Introducción
El queso Chihuahua también se conoce como queso Menonita o Chester, es mexicano y tradicional en el estado de Chihuahua (González-Córdova et al., 2016). Este queso tiene textura blanda o semidura y se obtiene por coagulación enzimática de leche pasteurizada, entera o estandarizada en grasa butírica, hasta lograr una pasta texturizada, acidificada y prensada (COFOCALEC, 2011). El queso Chihuahua se produce en México en plantas medianas o grandes con la infraestructura material y técnica para realizar la pasteurización de la leche y la adición de los fermentos lácticos y aditivos necesarios (Hervás, 2012). Este queso también se produce en pequeñas y micro empresas que en algunos casos usan leche cruda o sin pasteurizar y presentan variabilidad en los métodos de elaboración y en los parámetros de control en el proceso de fabricación y del producto terminado (Tunick et al., 2008; Villegas de Gante, 2012; González-Córdova et al., 2016).
El queso Chihuahua posee características que lo distinguen, pero diferencias en el control y estandarización de la materia prima y del proceso de elaboración (González-Córdova et al., 2016) causan variaciones que generan diversidad de quesos con propiedades físicas, químicas y sensoriales particulares (Van Hekken et al., 2006; Olson et al., 2011). Para unificar las características del queso Chihuahua comercializado en México, se ha promovido la estandarización y especificaciones del producto (COFOCALEC, 2011). Sin embargo, la normativa no se aplica y se cumple parcialmente. Las apreciaciones empíricas y tradicionales son las causas principales de la heterogeneidad del producto (Olson et al., 2011; González-Córdova et al., 2016).
La persistencia de variaciones múltiples en el queso, aunque sean pequeñas, representan un efecto importante en los atributos sensoriales del queso Chihuahua (Van Hekken et al., 2006; Olson et al., 2011) y pueden determinar la aceptación o el rechazo del producto por el consumidor. El objetivo de este estudio fue determinar las características fisicoquímicas y sensoriales del queso Chihuahua, producido en el estado de Chihuahua, y su relación con las preferencias del consumidor. La hipótesis fue que la preferencia del consumidor por el queso está directamente relacionada con los atributos sensoriales derivados de las características fisicoquímicas del producto.
Materiales y Métodos
Diseño experimental
Muestras de queso Chihuahua se seleccionaron considerando los siguientes criterios: que el producto fue elaborado en el estado de Chihuahua, empacado al vacío, con datos de etiquetado y del fabricante, de adquisición fácil para el consumidor en tiendas de conveniencia, y que su fecha de caducidad fuera mayor a 15 días después de la compra. Los productos tipo queso Chihuahua no se incluyeron en el muestreo. Las evaluaciones fisicoquímicas se hicieron por triplicado y las sensoriales (análisis descriptivo) por duplicado. Las variables fueron: contenido de humedad, proteína, grasa, cenizas, carbohidratos totales, sodio, acidez y pH. Los atributos sensoriales fueron intensidad de olor, descripción de olor, humedad, carácter graso, firmeza, sabor dulce, salado, amargo y ácido e interacciones ácido-amargo, ácido-dulce y dulce-amargo, preferencia y nivel de agrado.
Obtención de las muestras
Según los criterios de inclusión, diez marcas de queso Chihuahua se obtuvieron en cuatro supermercados de Ciudad Juárez, Chihuahua. De cada una se adquirieron 3.3 kg de queso, en presentaciones de 0.55 o 1.10 kg, todos del mismo lote. Las muestras se transportaron en hielera, se identificaron con códigos aleatorios de tres dígitos y se almacenaron en refrigeración (2 a 4 °C) hasta su análisis.
Caracterización sensorial
Las muestras se caracterizaron sensorialmente con un análisis descriptivo por un panel entrenado de 10 jueces. Los atributos de fase olfativa fueron intensidad de olor, primera impresión y descripción del olor. En la fase bucal se consideraron caracteres de superficie, como humedad y carácter graso, los mecánicos, como la firmeza y sensaciones sápidas, como dulce, salado, amargo y ácido, y las interacciones ácido-amargo, ácido-dulce y dulce-amargo (Chamorro y Losada, 2002).
Primero, el panel de jueces se entrenó en cada atributo o descriptor por 6 semanas, con dos sesiones semanales. Para estimar la intensidad de percepción de cada atributo se utilizó una escala lineal de nueve puntos etiquetada en los extremos como “débil” y “fuerte”. Las porciones para cada panelista fueron 10 g de queso en vasos plásticos de ≈ 30 mL, identificados con números aleatorios de tres dígitos y a temperatura ambiente. Las muestras estaban en cabinas individuales, en forma balanceada y aleatorizada, junto con las fichas de evaluación. Los jueces se enjuagaron la boca con agua purificada (Aurrera®) al iniciar y entre muestras. Cada atributo se evaluó en sesiones diferentes (Chamorro y Losada, 2002; Lawless y Heymann, 2010).
Caracterización fisicoquímica
Las determinaciones fisicoquímicas se hicieron en muestras de 50 o 100 g, la muestra total fue 300 g por marca comercial. Las muestras se seccionaron con un rallador comercial para queso, homogenizaron y colocaron en recipientes plásticos identificados. Los contenidos de humedad, cenizas y proteína se determinaron con los métodos estandarizados de la AOAC (2000), 926.08, 935.42 y 920.123-1920, respectivamente. El contenido de grasa total se cuantificó por el método de Gerber-Van Gulik (DGN, 1984) y los carbohidratos totales se determinaron por diferencia de la composición total del producto (FAO, 2002). El contenido de sodio se estimó por estequiometría de NaCl, con el método de Volhard (método 935.43 AOAC), la acidez se determinó por el método volumétrico (método 920.124 AOAC) (AOAC, 2000) y se expresó como porcentaje de ácido láctico. El pH se determinó con un potenciómetro (DGN, 1970).
Los perfiles proteicos de las muestras de queso se evaluaron por electroforesis en geles de poliacrilamida, en condiciones desnaturalizantes y reductoras (SDS-PAGE). Los geles fueron de poliacrilamida, discontinuos y con gel de separación al 12 % (Laemmli, 1970). La separación de proteínas se realizó con voltaje constante de 110 V. Los marcadores de masa molecular fueron de intervalo amplio (Bio-Rad®). Los geles se tiñeron con azul de Coomasie R-250 (Bio-Rad®), de acuerdo con Merril (1990). El análisis de los perfiles proteicos se realizó por densitometría con el software 1D Image Analysis (Kodak, USA) (Bahan, 1987).
Preferencias del consumidor
Preferencia por ordenación
Las pruebas de preferencia y nivel de agrado las realizaron 120 participantes universitarios (66 mujeres y 54 hombres), con una edad promedio de 22.8±2.6 años. Los criterios de inclusión para participar en el estudio fueron consumir queso Chihuahua al menos una vez por semana (confirmación directa verbal con cada participante), no tener resfriado o enfermedad que afectara el sentido del gusto, como daño en nervios gustativos, o infecciones en vías respiratorias o que estuviera ingiriendo algún fármaco que afectara su percepción gustativa. La prueba de preferencia por ordenación se realizó en dos sesiones, con cinco muestras en cada una. Después de analizar los datos de las dos primeras sesiones se realizó una tercera sesión con las muestras de mayor preferencia de las sesiones anteriores. Para estas pruebas se solicitó a los consumidores que ordenaran las muestras de mayor a menor preferencia. Cada muestra se presentó en dos porciones de 1.8 g cada una (1X1X1.5 cm), excepto en la sesión tres, en la que se proporcionaron tres porciones de cada queso. En estas pruebas las muestras estuvieron en vasos plásticos de ≈ 30 mL, identificadas con números aleatorios de tres dígitos, a temperatura ambiente en forma balanceada y aleatorizada para cada consumidor. Los participantes debían probar las muestras, de izquierda a derecha y ordenaralas de la más preferida a la menos preferida. En todas las pruebas los consumidores se enjuagaron la boca al inicio y entre muestras. Los consumidores podían volver a degustar las muestras después de haberlas probado todas (Lawless y Heymann, 2010). En la tercera sesión, después que los consumidores ordenaron las muestras, las probaron nuevamente y registraron la magnitud de su preferencia en una escala de 15 puntos, etiquetada en los extremos como 1: “menos preferida” hasta 15: “más preferida” (Meilgaard et al., 2006).
Nivel de agrado
Para evaluar el nivel de agrado se seleccionaron las muestras de preferencia mayor, de las sesiones uno y dos. Las muestras se presentaron a temperatura ambiente, aleatoriamente y en forma monádica. Los participante registraron su nivel de agrado en una escala hedónica de nueve categorías, desde “me gusta muchísimo” hasta “me disgusta muchísimo” (Meilgaard et al., 2006; Lawless y Heymann, 2010).
Análisis de datos
Los datos de intensidad de los atributos del análisis sensorial descriptivo se analizaron mediante ANDEVA de medidas repetidas. Los datos fisicoquímicos y de la prueba de nivel de agrado se analizaron con ANDEVA de una vía, y comparaciones múltiples de Fisher en ambos casos. Para el ANDEVA, los datos se analizaron primero con la prueba de Levene y cuando fue significativa se compararon con t-Student para varianzas desiguales. Los datos de perfiles proteicos se analizaron por comparaciones de k proporciones con Chi cuadrada y comparaciones por pares con la prueba de z. Los datos no paramétricos de las pruebas de preferencia se analizaron con la prueba de Friedman y comparaciones por Nemenyi. Para analizar la relación entre los datos de nivel de agrado y la magnitud de preferencia se usó el coeficiente de correlación de Pearson y para estimar la relación entre la composición de las muestras y los datos del análisis sensorial se realizó un análisis de regresión lineal con ANDEVA con suma de cuadrados tipo III (considerando la selección del mejor modelo y R2 ajustada). Todos los análisis se realizaron con el programa XLSTAT, versión 2015.1 (Addinsoft® París, Francia). Los resultados se presentan en valores promedio ± desviación estándar (DE). El criterio para establecer significancia estadística fue p≤0.05.
Resultados y Discusión
Caracterización sensorial
El queso es un producto cuyas características sensoriales son resultado de factores múltiples involucrados en su elaboración, como la calidad de la materia prima, el tipo del proceso, los cultivos microbianos nativos y adicionados y el tiempo de maduración del producto. La transformación bioquímica de los componentes del queso, como la lactosa, las proteínas y la grasa, por acción de los coagulantes, las enzimas de leche y de las bacterias ácido-lácticas (BAL) adicionadas contribuyen a las características sensoriales que identifican a cada queso (Marchesseau et al., 1997; McSweeney y Souza, 2000). Seis muestras tuvieron intensidad mayor de olor, tres (Q2, Q4 y Q5) tuvieron olor atenuado y solo una (Q8) presentó olor muy débil (p≤0.01) (Cuadro 1).
Cuadro 1 Perfil sensorial de diferentes muestras de queso Chihuahua.
| Atributo | Descriptor | Q1 | Q2 | Q3 | Q4 | Q5 | Q6 | Q7 | Q8 | Q9 | Q10 | p |
|---|---|---|---|---|---|---|---|---|---|---|---|---|
| Olor | Intensidad general | 5.3±2.2abc | 4.75±3.2bc | 6.5± 2.7ab | 4.3±1.4c | 4.3±1.8c | 6.0±2.6abc | 7.0±1.8a | 2.0±1.0d | 5.0±2.1abc | 6.3±2.1abc | <0.01 |
| Leche fresca | 1.4± 1.2ab | 1.8±1.6ab | 1.8±1.6ab | 1.4±1.2ab | 3.0± 1.3a | 2.2±1.9ab | 1.8±1.6ab | 1.0±0.0b | 1.8± 1.6ab | 2.6±1.8ab | 0.03 | |
| Cuajada fresca | 2.6±1.8a | 1.0±0.0b | 1.8±1.6ab | 1.0±0.0b | 1.0±0.0b | 1.0±0.0b | 1.4±0.9ab | 1.4±0.9ab | 1.0±0.0b | 1.4±1.2ab | 0.01 | |
| Mantequilla fresca | 1.0±0.0b | 1.4±1.2ab | 1.0±0.0b | 2.2±1.2ª | 1.0±0.0b | 1.4±1.0ab | 1.0±0.0b | 1.0±0.0b | 1.0±0.0b | 2.2±1.9a | 0.02 | |
| Leche cocida | 1.0±0.0b | 2.2±1.7ab | 1.8±1.3ab | 1.4±1.2ab | 2.2±1.1ab | 2.6±1.2ab | 1.0±0.0b | 1.8±1.6ab | 1.8±1.6ab | 2.8±1.7a | 0.03 | |
| Mantequilla fundida | 1.6±1.3bc | 2.0±1.7bc | 3.4±1.7ab | 1.8±1.6bc | 1.0±0.0c | 3.4±2.4ab | 1.4±1.2bc | 1.8±1.6bc | 2.2±1.5abc | 4.2±3.1a | 0.03 | |
| Cuajada acidificada | 2.6±1.7b | 1.0±0.0c | 2.2±1.3bc | 1.8±1.6bc | 1.0±0.0c | 1.4±1.2bc | 5.4±3.5a | 1.0±0.0c | 1.0±0.0c | 1.0±0.0c | <0.01 | |
| Yogurt | 1.8±0.7ab | 1.4±1.2ab | 1.0±0.0b | 1.0±0.0b | 1.8±1.6ab | 1.0±0.0b | 2.4±1.9a | 1.0±0.0b | 1.0±0.0b | 1.0±0.0b | 0.02 | |
| Lactosuero acidificado | 1.2±0.6a | 1.0±0.0a | 1.0±0.0a | 1.4±1.2 | 1.4±1.2a | 1.4±1.2a | 1.4±1.2a | 1.0±0.0a | 1.4±1.2a | 1.0±0.0a | 0.87 | |
| Sabor | Dulce | 2.6±1.2a | 3.6±2.9a | 2.7±2.1a | 3.3±2.3a | 2.1±1.9a | 2.1±1.5a | 1.6±1.5a | 3.0±2.4 | 2.7±2.4a | 3.9±2.8a | 0.79 |
| Salado | 5.2±2.5a | 2.2±1.9c | 3.6±2.9abc | 2.6±2.2bc | 3.2±2.8abc | 3.4±2.7abc | 3.0±2.9abc | 2.2±2.1c | 5.0±3.5ab | 4.0±3.3abc | 0.03 | |
| Ácido | 3.4±2.2bc | 3.6±2.5bc | 3.6±2.5bc | 3.0±1.8bc | 2.0±1.4c | 4.0±2.7b | 6.8±2.7a | 2.8±1.9bc | 3.6±2.8bc | 4.2±2.8b | <0.01 | |
| Amargo | 3.6±1.8ab | 2.0±1.7b | 4.0±2.5a | 4.6±3.0a | 4.8±3.1a | 3.4±2.4ab | 3.6±2.5ab | 3.8±2.3ab | 4.0±3.0a | 3.4±3.0ab | 0.02 | |
| Interacciones | Ácido-amargo | 4.0±2.5ab | 2.8±2.2ab | 3.4±2.6ab | 3.8±3.1ab | 3.6±2.8ab | 4.8±2.5a | 4.4±2.6a | 3.4±2.0ab | 2.2±2.1b | 3.8±3.1ab | 0.03 |
| Ácido-dulce | 1.0±0.0c | 4.4±3.1a | 2.8±2.5abc | 3.0±2.8a | 1.8±1.6bc | 1.8±1.3bc | 1.8±1.5bc | 1.0±0.0c | 2.0±1.5bc | 2.6±1.9abc | 0.04 | |
| Dulce -amargo | 1.6±1.4ab | 1.0±0.0b | 2.6±1.6a | 1.0±0.0b | 1.0±0.0b | 2.0±1.7ab | 1.0±0.0b | 1.2±0.6b | 1.2±0.6b | 1.0±0.0b | <0.01 | |
| Táctil en boca | Firmeza | 2.6±0.5d | 3.5±0.8abc | 3.3±1.1bcd | 3.5±1.2abc | 3.5±0.7abc | 3.0±0.6cd | 4.4±1.3a | 2.9±0.7cd | 4.1±0.9ab | 3.5±1.2abc | 0.02 |
| Humedad | 3.3±0.8a | 3.3±0.4a | 3.2±0.7ab | 2.7±0.4bc | 2.5±0.5cd | 2.8±0.4abc | 2.0±0.6d | 2.9±0.7abc | 3.5±1.0a | 3.1±0.8abc | <0.01 | |
| Carácter graso | 3.8±1.9a | 3.0±0.9a | 4.1±1.5a | 3.5±1.7a | 3.2±1.2a | 3.3±1.4a | 1.6±0.4b | 4.0±2.1a | 2.0±0.8b | 2.6±1.5ab | <0.01 |
Q: muestras de queso Chihuahua. Medias ± DE (DE=0, todos los jueces índicaron 1 como la percepción mínima del atributo o descriptor). Escala de nueve puntos (1: Débil, 9: Fuerte). Letras diferentes indican diferencia significativa (p≤0.05).
El olor débil o su ausencia en un queso puede estar relacionado a fermentos con acción lipolítica baja (Navarro, 2015) o al tiempo breve de maduración (Gamboa et al., 2013). La acción de lipasas y esterasas de la leche (lipoproteinlipasa) y de BAL en la grasa del queso parecen ser los principales agentes que participan en el catabolismo de los ácidos grasos libres de cadena media y corta. Eso genera compuestos como metil cetonas, lactonas, ésteres, alcanos y alcoholes secundarios, que contribuyen a formar el conjunto olfato-gustativo del producto (Chamorro y Losada, 2002; Collins et al., 2003). El panel estableció nueve descriptores de olor; el olor a leche fresca (p=0.03) y a leche cocida (p=0.03) destacaron. Las muestras Q3, Q6 y Q10 destacaron por su olor a mantequilla fundida (p=0.03) y Q7 por el olor a cuajada acidificada y yogurt (p≤0.01), esta última también fue la más ácida respecto a las demás (p≤0.01). El metabolismo de la lactosa por BAL produce L- y D-lactato que contribuye al sabor ácido del queso, particularmente en los de maduración corta (McSweeney y Souza, 2000). La acidez excesiva puede deberse a que se usó leche acidificada, ya que favorece el desuerado de la cuajada y permite la acidez necesaria para obtener pastas compactas, lisas y elásticas (“chedarización”) y disminuye el tiempo del proceso (Villegas de Gante, 2012). Otras causas de incremento de acidez son corte desigual de la cuajada, temperatura de curación elevada o porcentaje bajo de sal (Keating, 2007). El queso obtenido de la leche no pasteurizada es más ácido y en algunos casos genera sensación de picor (Van Hekken et al., 2006). La relevancia del control de la acidificación del queso es porque al determinar el crecimiento de microorganismos y la actividad de enzimas durante la maduración indirectamente afecta el sabor del queso (Collins et al., 2003).
El sabor más salado correspondió a Q1 y Q9 y contrastó con el de Q2 y Q8 (p=0.03). Esto puede deberse a la cantidad de NaCl adicionada o al método de salado. La sal contribuye al sabor del queso, determina en parte la calidad y la aceptación por el consumidor. El salado, el pH, la actividad de agua y el potencial redox contribuye a minimizar el deterioro y el crecimiento de microorganismos patógenos en el queso (Ramírez-Navas et al., 2017). En algunos casos se adiciona más sal para regular el desarrollo de la microflora ácido-láctica y proteolítica en el queso (Tunik et al., 2008). La reducción significativa de sal en los quesos puede generar sabor amargo. En nuestro estudio las muestras se caracterizaron por ciertas notas amargas, Q2 (p=0.02) fue la menor. La proteólisis contribuye directamente al sabor del queso, en características sápidas deseables e indeseables, como amargor. La influencia de proteasas bacterianas de los cultivos son relevantes en la elaboración del queso. El sabor amargo puede deberse al tipo de péptidos (principalmente hidrofóbicos) y aminoácidos libres (AAL) de la hidrólisis de la caseína y otras proteínas lácteas, por enzimas del coagulante (quimosina, pepsina o proteinasas fúngicas o vegetales), de la leche (plasmina, catepsina D y otras proteinasas de células somáticas), de las BAL y por proteinasas exógenas utilizadas para acelerar la maduración del queso. El metabolismo secundario de péptidos, AAL y cambios en la matriz del queso facilita la liberación de compuestos amargos durante la masticación (McSweeney y Souza, 2000). El sabor amargo que imparten ciertos péptidos está determinado por el aminoácido terminal; cuando su concentración supera el umbral de percepción puede constituir un defecto del queso (Chamorro y Losada, 2002). Q4 y Q5 presentaron fracción mayor de péptidos entre 12.0 y 23.9 kDa en comparación con Q2 (p≤0.01).
En las interacciones de sabor, Q9 mostró menos sabor ácido-amargo (p=0.03), Q2 y Q4 tuvieron mayor sabor ácido-dulce en comparación con Q1 y Q8 (p=0.04). Q3 tuvo la interacción dulce-amargo mayor que Q2, Q4, Q5, Q7, Q8, Q9 y Q10 (p≤0.01). Las interacciones de sabor permiten establecer el efecto de un sabor sobre otro en el alimento (Chamorro y Losada, 2002). En nuestro estudio, los jueces percibieron menos sabor amargo cuando evaluaron la interacción con ácido y dulce, que cuando evaluaron separado este sabor en la misma muestra. Es decir, el balance adecuado de sabor dulce y ácido en el queso Chihuahua tiene efecto supresor del sabor amargo y puede contribuir a generar su sabor típico.
Las muestras mostraron balance medio-bajo en las características táctil en boca (Cuadro 1). Esto es característico de quesos jóvenes o con etapa breve de maduración (Moushumi et al., 2012). Q1 presentó la firmeza menor (p=0.02), Q5 y Q7 se percibieron con la menor humedad (p≤0.01) y Q7 y Q9 tuvieron el carácter graso menor entre las muestras (p≤0.01). La matriz proteica del queso tiene una función principal en las características y propiedades funcionales del queso, controla el contenido de agua y el equilibrio de los componentes dentro de la matriz, influye en la firmeza del queso y en la homogeneidad de los glóbulos de grasa (Ramírez-López y Vélez-Ruiz, 2012). La composición de ácidos grasos en la grasa de la leche puede afectar significativamente la firmeza y el sabor del queso (Caro et al., 2014).
Características fisicoquímicas
Las muestras tuvieron humedad entre 38.8 % (Q9) y 44.9 % (Q10) (p≤0.01) (Cuadro 2). Todos los quesos tuvieron la humedad establecida para el queso Chihuahua (45 % máx.) (COFOCALEC, 2011). El contenido de proteína fue de 17.6 % (Q4) a 21.4 % (Q5) (p≤0.01) y ninguno de los quesos tuvo el contenido proteico mínimo (23 %) establecido para el queso Chihuahua (COFOCALEC, 2011). La materia proteica es uno de los principales componentes por su valor nutrimental e influencia en el rendimiento. El contenido de proteína en la leche puede variar entre periodos estacionales, razas y alimentación de los animales, u otros factores. La leche para producir queso debe estar estandarizada en su proporción de caseína/grasa. Pero, la estandarización se lleva a cabo generalmente solo ajustando el contenido de grasa, por la suposición de que el contenido de proteína no cambia entre ordeñas sucesivas o estacionalmente; esto, ocasiona variabilidad en la calidad del producto. El contenido de humedad, grasa y proteína influyen en las características sensoriales del queso, principalmente en la textura (Caro et al., 2014). En nuestro estudio, el análisis de regresión lineal indicó significancia entre la firmeza percibida por el panel sensorial y el contenido de proteína, grasa y minerales (p=0.02, R2 ajustada=0.72).
Cuadro 2 Composición fisicoquímica de queso Chihuahua.
| Muestra | Humedad (%) | Proteína (%) | Grasa (%) | Cenizas (%) | Carbohidratos totales (%) | Sodio (mg/100 g) | Acidez† (% EAL) | pH |
|---|---|---|---|---|---|---|---|---|
| Q1 | 42.0 ± 0.4bc | 21.3±0.7ab | 28.7±0.8d | 3.7±0.1b | 4.3±0.5cde | 610.8±9.0a | 7.5±0.1c | 6.1 |
| Q2 | 41.9±0.8bc | 20.0±0.6bcde | 31.2±0.8c | 3.5±0.0de | 3.4±0.8de | 398.5±1.8e | 3.8±0.1g | 6.0 |
| Q3 | 42.0±0.5bc | 20.8±0.6abc | 30.7±0.3c | 3.3±0.0f | 3.3±0.6e | 475.0±3.5c | 8.1±0.0b | 5.8 |
| Q4 | 41.6±0.3bc | 21.4±0.6a | 28.3±0.3de | 3.6±0.1cd | 5.1±0.6bcd | 508.8±8.3bc | 7.5±0.2c | 5.8 |
| Q5 | 42.6±0.3b | 17.6±0.3f | 32.3±0.3b | 3.7±0.0b | 3.8±0.8de | 594.5±3.6a | 4.1±0.0f | 6.3 |
| Q6 | 42.2±0.6bc | 20.5±0.3abcd | 27.7±0.3e | 3.6±0.1c | 6.0±0.7abc | 442.7±2.0d | 9.1±0.1a | 5.8 |
| Q7 | 41.9±0.8c | 20.7±0.1abc | 28.5±0.5de | 3.4±0.0ef | 6.4±1.5ab | 288.9±11.1f | 9.0±0.2a | 5.9 |
| Q8 | 40.3±1.1d | 18.6±0.5ef | 34.2±0.8a | 3.3±0.0f | 3.6±2.1de | 443.8±8.4cd | 5.2±0.1e | 6.0 |
| Q9 | 44.9±0.2a | 19.2±1.8de | 26.2±0.8f | 3.3±0.1f | 6.4±0.8ab | 319.1±8.5f | 2.7±0.1h | 6.5 |
| Q10 | 38.8±0.5e | 19.7±1.2cde | 30.7±0.3c | 3.8±0.0a | 7.0±1.2a | 518.7±1.5b | 6.9±0.1d | 6.1 |
†Acidez titulable (% EAL: equivalente de ácido láctico). Valores promedio±DE (DE indicada como 0.0 significa DE≤0.1). Letras diferentes indican diferencia significativa entre columnas a p≤0.05.
Durante la manufactura del queso los glóbulos de grasa quedan atrapados en una red proteica. Esto evita que la proteína forme agregados y determina la cohesión y elasticidad del gel, que a la vez la modula el pH y la fuerza iónica de los cationes, como Na+ y Ca+2. Cambios pequeños en estas condiciones pueden repercutir ampliamente en la estructura del queso y, en consecuencia, afectar sus propiedades sensoriales (Marchesseau et al., 1997). El contenido de grasa fue de 26.2 % (Q9) a 34.2 % (Q8) (p≤0.01). La percepción gustativa del carácter graso se relacionó estrechamente con el contenido de grasa, proteína y minerales del queso (p=0.03, R2 ajustada=0.71). El contenido mínimo de grasa para el queso Chihuahua es 28.0 % (COFOCALEC, 2011), por su materia grasa ejerce gran influencia en el desarrollo y calidad organoléptica del queso; esto porque disuelve componentes que imparten olor y modifica los umbrales de percepción, e interviene en el equilibrio de las formas disociadas y no disociadas de los ácidos grasos (Chamorro y Losada, 2002). En contraste, el contenido alto de grasa en una matriz proteica débil (Q8) afectó las propiedades sensoriales. Por lo tanto, esta característica puede ser un factor limitante en la aceptación final del producto. La proporción mayor de grasa-proteína afecta la interacción entre las proteínas, por lo tanto ocasiona textura débil, que puede ser un defecto del producto (Jonhson et al., 2009).
Las muestras tuvieron contenido de sodio desde 288.9 mg por 100 g de muestra (Q1) hasta 610.8 mg por 100 g de muestra (Q5) (p≤0.01). El contenido de sodio se relaciona con el salado de la pasta; 70 a 85 % se atribuye al Na+ y 15 a 30 % al Cl- (Villegas de Gante, 2012; Ramírez-Navas et al., 2017). Las muestras identificadas como las más saladas fueron Q1 y Q9, pero el contenido de sodio en Q9 fue uno de los menores. El análisis de regresión lineal no mostró relación significativa entre ambas variables. La diferencia entre la percepción sensorial y el contenido de sodio podría estar relacionada con la composición del queso; particularmente, Q9 tuvo el contenido de grasa menor y la humedad y pH mayores. En quesos reducidos en grasa se ha detectado mayor sabor cuando la relación de sal-humedad incrementa (Jonhson et al., 2009). El pH superior a 5.8 promueve exceso de iones Ca+2 vinculados a la molécula de paracaseína, lo que causa incorporación excesiva de Na+ en la molécula y afecta su microestructura (Ramírez-Navas et al., 2017). Así, el salado puede causar efectos indeseables en el sabor (Hernández-Morales et al., 2010) y detener la maduración natural del queso (Villegas de Gante, 2012).
La acidez titulable se encontró entre 2.7 % (Q9) y 9.1 % (Q6 y Q7) de ácido láctico (p≤0.01). En el queso Chihuahua, la acidificación de la pasta permite obtener la textura y el proceso de maduración adecuados. Los productos son los responsables de parte de los cambios en la apariencia, textura, olor, sabor y aroma del queso (Chamorro y Losada, 2002). Durante la fermentación de la lactosa por BAL, algunos intermediarios del piruvato son transformados a compuestos que contribuyen al sabor, como diacetil, acetoína, acetaldehído y ácido acético (Smith et al., 2005). La acidez incrementa al máximo en las primeras horas o días y luego disminuye, porque el ácido láctico se combina con el calcio y otras sales en el queso. La acidez elevada de las muestras podría estar relacionada con quesos sin madurar o etapas de maduración breves (Villegas de Gante, 2012). Solamente Q7 se calificó como la más ácida. Pero, la relación entre la percepción sensorial en acidez y la composición del queso no fue significativa; aunque, sí se observó una tendencia del contenido mineral y de carbohidratos del queso (p=0.09). La acidez baja del queso puede deberse al contenido muy bajo de sal, entre otros factores (Keating, 2007). Esto podría relacionarse con el contenido bajo de sodio de Q7. Las reducciones de sal también pueden ocasionar cambios negativos en el crecimiento de BAL y riesgo de incremento de microorganismos patógenos en el queso (Ramírez-Navas, 2017).
El pH de las muestras estuvo entre 5.8 y 6.5 (Q9). El pH de todas las muestras fue superior al intervalo establecido para el queso Chihuahua (5.0 a 5.5) (COFOCALEC, 2011) y similar al del quesos frescos, sin madurar (Ramírez-López y Vélez-Ruiz, 2012). Si la cuajada no se acidifica adecuadamente durante la elaboración del queso (~pH 6.0) y el tiempo de prensado es corto, el pH de los quesos no se reduce suficientemente y su capacidad de fundido se afecta (Marchesseau et al., 1997). La maduración sugerida para el queso Chihuahua es de al menos 7 días; aunque, este tipo de queso desarrolla características organolépticas mejores con maduración mayor a un mes (Villegas de Gante, 2012). En la práctica el queso se empaca inmediatamente después del prensado (Cervantes et al., 2006), esto evita el “oreado”, que es una fase importante para reducir la humedad, incrementar la acidez y reducir el pH. Estos factores contribuyen al desarrollo de características que distinguen a este queso.
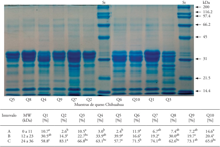
Trece bandas de proteínas se identificaron y correspondieron a masas estimadas desde 6.7 hasta 34.7 kDa (Figura 1).

Figura 1 Perfiles e intervalos de péptidos en queso Chihuahua. St: estándar. Intervalos de bandas peptídicas en función de su masa estimada. Comparación entre muestras de un mismo intervalo de bandas. Letras diferentes indican diferencia significativa (p≤0.05).
Los intervalos de los péptidos en función de su masa estimada fueron: péptidos de masa menor, hasta 11.9 kDa (A), péptidos de masa media, de 12.0 a 23.9 kDa (B) y péptidos de masa mayor, de 24.0 a 36.0 kDa (C). Las muestras analizadas mostraron contenido mayor de péptidos con masa estimada de 24.0 a 36.0 kDa. Estos resultados concuerdan con lo encontrado en muestras de queso Chihuahua con una semana de maduración (Olson et al., 2011) y corresponde a quesos frescos típicos (Tunik et al., 2008; Moushumi et al., 2012). Q2, Q4 y Q5 tuvieron la proporción menor de péptidos pequeños y Q1, Q3, Q6 y Q10 la mayor (p≤0.01). Q2, Q6 Q7, Q9 y Q10 mostraron la proporción menor de péptidos de masa media y Q5 la mayor (p≤0.01). Q5 y Q1 presentaron la proporción menor de péptidos de masa mayor y Q2 tuvo la proporción mayor de estos péptidos (p≤0.01).
Una primera proteólisis la realiza el coagulante junto con el ácido láctico, el cloruro de sodio y las enzimas en la leche. Durante la maduración del queso se generan péptidos y se liberan aminoácidos por acción de las endopeptidasas, aminopeptidasas y carboxipeptidasas. Los péptidos y AAL generados contribuyen al desarrollo de las características olfato-gustativas básicas del producto. El sabor amargo en el queso se correlaciona con la hidrofobicidad de péptidos generados en la matriz del queso (Ramírez-López y Vélez-Ruiz, 2012), específicamente en la proteólisis de αs1-caseína y β-caseína (Moushumi et al., 2012). Esta característica se identificó principalmente en Q4 y Q5, que tuvieron el contenido mayor de péptidos entre 12.0 y 23.9 kDa. Esto pudo deberse a que los quesos no tuvieron una fase mayor de hidrólisis enzimática de estos péptidos, por una etapa insuficiente de maduración, que los eliminará junto con su sabor amargo (Olson et al., 2011). Otra causa de proteólisis más intensiva puede ser la adición excesiva de coagulante junto con cloruro de sodio o cultivos lácticos (Keating, 2007). En particular Q4 y Q5 tuvieron contenido mayor de sodio. La fracción de péptidos de masa menor fue más homogénea entre los quesos; en esta fracción los aminoácidos libres pueden descomponerse en aminas, amoníaco, anhídrido carbónico, metanotiol, alcoholes y otros compuestos que impactan el sabor y color del queso (Chamorro y Losada, 2002). Varios péptidos cortos, de menos de 1000 Da, imparten sabor umami al queso (Moushumi et al., 2012).
Preferencias del consumidor
En la primera prueba de preferencia Q2, Q3 y Q5 fueron más preferidos (p≤0.01) (Figura 2a); en la segunda prueba fueron Q6 y Q10 (p≤0.01) (Figura 2b). Un análisis conjunto de las diez muestras indicó que Q8 fue intermedio entre los quesos más preferidos y los menos preferidos (p≤0.01); por eso, esta muestra se incluyó en la última prueba de preferencia. Con ella se confirmó que de las seis muestras Q8 fue la menos preferida (p≤0.01) (Figura 2c). La aceptación de estas muestras por el consumidor se relacionó con su contenido de proteína, grasa, minerales y carbohidratos (p≤0.01, R2 ajustada=0.77).

Figura 2 Preferencia por ordenación en muestras de queso Chihuahua. a) Primera prueba de preferencia. b) Segunda prueba de preferencia. c) Tercera prueba de preferencia sobre las muestras más preferidas en a) y b). Medias y medianas de posición en la ordenación (rangos). Letras diferentes indican diferencia significativa (p≤0.05).
El análisis de magnitud de preferencia entre las muestras permitió identificar las diferencias entre las muestras con preferencia mayor (Figura 3a). En esta prueba Q2 y Q3 fueron las más preferidas y Q8 la menos preferida (p≤0.01). La prueba de nivel de agrado mostró la aceptación de Q2, Q3 y Q6, además confirmó que Q8 fue la menos aceptada (p≤0.01) (Figura 3b). La magnitud de preferencia de las seis muestras se correlacionó significativamente con el nivel de agrado de los consumidores (r=0.85, p=0.03).

Figura 3 Preferencia y aceptación (±DE) de queso Chihuahua. a) Estimación de magnitud de la preferencia con una escala lineal de 15 puntos. b) Nivel de agrado con una escala hedónica de nueve categorías.
En nuestro estudio el uso de una escala lineal de 15 puntos, para estimar la magnitud de las preferencias y de la escala hedónica de nueve categorías, para medir el nivel de agrado de las muestras, permitió determinar entre las muestras las más preferidas por el consumidor. La comparación de ambos métodos ha mostrado que la escala hedónica es superior a la estimación de magnitud (Moskowitz y Sidel, 1971; Warren et al., 1982). En nuestro estudio ambas pruebas tuvieron una correlación importante y confirmaron las preferencias del consumidor por dos métodos diferentes.
El análisis descriptivo (jueces entrenados) y las pruebas en consumidor (pruebas afectivas) en conjunto permitieron observar que la variabilidad en los atributos del queso, percibida por los jueces, se relacionó con la aceptación o rechazo del producto por el consumidor. Así, acidez alta (Q7), sabor a salado (Q1, Q9), olor débil, contenido de grasa alto (Q8) o sabores amargos (Q4, Q5) fueron factores que limitaron la preferencia de los consumidores. Con la información de las preferencias del consumidor se elaboraron modelos de perfil fisicoquímico (Cuadro 3) y sensorial (Cuadro 4) que caracterizaron a los quesos de este estudio.
Cuadro 3 Modelo de perfil fisicoquímico del queso Chihuahua considerando las preferencias del consumidor.
| Unidad | Media† | Intervalo† | Requerimiento NMX-738§ | |
|---|---|---|---|---|
| Humedad | % | 42.0 | 41.9 a 42.2 | 45.0 máx |
| Proteína | % | 20.4 | 20.0 a 20.8 | 23.0 min |
| Cenizas | % | 3.5 | 3.3 a 3.6 | NE |
| Grasa total | % | 29.8 | 27.6 a 31.2 | 28.0 min |
| Carbohidratos totales | % | 4.2 | 3.3 a 6.0 | NE |
| Sodio | mg/100 g | 438.7 | 398.5 a 475.0 | NE |
| Acidez | % EAL | 7.0 | 3.8 a 9.1 | NE |
| pH | 5.9 | 5.8 - 6.0 | 5.5 | |
| Péptidos (0 a 11.9 kDa) | % | 8.3 | 2.6 a 11.9 | - |
| Péptidos (12.0 a 23.9 kDa) | % | 17.8 | 14.3 a 22.7 | - |
| Péptidos (24.0 a 36.0 kDa) | % | 73.8 | 66.8 a 83.1 | - |
EAL: equivalente de ácido láctico. NE: valor no especificado. †Valor medio e intervalo en función de los valores promedio de los quesos más preferidos (Q2, Q6 y Q3). §(COFOCALEC, 2011).
Cuadro 4 Modelo de perfil sensorial del queso Chihuahua considerando las preferencias del consumidor.
| Atributo | Familia | Subfamilia | Descriptor | Media† | Intervalo† | Intensidad§ | |
|---|---|---|---|---|---|---|---|
| Olor | Intensidad general | 5.8 | 4.8-6.5 | Media-Media alta | |||
| Láctica | L. fresca | Leche fresca | 1.9 | 1.8-2.2 | Media baja | ||
| Cuajada fresca | 1.3 | 1.0-1.8 | Débil | ||||
| Nata | 1.1 | 1.0-1.4 | Débil | ||||
| Mantequilla fresca | 1.3 | 1.0-1.4 | Débil | ||||
| L. acidificada | Leche cocida | 2.2 | 1.8-2.6 | Media baja | |||
| Mantequilla fundida | 2.9 | 2.0-3.4 | Media baja | ||||
| Cuajada acidificada | 1.5 | 1.0-2.2 | Débil | ||||
| Yogurt | 1.1 | 1.0-1.4 | Débil | ||||
| Lactosuero acidificado | 1.1 | 1.0-1.4 | Débil | ||||
| Sabor | Dulce | 2.8 | 2.1-3.6 | Media baja | |||
| Salado | 3.1 | 2.2-3.6 | Media baja | ||||
| Ácido | 3.7 | 3.6-4.0 | Media baja | ||||
| Amargo | 2.9 | 2.0-3.4 | Media baja | ||||
| Ácido-amargo | 3.7 | 2.8-4.8 | Media baja | ||||
| Ácido-dulce | 3.0 | 1.8-4.4 | Media baja | ||||
| Dulce-amargo | 1.9 | 1.0-2.6 | Media baja | ||||
| Táctil en boca | Firmeza | 3.3 | 3.0-3.5 | Media baja | |||
| Humedad | 3.1 | 2.8-3.3 | Media baja | ||||
| Carácter Graso | 3.5 | 3.0-4.1 | Media baja |
†Valor promedio e intervalo en función de los valores promedio de los quesos más preferidos (Q2, Q6 y Q3) en una escala de 9 puntos. §Criterio de interpretación de la escala lineal: 1 débil, 2 a 4 media-baja, 5 media, 6 a 8 media-alta, 9 alta.
Estos modelos pueden ser una base para estandarizar la manufactura del queso Chihuahua con base en las preferencias del consumidor y en la normatividad mexicana vigente. Los modelos propuestos permiten identificar que tan cerca o lejos se encuentra un producto con respecto al producto preferido por el consumidor (Ojeda et al., 2015). La información de posición del producto ayuda a dirigir al productor para reformular o modificar el proceso de elaboración del queso (López-Velázquez et al., 2012; Almanza-Rubio et al., 2013). Los modelos de perfil sensorial, fisicoquímico del producto también proporcionan características de referencia que debe reunir un queso Chihuahua para estar dentro de las preferencias del consumidor.
Conclusiones
La variabilidad en los parámetros fisicoquímicos del queso Chihuahua afecta su perfil sensorial y con él, las preferencias del consumidor, lo que puede determinar la aceptación o rechazo del producto.
Las preferencias del consumidor detectadas en este estudio permitieron establecer modelos de perfil sensorial y fisicoquímico como herramienta de apoyo para estandarizar las características del queso Chihuahua, con una calidad única y aceptación reconocida.










texto en 


