Introducción
El divertículo faringoesofágico posterior o divertículo de Zenker fue descrito por primera vez por Ludlow en 1764, aunque toma el nombre del autor de la primera serie de casos publicada por Zenker en 1878.1,2
Consiste en la protrusión de la mucosa hipofaríngea posterior a través de una zona de baja resistencia, limitada por el músculo constrictor inferior de la faringe, de orientación oblicua y el músculo cricofaríngeo de orientación transversal conocido como triángulo de Killian.3,4 Se trata de una alteración poco frecuente, se encuentra aproximadamente en 1% de los esofagogramas baritados y se estima en dos casos por cada 100,000 habitantes,5 tiene su máxima incidencia en hombres a partir de los 70 años. La disfagia y la regurgitación son los síntomas más frecuentes con una incidencia estimada en 80-100% y 57-78%, respectivamente.6,7 El diagnóstico definitivo se realiza mediante el trago de bario que demuestra la presencia del divertículo.6,8,9 Se ha sugerido una asociación con cáncer de esófago escamoso, aunque es controversial.10
Se han propuesto múltiples teorías fisiopatológicas para explicar la formación de los divertículos de Zenker y la controversia persiste en la literatura internacional.
En condiciones normales, el esfínter esofágico superior (EES) se relaja durante la deglución y se contrae una vez que el movimiento peristáltico ha hecho avanzar el bolo más allá del esfínter. En estudios manométricos se constata la presencia de coordinación, tono basal y relajación del EES dentro de parámetros normales. Por lo tanto, el divertículo de Zenker se debe a un trastorno del EES al momento del trago, lo que impide una correcta distensibilidad durante el paso del bolo. Una mayor presión hipofaríngea durante la deglución junto con una resistencia inferior en la pared posterior de la hipofaringe son factores fundamentales en la patogénesis del divertículo de Zenker.3,4 La anomalía cricofaríngea y la presencia del divertículo podrían contribuir a los síntomas: la falta de elasticidad del músculo cricofaríngeo puede provocar sensación de disfagia (disfagia intrínseca). Ésta también puede aparecer por el aumento progresivo del volumen del divertículo (conforme se llena de residuos alimentarios) debido a la compresión directa sobre el esófago (disfagia extrínseca). La disfagia, regurgitación de alimentos, la halitosis, los ruidos al tragar, tos crónica, pérdida de peso y una tumoración en el cuello son todos signos relacionados con la presencia del divertículo y su intensidad depende del tamaño del mismo.8
Estudios histopatológicos de los músculos cricofaríngeo y constrictor inferior de la faringe (CIF) demuestran cambios miopáticos tales como degeneración y necrosis de las fibras musculares, fagocitosis, reemplazo por tejido fibroadiposo e incremento de las fibras musculares relacionadas con la contracción tónica del esfínter.3
Algunos autores sostienen que un defecto en la relajación del EES podría estar en la base de la formación del divertículo. Otros estudios sugieren un problema neurológico de base al observar una asociación con la enfermedad cerebrovascular o con neuropatías periféricas. Se han invocado factores bioquímicos al encontrar diferencias en el contenido de colágeno y elastina en el músculo cricofaríngeo en pacientes con o sin divertículo.
El tratamiento del divertículo de Zenker es la miotomía del músculo cricofaríngeo, la que puede realizarse por cirugía abierta o por vía endoluminal. La cirugía tradicional ha sido la miotomía y diverticulectomía.11,12 Aunque por años la cirugía ha sido el tratamiento de elección, en 1917 Mosher fue el primero en describir el tratamiento endoscópico con endoscopio rígido. Dohlman y Mattson en 1960 desarrollaron un laringoscopio rígido con el que fijaban el puente del divertículo y realizaban el corte del septum con electrocauterio.13 En 1995 Mulder y colaboradores y Ishioka y su equipo además de Sakai y colegas14-18 reportan una serie de pacientes tratados con endoscopio flexible con evolución satisfactoria, utilizaban corriente de coagulación monopolar para realizar el corte del septum. La miotomía ha sido descrita con Needle Knife, argón plasma, Hook Knife, IT Knife (láser de dióxido de carbono) etcétera.19-24
Material y método
Estudio retrospectivo iniciando del 1 de enero de 2008 al 1 de enero de 2017 con una serie de 14 casos consecutivos de divertículo de Zenker sintomático a los que se les realizó miotomía endoscópica.
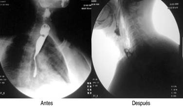
A todos los pacientes se les tomaron datos clínicos demográficos, tales como: edad, sexo, tiempo de evolución de los síntomas y síntomas predominantes, características del divertículo, remisión de los síntomas y necesidad de reintervención. El diagnóstico de divertículo de Zenker se realizó por medio de estudio radiológico de contraste (esofagograma con medio de contraste baritado) y endoscópico, con lo cual se confirmaba el diagnóstico y se calculaba el tamaño del divertículo (Figura 1).
Registramos la disfagia con un puntaje de 0 a 3 (0 sin disfagia, 1 para sólidos, 2 líquidos y 3 saliva).
Criterios de inclusión: expedientes clínicos de pacientes con las siguientes características: ser derechohabiente del ISSSTE, expediente completo de acuerdo con la NOM-004-SSA3-2012, sin distingo de edad o sexo, con divertículo de Zenker confirmado mediante radiología y endoscopia, con seguimiento de por lo menos seis meses posterior al procedimiento.
Criterios de exclusión: expedientes clínicos incompletos, divertículo menor de 2 cm, tratamiento quirúrgico previo o endoscópico no exitoso.
Criterios de eliminación: expedientes clínicos mal conformados.
Diseño del estudio: observacional transversal analítico.
Técnica endoscópica: a todos los pacientes con firma de consentimiento informado, valoración cardiovascular y con ayuno mínimo de ocho horas se les realizó el procedimiento bajo sedación consciente intravenosa con monitorización continua, sin necesidad de intubación orotraqueal, siempre a cargo del médico anestesiólogo.
Durante los nueve años que duró el estudio, hemos tenido algunas modificaciones de la técnica y accesorios utilizados para la miotomía del músculo cricofaríngeo. De forma inicial se realiza endoscopia convencional, se procede a aspirar el material alimenticio que se encuentra en el divertículo y que limita la visión.
En los primeros 10 pacientes una vez identificada la luz del esófago, se introdujo una guía metálica a la cavidad gástrica y sobre ésta un dilatador de Savary Gilliard de 7 mm o 21 Fr, el cual llega hasta el estómago y se deja en ese sitio. Lo anterior delimita adecuadamente la luz del divertículo y del esófago (Figura 2). En el extremo distal del tubo de inserción del endoscopio se coloca un capuchón plástico transparente (MBL 6-1 Cook Endoscopy) que se utiliza como espaciador, lo que permite identificar el septum del músculo cricofaríngeo. En los primeros 10 casos se utilizó un videogastroscopio Olympus modelo GIF-H140 y procesador de imagen CV-140 Olympus (Olympus Optical Co., Tokio, Japón) de 9.8 mm de diámetro, la unidad electroquirúrgica Olympus UES-40 SurgMaster, y como disector un cuchillo aguja (Needle Knife, Cook Endoscopy, Winston-Salem, NC), se hace un corte en el borde de la luz esofágica en la parte media del septum y hacia la luz del divertículo. Se realiza primero el corte de la mucosa exponiendo las fibras musculares del cricofaríngeo (Figura 3), el corte se profundiza hasta completar la sección de las fibras transversales del esfínter cricofaríngeo, sin necesariamente llegar al fondo del divertículo (Figura 4), lo que permite la aproximación de los bordes de la incisión en la mucosa con clips metálicos evitando la perforación y riesgo de sangrado (Figura 5). A los cuatro pacientes restantes se les aplicó la técnica de POEM (miotomía endoscópica peroral), infiltrando la submucosa con solución fisiológica y azul de metileno para levantar la mucosa, posteriormente, se corta la mucosa con el hidrodisector HybridKnife, tipo T-type marca ERBE que es un instrumento multifuncional que combina tecnología electroquirúrgica e hidrodisección en un solo instrumento con el cual se realiza un levantamiento de la mucosa y la creación de un túnel submucoso, seccionando sólo las fibras musculares transversales y finalmente cerrando la entrada del túnel con clips endoscópicos. En estos pacientes se utilizó un videogastroscopio Fujinon, procesador de imágenes Fujifilm Processor VP-4450HD, unidad electroquirúrgica ERBE VIO 200 D y el HybridKnife de ERBE, T-type (marcas registradas) utilizando corriente de corte y coagulación pura (50 W). Por último se retira el dilatador de Savary Gilliard y posterior al procedimiento se efectuó un trago de material hidrosoluble para descartar fugas. A todos los pacientes se les administró una dosis única de antibiótico al inicio del procedimiento y fueron manejados de forma ambulatoria en domicilio iniciando con dieta líquida a las cuatro horas.

Figura 2: Introducción de guía metálica a esófago como primer paso y posterior colocación de dilatador de Savary Gilliard para delimitar septum diverticular.

Figura 3: Inicio del corte con el capuchón plástico y posteriormente se observan fibras musculares del cricofaríngeo.
Seguimiento: posterior al procedimiento el paciente fue interrogado con respecto a la tolerancia de los alimentos, de forma inicial líquidos y posteriormente sólidos.
El seguimiento se realizó de forma telefónica y por consulta externa al mes del procedimiento y cada seis meses o de ser necesario antes si se mostraba algún síntoma o disfagia. Para valorar la disfagia, se aplicó una escala propia con puntuación de 0 sin disfagia, 1 disfagia para sólidos, 2 para líquidos y 3 imposibilidad de pasar saliva.
Se reintervinieron cuatro pacientes, pero en sólo dos casos el motivo fue por presentar recurrencia de la sintomatología de disfagia meses después, aunque fuera de menor grado ampliando la miotomía (Tabla 1). A todos los pacientes se les realizó control endoscópico a los 30 días posteriores al procedimiento.
Tabla 1: Seguimiento de pacientes.
| Total de pacientes | 14 |
| Éxito técnico a los 30 días, n (%) | 14 (100) |
| Seguimiento en meses, mediana (rango) | 18 (12-24) |
| Recurrencia de síntomas, n (%) | 2 (14.2) |
| Reintervenciones | 4 |
Elaboración propia.
Análisis estadístico: las variables definidas como resultados fueron: éxito clínico (alivio de los síntomas a los 30 días posterior al procedimiento), éxito técnico, éxito a largo plazo (asintomático por lo menos 12 meses), recidiva (pacientes que posterior al procedimiento iniciaban nuevamente con sintomatología), necesidad de segunda intervención (pacientes que no mostraban mejoría completa posterior a la primera intervención) y complicaciones inmediatas. Las variables descritas se expresaron como frecuencias relativas (%), las variables continuas como media, mediana y rango, al igual que el número de casos y los porcentajes.
Resultados
Estudio retrospectivo que incluyó 14 pacientes, seis mujeres (43%) y ocho hombres (57%), la media de edad fue de 72.8 años con un rango entre los 24 y los 92 años.
Todos los pacientes presentaban divertículo de Zenker sintomático y ninguno de ellos había tenido alguna terapia quirúrgica o endoscópica. Cinco divertículos fueron de 3 cm aproximadamente y nueve mayores de 5 cm.
El tiempo de evolución de los síntomas fue mayor de un año en todos los casos y los síntomas predominantes fueron la disfagia y halitosis en 100% de los casos, pérdida de peso en nueve pacientes (64.3%) y sólo un paciente refirió tos crónica (7.1%) (Tabla 2).
Tabla 2: Características de los pacientes sometidos a miotomía endoscópica.
| Edad promedio en años | 72.8 |
| Rango | 24 a 92 |
| Género n (%) | |
| Masculino | 8 (57) |
| Femenino | 6 (43) |
| Sintomatología referida n (%) | |
| Disfagia | 14 (100) |
| Halitosis | 14 (100) |
| Tos crónica | 1 (7.1) |
| Pérdida de peso n (%) | 9 (64.3) |
| Tamaño del divertículo en cm | (4.5) 3-7 |
| Tiempo de evolución hasta el tratamiento en meses | 12-18 |
Elaboración propia.
La miotomía endoscópica se efectuó en 14 pacientes, consideramos la técnica exitosa si el paciente ya no presentaba disfagia de acuerdo con la escala de disfagia utilizada (0), pese a que un paciente (7.1%) tuvo sangrado, el cual se controló con electrocoagulación y se suspendió el procedimiento, mismo que se completó al día siguiente. Todos los pacientes se manejaron de forma ambulatoria, dando las indicaciones necesarias de forma verbal y por escrito, haciendo hincapié en que en cualquier momento podían acudir a la sala de urgencias o al servicio de endoscopia para su revisión. Se valoraron los pacientes con estudio endoscópico a los 30 días posterior al procedimiento con la intención de evaluar el resultado. De los 14 pacientes que presentaron disfagia como síntoma principal, 100% refirió mejoría de la misma, además de los síntomas agregados tales como halitosis, pérdida de peso y tos crónica posterior a la intervención. A los 12 meses se dio seguimiento a cinco pacientes y el resto hasta los dos años. En la actualidad, se siguen viendo algunos de estos pacientes en la consulta externa por otras comorbilidades tales como reflujo y enfermedad ácido péptica, pero ninguno por síntomas asociados al divertículo de Zenker.
De los 14 pacientes sometidos a procedimiento endoscópico, cuatro (28.5%) se reintervinieron, dos por recurrencia de sintomatología leve a los tres y cuatro meses respectivamente, uno por sangrado moderado que limitaba la visualización adecuada en el procedimiento inicial, el cual se repitió a las 24 horas, y otro que fue sometido a tratamiento en dos sesiones por las dimensiones del divertículo, el cual fue referido en reporte radiológico de 6 x 7 cm, por lo que se decidió efectuar el procedimiento endoscópico en dos tiempos (Tabla 2).
Se realizaron en total 18 procedimientos, se consideró como complicación sólo un paciente (7.1%), quien presentó sangrado importante, mismo que se controló, pero impidió en el procedimiento inicial completar adecuadamente la miotomía, por lo que se reintervino a las 24 horas para completar ésta. Durante los procedimientos, dos pacientes tuvieron enfisema subcutáneo (un paciente femenino de 74 años y uno masculino de 57 años), los cuales fueron tratados de forma conservadora mediante la administración de una cefalosporina de tercera generación, así como control radiográfico para medición del enfisema subcutáneo (Figura 6). No se presentaron complicaciones mayores como mediastinitis, hemorragia incoercible o perforación que requirieran cambiar el tratamiento endoscópico por el quirúrgico de urgencia o programado. La mejoría de la disfagia en todos los casos fue inmediata y en las consultas subsecuentes refirieron haber aumentado de peso, además se realizó endoscopia y trago de material de control (Figura 7).
La estancia intrahospitalaria fue aproximadamente de seis horas; cabe mencionar que a todos los pacientes se les manejó de forma ambulatoria. Es importante recalcar que el tiempo de estancia intrahospitalaria así como el uso de recursos fue menor en comparación con las técnicas quirúrgicas, por lo que podemos inferir que el costo-beneficio de la técnica endoscópica es mejor reduciéndose así el gasto en el sistema de salud.
Discusión
El tratamiento del divertículo de Zenker se reserva para los pacientes que presentan sintomatología. Las variantes del tratamiento se pueden dividir en abordaje extraluminal como la cirugía de cuello donde se realiza la miotomía y diverticulectomía o en ocasiones diverticulopexia, y el abordaje endoluminal, ya sea con endoscopio rígido o flexible.
El procedimiento, aunque tiene sus riesgos y no es tan frecuente para adquirir una experiencia muy amplia, es relativamente sencillo de realizar y con resultados aceptables, sobre todo en pacientes en quienes el riesgo quirúrgico es muy alto por patología agregada o para aquéllos que prefieran este tipo de procedimiento.
Las ventajas de la técnica endoscópica son la posibilidad de aplicar este procedimiento bajo sedación consciente, menor estancia intrahospitalaria y la oportunidad de iniciar de forma temprana la vía oral.
Desde su surgimiento en 1995, la técnica con endoscopio flexible ha tenido distintas variaciones como sección con fórceps,14,22 argón plasma,17,21,24 incisión con Needle Knife,15,16,18,23 Hook Knife,25 IT Knife23 y el Harmonic Scalpel.23
Independientemente de la técnica de disección utilizada, es preciso una correcta exposición del septum y la protección de la pared libre, para ello se han utilizado el capuchón plástico transparente en la punta del endoscopio, la SNG y el diverticuloscopio flexible, este último da mayor estabilidad al endoscopio. Debido a la baja frecuencia de la patología aún no existen estudios prospectivos comparativos de las diferentes técnicas quirúrgicas y menos aún entre las técnicas quirúrgicas y las endoscópicas; sin embargo, la vía endoscópica como en múltiples publicaciones, y en nuestro caso el tratamiento con endoscopio flexible, ha mostrado resultados alentadores a corto y largo plazo. El éxito reportado de los distintos trabajos25-27 mantiene un rango entre 84 y 100% con una frecuencia de complicaciones hasta de 5%. La recaída es motivo de preocupación entre las distintas series con tasas que oscilan entre 10 y 20%.25
Existe un grupo de autores que describen el uso de un dispositivo denominado WEMR cap device, el cual consiste en un sobretubo plástico que delimita y fija el septum permitiendo el corte directo.7 Dicho estudio se realizó inicialmente en animales, específicamente en porcinos. Es una técnica que permite eliminar de manera efectiva la zona de espasmo y la falta de relajación del cricofaríngeo que produce una zona de alta presión en la hipofaringe a la deglución, creando una sola luz entre el divertículo y el esófago, por lo que se elimina la posibilidad de retención de los alimentos en la luz del divertículo.
En nuestra serie dos pacientes fueron sometidos nuevamente al procedimiento por recurrencia de la sintomatología, lo anterior atribuido a que al ser los primeros casos de nuestro estudio el corte fue insuficiente. Sin embargo, sugerimos que el procedimiento puede realizarse en varias sesiones dependiendo del tamaño del divertículo.
La endoscopia terapéutica y en especial este procedimiento no está exento de complicaciones, la mayoría se pueden manejar mediante tratamiento conservador no siendo necesario intervenir quirúrgicamente al enfermo; sin embargo, debemos tenerlas en cuenta y tomar las precauciones necesarias para prevenirlas. La complicación que se reportó con menos frecuencia en la literatura fue el enfisema subcutáneo o mediastinal, el cual cede con manejo conservador a base de ayuno y antibioticoterapia. Además éste puede disminuirse con la utilización de CO2 en lugar de aire ambiente en el insuflador del endoscopio.
La complicación más grave es la mediastinitis por perforación8 y la hemorragia persistente.
Aunque se señalan algunas limitaciones tales como la ausencia de un método estandarizado al no hallarse ensayos clínicos controlados y aleatorizados que comparen las distintas técnicas, requiere de endoscopistas entrenados, motivo por el que se realiza en sólo algunos centros de nuestro país, ya que no existen centros adaptados para el aprendizaje de esta técnica. Tal como ocurre en otras técnicas de moderada a alta complejidad, el modelo animal podría tratarse de un adecuado primer paso en el entrenamiento de este procedimiento.11
El seguimiento a largo plazo de estos pacientes nos ha sido limitado, quizá por la edad de la población intervenida y por tratarse de un centro de referencia. Es difícil que ensayos clínicos controlados y aleatorizados se lleven a cabo en patologías infrecuentes como ésta, en centros de alta especialidad como nuestro hospital se utiliza exclusivamente para enviar a los pacientes a una terapéutica determinada y más adelante remitirlos a un hospital de segundo nivel o clínica de medicina familiar.
En los últimos procedimientos en los que se usaron clips metálicos se observó que hay múltiples beneficios tales como la disminución del riesgo de perforación no percibida y de hemorragia post-procedimiento.28-30
Conclusiones
El tratamiento del divertículo de Zenker ha evolucionado en las dos últimas décadas. Las técnicas endoscópicas claramente tienen ventajas sobre las técnicas quirúrgicas en términos de menos complicaciones y recuperación más temprana. La miotomía endoscópica puede utilizarse con múltiples técnicas; sin embargo, se necesitan más estudios para determinar cuál es la mejor.
En nuestro trabajo concluimos que el tratamiento del divertículo de Zenker con endoscopio flexible es una opción segura y eficaz con buenos resultados a largo plazo.
Se requieren ensayos clínicos que comparen diferentes opciones terapéuticas para poder recomendar una estrategia definitiva.










nueva página del texto (beta)







