Introducción
El aneurisma de la arteria esplénica consiste en una dilatación anormal de la arteria esplénica, mayor de 1 cm de diámetro. La arteria esplénica es el tercer sitio más común de aneurismas intraabdominales, precedido por el aneurisma de la aorta abdominal y de las arterias iliacas. Se considera el aneurisma de arteria visceral más frecuente (60%), seguido por el de la arteria hepática (20%), de la mesentérica superior (5.9%) y la celiaca (4%).1,2
Su prevalencia va desde 0.2 a 10.4%, según estudios basados en autopsias. Es cuatro veces más común en mujeres, sin embargo, es tres veces más probable que presente ruptura en hombres. Aún no se conoce la etiología exacta de este aneurisma, pero se ha asociado con traumatismos, hipertensión, alteraciones hormonales y hemodinámicas propias del embarazo, hipertensión portal, cirrosis, síndrome de Caroli, trasplante hepático, pancreatitis, degeneración arterial, enfermedades de la colágena y ateroesclerosis. El 80-99% de los aneurismas de arteria esplénica presentan ateroesclerosis en el examen histopatológico, con o sin calcificación y trombosis mural, sin embargo, puede estar asociado a la degeneración primaria de la túnica media.1,3
La mayoría de los aneurismas esplénicos se desarrollan en el tronco principal de la arteria esplénica. Los aneurismas distales a la bifurcación primaria son muy raros y ocasionalmente involucran ramas pequeñas del hilio esplénico. Los aneurismas verdaderos de la arteria esplénica se presentan hasta en 75% de los casos en el tercio distal de la arteria y en 20% en el tercio medio. Suelen ser solitarios y saculares. El tamaño al momento del diagnóstico es en promedio de 2.1 cm, raramente exceden los 3 cm, aunque se han reportado aneurismas esplénicos hasta de 20 cm. Los aneurismas de origen micótico se localizan con mayor frecuencia a nivel de la bifurcación de la arteria.1,3,4
Caso clínico
Femenino de 41 años, con antecedente de hipotiroidismo diagnosticado a los 21 años, actualmente sin tratamiento médico desde los 40 años por aparente control, diagnóstico de miomatosis uterina a los 40 años, sin tratamiento; antecedente de dos cesáreas, última a los 23 años, sin complicaciones. Accidente automovilístico con volcadura a los 40 años, sin daño orgánico aparente. Inicia padecimiento actual posterior a accidente automovilístico ocurrido un año previo con dolor en hipocondrio izquierdo, de tipo intermitente, punzante, sin irradiaciones, sin agravantes ni atenuantes; a la exploración física presenta dolor en hipocondrio izquierdo a la palpación profunda, resto sin datos patológicos. Se realizó ultrasonido con hallazgos compatibles con aneurisma de la arteria esplénica y colelitiasis, se complementa abordaje diagnóstico con angiotomografía de aorta abdominal encontrando arteria esplénica de calibre normal, con dilatación focal sacular en segmento distal compatible con aneurisma de 17.7 × 15.9 mm y cuello de 5.5 mm, con trombo mural de 2 mm, sin signos de ruptura, litiasis vesicular y miomatosis uterina. En manejo conjunto con angiología se realiza embolización selectiva con colocación de coils, sin complicaciones aparentes (Figura 1). En el seguimiento inmediato, la paciente presenta dolor abdominal y leucocitosis, se realiza nueva angiotomografía con datos sugestivos de oclusión de arteria esplénica e infarto esplénico (Figura 2). Por los hallazgos comentados se decide realizar esplenectomía y colecistectomía convencional mediante abordaje quirúrgico con incisión en línea media, supraumbilical, con los siguientes hallazgos: vesícula biliar de paredes delgadas, múltiples litos en su interior de 5-10 mm aproximadamente, arteria cística de 2 mm, conducto cístico de 3 mm, bazo de 13 × 10 cm aproximadamente, con múltiples zonas isquémicas, aneurisma de la arteria esplénica a nivel de hilio esplénico, posterior a su bifurcación (Figura 3). Cursa el postoperatorio sin complicaciones, por lo que fue egresada tres días después de la cirugía, recibió vacunación correspondiente para pacientes esplenectomizados. Reporte histopatológico con hallazgos de aneurisma de arteria esplénica con ateroesclerosis, parénquima esplénico con vasos congestivos y colecistitis crónica litiásica.

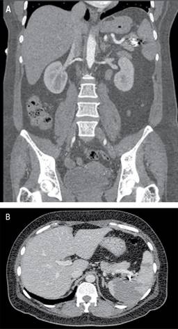
Figura 2: Angiotomografía abdominal. A) En corte coronal se identifica material de densidad metálica correspondiente a coils localizados en segmento distal de arteria esplénica previos a hilio esplénico. B) Se observa opacificación y captación del contraste a nivel esplénico de forma irregular heterogénea tanto en la fase arterial como venosa, apreciando una zona extensa que involucra a la mayor parte del parénquima esplénico desde el hilio, sólo respetando el polo superior y el inferior compatible con infarto.
Revisión de la literatura
Los aneurismas de arterias viscerales son infrecuentes, representando 0.1-0.2% de todos los aneurismas, sin embargo, los aneurismas de la arteria esplénica son los aneurismas de arterias viscerales más frecuentes (60%) y los terceros aneurismas intraabdominales más comunes.2
Esta patología permanece asintomática hasta en 95% de los pacientes. Puede pasar desapercibida en la exploración física debido a la localización de la arteria esplénica, hasta el momento de la ruptura. Solamente un 20% de los aneurismas esplénicos son sintomáticos, presentando principalmente dolor abdominal en epigastrio o en el cuadrante superior izquierdo, otros síntomas pueden incluir anorexia, náuseas o vómitos, los cuales frecuentemente se atribuyen a una hernia hiatal coexistente u otra patología como colelitiasis y úlcera péptica. En raras ocasiones, se puede detectar una masa suave pulsátil a la exploración física. La ruptura del aneurisma esplénico es rara, pero se asocia a una alta mortalidad. El riesgo de ruptura varía de 2-3% en las series más recientes y aumenta con el embarazo, la hipertensión portal, cirrosis hepática y trasplante hepático.1,2,4
La mayoría de los casos de ruptura son súbitos, causando colapso circulatorio inmediato y 25% de ellos presentará un fenómeno de doble ruptura, que se caracteriza por la contención de la ruptura inicial del aneurisma por el omento o por coágulos que bloquean el hiato de Winslow; esto es seguido por una ruptura hacia la cavidad peritoneal, horas o días después. La segunda ruptura tiene un alto riesgo de mortalidad y se presenta como colapso hemodinámico severo. El paciente puede presentar un fuerte dolor en epigastrio, hipocondrio izquierdo, hombro izquierdo (signo de Kehr) e inestabilidad hemodinámica al momento de la ruptura. En ocasiones la rotura dentro de la vena esplénica resulta en una fístula arteriovenosa e hipertensión portal. Así, una fístula arteriovenosa de alto flujo puede producir “síndrome de robo de mesentérica”, lo que ocasiona isquemia del intestino delgado.5,6
Generalmente, el aneurisma esplénico es un hallazgo incidental en una radiografía simple de abdomen, observando una lesión curvilínea calcificada en relación con la arteria esplénica, o durante un ultrasonido o tomografía de abdomen. Las lesiones muy pequeñas se visualizan sólo por angiografía. En el ultrasonido, los aneurismas esplénicos se visualizan como masas hipoecoicas en el cuadrante superior izquierdo del abdomen. En la tomografía computarizada se visualizan como una masa bien definida y de baja densidad con reforzamiento intenso en el lumen residual posterior a la administración de contraste intravenoso, lo que confirma el diagnóstico. La tomografía permite visualizar la forma y localización del aneurisma esplénico directo, completo y satisfactoriamente, la extensión de la lesión, así como su relación con las estructuras vasculares asociadas.4,7
Los aneurismas de la arteria esplénica sintomáticos siempre deben ser tratados. Las indicaciones para el tratamiento de un aneurisma esplénico asintomático son diámetro mayor de 2 cm, pseudoaneurismas, hipertensión portal, shunt portocava, fibrodisplasia arterial de la media, arterioesclerosis, aumento progresivo de tamaño, como preparación preoperatoria para trasplante hepático y en pacientes embarazadas o mujeres en edad fértil.8-10 El tratamiento no operatorio se reserva para pacientes en estado crítico, cuando los aneurismas son menores de 2 cm de diámetro y en mujeres que no tienen planeado embarazarse en un futuro cercano, sin embargo, este último no es un criterio absoluto; consiste en vigilancia estrecha evolutiva mediante controles periódicos con tomografía computarizada o ultrasonido cada seis a 12 meses.10,11
No hay un acuerdo sobre el tratamiento de elección en casos de pacientes asintomáticos. En el caso de aneurismas esplénicos sintomáticos, el tratamiento debe ser inmediato, ya sea por técnicas de cirugía convencional, laparoscópica o endovascular. La decisión debe basarse en la condición clínica del paciente, los posibles abordajes del abdomen, la situación de la arteria esplénica, el consentimiento del procedimiento y los recursos disponibles.8,12
El tratamiento endovascular está indicado en casos de alto riesgo, abdomen hostil y lesiones distales. Algunas opciones son embolización de la arteria esplénica con coils y exclusión funcional, colocación de un stent cubriendo el cuello del aneurisma, embolización con coils para aneurisma hiliar con preservación del bazo. Las ventajas son la mínima invasión, rápida recuperación y la preservación del flujo al bazo, pero requiere de radiación y uso de contraste. Otra alternativa es la inyección de pegamento de fibrina en el saco aneurismático. Es importante considerar si se preserva o no el bazo, ya que el infarto esplénico predispone a los pacientes a infección.8 Teóricamente, una combinación de colocación de stent y embolización con coils es lo más apropiado para estos aneurismas que otros métodos endovasculares. La embolización es considerada la primera línea de tratamiento en aneurismas asintomáticos, en pacientes de difícil manejo quirúrgico o en pseudoaneurismas y se contraindica en casos de aneurismas del hilio esplénico o en casos de tortuosidad de la arteria, en los cuales se prefiere la cirugía abierta. El objetivo de la embolización es la oclusión de los vasos sanguíneos utilizando numerosos agentes embólicos, cada uno con diferentes propiedades y usos, cuya base es la obstrucción mecánica, la activación plaquetaria y de la cascada de coagulación del paciente para obstruir completamente los vasos. Los coils son de los agentes embólicos más utilizados, varían en diámetro, desde submilimétrico a varios centímetros; su forma también es muy variable (recta, helicoidal, espiral y tridimensionales) y además cuentan con un revestimiento trombogénico; se colocan mediante un catéter guía que accede hasta el aneurisma. La mayoría de los coils tienen pequeñas fibras unidas al componente de metal, las cuales provocan una respuesta trombogénica con la subsiguiente oclusión de los vasos.9 Diferentes series reportan una tasa de éxito con esta técnica de 66.7 hasta 92%, sin embargo, los pacientes deben ser observados posterior a la cirugía por posibles complicaciones como infarto por migración de coils, absceso esplénico, ruptura del aneurisma, pancreatitis y rara vez recanalización.10,13,14 La embolización con coils de la arteria esplénica puede ocasionar infarto esplénico, principalmente posterior a la embolización distal o en el hilio esplénico, reportando una incidencia de 25%. Los síntomas varían desde dolor abdominal y/o febrícula hasta sepsis, pancreatitis e infección o abscesos del parénquima esplénico.14 La cirugía abierta fue el estándar de oro de tratamiento hasta finales del siglo XX y generalmente es indicada en pacientes de bajo riesgo, para lesiones del tronco o cuando también hay aneurismas presentes en aorta o arterias intestinales y en pacientes en quienes fracasó el tratamiento endovascular. La cirugía convencional consiste en rafia del aneurisma o doble ligadura de la arteria esplénica con o sin esplenectomía, también se puede realizar aneurismectomía con reimplantación arterial o injertos.8 En el tercio proximal se realizará aneurismectomía, en el tercio medio se prefiere la exclusión aneurismática, así como la esplenoaneurismectomía si se localiza en el tercio distal.2,10
Aunque la literatura menciona que sólo 20% de los pacientes con aneurisma esplénico presenta sintomatología, fue la presencia del dolor en hipocondrio izquierdo de larga evolución lo que llevó a solicitar estudios complementarios en este paciente. Se realizó un ultrasonido como abordaje inicial, reportando hallazgos compatibles con aneurisma de la arteria esplénica y colelitiasis, por lo que, siguiendo el protocolo de estudio mencionado en la literatura, se procedió a realizar una angiotomografía de aorta abdominal con la finalidad de tener una imagen más completa del caso, visualizar el tamaño y la localización de la lesión, así como sus relaciones y de esta manera planear adecuadamente el tratamiento.
Siendo una paciente que presentaba sintomatología asociada a la patología, se decide iniciar tratamiento de la manera menos invasiva, realizando embolización selectiva y colocación de coils por el Servicio de Angiología, no obstante, presenta una evolución postquirúrgica tórpida, requiriendo nueva angiotomografía, en la cual se visualiza una extensa zona compatible con infarto, al presentar una pobre respuesta al tratamiento de mínima invasión se decide llevar a cabo un tratamiento más invasivo y se programa para esplenectomía y colecistectomía convencional. La literatura refiere como siguiente paso en el tratamiento de esta paciente una intervención laparoscópica secundaria a la falla del tratamiento de mínima invasión, sin embargo, no se contaba con el recurso de laparoscopia en ese momento en nuestra unidad, por lo que se realizó el tratamiento mediante cirugía abierta o convencional.
Conclusión
A pesar de que los aneurismas de arteria esplénica son en su mayoría asintomáticos, hasta en 95% de los pacientes; en este caso se presenta una paciente cuyo motivo de consulta fue un dolor crónico, de hasta un año de evolución, en hipocondrio izquierdo. En la mayoría de los casos, estos aneurismas son hallazgos incidentales en estudios de imagen realizados a pacientes por diversos motivos. Una vez sospechado el aneurisma esplénico por medio del ultrasonido, se complementó el estudio de la paciente con una angiotomografía, de manera que se pudiera decidir el mejor tratamiento para su situación en específico. El tratamiento de elección debe ser por abordaje endovascular, por lo que se espera obtener la mayor probabilidad de éxito, de la manera menos invasiva con los recursos disponibles en la institución, sin embargo, se requirió la realización de esplenectomía abierta por no contar con equipo de mínima invasión disponible. Es de vital importancia llevar a cabo el adecuado interrogatorio, exploración física y estudios complementarios, ya que dependiendo de las características del aneurisma y de la urgencia de su tratamiento se decidirá la conducta a seguir.










nueva página del texto (beta)




