Introducción
La primera descripción de la dilatación quística del árbol biliar se atribuyó a Vater en 1720, de manera posterior, varios reportes han referido casos de pacientes con la tríada de ictericia, dolor y masa abdominal sugestivos de lesiones quísticas de la vía biliar.1
Los quistes de colédoco tienen una incidencia en países occidentales de 1:13,500 y en población asiática de 1:1,000, siendo el tipo IV el más frecuente en adultos.2 Además, se sugiere que la prevalencia en mujeres tanto occidentales como orientales es de 4:1.1
De acuerdo a la literatura, la teoría más aceptada respecto a la etiología es la presencia de una unión pancreatobiliar anómala que permite el reflujo y un consecuente incremento de la presión que ocasiona dilatación, inflamación por activación de enzimas pancreáticas, colestasis biliar y daño epitelial.3
Las manifestaciones clínicas varían entre adultos e infantes y aunque la mayoría de los casos de quistes de colédoco se diagnostican durante la infancia, 25% se descubren en la adultez. El dolor abdominal, la masa abdominal palpable y la ictericia, también conocida como la tríada clásica del quiste de colédoco, se encuentran en sólo 20% de los casos. Los adultos con frecuencia presentan sintomatología inespecífica como dolor abdominal en cuadrante superior derecho, ictericia, náuseas, vómitos y fiebre.4
El diagnóstico se lleva a cabo con base en una serie de estudios, entre los cuales se destacan: citología hemática, electrólitos, pruebas de función hepática, Índice Internacional Normalizado (INR), incluso marcadores tumorales. Además, el uso de ultrasonido abdominal (USG) permite la visualización de estructuras hepáticas y pancreáticas. Sin embargo, la colangiopancreatografía retrógrada endoscópica (CPRE) así como la colangioresonancia magnética (CR-M) se han convertido en el gold standard para su adecuado diagnóstico y clasificación.5,6
Durante el año de 1959 Alonso-LEJ y colaboradores atribuyeron el término de quiste de colédoco y los clasificaron en tres tipos, entre los cuales se destacan: dilataciones quísticas congénitas, divertículo congénito del hepático común (HC) y coledococele congénito.5
De forma posterior Todani y asociados añadieron en 1977 dos tipos más y varios subtipos a la clasificación, siendo actualizada por los mismos autores en 1997 y en 2003.7,8 La más reciente clasificación de Todani subdivide al tipo I siendo ésta la más frecuente (> 90%); la variación IA involucra la dilatación de todo la vía biliar extrahepática, a diferencia del tipo IB que incluye la dilatación de un segmento del colédoco por debajo de la implantación del cístico y el tipo IC comprende una dilatación fusiforme o cilíndrica de toda la vía biliar común extrahepática.7,8 Por último el subtipo ID fue propuesto y añadido a la clasificación de Todani modificada en 2008 por Calvo-Ponce y colegas, la cual es una dilatación segmentaria por arriba del cístico y la bifurcación de los hepáticos (Figura 1).9

Figura 1: Subclasificaciones del quiste de colédoco tipo I Todani modificada. Subclasificaciones del quiste de colédoco tipo I : (IA) Dilatación quística involucra a todo el sistema biliar extrahepático, (IB) sólo involucra a una porción del conducto biliar extrahepático, (IC) expansión en forma de huso de la totalidad de los conductos biliares extrahepáticos, junto con el ensanchamiento de los conductos intrahepáticos, (ID) dilatación fusiforme extrahepática en la confluencia biliar, con un árbol biliar intrahepático no dilatado y no hay una mala unión pancreatobiliar.2
En el tipo II hay presencia de divertículos en todo el conducto extrahepático, el tipo III es un coledococele, el tipo IVA tiene presencia de múltiples quistes en la vía biliar intra y extrahepática. En el tipo IVB hay presencia de múltiples dilataciones quísticas de la vía biliar extrahepática. El tipo V (enfermedad de Caroli) involucra dilatación de uno o varios segmentos de los conductos intrahepáticos (Figura 2).5,10

Figura 2: Clasificación de Todani modificada: (I) Se subclasifica de cuatro maneras mencionadas en la Figura 1, (II) corresponde a un saco diverticular en el colédoco, (III) también denominado coledococele, consiste en una dilatación intramural del segmento distal del conducto biliar común, (IVA) consiste en una dilatación de los conductos biliares tanto dentro como fuera del hígado, (IVB) exclusivamente los conductos biliares extrahepáticos muestran expansión en distintos puntos, (V) existencia de dilataciones únicas o múltiples que se encuentran limitadas a los conductos biliares dentro del hígado, también denominada enfermedad de Caroli.2
En 2004, Visser y asociados propusieron una modificación y distinguieron las siguientes denominaciones: quiste de colédoco, divertículo de colédoco y la enfermedad de Caroli.
En 2011, Michaelides y colaboradores reportaron y propusieron una nueva variante denominada tipo ID, en ésta nueva variante, además de la dilatación del HC, hay una dilatación de la porción central del conducto cístico dando una configuración bicorne al quiste.2
El tratamiento de elección es la resección quirúrgica, evitando el drenaje del quiste o la resección incompleta sobre todo de la mucosa del segmento de la vía biliar afectada, con la finalidad de prevenir una displasia y una degeneración maligna postoperatoria,11 puesto que los quistes de colédoco son lesiones precancerosas con una tasa de malignidad que oscila entre 2.5 y 28% y aumenta con la edad.2
Presentación del caso
Mujer de 36 años, originaria del estado de Hidalgo, México; sometida a una operación en el servicio de cirugía general del Hospital Civil de Guadalajara Fray Antonio Alcalde (HCGFAA) en Jalisco, México, el 28 de noviembre de 2022, debido a la presencia de un quiste de colédoco tipo IVA de acuerdo a la clasificación modificada de Todani (QC-IVA-Todani-modificada) con una evolución de dos meses caracterizada por dolor abdominal epigástrico, saciedad temprana, anorexia, sin náuseas, vómitos, fiebre o ictericia.
En su localidad de origen se le realizó una ecografía hepática y de vías biliares (EHVB), interpretando la presencia de un quiste hepático. Después, en Pachuca, Hidalgo, se llevó a cabo una CR-M, la cual confirmó el diagnóstico de quiste de colédoco por parte del cirujano general, quien la remitió al HCGFAA por falta de recursos. Se realizaron análisis de laboratorio (Tabla 1) y se llevó a cabo una nueva CR-M (Figuras 3 y 4) que mostró un QC-IVA-Todani-modificada (Figura 2).
Tabla 1: Exámenes de laboratorio pre-postquirúrgicos y seguimiento a seis meses.
| Exámenes de laboratorio | Prequirúrgicos | Postquirúrgicos | Seguimiento a seis meses |
|---|---|---|---|
| Biometría hemática | Hemoglobina: 14.3 gr/dl Plaquetas: 185.000 mm3 Leucocitos: 5.3 Neutrófilos: 2.7 |
Hemoglobina: 16.6 gr/dl Plaquetas: 174.000 mm3 Leucocitos: 20.5 Neutrófilos: 18.5 |
Hemoglobina: 13.6 gr/dl Plaquetas: 130.000 mm3 Leucocitos: 7.0 Neutrófilos: 62% Htc: 41.8% VCM: 91 FI CHCM: 31 pg Linfocitos: 32% Monocitos: 3% Basófilos: 0% Eo: 3% Segmentados: 62% Bandas: 0% |
| Química sanguínea | Glucosa: 95 mg/dl Urea: 13 mg/dl Creatinina: 0.58 mg/dl |
Glucosa: 75 mg/dl Urea: 23 mg/dl Creatinina: 0.51 mg/dl |
Glucosa: 102 mg/dl Urea: 29 mg/dl Creatinina: 0.78 mg/dl |
| Pruebas de función hepática | GGT: 23 U/L AST: 20 U/L ALT: 16 U/L BT: 0.28 mg/dl BD: 0.04 mg/dl BI: 0.24 mg/dl |
GGT: 194 U/L AST: 19 U/L ALT: 29 U/L BT: 0.54 mg/dl BD: 0.17 mg/dl BI: 0.37 mg/dl |
GGT: 24 U/L AST: 30 U/L ALT: 25 U/L BT: 0.50 mg/dl BD: 0.20 mg/dl BI: 0.30 mg/dl |
ALT = alanina aminotransferasa. AST = aspartato aminotransferasa. BD = bilirrubina directa. BI = bilirrubina indirecta. BT = bilirrubina total. CHCM = concentración de hemoglobina corpuscular media. Eo = eosinofilos. GGT = gamma-glutamil transpeptidasa. HCT = hematocrito. VCM = volumen corpuscular medio.

Figura 3: Colangiografía por resonancia magnética. Corte coronal de colangioresonancia magnética; (1) quiste de colédoco (70 mm) con zonas intercaladas de estenosis y dilatación intrahepática añadida que lo cataloga como tipo IVA. (2) Vesícula biliar de tamaño normal, pared delgada.

Figura 4: Colangiografía por resonancia magnética. Reconstrucción 3D de colangioresonancia magnética: ensanchamiento de colédoco de hasta 70 mm, dilatación del conducto hepático derecho con 18 mm y 15 mm del conducto hepático izquierdo, 30 mm en la zona de confluencia.
Hallazgos: vesícula biliar atrófica sin presencia de cálculos biliares, quiste de 7.6 mm en el conducto cístico, dilatación sacular de la vía biliar intra y extrahepática con un diámetro de 18 mm en el hepático derecho, 15 mm en el hepático izquierdo y una zona de confluencia de 33 mm (carina). Se observó una máxima dilatación del colédoco de 70 mm, colédoco distal de 23 mm y el conducto de Wirsung con dimensiones normales.
Se programó una resección electiva por vía laparoscópica (Figura 5) tras completar un protocolo preoperatorio exhaustivo. Los hallazgos intraoperatorios evidenciaron el QC-IVA-Todani-modificada, con una vesícula biliar atrófica. Se inició la disección de la cápsula del quiste intentando separarla de las estructuras vasculares (vena porta y arteria hepática). Se decidió abrir el quiste para facilitar su disección, pero debido a su fuerte adherencia y vascularización, con un sangrado escaso pero continuo, se convirtió en una cirugía abierta mediante una incisión tipo Kocher.

Figura 5: Laparoscopia. Apertura del quiste de colédoco en su pared anterior; (1) lóbulo derecho hepático, (2) vesícula biliar, (3) serosa pared anterior del quiste, (4) mucosa pared posterior del quiste.
Se continuó la disección del quiste separándolo de la vena porta sin dañarla. A través de la apertura del quiste, se introdujo un dilatador de Bakes para identificar y canalizar los conductos hepáticos derecho e izquierdo dilatados. Luego se realizó la extirpación del quiste de colédoco desde la bifurcación de ambos conductos intrahepáticos hasta el borde duodenal, donde se practicó una sutura continua con polidioxanona incluyendo el último centímetro del conducto colédoco, realizando así una extirpación completa del quiste, incluyendo la vesícula biliar. Para finalizar, se realizó una derivación biliodigestiva en Y de Roux, con un asa yeyunal a 50 cm del Treitz, y un asa para el drenaje biliar de 50 cm, utilizando una engrapadora lineal de 60 mm en la hepático-yeyuno anastomosis.
En la anastomosis yeyuno-yeyunal se realizó de forma manual con sutura continua de Vicryl®4-0, dejando un diámetro anastomótico de 30 mm. Se verificó la hemostasia, se hizo un recuento de gasas y se colocó un drenaje cerrado de 19 Fr. Se registró un sangrado de 800 cc, por lo que se le transfundió un paquete globular durante el transoperatorio. Se le administra a la paciente antibioticoterapia con ceftriaxona 1 g c/12 hrs y metronidazol 500 c/8 hrs. Al día siguiente postquirúrgico se inicia con dieta líquida y deambulación; al tercer día postquirúrgico se inicia dieta mixta.
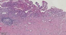
Se envía el quiste a patología para su valoración, encontrando los siguientes hallazgos: una pared del quiste compuesta por tejido fibroconectivo denso, revestido por epitelio cilíndrico simple acompañado de infiltrado inflamatorio agudo y crónico. Una lámina propia con vasodilatación e infiltrado agudo y crónico que se extiende a la pared del quiste. Hiperplasia papilar focal de la mucosa e incluso áreas de ulceración focal y una formación de un folículo linfoide secundario (Figura 6).

Figura 6: Laminilla. Hiperplasia papilar focal de la mucosa, con infiltrado inflamatorio crónico y agudo, áreas de ulceración focal. Formación de un folículo linfoide secundario.
La paciente presentó una buena evolución clínica y fue dada de alta en el octavo día del postoperatorio sin evidencia de complicaciones quirúrgicas tempranas. En la actualidad se siguen realizando estudios de laboratorio.
Hubo citas de seguimiento a los seis meses con exámenes de laboratorio, entre los cuales destacan biometría hemática, química sanguínea y perfil hepático; encontrando a la paciente clínicamente estable y a la exploración física sin ictericia, sin problemas cardiopulmonares y abdomen con buen proceso de cicatrización quirúrgica. La paciente continuará en seguimiento destacando la realización de una tomografía computarizada con contraste intravenoso hidrosoluble y determinación de marcadores tumorales: antígeno carcinoembrionario (CEA) y CA 19-9 a los 12 meses postquirúrgicos.
Discusión
En los últimos cinco años, el servicio de cirugía general del HCFAA atendió a 5,886 pacientes, de los cuales solo se encontraron dos casos de quiste de colédoco en adultos. La incidencia de esta patología en el HCFAA fue de 0.03%, siendo baja en comparación con los países occidentales y aún más baja en relación con la población asiática. Los quistes de colédoco son más comunes en los países orientales, con una prevalencia de 1:1,000 personas, siendo el tipo IV el más frecuente en adultos.2 Se reporta que la relación por sexo, es más frecuente en mujeres tanto en países orientales como occidentales, de 4:1.1
Dado a la fisiopatología inherente de los quistes de colédoco, la literatura científica hace mención a una tasa de malignidad que varía entre 2.5 y 28%, la cual incrementa con la edad.
La variedad de quistes de colédoco nos lleva a dividir su manejo según su clasificación, siendo la resección quirúrgica para los quistes tipo I y IV la opción terapéutica de elección, ya sea a través de la vía laparoscópica, por cirugía robótica o abierta. La utilización de la vía laparoscópica y robótica conllevan un riesgo considerable menor de complicaciones tanto inmediatas como tardías, según Mirón y colaboradores.2 Entre las complicaciones quirúrgicas más habituales, se pueden mencionar el sangrado y la dehiscencia de las anastomosis, las cuales podrían derivar en la aparición de fugas que conlleven a una sepsis local o generalizada de la cavidad abdominal. Esta situación demanda un tratamiento inmediato de acuerdo con los protocolos vigentes para el manejo de las dehiscencias en las anastomosis biliodigestivas. Para los quistes tipo II se podrá optar por diverticulectomía más cierre primario de conducto biliar común y para los quistes tipo III el manejo se puede limitar a escisión transduodenal por manejo endoscópico con respectiva esfinterotomía y esfinteroplastía de ser necesario.
En el caso que estamos reportando, se programó una resección electiva por vía laparoscópica, no obstante, debido a la adhesión firme de la pared posterior del quiste a las estructuras vasculares, principalmente a la vena porta, la resección laparoscópica se vio imposibilitada, convirtiéndose en una cirugía abierta mediante una incisión tipo Kocher, de esta manera se logró su extirpación total, dejando un remanente del conducto en la porción intrapancreática de alrededor de 5 mm. La literatura señala que dicho remanente puede ser causa de una displasia,11,12 no obstante, no compartimos del todo esta afirmación debido a que la fisiopatología del quiste se modifica al extirpar la mayor parte de la lesión quística, eliminando así el incremento de la presión en la vía biliar.
Zheng y colegas pusieron en debate si los quistes tipo IVA en adultos requieren resección hepática adicional por la dilatación intrahepática concomitante, en este caso en concreto la resección hepática es inviable ya que las dilataciones reportadas involucran la porción inicial de ambos conductos hepáticos, por lo que la resección debería limitarse a segmentos concretos que no incrementen la morbimortalidad del paciente por resección hepática de grandes dimensiones, esta situación en concreto se replica en pacientes pediátricos ya que tienen una evolución inflamación mucho más leve y menos transformación maligna en comparación con los adultos, menos formación de litiasis y menor riesgo de colangiocarcinoma en general.10
En especial, en el presente caso, la paciente estuvo en seguimiento durante 10 meses y se continuará atentos a su evolución mediante tomografía computarizada con contraste intravenoso hidrosoluble y determinación de marcadores tumorales: antígeno carcinoembrionario (CEA) y CA 19-9 en forma semestral; hasta los cinco años de postoperatorio, con el objetivo de garantizar la no recurrencia o malignización del remanente quístico no extirpado.
Conclusiones
El quiste de colédoco gigante, una condición poco común a nivel mundial, puede presentar síntomas inespecíficos, lo que puede llevar a que su diagnóstico pase inadvertido, resaltando la importancia de recurrir a técnicas de imagen como la CPRE o la CR-M para una evaluación y clasificación oportunas. Además, se requiere una monitorización postoperatoria a largo plazo para prevenir complicaciones, en particular la transformación maligna. Esta última puede afectar los conductos biliares, la vesícula biliar e incluso el páncreas en fases avanzadas, décadas después de la intervención inicial.









nueva página del texto (beta)


