Servicios Personalizados
Revista
Articulo
Indicadores
-
Citado por SciELO -
Accesos
Links relacionados
-
Similares en
SciELO
Compartir
Agrociencia
versión On-line ISSN 2521-9766versión impresa ISSN 1405-3195
Agrociencia vol.52 no.6 Texcoco ago./sep. 2018
Animal Science
Mimosine intake on development of the endometrial glands in early postpartum cows
1Facultad de Medicina Veterinaria y Zootecnia N° 2. 41940. Carretera Acapulco-Pinotepa Nacional km 197. Cuajinicuilapa, Guerrero, México.
2Facultad de Medicina Veterinaria y Zootecnia, Universidad Autónoma de Yucatán. 97100. Carretera Mérida- Xmatkuil km 15.5. Mérida, Yucatán, México.
3Facultad de Ingeniería Química, Universidad Autónoma de Yucatán. 97203. Periférico Norte km. 33.5. Chuburná de Hidalgo Inn, Mérida, Yucatán, México.
4Decanato de Ciencias Veterinarias, Universidad Centro-Occidental Lisandro Alvarado. Final Avenida Ribereña, Cabudare, Venezuela.
Leucaena leucocephala is a shrub rich in proteins and mimosine. This high-density crop is cultivated to increase protein intake in cattle production systems. Mimosine is an antimitotic and its effect on the endometrium is still unknown. It is presumed that it could accumulate in the endometrial tissue, inhibiting the development of the endometrial glands, which are in charge of nurturing the embryo. The objective of this study was to determine mimosine accumulation in the endometrial tissue as a result of the consumption of L. leucocephala and to observe its effect in the development of the endometrial glands of early postpartum cows in a silvopastoral system. Twenty-four Bos indicusXBos taurus cows were divided in two treatments: grazing in a silvopastoral system (SSP, n=12), formed by the association of Cynodon nlemfuensis and L. leucocephala, var. Cunningham; and grazing in a monoculture system (SM, n=12) of C. nlemfuensis. Mimosine consumption per kilogram of live weight was estimated based on the daily consumption of mimosine per cow. Mimosine concentration in the uterine tissue was determined using HPLC. A Student’s t test (p≤0.05) was applied to contrast the differences between the mimosine concentration in the endometrial tissue of functional and non-functional glands. Mimosine accumulated in the endometrial tissue of SSP cows. Its concentration ranged from 51.02 to 63.45 μg g-1 of endometrial tissue (TE). The endometrial glands had a normal development, with ≤53.73 μg g-1 mimosine concentration in TE. By contrast, with 60.81 μg g-1, or higher, TE concentrations, endometrial glands showed signs of atrophy. Daily mimosine consumption in the SSP was 0.019 g kg-1 live weight. Mimosine from L. leucocephala consumption accumulates in the endometrial tissue and can cause endometrial glands atrophy in early postpartum cows.
Key words: Bos indicus; Bos taurus; postpartum; Leucaena leucocephala; Cynodon nlemfuensis; reproduction
Leucaena leucocephala es un arbusto rico en proteína y mimosina que se cultiva en altas densidades para incrementar la ingesta de proteína en sistemas de producción bovina. La mimosina es un antimitótico cuyo efecto sobre el endometrio no es bien conocido. Se presume que podría acumularse en el tejido endometrial, inhibiendo el desarrollo de las glándulas endometriales responsables de nutrir al embrión. El objetivo de este estudio fue determinar la acumulación de mimosina en el tejido endometrial, por consumo de L. leucocephala, y observar su efecto en el desarrollo de las glándulas endometriales de vacas en postparto temprano en un sistema silvopastoril. Veinticuatro vacas Bos indicusxBos taurus se dividieron en dos tratamientos: pastoreo en sistema silvopastoril (SSP, n=12), conformado por asociación de Cynodon nlemfuensis y L. leucocephala var. Cunningham; y pastoreo en sistema de monocultivo (SM, n=12), de C. nlemfuensis. El consumo de mimosina por kilogramo de peso vivo se estimó a partir del consumo diario de mimosina por vaca. La concentración de mimosina en tejido uterino se determinó con HPLC. La prueba de t de Student (p≤0.05) se utilizó para contrastar diferencias entre la concentración de mimosina en el tejido endometrial con glándulas funcionales y no funcionales. La mimosina se acumuló en el tejido endometrial de vacas en el SSP y su concentración varió de 51.02 a 63.45 μg g-1 de tejido endometrial (TE). El desarrollo de las glándulas endometriales fue normal con concentraciones de mimosina iguales o menores a 53.73 μg g-1 de TE. Por el contrario, con concentraciones de 60.81 μg g-1 de TE o más se observó atrofia de las glándulas endometriales. El consumo diario de mimosina en el SSP fue 0.019 g kg-1 de peso vivo. La mimosina proveniente del consumo de L. leucocephala se acumula en el tejido endometrial y puede causar atrofia de las glándulas endometriales en vacas en postparto temprano.
Palabras clave: Bos indicus; Bos taurus; posparto; Leucaena leucocephala; Cynodon nlemfuensis; reproducción
Introduction
One of the main causes that prevents new cow pregnancies during the postpartum is an inadequate uterine environment (Walsh et al., 2011). In order to start a pregnancy, the endometrial glands provide the nutritional secretions (Gunin et al., 2001) that enable the endometrium to nurture the embryo before and after the implantation (Donofrio et al., 2008). These glands are subject to changes in the endometrium, which modifies its structure in each oestrus cycle, as a result of cell proliferation (mitosis) and the subsequent development of the gland.
Antinutritional factors in the animals’ diet -such as phytohormones, alkaloids, and tannins- can indirectly act over the endometrium, interrupting the synthesis and secretion of estradiol and progesterone, which are mainly responsible for stimulating the growth of the endometrial glands (Gonella et al., 2010; Benbia et al., 2013). Additionally, estradiol and progesterone directly diminish or block cell proliferation and endometrial gland secretion (Oluyemi et al., 2007; Iranloye and Bolarinwa, 2008). Any of these actions alters gland development, preventing implantation or causing embryo death.
Forage is the main origin of these antinutritional factors and the feeding source of herbivores (James et al., 1992). In the tropics, meat and milk production systems are in silvopastoral systems (SSP) relating grasses with trees or leguminous plants, in order to diminish the concentrate offer (Murgueitio et al., 2011; Naranjo et al., 2014).
One of the most frequently used associations in the tropical region of Latin America is grass with leucaena (Leucaena leucocephala). This association helps to improve protein consumption and to keep cattle productivity (Murgueitio et al., 2011; Cuartas et al., 2013). However, leucaena includes mimosine, an alkaloid whose 3,4 and 2,3 dihidropyridine (DHP) metabolites could cause embryo death or early fetal death (Jones et al., 1989; Akande et al., 2010).
In vitro studies have shown that mimosine has an antimitotic effect over several types of cells, including ovary cells (Feldman and Schönthal, 1994; Hughes and Cook, 1996). According to Sahl et al. (1995) and Reis et al. (1999), mimosine can accumulate in several organs and the hair follicle of goats, preventing cell multiplication. However, there was no information in the reviewed literature about mimosa accumulation in the uterine tissue and whether or not it has any effect over the development of the endometrial glands of early postpartum cows. The objective of this study was to determine mimosine accumulation in endometrial tissue, as a result of the consumption of L. leucocephala, and to observe its effect in the development of endometrial glands of early postpartum cows in a silvopastoral system, where high amounts of this grass were available.
Materials and Methods
The study was carried out from March 2013 to March 2014, in the Facultad de Medicina Veterinaria y Zootecnia, Universidad Autónoma de Yucatán, located in the East of the Yucatan Peninsula, Mexico, between 16° 06’ and 21° 37’ N, and 87° 32’ and 90° 23’ E.
Animals and treatments
The study included 24 adult Bos indicusxBos taurus cross-bred cows, during early postpartum (45-90 d), which had given birth three to five times, with a 509±74 kg average live weight, and 6±0.3 points of corporal condition, according to the 1-9 scale established by Ayala et al. (1995). Immediately after the parturition, the cows were assigned to one of the two treatments: grazing in silvopastoral system (SSP, n=12), using African Star-grass (Cynodon nlemfuensis) and leucaena var. Cunningham, with a 36 000 leucanea plants ha-1 density; and grazing in a monoculture system (SM, n=12) of African Star-grass. In both systems, the cows grazed from 8:00 am to 01:00 pm and from 05:00 pm to 5:00 am; the estimated consumption of forage accounted for 50-70 % of the diet. At milking, the animals were fed supplements to meet their energy and protein requirements, according to their milk production, without losing or gaining weight (Table 1 and 2), using the AFRC-CAB-INTERNATIONAL (1995) tables. The supplement accounted for 30-50 % of the total consumption.
Table 1 Nutritional composition of fodder and supplement consumed by cows in an intensive silvopastoral system (SSP) and in a grass monoculture system (SM).
| Variable | SSP | SM | |||
|---|---|---|---|---|---|
| Pasto estrella de África | Leucaena | Sorgo | Pasto estrella de África | Concentrado | |
| MS (%MF) | 27.4 | 32.1 | 95.0 | 27.4 | 89.0 |
| PC (%MS) | 8.0 | 15.3 | 8.6 | 6.2 | 12.3 |
| FAD (% MS) | 36.1 | 24.7 | - | 36.1 | - |
| Ceniza (% MS) | 9.9 | 7.8 | 1.3 | 9.9 | 3.8 |
| EM (%MS) | 9.2 | 9.3 | 12.4 | 8.9 | 11.2 |
MF: fresh matter; MS: dry matter; PC: raw protein; FAD: acid detergent fiber; EM: metabolizable energy.
Table 2 Estimated fodder consumption and amount of supplement provided (kg MS cow-1 d-1), according to the level of dairy milk production in an intensive silvopastoral system (SSP) and a grass monoculture system (SM).
| kg leche vaca-1 d-1 | SSP | SM | |||
|---|---|---|---|---|---|
| Pasto estrella de África |
Leucaena | Sorgo | Pasto estrella de África |
Concentrado | |
| 10 | 4.6 | 3.8 | 3.5 | 7.3 | 3.4 |
| 15 | 6.2 | 4.2 | 4.8 | 6.7 | 5.4 |
| 20 | 2.7 | 6.4 | 7.0 | 7.5 | 6.7 |
| 25 | 2.7 | 6.4 | 9.5 | 7.5 | 10.7 |
Mimosine consumption per live weight (CMPV)
Mimosine consumption was estimated based on the consumption of dry leucaena and the mimosine content in tender leaves and stalks. The former was determined using the n-alkane method (Doves and Mayes, 1991) and stated in kg of MS cow-1 d-1, while the latter was determined through a liquid chromatography and stated in g kg-1 of MS leucaena. Subsequently, mimosine consumption was reported as g cow-1 d-1 (Bottini-Luzardo et al., 2015). CMPV was calculated using equation:
where CMPV is mimosine consumption, in grams per kilogram of live weight per day (g kg-1 d-1); CM is mimosine consumption, in g cow-1 d-1; and PV is the live weight of the cow in kg.
Endometrial biopsies
At the time the biopsies were carried out, all the cows had grazed for at least 45 d in the treatment to which they were allocated and they showed a full uterine involution.
Forty-five days after parturition, the ovaries were observed using a 7.5 MHz linear transducer ultrasound scanner (MINDRAY-50) (Shenzhen, Mindray Bio-Medical Electronics, Co. Ltd. Nanshan, Shenzhen, China). Biopsies were carried out in the functional layer of the endometrium, five days after the corpus luteum was subject to an ultrasound scanning. By that time, the endometrial glands were expected to have reached full development, as a result of the presence of the progesterone secreted by the CL (Kojima and Selander, 1970). The biopsies were only carried out in the functional layer of the endometrium.
Biopsy pincers were used to take two endometrial tissue samples. The pincers were introduced in the vagina and they were guided transrectally towards the vault of the uterine horns. The first sample was put in a sterile plastic container and frozen at -20 °C until it was processed, in order to determine the existence of mimosine. The second sample was put in a sterile plastic container with a 10 % formalin solution in order to carry out a histological study.
After each biopsy, the pincers were washed for five minutes using a 10 % iodine solution and rinsed with sterile water, before they were used in the next cow.
Mimosine concentration in endometrial tissue
Endometrium samples were thawed in the laboratory at a 24 °C temperature. Subsequently, they were cut into thin slices and put in a test tube. Two mL of acetronitile (Sigma-Aldrich®) were added, and the mix was centrifuged at 16 000 g min-1 for 15 min. The acetronitile was evaporated using a hot plate at 50 °C in a nitrogen atmosphere. After the evaporation, 2 mL of hydrochloric acid (HCL 0.1 N) were added, and the tube was shaken by hand for 30 s in order to homogenize the sample. The sample was filtered using a cellulose acetate membrane with a 0.45 μm porosity. The mimosine was detected through a liquid chromatography (KNAUER Smartline, Manager Smartline 5000 degasser, smartline 1000 pump, 3950 smartline autosampler, Germany), using a 4.6-x150-mm and 5-μm LUNA C18 column and a smartline UV detector with a 30 °C temperature. A 0.5 μL mimosine extract was injected. The mobile phase included an ortophosphoric acid solution (0.02 M) and a 275-nm wavelength (Wu et al., 2012). A 1.0 mL min-1 gradient was used. The result was stated as μg g-1 of endometrial tissue (TE).
Functional nature of the endometrial tissue
The functional nature of the endometrial tissue was evaluated using the paraffin inclusion and the hematoxylin-eosin staining method (Tinciones Alvarez®, Granada, Spain). The samples were observed with a Labomed LX40 microscope (Lab. America Inc., USA), with 10 and 40X magnifications. Photographs were taken from 10 fields with the same histological cut, using a Lamine 117 Histology 24-bit color camera, with a 1024x768 pp resolution (Ross Rowell) that had been adapted to the microscope. The presence of hypertrophied and productive glands was considered as an indication of a functional endometrium (EF). These glands feature an expanded lumen and the presence of eosinophilic material; their glandular epithelium had big vacuole in the apical section of the cytoplasm, which moved the nucleus towards the basement membrane (Kojima and Selander, 1970; Gonella et al., 2010). If these features were absent, it was classified as a non-functional endometrium (ENF).
Experimental design and statistical analysis
Proc GENMOD was used to determine the differences between systems with regard to the number of cows with functional and non-functional endometrium. The simple correlation between CMPV and mimosine concentration in the uterine tissue (μg g-1 TE) of SSP cows was calculated.
The Kolmogorov-Smirnov test was used to determine the normality of the mimosine concentration in SSP cows. The mimosine concentration data were transformed to Log10 to meet the normality assumption. Meanwhile, a Student’s t-test was carried out to check the differences in mimosine concentration between the functional and non-functional endometrial tissues of SSP cows. Results were significant if p≤0.05. The SAS software (SAS, 2009) was used to analyze the data.
Results and Discussion
Mimosine was found in the endometrium of SSP cows. This is the first report about mimosine accumulation in the reproductive organs of ruminants.
Four SSP cows and 10 SM cows (Figure 1) had a functional endometrium, featuring mature and functional glands. Only six SSP cows developed CL and two SM cows were removed from the experiment, as a consequence of the presence of follicular cysts. The remaining 10 cows developed CL.

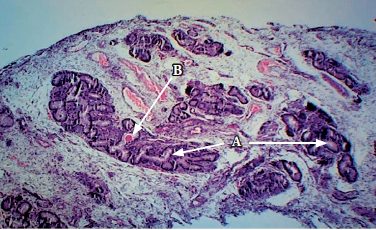
Figure 1 Functional endometrial glandular layer representative of four SSP cows and 10 SM cows, based on the proliferation of functional mature glands. A) Mature glands. B) Dilated glandular lumen with presence of eosinophilic material (40X).
Only two SSP cows showed severely atrophied endometrial glands (Figure 2). There were no differences between systems regarding the number of females with EF (p˃0.05). This could be a consequence of the low number of SSP females that developed CL.

Figure 2 Endometrial glandular layer representative of two cows in the silvopastoral system, featuring severe glandular atrophy and stroma formed by immature collagen fibers, fibroblasts, and fibrocytes. A) Atrophied glands. B) Collagen fibers. C) Proliferation of fibroblasts and fibrocytes (40X).
The concentration of mimosine stored in the endometrial tissue of SSP cows with ENF was higher (p≤0.05) than of cows with EF (Table 3). The correlation coefficient between the amount of mimosine ingested and the mimosine stored was not different from zero (r=-0.019).
Table 3 Mimosine concentration in the endometrial tissue of early postpartum cows that were fed Leucaena leucocephala in an intensive silvopastoral system.
| Variable | Concentración de mimosina en tejido endometrial μg g-1 de TE | ||
|---|---|---|---|
| Media | Mínimo | Máximo | |
| Endometrio funcional (EF) | 51.98 | 51.02 | 53.73 |
| Endometrio no funcional (ENF) | 60.87 | 60.81 | 63.45 |
The estimated consumption (daily average) of mimosine per cow was 10.1±1 g. The lowest and maximum amounts were 7.6 and 12.1 g, respectively (Bottini-Luzardo et al., 2015). The average CMPV was 0.019 g kg-1 d-1, with minimum and maximum amounts of 0.01 and 0.03 g kg-1 d-1, respectively. This consumption is lower than the values reported by Sethi and Kulkarni (1995) about the clinical toxicity (≥0.18 g kg-1 d-1) caused by mimosine in cows. However, the same authors point out that mimosine consumption below 0.18 g kg-1 d-1 can cause subclinical toxicity in cows. These results match the findings of Phaikaew et al. (2012) and Halliday et al. (2013) who establish that mimosine consumption can have adverse effects in animal health, even if those effects do not show up in clinical tests. Previous studies have pointed out negative effects on the reproductive efficiency of rats and bulls that have consumed alkaloids, although they did not show clinical signs of toxicity (Yakubu, 2012; Burnett et al., 2017).
Klotz (2015) reports alkaloid accumulation in the tissues of the reproductive organs of animals that are fed forage that includes these antinutritional factors. Klotz points that their constant consumption can upset several physiological functions (including reproductive functions).
In that sense, the accumulation of this alkaloid in the functional layer of the endometrial tissue (in ≥60 μg g-1 TE concentrations) could potentially cause glandular atrophy (Figure 2). This situation could be attributed to the antimitotic effect that mimosine has on cells (Hughes and Cook, 1996; Krude, 1999; Bianco et al., 2006; Hallak et al., 2008). It could also be the result of the inhibitory action that alkaloids have on the estradiol and progesterone receptors -the hormones in charge of stimulating the development of the endometrial glands (Lessey et al., 1996; Lecce et al., 2001). According to researches carried out in Africa, the consumption of plants that contain alkaloids (such as mimosine) alters the development of glands and the structure of the endometrial tissue in women and animals (Dabhadkar et al., 2012; Udoh, 2012; Elshawarby et al., 2014).
Leucaena is the forage shrub most frequently used to feed ruminants around the world (Shelton and Dalzell, 2007). The consumption of this forage shrub can diminish production costs and environmental impact (Murgueitio et al., 2001; Yacout, 2016). However, the effects that the antinutritional factors included in this grass have on reproductive health must be researched, since the reduction of reproductive performance has a negative repercussion on the economic output of the production system.
Conclusion
Mimosine included in the consumption of leucaena accumulates in the endometrial tissue and can cause atrophy in the endometrial glands of early postpartum cows. This is the first study that proves that mimosine accumulates in the cows’ endometrial tissue and that establishes a probable activity of this alkaloid on gland development.
Literatura Citada
AFRC-CAB-INTERNATIONAL. 1995. Energy and Protein Requirements of Ruminants. An Advisory Manual Prepared by the AFRC Technical Committee on Responses to Nutrients. (Ed University Press, Cambridge, U.K. 88p) pp. 58. [ Links ]
Akande, K.,E., U. Doma, and H. Adamu. 2010. Major antinutrients found in plant protein sources: Their effect on nutrition. Pak. J. Nutr. 9: 827-832. [ Links ]
Ayala, B., A., R. Honhold R., R. Delgado T., and J. Magaña M. 1995. A visual condition scoring scheme for Bos indicus and crossbred cattle. In: Anderson S., and S. Wadsworth. (eds). Proceeding of an International Workshop. Mérida Marzo 1992, Mérida, México IFS/FMVZ-UADY 1992. pp: 119-128. [ Links ]
Benbia, S., Y. Boutelis S., A. Chennaf., and Y. Massinissa. 2013. Evaluation of the cytology and histology of uterus and cervix as predictors of estrous stages in ewes and dairy cows. In: Schönbach C., S. Bairong, T. Wee, S. Ranganathan. (eds). International Conference on Biology and Biomedicine. Washington, DC, USA, September 2013. Bibliometrics pp: 33-35. [ Links ]
Bianco, F., G. Basini, and F. Grasselli. 2006. The plant alkaloid sanguinarine affects swine granulosa cell activity. Reprod. Toxic. 21: 335-340. [ Links ]
Bottini-Luzardo, M., C. Aguilar P., F. Centurión C., F. Solorio S., A. Ayala B., R. Montes P., D. Muñoz R., and J. Ku V. 2015. Ovarian activity and estrus behavior in early postpartum cows grazing Leucaena leucocephala in the tropics. Trop. Anim. Health Prod. 47: 1481-1486. [ Links ]
Burnett, C., W. Bridges, and S. Pratt. 2017. Effects of grazing tall fescue containing ergot alkaloids on bull sperm cryopreservation. Animal Reproduction Science 181: 24-29. [ Links ]
Cuartas, C. C., J. Naranjo R., A. Tarazona M., and R. Barahona R. 2013. Energy use in cattle in intensive silvopastoral systems with Leucaena leucocephala and its relationship to animal performance. Rev. CES Med. Vet. Zoot. 8: 70-81. [ Links ]
Dabhadkar, D.K., V. Zade, P. Rohankar, S. Pare, and M. Wikhe. 2012. Estrogenic and anti-estrogenic potentials of ethanolic pod extract of plumeria rubra in female albino rats. Global J. Pharm. 6: 142-147. [ Links ]
Donofrio, G., V. Franceschi, A. Capocefalo, S. Cavirani, and I. Sheldon. 2008. Bovine endometrial stromal cells display osteogenic properties. Reprod. Biol. Endoc. 6: 65. [ Links ]
Dove, H., and R. Mayes. 1991. The use of plant wax alkanes as marker substances in studies of the nutrition of herbivores: A review. Aus. J. Agric. Res. 42: 913. [ Links ]
Elshawarby, A. M., H. Saleh, A. Attia, and E. Negm. 2014. Arsenic-induced toxicity in the endometrium of adult albino rat and the possible role of human chorionic gonadotropin hormone. The Egyptian J. Histology 37: 327-338. [ Links ]
Feldman, S. T., and A. Schönthal. 1994. Negative regulation of histone H1 kinase expression by mimosine, a plant amino acid. Cancer Res. 54: 494-498. [ Links ]
Gonella, A., L. Grajales, and V. Hernández. 2010. Ambiente receptivo uterino: control materno, control embrionario, muerte embrionaria. Rev. MVZ Cordoba. 15: 1976-1984. [ Links ]
Gunin, A., I. Mashin, and D. Zakharov. 2001. Proliferation, mitosis orientation and morphogebetic changes in the uterus of mice following chonic treatment with both estrogen and glocorticoid hormones. J. Endoc. 169: 23-31. [ Links ]
Hallak, M., L.Vazana, O. Shpilberg, I. Levy, J. Mazar, and I. Nathan. 2008. A molecular mechanism for mimosine-induced apoptosis involving oxidative stress and mitochondrial activation. Apoptosis: An Int. J. Programmed Cell Death 13: 147-55. [ Links ]
Halliday, M. J., J. Padmanabha, C. Mcsweeney, G. Kerven, and H. Shelton. 2013. Leucaena toxicity: A new perspective on the most widely used forage tree legume. Trop. Grassland 1: 1-11. [ Links ]
Hughes, T. A., and P. Cook. 1996. Mimosine arrests the cell cycle after cells enter S-phase. Exp. Cell Res. 222: 275-80. [ Links ]
Iranloye, B. O., and F. Bolarinwa. 2008. Effect of nicotine administration on estrous cycle in female albino rats. Nigerian J. Health Biomed. Sci. 6: 7-12. [ Links ]
James, L., K. Panter, D. Nielsen, and R. Molyneux. 1992. The Effect of natural toxins on reproduction in livestock. J. Anim. Sci. 70: 1573-1579. [ Links ]
Jones, R. M., M. McLennan, and K. Dowsett. 1989. The effect of Leucaena leucocephala on the reproduction of beef cattle grazing leucaena/grass Pastures. Trop. Grassland 23: 108-114. [ Links ]
Klotz, J. 2015. Activities and effects of ergot alkaloids on livestock physiology and production. Toxins 7: 2801-2821. [ Links ]
Kojima, Y., and U. Selander. 1970. Cyclical changes in the fine structure of bovine endometrial gland cells. Z. Zellforsch 104: 69-86. [ Links ]
Krude, T. 1999. Mimosine arrests proliferating human cells before onset of DNA replication in a dose-dependent manner. Exp. Cell Res. 247: 148-59. [ Links ]
Lecce, G., G. Meduri, M. Ancelin, C. Bergeron, and M. Perrot-Applanat. 2001. Presence of estrogen receptor beta in the human endometrium through the cycle: Expression in glandular, stromal, and vascular cells. J. Clin. Endocri. Metabolism. 86: 1379-86. [ Links ]
Lessey, B. A., I. Yeh, A. Castelbaum, M. Fritz, A. Ilesanmi, P. Korzeniowski, and K. Chwalisz. 1996. Endometrial progesterone receptors and markers of uterine receptivity in the window of implantation. Fertil. Steril. 65: 477-83. [ Links ]
Murgueitio, E., Z. Calle, F. Uribe, A. Calle, and B. Solorio. 2011. Native trees and shrubs for the productive rehabilitation of tropical cattle ranching lands. Forest Ecol. Manag. 261: 1654-1663. [ Links ]
Naranjo, R., J., A. Tarazona M., E. Murgueitio R., J. Chará O., and J. Ku V., F. Solorio S., and R. Barahona R. 2014. Contribution of intensive silvopastoral systems to animal performance and to adaptation and mitigation of climate change. Rev. Colomb. C. Pec (Colom. J. Anim. Sci. Vet. Med). 27: 114. [ Links ]
Oluyemi, K., U. Okwuonu, D. Baxter, and T. Oyesola. 2007. Toxic effects of methanolic extract of aspilia africana leaf on the estrous cycle and uterine tissues of wistar rats. Inter. J. Morphol. 25: 609-614. [ Links ]
Phaikaew, C., W. Suksaran, J. Nakamanee, G. Saichuer, S. Seejundee, N. Kotprom, and H. Shelton. 2012. Incidence of subclinical toxicity in goats and dairy cows consuming leucaena (Leucaena leucocephala) in Thailand. Anim. Prod. Sci. 52: 283-286. [ Links ]
Reis, P. J., R. Puchala, T. Sahlu, and A. Goetsch. 1999. Effects of mimosine and 2,3-dihydroxypyridine on fiber shedding in Angora goats. J. Anim. Sci. 77: 1224-1229. [ Links ]
Sahlu, T., R. Puchala, P. Reis, J. Davis, K. Tesfai, J. Fernandez, and A. Millamenat. 1995. Technical note: Tissue residues of mimosine and 2 , 3-Dihydroxypyridine after intravenous infusion in goats. J. Anim. Sci. 73: 172-176 [ Links ]
Stadistical Analysis Systems Institute (SAS) statistics, version 9.2, SAS institute, Cary, NC, USA. [ Links ]
Shelton, H., and S. Dalzell. 2007. Production, economic and environmental benefits of leucaena pastures. Trop. Grasslands 41: 174-190. [ Links ]
Udoh, F. 2012. Evaluation of pharmacodynamic effects of ethanolic extract of the leaves of Gnetum africanum on uterine and ovarian tissues morphology of rats . J. Natural Sci. Res. 2: 37-42. [ Links ]
Walsh, S. W., E. Williams, and A. Evans. 2011. A review of the causes of poor fertility in high milk producing dairy cows. Anim. Rep. Sci. 123: 127-138. [ Links ]
Wu, C. M., H. M. Yuan, G. Jia,Z. S. Wang, and X. Q. Wu. 2012. Determination of mimosine and 2,3-Dihydroxypyridine in Leucaena leucocephala by reversed phase high-performance liquid chromatography. Applied Mech. Mat. 140: 296-301. [ Links ]
Yacout, M. 2016. Anti-nutritional factors and its roles in animal nutrition. J. Dairy, Vet. and Anim. Res. 4(1). 00107. DOI:10.15406 [ Links ]
Yakubu, M. 2012. Effect of a 60-day oral gavage of a crude alkaloid extract from Chromolaena odorata leaves on hormonal and spermatogenic indices of male rats. J. Andrology. 33: 1199-1207. [ Links ]
Received: February 2017; Accepted: November 2017










texto en 


