Introducción
El síndrome de Mirizzi (SM) y el cáncer de vesícula biliar (CAVB) son complicaciones poco frecuentes de la litiasis vesicular (LV), su asociación es poco entendida. Se reconoce al SM como un factor de riesgo mayor para el desarrollo de CAVB.1 El diagnóstico preoperatorio suele sospecharse en pacientes con ictericia, mayores y con síntomas atípicos. La colangiorresonancia magnética es el estudio de elección ante estos casos, pues valora el origen de la ictericia; la asociación a obstrucción-fistulización no sólo delimita las características de la vía biliar, sino la extensión de la enfermedad en caso de CAVB.2
El diagnóstico intraoperatorio es poco frecuente presentándose en menos de 0.5% de los casos. Es importante conocer el estadiaje de la enfermedad maligna, ya sea de manera pre o posoperatoria, pues ayuda a conocer el tratamiento quirúrgico y la necesidad de un tratamiento sistémico.2,3
El pronóstico es malo, con supervivencia menor a 18 meses, la mayoría de los diagnósticos se realizan en el examen histopatológico posoperatorio, la mayor parte de los pacientes son candidatos a reintervención para completar una colecistectomía extendida con disección ganglionar o incluso una hepatectomía de los lóbulos IV/V.4,5
Presentación del caso
Masculino de 64 años, quien inicia su padecimiento con ictericia, negando otra sintomatología, llama la atención que se manifesta durante al menos tres días previos a su llegada a urgencias, su exploración física sin alteraciones, los laboratorios revelan una bilirrubina total de 25 mg/dl, bilirrubina directa de 22 mg/dl, fosfatasa alcalina 235 UI/l, gamma-glutamil transferasa 157 UI/l, creatinina 2.5 mg/dl, el resto de los laboratorios normales, se le realiza un ultrasonido de abdomen que reporta vesícula biliar mal definida, y dilatación de la vía biliar de 19 mm (Figura 1), se observa lito en colédoco de alrededor de 12 mm. Se integra el diagnóstico de coledocolitiasis, no obstante, se solicitan marcadores tumorales, con reporte de CA 19-9 de +8,000 UI; se solicita colangiorresonancia, la cual evidencia dilatación de vía biliar (vb) de 20 mm, lito de 16 mm a nivel del ámpula, no se reporta morfología de la vesícula biliar (VB), paciente candidato a colangiopancreatografía retrógrada endoscópica (CPRE) según el servicio de Gastroenterología. Se le realiza CPRE sin poder extraer lito, se programa para colecistectomía con exploración de vía biliar, el transoperatorio revela biliperitoneo, lisis de VB, fístula colecistocoledociana (Figura 2), litio único de 15 mm, se coloca sonda T, no se cuenta con servicio de cirugía hepatopancreatobiliar, por lo que no se realiza reparación definitiva, colangiografía transoperatoria revela paso de material de contraste a duodeno, sin fugas aparentes por orificio fistuloso (Figura 3), evolución posoperatoria favorable, el drenaje por sonda T en promedio 500 ml por día con disminución progresiva, con mejoría de hiperazoemia, con flujo urinario mayor a 0.5 ml/kg/h, colangiografía posoperatoria sin fugas, paso de medio de contraste a duodeno, reporte de patología revela adenocarcinoma de vesícula moderadamente diferenciado con infiltración a muscular (Figura 4). El paciente rechaza tratamiento médico y decide egreso voluntario, comprende y acepta los riesgos, no contamos con seguimiento a largo plazo.

Figura 2: Se observa el cuello pinzado y el orificio fistuloso en el conducto hepático común, además puede observarse la ausencia de vesícula biliar, dicho remanente se envió a patología.

Figura 3: Colangiografía transoperatoria que revela paso de material desde ambos conductos hepáticos hacia duodeno (pliegues semicirculares). Se observa fuga, la cual se manejó con drenaje aspirativo blando.
Discusión
Mencionado por primera vez en 1905 por Kehr, en 1908 por Ruge y posteriormente en 1948 por Pablo Mirizzi, quien describió una compresión externa del conducto hepático (CH) o del colédoco en el contexto de un lito impactado en el cuello de la VB o el conducto cístico (CC).1
El síndrome de Mirizzi (SM) y el cáncer de vesícula biliar (CAVB) se presentan en 4 y 1% de los casos de LV no complicada. Hasta 5% de los casos de SM se asocian a CAVB.5
Los factores de riesgo conocidos para CAVB son: LV, edad mayor a 50 años, SM, colecistitis xantogranulomatosa.1
Definido como una compresión de la vía biliar común (VBC) o del conducto hepático (CH), con o sin algún grado de fístula colecistobiliar, en algunos casos colecistoentérica, el cual resulta de una impactación de cálculos en la bolsa de Hartmann (BH) o el CC.6
En nuestro servicio hemos reportado casos de síndrome de Mirizzi con fístula colecistoentérica, sin embargo, no existen reportes de patología que demuestren malignidad en algún otro caso reportado de SM.
La LV es una condición clave, ya que conduce a una inflamación crónica con las subsecuentes alteraciones de la pared vesicular y de las estructuras circundantes como el triángulo de Calot, ligamento hepatoduodenal e incluso pared intestinal; el edema, adherencias, fibrosis perforación-fistulización son los eventos claves en el desarrollo de SM, coledocolitiasis, íleo biliar por fístula colecistoentérica y CAVB.
El cuadro clínico es producto de la evolución tórpida (compresión-fistulización, inflamación aguda, remisión incompleta, inflamación crónica, displasia) a la vez de las manifestaciones (Tabla 1), los hallazgos en laboratorios, imagenología, transoperatorios y el grado de complejidad en el tratamiento (como el riesgo subsecuente de derivación de la vía biliar [DVB]) como la colecistectomía subtotal, resección hepática y/o derivación temporal de la vía biliar.
Tabla 1: Datos asociados con síndrome de Mirizzi-cáncer de vesícula biliar.
| % | |
|---|---|
| Dolor | 67-100 |
| Ictericia | 45-87 |
| Náusea-vómito | 31-62 |
| Fiebre | 21-42 |
| Anorexia | 11-29 |
| Asintomáticos | 17 |
En este caso destacó la súbita aparición de la ictericia, que en inicio nos hizo pensar en colangiocarcinoma o cáncer pancreático, nos llamó la atención que no se logró visualizar la vesícula biliar, así como la ausencia de síntomas previos.
Al hablar de SM existen múltiples clasificaciones, la de Cortelle de 1975, por ejemplo, o la de McSherry de 1982. La clasificación de Csendes (1989) es una modificación de la de McSherry, los divide en cuatro estadios: tipo 1 obstrucción de la VBC, tipo 2, 3 y 4 con algún grado de fístula colecistocoledociana. Beltrán (2008) agrega una quinta categoría para fístulas bilioentéricas y a la vez subdivide dicha situación en Va y Vb (esta última complicada con íleo biliar).7
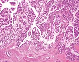
Por otro lado, el CAVB es el cáncer más frecuente de la vía biliar, 80% con respecto al colangiocarcinoma, se encuentra de manera más común en fundus (60%), cuerpo (30%) y cuello (10%), el tipo histológico más frecuente es el adenocarcinoma, se considera invasor al sobrepasar la muscularis propia, es decir, los estadios T1a (Figura 4); es frecuente encontrar casos con perforación del peritoneo visceral e invasión a órganos adyacentes, sin embargo, el diagnóstico intraoperatorio y tratamiento radical sólo se realiza en menos de 1% de los casos.8-10
Normalmente es necesario realizar pruebas de laboratorio como biometría hemática, proteína C reactiva (PCR), alanina aminotransferasa (ALT), aspartato aminotransferasa (AST), bilirrubina directa, fosfatasa alcalina (FA), gamma-glutamil transpeptidasa, ninguno de ellos específico o lo suficientemente sensible para predecir el grado de complicación o discriminar entre las mismas.
Aunque no es diagnóstico, el CA 19-9 (carbonic anhydrase 19-9), con una especificidad de 90% y sensibilidad de 50%, suele elevarse en casos de SM; sin embargo, éste se ha encontrado elevado en la mayoría de los casos de SM asociados a CAVB (por encima de 1,000 UI/ml).11,12
Decidimos realizar el estudio del CA 19-9, ya que la presencia de coledocolitiasis nos llevaba a pensar en una LV asintomática, la valoración de cirugía oncológica y gastroenterología sugieren continuar el protocolo diagnóstico. En raras ocasiones el CA 19-9 se puede elevar en patología benigna como adenomiosis.13,14
El diagnóstico preoperatorio es difícil en general, éste suele sospecharse en pacientes mayores con dolor en hipocondrio derecho y síntomas atípicos. El ultrasonido es poco sensible para detectar hallazgos, pues posee una precisión tan baja como 11% en algunas series reportadas. Algunos autores mencionan datos sugestivos para SM: VB atrófica, dilatación del CH con VBC de calibre normal (92%). Otros datos indirectos son: dilatación de la VBC mayor a 7 milímetros, con o sin lito mayor a 10 mm en VBC, neumobilia, lito enclavado en Hartmann.7
En caso de CAVB, las calcificaciones invasión luminal, pérdida de la interfase hígado-vesícula, infiltración hepática directa, pared irregular, pólipo vesicular mayor a 10 mm, son los hallazgos conocidos.3 El ultrasonido carece de utilidad para valorar el estadio, es decir, la extensión de la enfermedad.
La sola presencia de litos, independientemente del episodio, hace más probable encontrar como causa de la ictericia la coledocolitiasis sintomática como complicación. Con una precisión diagnóstica de hasta 90% preoperativamente (superior a la CPRE), delinea características típicas del síndrome como: lito en CH o VBC con dilatación del CH y presencia o ausencia de dilatación de la VBC (dependiendo de su localización). En el caso de CAVB, éste tiende a baja captación de señal en T2. Se valora la extensión hepática, involucro vascular (arteria hepática y vena porta), extensión linfática.2
En nuestro servicio decidimos realizar de inicio la colangiorresonancia, ya que se considera dentro de los estudios de imagen en sospecha de coledocolitiasis, según la Asociación Americana de Gastroenterología y Endoscopia, llama la atención que el paciente no presenta líquido libre o colecciones en la vesícula biliar.
El tratamiento quirúrgico de ambas situaciones puede darse por cirugía de mínima invasión, no obstante, es reconocido que la complejidad de dichos casos favorezca la conversión a cirugía convencional.
El estándar de oro sigue siendo la cirugía de resección tumoral, se considera curativa en los estadios iniciales de la enfermedad.
El SM tipo I y el CAVB no invasor (Tis, T1) comparten el mismo tratamiento: la colecistectomía. Para el primero, el riesgo de DVB aumenta con el tipo de adherencias que haya entre la VB y el cáncer de la vía biliar (VBC).
En casos avanzados, se comparte el mismo tratamiento, la resección hepática con o sin derivación bilioentérica, incluso en sus estadios más avanzados.15 En ambos casos el manejo es multidisciplinario, es importante determinar la conducta a seguir según sea el diagnóstico, ya sea pre, trans y posoperatorio, la extensión de la enfermedad y la necesidad de operación y tratamiento sistémico pre o posoperatorio.4,5
El servicio de Cirugía Oncológica sugirió realizar reintervención para completar tratamiento radical, así como determinar la extensión de la enfermedad, ya que el hallazgo intraoperatorio arrojó una enfermedad no avanzada; sin embargo, el paciente rechazó continuar el tratamiento.
El pronóstico en ambos casos es malo, con deterioro de la calidad de vida, la supervivencia en CAVB los estadios con invasión es menor a 18 meses.
Conclusiones
El síndrome de Mirizzi y el cáncer de vesícula biliar son entidades poco frecuentes, ambas asociadas a la litiasis vesicular, su coexistencia es un evento aún menos común, aunque el diagnóstico preoperatorio de ambos es difícil, el cirujano general siempre debe estar atento a los hallazgos sugestivos de ambos, que nos obligan a realizar procedimientos más radicales de fuga que permitan al paciente ser valorado en un centro de alta especialidad.










nueva página del texto (beta)




