Servicios Personalizados
Revista
Articulo
Indicadores
-
Citado por SciELO -
Accesos
Links relacionados
-
Similares en
SciELO
Compartir
Agrociencia
versión On-line ISSN 2521-9766versión impresa ISSN 1405-3195
Agrociencia vol.49 no.3 Texcoco abr./may. 2015
Ciencia animal
Frecuencia, morfología y concentración de progesterona in vitro de cuerpos lúteos cavitarios de ovejas
Frequency, morphology, and in vitro progesterone concentration of ewes cavitary corpus luteum
Cristina Tolentino-Castro, Leonor Miranda-Jiménez*, Adrián R. Quero-Carrillo, Nazario Pescador-Salas
Ganadería. Campus Montecillo. Colegio de Postgraduados. 56230. Montecillo, Estado de México, (cristina.tolentino@colpos.mx), * Autor responsable, (miranda_leonor@yahoo.com), (queroadrian@colpos.mx).
Recibido: agosto, 2014.
Aprobado: marzo, 2015.
Resumen
El cuerpo lúteo (CL) puede desarrollarse como una estructura compacta o cavitaria. Pero no se conoce si hay diferencias en las características morfofisiológicas entre los cuerpos lúteos compactos (CLsCom) y los cuerpos lúteos cavitarios (CLsCav), ni si estas características están determinadas por el tipo, ovejas de lana (OL) versus ovejas de pelo (OP). Por lo tanto, en este estudio ovarios de ovejas se recolectaron después del sacrificio, y se obtuvieron 81 cuerpos lúteos OL y 81 OP. El diseño experimental fue completamente al azar con un arreglo factorial 2x2 de tratamientos. Las variables evaluadas fueron frecuencia, morfología macroscópica y microscópica y producción de progesterona (P4) in vitro, en 0.1 g de tejido lúteo, con o sin adición de 350 UI de eCG. La frecuencia de CLsCav fue mayor (p≤0.05) en OP (50.6 %) que en OL (35.8 %). Los CLsCav tuvieron tamaño menor (p≤0.05) que los CLsCom. La concentración de P4 durante el cultivo tanto para CLsCav como para CLsCom de OL y OP, con y sin eCG, fue similar (p>0.05). Los CLsCav de OP tuvieron menos células por campo visual (19) y tamaño mayor (25 µm) que los CLsCom (25.6 y 15 µm; p≤0.05). Los OP tuvieron porcentaje mayor de CLsCav que los OL. El tamaño de los CLsCav fue menor que el de los CLCom y la producción de progesterona in vitro fue similar entre los CLsCav y los CLCom.
Palabras clave: Cuerpo lúteo, ovejas, progesterona.
Abstract
The corpus luteum (CL) may develop as a compact or cavitary structure. But it is unknown whether the morpho-physiological characteristics of compact corpora lutea (CLsCom) differ from that of cavitary corpora lutea (CLsCav), neither if these characteristics are determined by type, wool producing ewes (oveja de lana - OL) versus hair ewe (oveja de pelo - OP). Therefore, in our study ovaries were collected from sacrificed ewes and 81 corpora lutea were obtained from OL and 81 from OP. The experimental design was completely randomized with a 2x2 factorial arrangement of treatments. The variables evaluated were frequency, macroscopic and microscopic morphology, and production of progesterone (P4) in vitro, in 0.1 g luteum tissue, with or without addition of 350 IU of eCG. The frequency of CLsCav was higher (p≤0.05) in OP (50.6 %) than in OL (35.8 %). The CLsCav were smaller (p≤0.05) than the CLsCom. The P4 concentration in CLsCav and CLsCom of both types, with or without eCG, was similar (p>0.05) throughout culturing. The CLsCav from OP had fewer cells per visual field (19) and were larger (25 μm) than CLsCom cells (25.6 and 15 μm; p≤0.05). Hair ewes had a higher percentage of CLsCav than wool ewes. The CLsCav were smaller than the CLCom and in vitro progesterone production of the two types of CL was similar.
Key words: Corpus luteum, ewes, progesterone.
Introducción
El cuerpo lúteo (CL) es una glándula endócrina transitoria formada por las estructuras foliculares, después de la liberación del óvulo (Olivera et al., 2007; Stocco et al., 2007) y puede presentarse como estructura compacta o cavitaria (Kito et al., 1986; Kastelic et al., 1990; Perez-Marin, 2009). La cavidad en algunos CLs puede variar en tamaño, contener líquido en su interior, reducir su tamaño al avanzar el ciclo estral, y aún puede desaparecer por completo (Kito et al., 1986; Kastelic et al., 1990).
La presencia de cavidad reduce el área de tejido lúteo y con ello la cantidad de progesterona producida por cuerpos lúteos cavitarios (CLsCav) también podría reducirse. Sin embargo, en vacas (Kito et al., 1986; García y Salahdine, 2000), ovejas (González et al., 2000) y cabras (Hernández et al., 2003; Simões et al., 2005), el tamaño de la cavidad central y la disminución en el área de tejido lúteo no afectan la producción de progesterona y por lo tanto, tampoco la fertilidad, el porcentaje de concepción o la supervivencia embrionaria (Hernández et al., 2003).
En la literatura parece no estar documentado si la concentración de progesterona se mantiene sólo por el CL cavitario (CLsCav), o si los CL compactos (CLsCom) son un refuerzo para esta concentración. Además, en los estudios se usó observación sonográfica de la estructura y determinaciones sanguíneas de las concentraciones de progesterona; pero esta metodología podría no dilucidar la producción real de progesterona por CLsCav. Por tal motivo, el objetivo del presente estudio fue identificar la morfología, la frecuencia y la secreción de P4 in vitro, de cuerpos lúteos CLsCav y CLsCom, en ovejas de lana (OL) y ovejas de pelo (OP). La hipótesis fue que los CLsCav y los CLsCom difieren en frecuencia de presentación, características morfológicas y respuesta en secreción in vitro de P4 por la adición de eCG, entre OL y OP.
Materiales y Métodos
El estudio se realizó en el Laboratorio de Reproducción Animal del Colegio de Postgraduados, Campus Montecillo, ubicado en el km 36.5 de la carretera México-Texcoco, Montecillo, Texcoco, Estado de México. Para este fin, se recolectaron ovarios OL y OP de ovejas en mataderos oficiales ubicados en el municipio de Capuluac y Texcoco, Estado de México.
Recolección de material biológico
Los ovarios con CL se obtuvieron de manera directa de las canales, inmediatamente después del sacrificio de las ovejas. Para su transporte, los ovarios se colocaron en un contenedor con hielo y solución salina más antibiótico de amplio espectro (0.001 mg 10 mL-1). En el laboratorio los ovarios se lavaron, limpiaron de tejido diferente al ovario y se diseccionaron todos los CL. Para determinar la frecuencia de los CLsCav, se separaron 81 CL de OL y 81 CL de OP del resto de tejido ovárico y se seccionaron por la mitad con bisturí, clasificándolos por ausencia o presencia de cavidad, en CLsCom y CLsCav.
Morfología del CL
Las características de tamaño y forma se evaluaron en 76 CLsCav o CLsCom de OL y OP. Los CLs se pesaron con balanza analítica (Mettler HK 160, capacidad máxima 160 g). Con vernier y regla flexible se midió el perímetro mayor (considerando la medida al incluir las partes internas y extruida de la estructura), el perímetro menor (sólo la parte del CL interna al ovario), la longitud, la anchura y el grosor.
También se midió el tamaño de las células lúteas. Para esto, los CLs diseccionados y limpios se fijaron en paraformaldehido al 4 % por 18 h, se incluyeron en parafina, se tiñeron con hematoxilina eosina y se observaron en un microscopio compuesto (Axiom Optic 3005, Imagine Optic Inc., 1 Broadway, 14th floor, Cambridge, MA 02142, USA), con objetivo 40x. Las fotografías se tomaron con los objetivos 20X y 40X, y se estableció una escala en el objetivo para medición posterior.
Cuantificación hormonal
El cultivo de 0.1 g de tejido, de cada uno de 60 CLsCav y CLsCom, de ambos tipos de ovejas se usó para determinar la producción de P4 in vitro. En total, se colocaron 32 CLsCav y 28 CLsCom de ambos tipos de ovejas, en tubos de ensaye y se incubaron con 6 mL de medio de cultivo (Dulbeco's) más 0.001 mg 10 mL-1 antibiótico de amplio espectro (Rofloxacina). A 16 CLsCav y 14 CLsCom se adicionó eCG (Cuadro 1).

El cultivo se mantuvo 36 h a 37 °C, alícuotas de 1 mL del medio de cultivo en el tiempo 0 (al iniciar el cultivo), después de 15 min y 6, 12 y 36 h se conservaron a -20 °C hasta la evaluación de P4 mediante radioinmunoanálisis (RIA) de fase sólida. Para este análisis se usó el kit comercial de Siemens (EE.UU.) con sensibilidad de 0.08 ng mL-1 y coeficiente de variación intra e interensayo de 3.4 % y 7.8 %, respectivamente. Las muestras se analizaron en el Laboratorio de Hormonas Proteicas, del Departamento de Biología de la Reproducción, en el Instituto Nacional de Ciencias Médicas y Nutrición, Salvador Zubirán, México D. F.
Análisis de datos
La frecuencia de cuerpos lúteos compactos o cavitarios en OL y OPse analizó con estadística descriptiva. Para el tamaño, la forma y la producción de P4 in vitro el diseño experimental fue completamente al azar con arreglo factorial 2x2 de tratamientos: tipo de oveja (de lana y de pelo) y tipo CL (compacto y cavitario) como factores. Las medias de los tratamientos se compararon con la prueba de Tukey (p≤0.05). Las variables fueron el peso, el perímetro, la longitud, la anchura, el grosor, el largo de las células lúteas y la producción de progesterona, de los tiempos de cultivo.
Resultados y Discusión
La frecuencia en porcentaje, de CLsCom y de CLsCav de OL y OP mostró diferencias (p≤0.05). Para OL se obtuvieron 29 (35.8 %) CLsCav de los 81 CLs y 64.2 % de CLsCom. En OP se observó 50.6 % CLsCav y 49.4 % CLsCom. En OL la relación CLsCom:CLsCav fue 2:1, y en OP fue 1:1. Esto indica que la eficiencia reproductiva superior de los OP sobre los OL podría tener un componente basado en el tipo de CL, su morfología y eficiencia en secreción hormonal.
La frecuencia mayor de CLsCav en OP, respecto a la encontrada en OL, coincide con el 33.3 % de cavidades centrales en borregas Merino Español (Gonzalez de Bulnes et al. (2000). Hernández et al., 2003) reportan 48 % de CLsCav en cabras. Ambos estudios fueron realizados con ultrasonigrafía transrectal. Las variaciones entre estos estudios y el nuestro pueden deberse a la especie, tipo, etapa del ciclo estral y técnica de evaluación. Al respecto, Simões et al. (2005) indican que la técnica de ultrasonografía es menos precisa cuando se compara con técnicas directas. Es conveniente señalar que en nuestra investigación la observación fue directa y los resultados son similares a los de los otros estudios. En bovinos Kito et al. (1986) reportan 37.2 % CLsCav y Garcia y Salaheddine (2000) 41 %; en ambos estudios la evaluación se realizó mediante ultrasonido. Los datos en bovinos muestran variabilidad similar que en rumiantes pequeños. Por lo tanto, las técnicas directas no son más precisas que las indirectas y la variabilidad en frecuencia reportada para CLsCav se debe a otros factores, especie o tipo, como en el presente estudio.
Los CLsCav tuvieron tamaño menor (p≤0.05) respecto a CLsCom (Cuadro 2 y 3). Además, los CLs de OP fueron pequeños sin importar si eran cavitarios o compactos en comparación con los CLs de OL. Así, estos resultados indican que el tamaño del CL depende del tipo de CLs y del tipo de oveja.
La concentración promedio de P4, por unidad de tejido, durante el cultivo, tanto para CLsCav como para CLsCom de OL y OP, con y sin aplicación de eCG, no fue diferente (p>0.05; Cuadro 4). Esto es un indicador de posible actividad compensatoria en los CLsCav. Sin embargo la concentración de P4 sí fue influenciada por el tiempo de cultivo (p≤0.05): al inicio y después de 6 h fue mínima y a las 24 h fue máxima en OP. En contraste, OL presentaron producción máxima de esta hormona a las 12 h (Figura 1). Estos resultados muestran diferencias en concentración máxima de progesterona in vitro influenciada por el tipo de oveja.
La producción de P4 no difiere por tipo de CL. En contraste, Garcia y Salaheddine (2000) reportan que el tamaño de la cavidad localizada en el cuerpo lúteo sí influye en el mantenimiento de la gestación en hembras bovinas. Si el mantenimiento de la gestación depende por completo de la concentración de P4 secretada por el CL, los resultados de nuestro estudio difieren de los de Garcia y Salaheddine (2000), aunque el objetivo de nuestro estudio no fue constatar dicha alteración en ovejas.
La falta de progesterona debida al tipo de cuerpo lúteo coincidió con lo reportado por Kito et al. (1986) en vacas, pues indica que los CLsCav contenían tejido lúteo mayor y secreción mayor de P4, en comparación con CLs compactos. Pero, lo anterior se relaciona con patologías, como la presencia de quistes luteínicos (Foley, 1995).
En nuestro estudio, la concentración de P4 según el tipo de oveja indicó que los OP produjeron más P4, a pesar de ser pequeños, respecto a OL (p≤0.05). La producción mayor de P4 in vitro se registró en el cultivo después de 12 h en OL, y después de 24 h en OP.
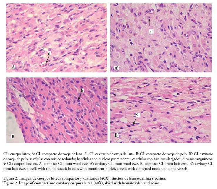
Para determinar si la diferencia en concentración de P4 se debía a alteraciones en el tejido lúteo, se obtuvieron preparaciones histológicas de CLCav y CLsCom de OL y OP teñidas con hematoxilina-eosina. En ellas se observó que los CLsCav de OP contenían número promedio menor de células por campo visual (40x; 19 células) y éstas tuvieron tamaño mayor (25 μm); mientras que el número y tamaño celular de CLsCom fue de 25.6 y 15 μm (p≤0.05; Figura 2). Sin embargo, la concentración de P4 al inicio y durante el cultivo no fue diferente respecto al tipo de CL (p>0.05). Lo anterior puede deberse a que CLsCav, a pesar de tener masa menor, sufrieron cambios celulares que incluyeron el tamaño (hipertrofia) y eficiencia productiva mayor de P4, lo cual compensó la falta de tejido y promovió la eficiencia en la adquisición de mayor cantidad de elementos involucrados en la síntesis de P4.
Estudios histológicos en vacas no muestran diferencias en el tamaño celular, pero sí en la producción de P4 (Okuda et al., 1988), aunque P4 no fue evaluada en condiciones de cultivo, como en nuestra investigación. El número reducido de células en CLs cavitarios por campo visual obtenido en nuestro estudio difiere del resultado de Grygar et al. (1997), quienes reportan que el área de tejido lúteo en CLs cavitarios de vacas fue mayor. Si se considera que un área mayor de tejido puede corresponder al número mayor de células y producción de P4, los resultados serían contrarios con lo documentado en nuestro estudio.
Conclusiones
La frecuencia de los CLsCav varió en relación al tipo de oveja y fueron más frecuentes en ovejas de pelo que en ovejas de lana. Además, sin importar el tipo de oveja, el tamaño de los CLsCav fue menor en comparación con los CLCom. La producción de progesterona in vitro fue similar entre los CLsCav y los CLCom.
Literatura Citada
Foley, G. L. 1996. Pathology of the corpus luteum of cows. Theriogenology 45:1413-1428. [ Links ]
García, A., and M. Salaheddine. 2000. Ultrasonic morphology of the corpus lutea and central luteal cavities during selection of recipients for embryo transfer. Reprod. Dom. Anim. 35: 113118. [ Links ]
González de Bulnes, A., J. M. Santiago, B. A. Gómez, and S. A. López. 2000. Relationship between ultrasonographic assessment of the corpus luteum and plasma progesterone concentration during the oestrous cycle in monovular ewes. Reprod. Dom. Anim. 35: 65-68. [ Links ]
Grygar, I., E. Kudlac, R. Dolezel, and J. Nedbalkova. 1997. Volume of luteal tissue and concentration of serum progesterone in cows bearing homogeneous corpus luteum or corpus luteum with cavity. Anim. Reprod. Sci. 49: 77-82. [ Links ]
Hernández C .J., Y. M. Dominguez, J. A. Rodríguez García, y C.G. Gutiérrez. 2003. Frecuencia de cuerpos lúteos cavitarios y su relación con la fertilidad en cabras. Arch. Zootec. 52: 389-392. [ Links ]
Kastelic, J. R., R. A. Pierson, and O. J. Ginther. 1990. Ultrasonic morphology of corpora lutea and central cavitites during the estrous cycle and early pregnancy in heifers. Theriogenology 34: 487-498. [ Links ]
Kito, S., K. Okuda, K. Miyazawa, and K. Sato. 1986. Study on the appearance of the cavity in the corpus luteum of cows by using ultrasonic scanning. Theriogenology 25:325- 333. [ Links ]
Stocco, C., C. Telleria, and G. Gibori. 2007. The molecular control of corpus luteum formation, function, and regression. Endocr. Rev. 28: 117149. [ Links ]
Olivera A. M., A. M. Tarazona, T. C Ruíz, y C. E. M. Giraldo. 2007. Vías implicadas en la luteólisis bovina. Rev. Col. Cienc. Pec. 20: 387-393. [ Links ]
Okuda, K., S. Kito, N. Sumi, and K. Sato. 1988. A study of the central cavity in the bovine corpus luteum. Vet. Record 123: 180-183. [ Links ]
Perez-Marin, C. 2009. Formation of corpora lutea and central luteal cavities and their relationship with plasma progesterone levels and other metabolic parameters in dairy cattle. Reprod. Dom. Anim. 44: 384389. [ Links ]
Simões, J., J. Potes, J. Azevedo, J. C. Almeida, P. Fontes, G. Baril, and R. Mascarenhas. 2005. Morphometry of ovarian structures by transrectal ultrasonography in Serrana goats. Anim. Reprod. Sci. 85: 263-373. [ Links ]













