Introducción
El bazo errante o ptósico es una anomalía anatómica caracterizada por la migración del bazo a cualquier sitio de la cavidad abdominal, secundario a laxitud de los ligamentos que lo fijan, lo que condiciona hipermovilidad e incluso torsión del pedículo esplénico.1 Con apenas 500 casos descritos alrededor del mundo, tiene una tasa de incidencia menor a 0.2%, con predominio en el sexo femenino y presentación de síntomas entre los 20 y 40 años de edad.2
Esta anomalía puede presentar patologías intrínsecas al órgano como los tumores quísticos. Se clasifican en parasitarios y no parasitarios, estos últimos se dividen en quistes verdaderos; con revestimiento trabeculado epitelial epidermoide, transicional o mesotelial, y pseudoquiste, cuando carecen de él.3 Los quistes verdaderos son causados por un defecto en la migración mesotelial causando atrapamiento del mesotelio peritoneal en los surcos esplénicos. Las células epiteliales suelen ser positivas para CA 19-9 y antígeno carcinoembrionario, pudiendo elevar estos marcadores de manera sérica, sin representar potencial de malignidad, observándose un revestimiento liso de color blanco o gris y contenido líquido de características variables. Suelen ser asintomáticos, a excepción de quistes grandes que producen sintomatología por compresión a órganos adyacentes.3
Presentación del caso
Se trata de paciente femenino de 16 años, sin antecedentes patológicos, quirúrgicos ni traumáticos, valorada por el Servicio de Ginecología por presentar aumento de volumen abdominal a nivel de cuadrante inferior izquierdo de seis meses de evolución, asociado con dolor crónico intermitente de un mes de evolución sin relación al ciclo hormonal.
A la exploración física se logra palpar tumor delimitado, móvil, de aproximadamente 9 × 8 cm en cuadrante inferior izquierdo, sin datos de irritación peritoneal, se complementa abordaje con laboratorios en los que se reporta biometría hemática y química sanguínea dentro de parámetros normales, Ca-125 17 U/ml, tomografía abdominopélvica que reporta imagen compleja dependiente de ovario izquierdo (Figuras 1 y 2). Se decide realizar laparotomía exploradora electiva, donde se encuentra presencia de bazo errante a nivel pélvico con quiste de 9 × 9 cm (Figuras 3 a 5), se realiza evisceración de bazo y drenaje de quiste, obteniendo 480 cm3 de contenido cetrino. Se solicita apoyo transoperatorio al Servicio de Cirugía General para la realización de esplenectomía, la cual se lleva a cabo con éxito. Útero, Anexos y resto de vísceras sin alteraciones. Evolución postoperatoria adecuada, con egreso a las 24 horas de su ingreso, continuando con protocolo de paciente postesplenectomizado por externo.

Figura 1: Tomografía abdominopélvica contrastada de cortes axiales. A) Ausencia de bazo en cuadrante superior izquierdo. B) Corte axial a nivel umbilical donde se reporta como imagen ovalada dependiente de Anexo izquierdo, desplazando útero y asas intestinales, con componente sólido (asterisco rojo) y quístico que muestra reforzamiento a la aplicación de medio de contraste, componente sólido de 121 × 43 × 90 cm y componente quístico de 90 × 90 × 91 mm (se puede observar imagen correspondiente a bazo por características anatómicas con presencia de un quiste). C y D) Se observa componente quístico (asterisco azul) que se encuentra en hueco pélvico.

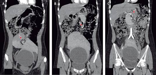
Figura 2: Tomografía abdominopélvica contrastada en la cual podemos realizar seguimiento de arteria esplénica hasta su origen en el tronco celíaco. Diferentes cortes en donde se muestra con flecha roja el seguimiento de la arteria esplénica.

Figura 3: Se observa bazo errante posterior a drenaje de quiste a través de incisión de Pfannenstiel.
En el reporte histopatológico se describe bazo de 15 × 6 × 5 cm con quiste epidermoide (epitelio escamoso estratificado no queratinizante) de 8 cm con superficie interna trabeculada (Figura 6).

Figura 6: A) Espécimen de esplenectomía de 15 x 6 x 5 cm, peso de 167.5 gramos, con formación quística en un extremo de 8 cm de diámetro con superficie interna trabeculada. B-C) Formación quística con una cápsula fibrosa gruesa y una superficie interna tapizada por epitelio escamoso estratificado no queratinizante sin atipia. El parénquima presenta una pulpa roja con sinusoides con cambios por lisis. Pulpa blanca formada por folículos linfoides secundarios sin atipia.
Discusión
El bazo errante no tiene etiología clara, existen factores congénitos, como anormalidades en el desarrollo del mesogastrio dorsal que causa ausencia o malformación de los ligamentos esplénicos, y factores adquiridos, como esplenomegalia, factores hormonales por embarazo, debilidad de la pared abdominal e incluso causas infecciosas.4
El cuadro clínico cuando se presenta sintomático suele ser inespecífico, por lo que los estudios imagenológicos juegan un importante papel en el diagnóstico y de sus complicaciones. La tomografía abdominal contrastada es considerada el mejor estudio, aunque también pudiera ser útil el ultrasonido de abdomen. A menudo se identifica por su forma característica de “coma”, sin observar el bazo en el cuadrante superior izquierdo; seguir el trayecto de los vasos esplénicos puede ayudar a identificar correctamente el bazo errante (Figuras 2 y 7).2

Figura 7: Tomografía abdominopélvica contrastada en reconstrucción 3D, se observa el trayecto de la arteria esplénica.
La presentación puede ser variable desde un hallazgo incidental, un tumor abdominal, abdomen agudo, incluso simular otras patologías,5 como en nuestro caso, el cual fue reportado erróneamente como tumor anexial. Entre las complicaciones se puede presentar torsión del pedículo vascular esplénico, lo cual puede provocar un infarto esplénico y/o trombosis de la vena esplénica, y dentro de las complicaciones más raras se ha descrito obstrucción intestinal por compresión, trombosis venosa portal, vólvulo gástrico e incluso asociación con vólvulo de cola de páncreas.4,5
El tratamiento recomendado ha cambiado con el tiempo, si se encuentra un bazo errante de manera intraoperatoria, se tiene la opción de realizar esplenectomía o esplenopexia. En los últimos años, lo recomendado era realizar esplenectomía, pero el creciente conocimiento del papel de la función del bazo y los riesgos de realizar esplenectomía, ha hecho que se recomiende destorsión y esplenopexia como opción terapéutica, cuando no exista evidencia de infarto, trombosis o hiperesplenismo.5,6
Dada a la baja incidencia de los quistes esplénicos, la literatura disponible se compone de series de casos con poca evidencia de alta calidad sobre el tratamiento óptimo, actualmente se establece dependiendo su etiología, presentación y tamaño del quiste.
Se ha indicado el manejo quirúrgico debido a la posibilidad de presentar complicaciones, como ruptura, hemoperitoneo, peritonitis química o formación de abscesos. Se reporta un riesgo de ruptura de 25%.3,7 Con base en este riesgo, anteriormente se recomendaba manejo conservador mediante observación a los quistes asintomáticos de menos de 5 cm, y manejo quirúrgico en quistes mayores de 5 cm o que presenten sintomatología.3 Sin embargo, en un estudio retrospectivo realizado en 115 pacientes, observaron que existe una baja tasa de complicaciones (1/115) relacionada con los quistes esplénicos, y que no existe evidencia que respalde un límite de 5 cm, por lo que sugieren que el tamaño del quiste no se utilice como criterio de manejo quirúrgico, y que éste se reserve para quistes sintomáticos independientemente de su tamaño.7
Se sabe que la aspiración percutánea de quistes sintomáticos tiene una tasa alta de recurrencia y la esplenectomía total, abierta o laparoscópica evita la recidiva de la lesión, pero con el riesgo de complicaciones por alteración en la función inmunológica, por lo que la tendencia actual es un manejo preservador de tejido, mediante esplenectomía parcial, marsupialización del quiste o fenestración del quiste.3,7
En el caso presentado se asociaron dos patologías poco frecuentes, quiste esplénico con bazo errante; un quiste de más de 5 cm, que causaba sintomatología por compresión, siendo lo ideal en esta circunstancia realizar una esplenectomía total.
Conclusiones
Al ser una entidad poco frecuente y de difícil diagnóstico clínico, el diagnóstico por imagen, principalmente tomografía computarizada, es de suma importancia, considerando variantes anatómicas, así como una adecuada relación clínica e imagenológica. Además, los cirujanos deben estar familiarizados con los procedimientos quirúrgicos conservadores de bazo y siempre que sea posible preservar el bazo dejando la esplenectomía total cuando exista complicaciones o riesgo en el resultado del procedimiento.
En caso de presentar complicaciones, el diagnóstico precoz y una atención quirúrgica son la mejor garantía para preservar el bazo.










nueva página del texto (beta)




