 30 años de evolución puede desarrollarse la dilatación aórtica, y más tarde aparece el aneurisma sacular o fusiforme que al romperse termina con la vida del paciente (Fig. 4).17,18

 

 

 

 

En los estudios post mortem, se ha observado ateroesclerosis secundaria de la aorta ascendente menos prominente en la porción distal, patrón morfopatológico inverso al registrado ordinariamente. La dilatación del anillo aórtico se acompaña de separación y desajuste de las comisuras valvulares aórticas, engrasamiento de las hojuelas valvulares con insuficiencia aórtica moderada.19,20 A veces, ha podido comprobarse la existencia de una placa fibrosa con estrechamiento del ostium coronario y perturbación del riego arterial que causa la angina de pecho o la insuficiencia cardíaca.21 Se forman placas rugosas sobre la íntima, descritas como en "corteza de árbol" (Fig. 5) y la calcificación aórtica extensa explican la imagen en "cascara de huevo" demostrable en la placa radiográfica.22

 

La miocarditis gomosa está bien reconocida en la literatura, hay más de un centenar de casos documentados con necrosis muscular coagulativa circunscrita del ventrículo izquierdo, microscópicamente se ha descrito una corona periférica de células mononucleares y células gigantes, cercadas por bandas de tejido fibroso (Fig. 6), generalmente se produce bloqueo de rama, y se han descrito casos raros de gomas que involucran el tabique interventricular ocasionando bloqueo completo auriculoventricular.2,17,23

 

Cuadro clínico

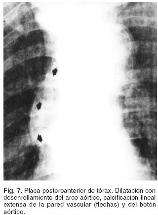
La aortitis luética debe sospecharse en todo sujeto con antecedentes de chancro primario o lesiones mucocutáneas secundarias y sin tratamiento previo, en quien se demuestre calcificación lineal de la pared aórtica en la placa posteroanterior (PA) del tórax (Fig. 7), imagen registrada sólo en el 25% de los sifilíticos en etapa tardía.3 Cuando la prueba serológica de absorción de anticuerpos fluorescentes (FTA–ABS) o de inmovilización del Treponema (TI) son positivas se confirma el diagnóstico etiológico, hecho de gran beneficio para el enfermo porque la indicación de un tratamiento oportuno suele prevenir las complicaciones más graves de la enfermedad.4,24–26

La mesoarteritis de la raíz aórtica puede producir dilatación del anillo valvular, falta de coaptación de las sigmoideas durante la diastole, y regurgitación de la sangre hacía el ventrículo izquierdo.27 Clínicamente el comportamiento del segundo ruido es variable: puede ser normal, aumentado o disminuido, de acuerdo a la dilatación de la raíz aórtica, de la magnitud y de la insuficiencia Valvular y la hipertrofia del ventrículo izquierdo (Fig. 8). La insuficiencia aórtica en un paciente promiscuo o drogadicto, por arriba de 40 años de edad, sin valvulopatía mitral agregada, más aún si hay antecedentes de sífilis temprana con VDRL positivo, es razón para sospechar la etiología sifilítica y solicitar los exámenes de laboratorio pertinentes. Las pruebas serológicas no–treponémicas como el Venereal Disease Research Laboratory (VDRL) aunque baratas son poco sensibles, y su resultado negativo no descarta el diagnóstico de sífilis cardiovascular. El clínico debe solicitar las pruebas treponémicas que tienen sensibilidad y especificidad de 96 a 100%.26

 

La destrucción de las fibras elásticas culmina con dilatación aórtica y formación de aneurismas de la raíz aórtica en un 50%; del cayado aórtico en 30 a 40%; de la aorta ascendente en un 15%; y de aorta abdominal en un 5%.27–29 Aquellos de la aorta ascendente suelen alcanzar gran tamaño antes de producirse los síntomas; los del cayado se acompañan de dolor terebrante intenso y constante, con signos de compresión de los órganos vecinos: Disfagia, disfonía porque se involucra el nervio recurrente, disnea por compresión traqueal, atelectasia por aplastamiento bronquial, anisocoria por compresión del ganglio estrellado izquierdo.29–31

Los aneurismas de aorta descendente suelen alcanzar gran tamaño, erosionan las costillas, y producen masas pulsátiles torácicas. La complicación más grave es la ruptura, que cuando se presenta, es mortal. El diagnóstico se sospecha en la radiografía simple de tórax en PA y lateral, la dilatación aórtica se confirma en la fluoroscopia y la ecocardiografía, y puede ser documentada con certeza mediante la aortografía contrastada, que permite conocer la localization exacta del aneurisma, medir la extensión, la magnitud y la presencia o no de trombos intramurales.32 La angiografía con radioisótopos, la sonografía, la resonancia magnética (Fig. 9) y la tomografía axial computarizadas se usarán cada vez más en el futuro, por ser métodos no invasivos, en el diagnóstico preciso de los aneurismas aórticos y del tronco braquiocefálico.33 La oclusión del ostium coronario suele producir angina de pecho y/o muerte súbita del paciente. En raras ocasiones se manifiesta por insuficiencia ventricular izquierda sin angina, y el infarto de miocardio sifilítico es extremadamente raro.34,35

 

Tratamiento

Una vez establecido el diagnóstico, el paciente debe recibir 2.4 millones de penicilina benzatínica intramuscular, en 3 dosis, con intervalo semanal. Es prudente examinar siempre el líquido cefalorraquídeo para excluir la neurosífilis, complicación temible que requiere de tratamiento más intenso y prolongado, ajuicio del especialista. En los pacientes alérgicos a penicilinas se puede usar la doxiciclina 100 mg por vía oral (VO) dosis diaria, durante 4 semanas o bien el clorhidrato de tetraciclina 500 mg VO diarios, por 4 semanas. También se ha empleado eritromicina, azitromicina, ceftriaxona y otros antimicrobianos.36

La cirugía de reemplazo valvular aórtico tiene parámetros definidos: La hipertrofia ventricular izquierda sin deterioro de la función sistólica y diastólica, le da posibilidades mayores del éxito quirúrgico y mejora el pronóstico a largo plazo. Esta evolución cambia si se encuentra disfunción sistólica o diastólica. Todo aneurisma que cause síntomas debería ser resecado quirúrgicamente. Si la dilatación aórtica es mayor de 7 a 8 cm, es ventajoso considerar la resección vascular y aplicación de un injerto adecuado. La obstrucción de las coronarias puede aliviarse por la endarterectomía o por un puente venoso aortocoronario, previa consulta con el equipo quirúrgico para lograr los resultados mejores.37–40

 

Discusión y comentarios

La dificultad para cultivar los treponemas patógenos in vitro ha impedido realizar un análisis profundo de los antígenos treponémicos "protectores" y se desconoce, en gran parte, la inmunopatogenia de la sífilis cardiovascular, sin embargo, el uso racional y oportuno de los métodos de laboratorio y de gabinete disponibles permite garantizar la confiabilidad del diagnóstico clínico, siempre y cuando el médico conozca la historia natural y las complicaciones más frecuentes de la sífilis destructiva tardía.41,42 Hoy en día, la valoración integral del enfermo sifilítico implica una historia clínica completa y detallada,36 solicitar las pruebas serológicas pertinentes incluyendo la detección del virus de la inmunodeficiencia humana (VIH), además de los estudios radiológicos, los trazos electrocardiográficos, el ecocardiograma y los estudios de imagenología refinados para confirmar o refutar la sospecha clínica inicial. El papel del cardiólogo es difundir los conocimientos mejores, asesorar y educar a los médicos familiares y a otros especialistas, y contribuir al desarrollo sostenido de la investigación cardiológica.

En el año 2000 la Secretaría de Salud de México registró una incidencia de 1,824 casos anuales de sífilis temprana (tasa 1.82 por 100,000 hab.), sin embargo, en los hombres quienes solicitaron diagnóstico del VIH en CONASIDA la prevalencia para la sífilis fue del 15.1 %; en las sexoservidoras mexicanas varió del 6.4% a 16.2% y en las usuarias de los servicios de planificación familiar de 1.1 a 2.5%, estos datos indican que en México la sífilis se diagnóstica mal y se notifica poco.43–45 Es importante educar a los médicos jóvenes, y desterrar el error grave de creer que la lúes está en retirada. El gran clínico francés Jean Alfred Fournier escribió: "Es muy sencillo el diagnóstico de la sífilis, lo difícil es tenerlo en mente", principalmente cuando su gran aliado el síndrome de inmunodeficiencia adquirida (SIDA), está en fase de expansión pandémica. Por esta razón escribí esta nota; espero despierte el interés de los investigadores y suscite una discusión crítica y constructiva, en beneficio de los pacientes.

 

Referencias

1. Rudolph AH: Sífilis. En: Hoeprich PD: Tratado de Enfermedades Infecciosas. Barcelona: Salvat Ed 1982: 520–538.        [ Links ]

2. Kampmeier RH: Manifestaciones tardías de la sífilis: esqueléticas, viscerales y cardiovasculares. Clin Med Norteamérica 1964; 48: 667–697.        [ Links ]

3. Guadalajara–Boo JF: Sífilis Cardiovascular. En: Guadalajara–Boo JF: Cardiología. México DF: Feo. Méndez–Cervantes 1981: 609–615.        [ Links ]

4. Tramont EC: Treponema pallidum (Syphilis). En: Mandell GL, Bennett JE, Dolin R: Principies and Practice of Infectious Diseases. 5a Ed, Filadelfia: Churchill–Livingstone 2000: 2474–2490.        [ Links ]

5. Handsfield HH, Lukehart SA, Sell S, Norris SJ, Holmes KK: Demonstration of Treponema pallidum in a Cutaneous Gumma by Indirect Immunofluorescence. Arch Dermatol 1983; 119: 677–685.        [ Links ]

6. Carrada–Bravo T: Observaciones sobre el Treponema pallidum y la historia natural de la sífilis en México. Investigación preliminar. Dermatología Rev Mex 1989; 33: 359–366.        [ Links ]

7. Sanchez PJ, Wendel DG Jr, Grimprel E: Evaluation of molecular methodologies and rabbit infectivity testing for diagnosis of congenital syphilis and neonatal central nervous system invasion by Treponema pallidum. J Infect Dis 1993; 167: 148–157.        [ Links ]

8. Horowitz HW, Valsamis MP, Wicher V: Cerebral syphilitic gumma confirmed by thepolymerase chain reaction in a man with human immunodeficiency virus infection. N Engl J Med 1994; 331:1488–1491.        [ Links ]

9. Pillay A, Liu H, Chen CY: Molecular subtyping of Treponema pallidum subspecies pallidum. Sex Transm Dis 1998; 25: 408–414.        [ Links ]

10. Fraser CM, Norris SJ, Weinstock GM: Complete genome sequences of Treponema pallidum, the syphilis spirochete. Science 1998; 281: 375–388.        [ Links ]

11. Clark EG, Danbolt N: The Oslo study of the natural history of untreated syphilis: an epidemiological investigation based on a restudy of Boeck Bruunsgaard material. J Chronic Dis 1995; 2: 311–344.        [ Links ]

12. Gjestland T: The Oslo study of untreated syphilis: An epidemiologic investigation of the natural course of syphilitic infection based on a restudy of Boeck Bruunsguard material. Acta Derm Venereal (Stockh) 1955; 35: Suppl 34: 1–500.        [ Links ]

13. Rosahn PD: Autopsy Studies in Syphilis: A Monograph. U.S.P.H.S. Publication No. 433.6a Ed, Washington DC: US Government Printing Office 1955.        [ Links ]

14. Montgomery GL: Textbook of Pathology. Vol II. Edinburgh and London: Livingstone Ltd, 1965: 517–737.        [ Links ]

15. Hook EW III, Marra CM: Acquired syphilis in adults. N Engl J Med 1992; 326: 1060–1069.        [ Links ]

16. Sparling PF: Natural history of syphilis. En: Holmes KK, Märdh PA, Sparling PF, Wiesner PJ: Sexually Transmitted Diseases. 2a Ed, Nueva York: McGraw–Hill 1990: 213–219.        [ Links ]

17. Healy BP: Cardiovascular syphilis. En: Holmes KK, Märdh PA, Sparling PF, Wiesner PJ: Sexually Transmitted Diseases. 2a Ed, Nueva York: McGraw–Hill 1990: 247–250.        [ Links ]

18. Warthin AS: The new pathology of syphilis. Am J Syph 1918; 2: 425–432.        [ Links ]

19. Heggvelt HA: Syphilitic aortitis. A clinic–pathological autopsy study of 100 cases, 1950 to 1960. Circulation 1964; 29: 346–354.        [ Links ]

20. Webster B: Studies on cardiovascular syphilis III The natural history of syphilitic aortic insufficiency. Am Heart J 1953; 46: 117–126.        [ Links ]

21. Bruenn HG: Syphilitic Disease of the Coronary Arteries. Am Heart J 1934; 9: 421–430.        [ Links ]

22. Steel D: The roentgenological diagnosis of syphilitic aortitis. A review of forty proved cases. Am Heart J 1930; 6: 59–68.        [ Links ]

23. Saphir O: Syphilitic Myocarditis. Arch Pathol 1932; 13: 266–275.        [ Links ]

24. Larsen S A: Laboratory diagnosis and interpretation of tests for syphilis. Clin Microbiol Rev 1995; 8: 1–39.        [ Links ]

25. Larsen SA, Hunter EF, Creighton ET: Syphilis. En: Holmes KK, Märdh PA, Sparling PF, Wiesner PJ: Sexually Transmitted Diseases. 2a Ed, Nueva York: McGraw–Hill 1990: 927–934.        [ Links ]

26. Romanowski B: Serologic response to treatment of infectious syphilis. Ann lntern Med 1991; 114: 1005–1009.        [ Links ]

27. Carr JG: The gross pathology of the heart in cardiovascular syphilis. Am Heart J 1930; 6: 30–49.        [ Links ]

28. Harvey WP, Corrado M, Perloff JK: Right Sided Murmur of Aortic Insufficiency. Am J Med Sci 1963; 245: 533–540.        [ Links ]

29. Gould SE: Pathology of the Heart. Sprinfield, II: Charles C Thomas 1960: 906–908.        [ Links ]

30. Leung JSM, Mok CK, Leong JCY, Chan WC: Syphilitic Aortic Aneurysm with Spinal Erosion. J Bone Joint Surg 1977; 59: 89–97.        [ Links ]

31. Kampmeier RH: Saccular aneurysm of the thoracic aorta: A clinical study of 633 cases. Ann Int Med 1938; 12: 624–639.        [ Links ]

32. Pugh PJ, Grech ED: Syphilitic Aortitis. N Engl J Med 2002; 346: 676–677.        [ Links ]

33. Eisenberg RL: Diagnóstico por imagen, patrones de diagnóstico diferencial. 2a Ed, Madrid: Marban, 1995: 3–1036.        [ Links ]

34. Bulkley BH, Roberts WC: Atherosclerotic narrowing of the left main coronary artery: A necropsy analysis of 152 patients with fatal coronary heart disease and varying degrees of left main narrowing. Circulation 1976; 53: 823–834.        [ Links ]

35. Weinstein A: Complete Heart Block due to Syphilis. Arch Intern Med 1957; 100: 90–96.        [ Links ]

36. Handsfield H: Enfermedades de transmisión sexual. 2a Ed, Madrid: Marban 2002: 37–61.        [ Links ]

37. Weinstein G, Killen DA: Innominate artery–coronary bypass graft in a patient with calcified aortitis. J Thorac Cardiovascular Surg 1980; 79: 312–321.        [ Links ]

38. Grabau W, Emanuel R, Ross D, Parker J, Hegde M: Syphilitic Aortic Regurgitation: An Appraisal of Surgical Treatment. Br J Vener Dis 1976; 52: 366–378.        [ Links ]

39. Nancarrow PA, Higgins CB: Progressive thoracic aortic dilatation after valve replacement. AJR, 1984; 142: 669–680.        [ Links ]

40. Carrada–Bravo T: Lo que usted debe saber sobre la sífilis. Las enfermedades al día (Méx) 1985; 101: 12–14.        [ Links ]

41. Carrada–Bravo T, Duran–Bermúdez H: Observaciones sobre la ultraestructura del chancro sifilitico y su historia natural en México. Dermatología Rev Mex 1990; 34: 32–42.        [ Links ]

42. Carrada–Bravo T: Estudio ultraestructural del Treponema pallidumy de un chancro sifilítico humano. Patología Rev Latinoamer 1991; 29: 167–169.        [ Links ]

43. Uribe–Salas F, Hernández–Avila M, Conde–González C, Juarez–Figueroa L, Uribe–Zuñiga P, Calderon–Jaimes E, et al: Prevalence, incidence and determinants of syphilis in female comercial sex workers in Mexico City. Sex Trans Dis 1996; 23: 120–126.        [ Links ]

44. Juárez–Figueroa LA, Meléndez–Betancourt LA, Conde–González CJ: Hallazgo de sífilis a término del embarazo en mujeres de Cuernavaca, Mor. Rev Invest Clin (Méx) 2001; 53: 375–377.        [ Links ]

45. Calderón JE, Conde GC, Juárez FL, Uribe ZP, Olamendi PM: Prevalencia de anticuerpos antitreponémicos en 3,098 mujeres dedicadas a la prostitución en la Ciudad de México. Rev Invest Clin (Méx) 1994; 46: 431–36.        [ Links ]

Creative Commons License Todo el contenido de esta revista, excepto dónde está identificado, está bajo una Licencia Creative Commons