Introducción
El bazo es un sitio poco común para la formación de abscesos, quizás debido a su actividad inmunológica intrínseca. El absceso esplénico (AE) es una entidad inusual que, con mayor frecuencia (72%), se observa en pacientes inmunodeprimidos por enfermedades como diabetes, enfermedades hematooncológicas, síndrome de inmunodeficiencia adquirida (sida) y, en menor medida, en sujetos que presentaron traumatismo o infarto esplénico1,2. Es una rara complicación con escasas referencias bibliográficas. En la literatura médica hay poco menos de 1.000 reportes de esta afección. La incidencia en adultos y niños con leucemia es del 7,2 y el 1%, respectivamente. Desde el punto de vista epidemiológico, tiene mayor frecuencia en adultos y ancianos, sin que exista diferencia entre ambos géneros3. Generalmente, es de difícil manejo, debido a que no siempre se consigue erradicar la infección mediante antibioticoterapia y, en la mayoría de las ocasiones, se requieren drenaje o esplenectomía.
A continuación, presentamos un caso clínico cuya complejidad radicó en la existencia de múltiples abscesos esplénicos que aparecieron en una paciente inmunodeprimida portadora de leucemia linfoblástica aguda (LLA) y hacemos una revisión de los aspectos básicos de la enfermedad.
Reporte del caso
Paciente del sexo femenino, de 16 años de edad, con LLA de 4 años de evolución, bajo tratamiento con vincristina, metotrexato y doxorrubicina. Antecedentes de transfusiones sanguíneas y hemoderivados en 150 ocasiones, aproximadamente. Amaurosis sugestiva de leucostasia. Se presentó en el Servicio de Urgencias refiriendo que desde 2 meses antes presentaba dolor en el hipocondrio izquierdo, de tipo cólico, inicialmente transfictivo y posteriormente irradiado en el hemicinturón hacia el lado izquierdo, acompañado de tos productiva con expectoración verdosa. En el ingreso, presentaba fiebre, astenia y adinamia. Exploración física: talla 1,66 m, peso 55 kg, presión arterial 80/60, frecuencia cardíaca 100 por min, frecuencia respiratoria 20 por min y temperatura 37 °C. Edad mayor a la cronológica, alopecia, palidez y regular estado de hidratación, sin ingurgitación yugular ni adenomegalias cervicales, con ligero roce pericárdico audible e hipoventilación basal izquierda; abdomen blando con dolor a la palpación media y profunda en los hipocondrios derecho e izquierdo; hepatoesplenomegalia por debajo de la cicatriz umbilical y con secreción seropurulenta transvaginal.
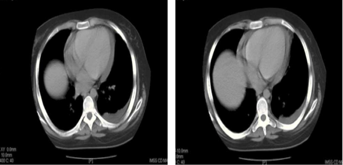
Resultados de laboratorio: hemoglobina 3,7 g/dl, hematocrito 11,4%, volumen corpuscular medio 100 fl, MCH 32,5 pg, MCHC 32,5 g/dl, RDW 26,8%, plaquetas 84,0 × 103, eritroci-tos 1,14 × 106, leucocitos 14,1 × 103, neutrófilos 89%. Se realizó una tomografía computarizada (TC) abdominal (figs. 1-3) que reveló bazo de 15 cm de largo, con múltiples zonas hipodensas de 5 mm de diámetro, derrame pleural izquierdo de 150 ml aproximadamente, derrame pericárdico y líquido libre en el fondo de saco uterino. Se inició tratamiento antimicrobiano con meropenem (1 g c/12 h por vía intravenosa [IV]) y vancomicina (1 g c/12 h IV), y se solicitó evaluación por el Servicio de Cirugía. Al sexto día de estancia, se realizó un hemocultivo que resultó negativo. Tras la valoración quirúrgica, se administraron 6 paquetes globulares y 6 concentrados de plaquetas para corregir la anemia y la trombocitopenia (tabla 1).

Figura 1. Tomografía computarizada que muestra evidencia de líquido libre a nivel pleural izquierdo y pericárdico (flechas blancas); de igual manera, es posible apreciar aumento del tamaño hepático (puntas de flechas).

Figura 2. Absceso de gran tamaño (7,3 × 6,6 cm) que se acompañó de múltiples zonas hipodensas (flechas blancas) compatibles con microabscesos (5 mm aproximadamente de diámetro) en un bazo con evidente aumento de tamaño.

Figura 3. Imagen de disposición tubular latero-caudal, indicativa de líquido libre en el fondo de saco vaginal.
Tabla 1. Evolución preoperatoria, según datos de laboratorio

BUN: nitrógeno ureico en sangre; HB: hemoglobina; Hcto: hematocrito; MCV: ; MCH: ; MCHC: ; MPV: .
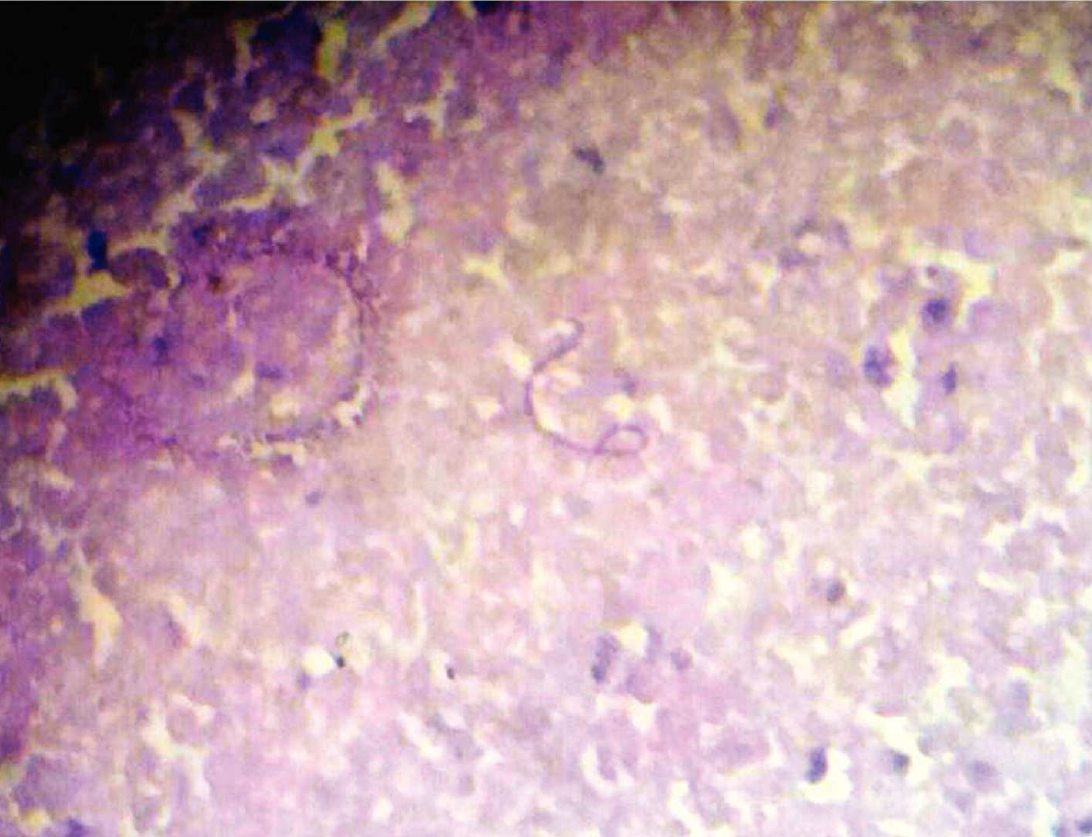
Habiendo transcurrido 14 días de estancia hospitalaria, se llevó a cabo el tratamiento quirúrgico. Los hallazgos fueron: bazo de 25 x15 × 15 cm, con múltiples lesiones de aspecto caseoso e hilio con zonas indicativas de necrosis (fig. 4). Se practicó una esplenectomía total y el bazo se envió a estudios histopatológico y bacteriológico (fig. 5). La paciente evolucionó favorablemente y fue egresada al octavo día posoperatorio para continuar el tratamiento de LLA.
Discusión
Los AE pueden ser únicos (60-70%) o múltiples (30-40%). La mortalidad es del 12,9% cuando son únicos y del 22,2% cuando son múltiples4,5. Según Chun et al, es posible diferenciar 5 grupos de acuerdo con su causa de origen: 1) infección por diseminación hematógena (p. ej., endocarditis); 2) absceso inducido por quimioterapia (p. ej., leucemias); 3) por embolismo celular (p. ej., enfermedad de células falciformes); 4) diseminación por infección contigua (p. ej., absceso subfrénico, perforaciones gástricas o colónicas), y 5) infección secundaria a traumatismo esplénico (p. ej., infarto postraumático) 5,6,7,8,9. Atendiendo a su agente causal, los AE pueden ser: 1) bacterianos (grampositivos, gramnegativos, aerobios); 2) micóticos, y 3) parasitarios. Atendiendo al número de microorganismo presentes, los AE pueden ser: 1) estériles; 2) monomicrobiano, y 3) polimicrobiano4.
Hoy en día, existe un aumento significativo de microorganismos de difícil manejo, tales como Mycobacterium (primordialmente en pacientes con trastornos hematológicos que reciben quimioterapia), anaerobios (Actinomyces, Citrobacter freundii) y agentes micóticos (Aspergillus y Candida spp., principalmente) 5,6,10,11,12. Las especies bacterianas aisladas con mayor frecuencia son Staphylococcus, Streptococcus, Salmonella, Escherichia coli, Klebsiella pneumoniae, Pseudomonas aeruginosa y Enterococcus1,9,11,13,14. Aunque los signos y síntomas de los AE son muy variados, la mayoría de los reportes (casos aislados y series) señalan el dolor abdominal (de mayor intensidad en el hipocondrio izquierdo) acompañado de fiebre y, en menor medida, masa esplénica o esplenomegalia y derrame pleural izquierdo como principales manifestaciones. En el caso que presentamos, estos fueron los datos principales. Algunos hallazgos de menor importancia son náuseas, vómito, anorexia, pérdida de peso y dolor en el hombro izquierdo1,2,5,15,16.
En cuanto a los estudios de laboratorio e imagen, los datos obtenidos son similares en todas las series y reportes, incluido el nuestro. La leucocitosis neutrofílica se encuentra presente en el 72-86% de los casos. El ultrasonido y la TC representan los principales medios de diagnóstico, habiendo demostrado una sensibilidad de 75-93% y el 100%, respectivamente, por lo que esta última se considera el método de elección para el diagnóstico. Algunos posibles hallazgos de imagen son: esplenomegalia (67%), efusión pleural (30-40%), infiltración pulmonar inferior izquierda (> 20%) y presencia de gas en el bazo (12%); los 3 primeros se observaron en nuestra paciente2,4,12,17,18. Chang et al13 pudieron evidenciar la existencia de AE solitarios (AES) mediante TC en 71,6% de los pacientes13. Se considera a la esplenectomía como el tratamiento ideal de los AE, aunque que quizá se deban considerar las alternativas conservadoras para evitar la asplenia: tratamiento antibiótico, resección laparoscópica, drenaje percutáneo o drenaje abierto (transpleural, extraperitoneal, abdominal, retroperitoneal) 4,19.
Durante la última década, se han establecido estrategias terapéuticas para la preservación del bazo en casos de traumatismo y lesiones benignas, por lo cual, se pensó extrapolar tales para el manejo del AE. El drenaje percutáneo guiado por TC (DPGTC) representa el tratamiento alternativo de esta afección (tasas de éxito: 51-72%); sin embargo, se debe realizar una adecuada valoración de ciertos aspectos: 1) número de colecciones (si hay imágenes en racimo indicativas de varias colecciones se prefiere la esplenectomía); 2) paredes mal definidas; 3) existencia de septos gruesos o restos necróticos, y 4) estado general del paciente. El DPGTC se prefiere sobre la cirugía cuando la colección es unilocular o bilocular, con una pared discreta, sin septos internos que interrumpan su continuidad y, cuando su contenido sea lo suficientemente líquido como para ser drenado, también se prefiere realizarlo en aquellos AES situados en la periferia y las partes media e inferior del bazo20,21. En nuestra paciente, los abscesos múltiples con restos necróticos difíciles de drenar y con la colección de mayor tamaño localizada en el polo superior del bazo resultaba prácticamente imposible el tratamiento conservador y se optó por la esplenectomía.
Consideramos necesario mencionar la posibilidad de la resección segmentaria del bazo, en pacientes con AE. Esta puede ser empleada en pacientes con abscesos uniloculares localizados en un solo polo, en donde no exista compromiso vascular del hilio o previa embolización parcial de la arteria esplénica. La principal complicación de los AE es la rotura hacia la cavidad peritoneal o los órganos adyacentes, que podría condicionar el desarrollo de fístulas en el estómago, el colon, el páncreas o el tórax. Otras complicaciones posibles son seudoquiste pancreático o empiema torácico4,22.










nueva página del texto (beta)




