Servicios Personalizados
Revista
Articulo
Indicadores
-
Citado por SciELO -
Accesos
Links relacionados
-
Similares en
SciELO
Compartir
Agricultura técnica en México
versión impresa ISSN 0568-2517
Agric. Téc. Méx vol.35 no.2 México abr./jun. 2009
Artículos
Detección de Salmonella spp. en melón Cantaloupe en unidades de producción y unidad de empaque*
Detection of Salmonella spp. on Cantaloupe melon production units and packaging facility
Lucía MoralesHernández1, Ana María HernándezAnguiano1§, Cristóbal CháidezQuiroz2, Gilberto RendónSánchez3 y Trevor V. Suslow4
1 Posgrado en Fitosanidad Fitopatología. Tel. 01 595 9520200 Ext. 1083 y 1610, email: lumo@colpos.mx.
2 Laboratorio de Microbiología Ambiental y de Alimentos, Centro de Investigación en Alimentación y Desarrollo. Unidad Culiacán, carretera El dorado km 5.5 Culiacán, Sinaloa. Tel. 01 667 7605536 Ext. 22, email: chaqui@ciad.edu.mx.
3 Posgrado en Socioeconomía, Estadística e Informática Economía. Colegio de Postgraduados. Km 36.5 carretera MéxicoTexcoco, Montecillo, Estado de México. C. P. 56230. Tel. 01 595 9520248, email: rendon@colpos.mx.
4 Mann Laboratory, Department of Plant Science, University of CaliforniaDavis. CA 96168780. Tel. 530 754 83 13, email: tvsuslow@ucdavis.edu.
§Autora para correspondencia:
ahernandez@colpos.mx.
* Recibido: Marzo, 2008
Aceptado: Marzo, 2009
RESUMEN
El melón Cantaloupe (Cucumis melo L.) grupo reticulatus precortado, proveniente del estado de Guerrero, México, se ha asociado con brotes de salmonelosis en Estados Unidos de América y Canadá, por lo que las exportaciones de melón, a estos países, se suspendieron en 2001. En este trabajo se evaluó la condición sanitaria del melón Cantaloupe, con la detección e identificación de Salmonella, en dos unidades de producción y una unidad de empaque en Zirándaro de los Chávez, Guerrero. Se analizaron 100 melones Cantaloupe (50 de las unidades de producción y 50 de la unidad de empaque), recolectados en enero y abril de 2005, mediante métodos bacteriológicos convencionales y el crecimiento en medios selectivos para la detección de Salmonella, como indicador de contaminación fecal. La proporción de melones con presencia de Salmonella spp. fue 4%, en una de las unidades de producción y 20% en la unidad de empaque. Salmonella se detectó en frutos irrigados con agua de río filtrada pero no clorada y manejados por trabajadores con poca higiene. En pruebas de reacción en cadena de la polimerasa (PCR), dos de seis cepas presuntivas de Salmonella dieron amplificaciones positivas con el par de iniciadores Sal3 y Sal4 e invA1 e invA2; de las otras cuatro, solo dieron amplificación positiva con invA1 e invA2. Estos resultados sugieren que en la región de Zirándaro de los Chávez se tiene más de un serotipo de Salmonella y evidencian la importancia de implementar programas preventivos para asegurar la calidad sanitaria del melón Cantaloupe.
Palabras clave: Salmonella spp., pruebas bioquímicas, PCR, invA, Sal.
ABSTRACT
Fresh Cantaloupe melons (Cucumis melo L.) group reticulatus coming from the state of Guerrero, Mexico, have been associated with outbreaks of salmonellosis in the United States of America and Canada. These countries suspended the importations of Cantaloupe melon from Mexico due to the outbreaks in 2001. This study evaluated the food safety quality of Cantaloupe melon, with the detection and identification of Salmonella in two production units and a packing facility unit in Zirándaro de los Chávez, Guerrero. 100 Cantaloupe melons (50 of the production units and 50 of the packaging unit), collected in January and April 2005, were analyzed by conventional bacteriological methods and growth in selective media for detection of Salmonella, as an indicator of fecal contamination. The proportion of melons with presence of Salmonella was 4%, in one of the field production units and 20% in the packing unit. Salmonella was detected in fruits irrigated with filtered but not chlorinated river water and handled by workers with poor hygiene. Characterization by polymerase chain reaction (PCR) demonstrated that, two of six strains of presumptive Salmonella gave positive amplifications with the pair of primers Sal3 and Sal4 as with invA1and invA2. For four other isolates only two were observed with invA1 and invA2. These results suggest that in the region of Zirándaro de los Chávez there are more than one serotype of Salmonella, and demonstrate the importance of implementing prevention programs to ensure the sanitary quality of Cantaloupe melon.
Key words: Salmonella spp., biochemical tests, PCR, invA, Sal.
INTRODUCCIÓN
El melón Cantaloupe (Cucumis melo L.) precortado proveniente del estado de Guerrero, México, se asoció con brotes de salmonelosis en Estados Unidos de América (EE. UU) y Canadá. Debido a que estos brotes fueron responsables de numerosas enfermedades y muertes de personas, las exportaciones del melón a EE. UU. se vieron comprometidas hasta el punto del cierre de fronteras en 2001, por sugerencia de la agencia Federal Food and Drug Administration de ese país (FDA, 2002).
Salmonella es una bacteria patogénica que reside en los intestinos de animales y personas. Es un bacilo Gram negativo, aerobio o anaerobio facultativo, generalmente móvil por flagelos perítricos. Sus requerimientos óptimos de temperatura y pH son de 36 °C y 7.0, respectivamente (Tortora et al., 1995).
La posibilidad de que el fruto de melón se contamine por especies del género Salmonella o cualquier otro microorganismo patogénico para humanos, como Shigella spp. o Escherichia coli O157:H7, puede ser alta debido a su exposición a una serie de factores durante el crecimiento, desarrollo, cosecha y manejo poscosecha. Sembrar en suelos contaminados y utilizar abonos orgánicos mal compostados o agua de uso agrícola contaminada así como la presencia de animales en el campo y la falta de higiene de los trabajadores, durante cualquier etapa de la cadena de producción, distribución y comercialización, son algunos de los factores que comprometen la calidad sanitaria del melón (FDA, 2003).
Debido a que Guerrero se encuentra entre los principales estados productores de melón Cantaloupe y a que en la región de Zirándaro, Guerrero hay empresas que están implementando programas de buenas prácticas agrícolas (BPA) y buenas prácticas de manejo (BPM), para prevenir la contaminación por, microorganismos patogénicos para humanos, sustancias toxicas y materiales extraños (Harris et al., 2002), los objetivos de este trabajo fueron: 1) determinar la calidad sanitaria en pre y poscosecha del melón Cantaloupe con la detección de Salmonella como indicador, y 2) aislar e identificar a Salmonella a partir de melón Cantaloupe de corte y empacado mediante pruebas bioquímicas y por la técnica de la reacción en cadena de la polimerasa.
MATERIALES Y MÉTODOS
Este trabajo se realizó en dos unidades de producción, las cuales se denominaron UP1 y UP2, y en una unidad de empaque de melón Cantaloupe de una empresa particular, ubicada en el municipio de Zirándaro de los Chavez, Guerrero. Previo al muestreo, se registraron las características y actividades del perímetro de las unidades de producción, la uniformidad del campo, y las fuentes de agua. En la unidad de empaque se registró el diseño, estructura, instalaciones, fuente de agua, manejo del producto, transporte, higiene de equipos y utensilios.
Se realizaron dos muestreos de melón Cantaloupe de acuerdo a los procedimientos de la NOM109SSA11994: uno del 6 al 8 de enero (primer muestreo) y otro del 18 al 20 de abril (segundo muestreo) de 2005. El primer muestreo se estableció en la unidad UP1, con 15 ha en cosecha, y el segundo en la unidad UP2, con 60 ha en cosecha. De las unidades UP1 y UP2 se seleccionaron 5 y 12 ha, respectivamente; cada hectárea se dividió en 50 camas de 100 m de largo de las cuales se seleccionaron 25 camas para el muestreo.
Se utilizó el método sistemático con iniciación aleatoria y una tabla de números aleatorios para determinar el tiempo de muestreo (Scheaffer et al., 1986). Para esto, la hora de recolección de la primera muestra se definió al azar y a partir de ese tiempo los siguientes muestreos fueron sistemáticos con intervalos de tiempo definidos según el caso. En las unidades de producción los melones se recolectaron en la parte superior del surco; y en la unidad de empaque, de cajas seleccionadas de las bandas y llenadas minutos antes por el personal. Cada melón recolectado se depositó en una bolsa Ziploc® (25 x 30 cm) esterilizada, la cual se etiquetó con datos de fecha, lugar y hora de muestreo y se colocó en una hielera (Cooleman®) con icepack y hielo. Adherido a la tapa de la hielera se colocó un registrador automático de temperatura y humedad relativa HOBO® H8 (Onset Computer Corporation, USA).
En total se recolectaron 104 melones Cantaloupe (52 de las unidades de producción y 52 de la unidad de empaque) de los cultivares Caminos y Ovación, de tamaño y madurez uniforme, libres de defectos, con grado comercial de clase 36.
Detección de Salmonella
La detección de Salmonella en melón Cantaloupe se realizó de acuerdo al protocolo de la Norma Oficial NOM114SSA11994. En general el protocolo empleado constó de las siguientes etapas: preenriquecimiento en Agua Peptonada (AP, 0.1%), para restaurar las células de Salmonella, que pudieran estar dañadas, a una condición fisiológica estable; enriquecimiento, en caldo base de tetrationato (CBT) (MCD Lab S. A. de C. V.) para incrementar las poblaciones de Salmonella e inhibir otros organismos presentes en la muestra; aislamientoen agar entérico hektoen (AEH) (BD BioxonMR) y agar xilosa lisina desoxicolato (XLD) (BD BioxonMR), que restringen el crecimiento de otros géneros diferentes a Salmonella y permite el reconocimiento visual de colonias sospechosas; e identificación bioquímica en agar urea (BD BioxonMR), agar hierro lisina (LIA, por sus siglas en inglés) (BD BioxonMR) y agar hierro triple azúcar (TSI por sus siglas en inglés) (BD BioxonMR). Además se inocularon tubos conteniendo medio indol ácido sulfídrico para sulfuro, indol y movilidad (SIM por sus siglas en inglés). Para confirmar la identificación de la bacteria se establecieron pruebas de reacción en cadena de la polimerasa (PCR, por sus siglas en inglés).
Para el preenriquecimiento, se retiro asépticamente la cáscara de cada melón, se pesaron 25 g y se depositaron en una bolsa (Ziploc® de 25 x 30 cm, esterilizada) con 225 ml de AP 0.1% a pH 7.2, y se agitó vigorosamente por 1 min. De la mezcla homogeneizada se transfirieron 10 ml a un frasco con 90 ml de AP 1% y se incubó sin agitación a 37 oC por 24 h. De la suspensión obtenida se transfirió 1 ml a tubos estériles con 9 ml de caldo base tetrationato (TTB) y se incubó sin agitación a 42.5 °C por 6 h. Del enriquecimiento selectivo se transfirió 1 ml a tubos con 10 ml de caldo M (DIFCO) para su postenriquecimiento y se incubó sin agitación a 37 oC por 24 h. De la suspensión bacterial obtenida se tomaron muestras con un asa estéril y se estriaron en XLD y agar entérico Hektoen (AEH), dos cajas Petri por medio. Los medios inoculados se incubaron a 37 °C y a las 24 h se examinaron para detectar la presencia de colonias típicas con características de Salmonella. En agar XLD: colonias rosas o rojas que pueden ser transparentes con o sin centro negro; en algunos casos, colonias completamente negras. En AHE: colonias verdes o azul verdes con o sin centro negro; en algunos casos, colonias completamente negras.
Con la finalidad de verificar el protocolo anterior, se incluyeron dos controles positivos durante el procesamiento de las muestras. Para esto se inocularon dos melones, uno de campo y otro de almacén, con una cepa de Salmonella typhimurium ATCC23564 a una concentración de 1.55 x 1011 UFC/ml.
Identificación por pruebas bioquímicas
Las pruebas se establecieron con colonias típicas Salmonella de agar soya tripticaseína (TSA, por sus siglas en inglés) de 48 h, en los medios agar de: TSI, LIA y urea y medio SIM. Para esto se tocó levemente el centro de cada colonia y se inocularon dos tubos, uno con TSI y otro con LIA, por estría en la superficie inclinada y por punción en el fondo. Transcurridas 24 h de incubación a 37 °C se registró el crecimiento y se consideraron presuntivamente positivas para Salmonella las colonias que dieron las siguientes reacciones: en agar TSI, cambio amarillo por la fermentación de la glucosa en el fondo del tubo; un color rojo más intenso que el medio original por la falta de fermentación de la lactosa ni de la sacarosa en la superficie del medio; y en agar LIA, intensificación del color púrpura en todo el tubo por la descarboxilación de la lisina. Posteriormente, con un asa estéril, se tomó crecimiento del cultivo presumiblemente positivo del tubo de medio TSI y se inocularon tubos de agar urea y de medio SIM. Transcurridas 24 h de incubación a 37 °C, se retuvieron los cultivos en agar urea que dieron la prueba negativa (sin cambio de color del medio) y los del medio de cultivo SIM que registraron crecimiento a lo largo de la punción y en el seno del medio.
Identificación de Salmonella por PCR
Con los cultivos que resultaron positivos con Salmonella se establecieron pruebas por PCR para confirmar su identificación. Para esto se utilizaron dos pares de iniciadores Sal3 y Sal4 y invA1 e invA2, sintetizados de acuerdo a la secuencia publicada del ADN para la amplificación de una región especifica del ADN para el gen InvA de Salmonella (Rahn et al., 1992) (ChengHsun y Ou, 1996. Los iniciadores tienen las siguientes secuencias: Sal3, 5'TATCGCCACGTTCGGGCAA3' y Sal4, 5' TCGCACCGTCAAAGGAACC3'; invA1,5'ACA GTG CTC GTT TAC GAC CTG AAT3' y invA2,5'AGA CGA CTG GTA CTG ATC GAT AAT3', y generan un producto de amplificación de 275 y de 244 pares de bases (pb), respectivamente. Para las reacciones de PCR se utilizó el sistema PCR Core System I (Promega) y muestras de lisados celulares (ADN crudo). Entre las ventajas de utilizar ADN crudo, para amplificaciones por PCR, se encuentra la que es de bajo costo y rápido de obtener, con limite de detección cercano al de los extractos de ADN puro (1X105 y 1X104 UFC/mL, respectivamente). Las muestras de lisados celulares se prepararon a partir de 1.5 mL de cultivo (1X107 UFC/mL) en caldo M de 18 h de crecimiento el cual se centrifugó (Centrifuge 5415D, Eppendorf, Hamburg, Germany) a 14 000 RPM por 5 min; el sobrenadante se decantó y la masa bacteriana se resuspendió en 1 mL de agua nanopura estéril. Después de dos lavados y centrifugados, la masa bacteriana se recuperó en 200 µL de agua nanopura estéril, se colocó a 100 °C por 5 min y centrifugó como se describió anteriormente (Guo et al., 2000). Los lisados celulares se almacenaron a 20 °C previo a su utilización.
La reacción de PCR con Sal3 y Sal4 tuvo un volumen final de 12.5 µl con la siguiente formulación: 8.48 µl de agua destilada estéril, 0.75 µl de MgCl2 (25 mM), 0.66 µl de dNTPs (PCR Nucleotide Mix 10mM), 1.25 µl de solución amortiguadora (Thermophilic ADN Polymerase 10x), 0.13 µl de Sal3 (0.25 µg/µl), 0.13 µl (0.25 µg/µl) de Sal4 y 0.5 U de Taq ADN polymerasa y 1 µl de lisado celular. Como control positivo se incluyó una cepa de S. typhimurium ATCC23564 y como blanco se preparó una formulación a la que se le agregó agua destilada estéril sin lisado bacterial. La reacción se estableció en un termociclador (mastercycler gradient eppendorfTM) con el siguiente programa: desnaturalización inicial a 94 °C por 1 min; 35 ciclos, cada uno con: desnaturalización a 94 °C por 1 min, alineación de iniciadores a 50 °C por 1 min y extensión de ADN a 72 °C por 2 min; y extensión final a 72 °C por 5 min. El producto de PCR se mantuvo a 4 °C para posteriormente separar los fragmentos por electroforesis en gel de agarosa (Promega) a 1% en buffer TBE (1X) con bromuro de etidio (0.1%); como marcador se utilizó Phi X174DNA/Hae III Markers (3 µl). Las bandas amplificadas se visualizaron y documentaron en un transiluminador Gel Doc 2000 BIORAD.
La reacción de PCR con Inva1 e Inva2 tuvo un volumen final de 25 µl con la siguiente formulación: 2.5 µl de solución amortiguadora (Thermophilic ADN Polymerase 10x), 1.5 µl de MgCl2 (25 mM), 1.0 µl de dNTPs (PCR Nucleotide Mix 10 mM), 1.0 µl de Inva1 (10 mM), 1.0 µl de Inva2, 15. 875 µl de agua desionizada estéril, y 0.625 U de Taq ADN polymerasa B y 2 µl de lisado celular. Como control positivo se incluyó una cepa de S. typhimurium ATCC23564 y como blanco se preparó una formulación a la que se le agregó agua destilada estéril sin lisado bacterial. La reacción se estableció en un termociclador (Perking Gene AmpPCR System 2400) con el siguiente programa: desnaturalización inicial a 94 °C por 10 min; 30 ciclos, cada uno con: desnaturalización a 94 °C por 30 s, alineación de iniciadores a 56 °C por 30 s y extensión de ADN a 72 °C por 2 min; y extensión final a 72 °C por 10 min. El producto de PCR se mantuvo a 4 °C para posteriormente separar los fragmentos por electroforesis en gel de agarosa a 1.5%; como marcador se utilizó Phi X174DNA/Hae III Markers. Las bandas amplificadas se visualizaron en un transiluminador (Transilluminator Select Series Spectroline) y se documentaron con un equipo digital hp Photosmart 620®.
Proporción de melones con presencia de Salmonella
Con el propósito de estimar la proporción o porcentaje de melones que resultaron positivos con Salmonella se utilizó la siguiente ecuación:
p= a/n
donde, p= proporción de melones con presencia de Salmonella; a= número total de melones con presencia de Salmonella; n= número total de melones muestreados.
RESULTADOS
Inspección de las unidades
Unidad de producción UP1. Esta unidad se encontró rodeada con una cerca de alambre como medida de prevención para la entrada de animales silvestres y domésticos. Al respecto, se observaron algunos animales de ganado vacuno pastando en las inmediaciones por lo que el riesgo potencial de entrada de estos animales o de sus excrementos secos, por acción del viento, al cultivo es alto. En la unidad no se aplican las BPA y carece de sanitarios móviles ubicados en las inmediaciones del lugar así como fuentes de abastecimiento de agua potable para el lavado de manos de los trabajadores. El agua de riego se bombea de la presa "La Calera", se pasa a través de un sistema de filtración (filtros de arena) y de ahí a una tubería principal de la cual parten cintas de goteo que abastecen de agua al cultivo.
Unidad de producción UP2. En esta unidad la empresa desarrolló un manual de operaciones y contaba con un diagrama de flujo de las actividades realizadas en el cultivo de melón, así como con los procedimientos de operación estándar de sanitización (POES) y con un reglamento interno para el personal. Los POES son programas de limpieza que tienen como finalidad garantizar la limpieza y sanitización de las instalaciones, equipo, maquinaria y utensilios se lleve acabo de manera sistemática. El reglamento contempla restricciones de ingreso a la unidad de animales domésticos y de personal con heridas abiertas o síntomas de enfermedad. El agua para el riego se bombea del río Balsas, se filtra (filtros de arena) y se clora (200 ppm de cloro gas (Superior Gas Clorinator, Chemical Injection, Technologies Ft. Pierce, Florida) previo a su distribución a través de una tubería principal de la cual parten cintas de goteo que abastecen de agua al cultivo.
Unidad de empaque. La unidad se caracterizó por tener barda de ladrillo de 50 cm, techo de lámina de 2 aguas a una altura de 6 m, y piso de concreto, una puerta de acceso principal y tres entradas laterales. El empaque se encontró rodeado con tela mosquitera, para evitar la entrada de insectos, aves y animales, carente de condiciones ambientales controladas pero con instalaciones para guardar las herramientas, equipos y otros materiales e insumos. En la unidad se registraron espreas (tubos perforados de cobre), cisternas, lavabos, pilas y tinacos que abastecen de agua para las diversas actividades que ahí se realizan como lavado y desinfección superficial con cloro (360 ppm) del melón. En este caso cabe señalar que no se realiza un monitoreo de la concentración de cloro con algún tipo de indicador o equipo especializado. El agua de los lavabos proviene de la red municipal y la del resto de un pozo, que se encontraba dentro de la unidad. La unidad contaba con un reglamento para el personal con las siguientes restricciones: uso de alhajas, comer, fumar o beber dentro del área activa del empaque, personal desaseado, y laborar o manejar el producto con las manos sucias. Sin embargo, con algunos trabajadores se registró la falta de atención a la indicación de lavarse las manos antes de entrar al empaque o después del descanso.
Temperatura y humedad relativa
Los valores promedio de las variables temperatura y HR registrados dentro de la hielera, durante la cosecha, transporte y almacenamiento (72 h) de melones fueron de: primer muestreo, 3 oC (con mínima de 3 y máxima de 8 oC) y 78% (con mínima de 53 y máxima de 94%) de HR; segundo muestreo, 8 oC (con mínima de 3 y máxima de 14 oC) y de 90% (con mínima de 36 y máxima de 98%) de HR.
Detección de Salmonella en melón Cantaloupe
Primer muestreo. De la siembra del medio TSA a los medios XLD y AEH, una muestra de la unidad UP1 (CO213) y 6 muestras de la unidad de empaque (CO161, CO171, CO221, CO251 y CO254), de 25 muestras analizadas, resultaron con colonias con características de Salmonella spp. En XLD se desarrollaron colonias completamente negras; y en AEH, azul verdes con centro negro, en algunos casos las colonias aparecieron negras. Los resultados de las pruebas por PCR, para la identificación de las colonias sospechosas, mostraron que con los iniciadores invA1 e invA2 sólo el lisado celular de la muestra CO213 generó resultados de amplificación positivos, para el gen InvA. El peso molecular de la banda amplificada (244 pb) fue similar al de la banda registrada para S. typhimurium ATCC23564 (Figura 1). Por lo anterior, la proporción de muestras de melón, que resultó positiva a Salmonella fue 4%, en la unidad UPI, y 0% en la unidad de empaque.

Segundo muestreo. Del muestreo de la unidad UP2, de 25 muestras analizadas, en ninguna de ellas se obtuvieron colonias presuntivas de Salmonella en los agrares selectivos XLD y AEH. En contraste, en la unidad de empaque, de 25 muestras analizadas, en 10 de ellas se registraron colonias rosa con centro negro y en AEH, colonias azul verde con centro negro. Las cepas presuntivas de Salmonella, obtenidas de estas muestras, se identificaron como: GU31, GU41, GU51, GU61, GU111, GU151, GU191, GU211, GU221 y GU251. Sin embargo, únicamente la cepa GU251 dio los resultados esperados en las reacciones bioquímicas, TSI, LIA, Urea y SIM (Cuadro 1). En Agar TSI se registró en el fondo del tubo vire del indicador debido a la fermentación de la glucosa; en la superficie del medio, un color rojo más intenso que en el resto del medio original por la no fermentación d ela lactosa ni de la sacarosa; y a lo largo de la punción, una coloración negra relacionada con la producción de ácido sulfhídrico. En Agar LIA se observó intensificación generalizada del color púrpura del medio por la descarboxilación de la lisina y ennegrecimiento a lo largo de la punción debido a la producción de ácido sulfhídrico. En SIM para movilidad se registró crecimiento a lo largo de la punción y en el seno del medio de cultivo, y ennegrecimiento a lo largo de la punción, debido a la producción de acido sulfhídrico; para la producción de Indol no hubo cambio de color. En Urea se mantuvo el color naranja del medio.

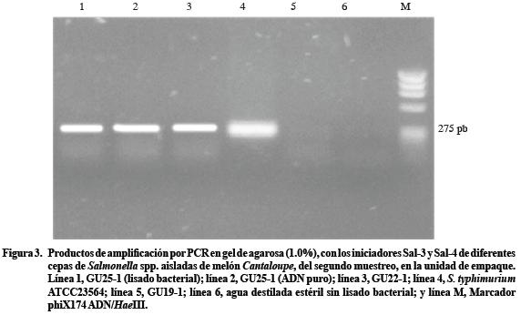
Los resultados de las pruebas de PCR contrastaron con los obtenidos en las pruebas bioquímicas. Estos mostraron que con los iniciadores invA1 e invA2, los lisados celulares de las cepas GU41, GU191, GU211 GU221 y GU251 dieron amplificación de la banda esperada (244 pb) (Figura 2); mientras que con Sal3 y Sal4, sólo los de las cepas GU221 y GU251 amplificaron la banda esperada (275 pb) (Figura 3). Los lisados celulares de las cepas GU31, GU51, GU61, GU111 y GU151 no generaron amplificaciones con ninguno de los iniciadores probados. Con los resultados obtenidos se estima que la proporción de muestras de melón que resultó positiva a Salmonella fue de: 0% en la unidad UP2, y de 20% en la unidad de empaque.


DISCUSIÓN
Salmonella se encuentra normalmente en las heces y puede transmitirse a través de agua de riego contaminada, viento, animales domésticos o silvestres y manos de los trabajadores con poca higiene (Beuchat, 1995).
La presencia de Salmonella spp. en melones Cantaloupe (CO213) del primer muestreo se puede vincular con algunas situaciones que se registraron en la unidad de producción UP1. Se observaron animales domésticos así como sus heces en las inmediaciones de la unidad y se encontró que el agua que se utiliza para riego se filtra pero no se clora en contraste a lo registrado en la unidad UP2, donde no se encontraron animales pastando y el agua se clora (200 ppm) después del filtrado.
En forma similar la presencia de Salmonella spp. en los melones Cantaloupe del segundo muestreo se puede relacionar con algunos aspectos que se registraron en la unidad de empaque como el permitir a los trabajadores con precaria higiene personal seleccionar y empacar melón.
Harris et al. (2002) señalan que los riesgos de contaminación de los productos hortofrutícolas por patógenos, en unidades de empaque, se deben a la utilización de agua de lavado contaminada, exposición a gotas o salpicadura de pisos contaminados, desagües, tuberías aéreas o sistemas de enfriamiento, manejo del producto en superficies de contacto sucias y por trabajadores con precaria higiene personal. Asimismo, Castillo et al. (2004) reportaron que las superficies sucias y la falta de higiene de los trabajadores en contacto con el melón son las principales fuentes de contaminación por patógenos de humanos.
Análisis microbiológicos de agua no clorada proveniente de las unidades UP1 y empaque, realizados simultáneamente con este trabajo en el laboratorio (HernándezDominguez et al., 2008), resultaron positivos para Salmonella y a coliformes fecales. Cabe señalar que el agua de uso agrícola que no cumple con la normatividad sanitaria (Modificación NOM127SSA11994) representa una fuente importante de contaminación del melón por patógenos. Acciones como filtrar y clorar el agua para uso agrícola así como evitar la entrada de animales domésticos a las unidades de producción y empaque y el cuidado de la higiene de los trabajadores constituyen algunas de las acciones preliminares para la implementación de las BPA, BPM y buenas prácticas de higiene (BPH) (SENASICA, 2005).
Por lo anteriormente expuesto, en la unidad de producción UP1 y unidad de empaque los puntos de control a considerar son: el sistema de bombeo y filtrado carente de un sistema de inyección de cloro gas (o de algún otro método), para desinfección del agua, y la higiene de los trabajadores. En este último caso, la empresa es responsable de dar capacitación continua a los trabajadores en materia de manipulación higiénica e higiene personal, a fin de que sepan adoptar las precauciones necesarias para evitar contaminar el melón Cantaloupe.
Aunque en este estudio no se caracterizaron las cepas de Salmonella para determinar el o los serotipos presentes en la región productora de melón, Zirándaro de los Chávez, Guerrero, se sospecha que estas corresponden a S. typhimurium ya que las seis cepas de Salmonella spp. (CO213, GU41, GU191, GU211 GU221 y GU251) detectadas en este estudio, dieron amplificación para el gen invA con los iniciadores Sal e invA, los cuales se sintetizaron de acuerdo a la secuencia publicada del ADN para el gen invA de Salmonella typhimurium (Darwin y Miller, 1999). El gen invA codifica para una proteína requerida por Salmonella durante la invasión de las células epiteliales (Galan y Curtis, 1989; Galan y Curtis, 1991). Este gen de invasividad está presente de manera funcional en la mayoría de los serotipos de Salmonella, con una secuencia de nucléotidos muy similar en todos ellos, como lo evidencia el estudio de Espinal et al. (2006) quienes detectaron la presencia del gen invA en 97.3% de los serotipos de Salmonella aislados de alimentos de la región caribe de Colombia.
Sin embargo, también es probable que algunas de las cepas de Salmonella spp. correspondan a los serotipos Chester y Saphra. Lo anterior se basa en los reportes de Ries et al. (1990) sobre el brote de Salmonella chester asociado con melones Cantaloupe producidos en el suroeste de México. En este caso los estudios epidemiológicos indicaron que 1% de los melones muestreados, en esta región, dieron resultados positivos para S. chester. También en la investigación realizada por MohleBoetani et al. (1999) que indican que el brote de salmonelosis ocurrido en California en 1997 fue por Salmonella saphra transmitido por el consumo de melón Cantaloupe, cultivado y empacado en Altamirano, Guerrero, México.
El par de iniciadores Sal e invA difieren únicamente en la secuencia de sus nucleótidos y en los sitios de alineación sobre la secuencia de nucleótidos del gen invA (Cocolin et al., 1998). Es probable que el contraste en los resultados de amplificación aquí obtenidos con este par de iniciadores se deba a que las cepas tengas diferencias en la secuencia de nucleótidos del gen invA y formen parte de grupos o serotipos diferentes de Salmonella. Resultados similares se obtuvieron con las cepas de Salmonella spp. aisladas de agua no clorada obtenidas por HernándezDominguez et al. (2008). El empleo o diseño de más de un par de iniciadores para un gen o genes para la detección e identificación serotipos de Salmonella es recomendable.
Varios investigadores ya han reportado la detección específica de S. typhimurium. Ebner y Mathew (2001) y Khan et al. (2000) han utilizado los genes florfenicol (flo), integron (int), invasión (inv) y virulencia (spvC) en la detección específica de Salmonella typhimurium. Sin embargo, en un estudio realizado por Bolton et al. (1999) se indica que de un total de cepas inicialmente identificadas como S. typhimurium solamente 98% de estas fueron positivas para el gen invA. Estos resultados indican que hay un 2% de las cepas, incluidas dentro de este serotipo, que no contienen el gen invA.
Por lo previamente explicado, el empleo o diseño de más de un par de iniciadores para un gen o genes para la detección e identificación de razas o serotipos de Salmonella es recomendable. Algunos investigadores están utilizando las técnicas de amplificación genómica por PCR múltiplex con grupos de iniciadores como Hirose et al. (2002) quienes reportaron la identificación específica de S. typhi y paratyphi empleando los genes rfbE, rfbS, viaB y fliC los cuales permiten diferenciar a aquellos serotipos de Salmonella que tienen estructuras antigénicas similares. Otras alternativas incluyen el empleo de métodos moleculares para evaluar la diversidad genética de los serotipos de Salmonella como la técnica repetitive extragenic palindrome PCR (REPPCR) (Castillo et al., 2004), pulsedfield gel electroforesis (PFGE) (Duffy et al., 2005), restriction fragment length polymorphism PCR (RFLPPCR), que han demostrado ser una alternativa rápida, exacta y económica para la serotipificación de las especies de Salmonella (Hong et al., 2003).
Aunque los resultados de las amplificaciones obtenidos en las pruebas de PCR, en este trabajo, y que aparentemente sugieren que las cepas GU221 y GU251 pertenecen a grupos o serotipos diferentes a CO213, GU41, GU191, GU211, también deben analizarse considerando que otros factores pudieron haber influido durante el establecimiento de la reacción de PCR. Por ejemplo, la calidad de la lisis celular que puede afectar la amplificación de la banda esperada (Wilson, 1997).
CONCLUSIONES
El análisis microbiológico así como las pruebas bioquímicas y de PCR permitieron la detección e identificación de Salmonella spp. en melón Cantaloupe recolectado en la unidad de producción UPI y unidad de empaque. Lo anterior se relacionó con el hecho de que en la unidad UPI el melón se riega con agua de río filtrada pero no clorada y carece de programas preventivos como las BPA y BPM; y en la unidad de empaque, el melón se lava y desinfecta superficialmente con una solución de cloro cuya concentración de cloro activo (HOCL, acido hipocloroso (forma con actividad microbicida)) no se monitorea, y los trabajadores no siguen estrictas medidas de higiene. Medidas preventivas como el establecimiento de puntos de control y acciones correctivas como el monitoreo frecuente de las concentraciones de cloro activo y de la higiene de los trabajadores son recomendables para asegurar la calidad sanitaria del melón Cantaloupe. Debido a que en las pruebas de PCR las cepas GU221 y GU251 dieron resultados de amplificación positivos con ambos pares de iniciadores, invA1 e invA2 y Sal3 y Sal4, y a que las cepas CO213, GU41, GU191 y GU211 sólo amplificaron con invA1 e invA2, se deduce que en esta región se tiene más de un serotipo de Salmonella.
AGRADECIMIENTOS
Al Consejo Nacional de Ciencia y Tecnología y al Colegio de Postgraduados, por la beca otorgada a la primera autora durante sus estudios de Maestría; al Programa de Extensión "National Integrated Food Safety Initiative", a través del subcontrato del Dr. Trevor V. Suslow, de la University of CaliforniaDavis, Ca., por los recursos económicos recibidos; y al Centro de Investigación en Alimentación y Desarrollo (CIAD), Culiacán, Sinaloa, por permitir el acceso a sus laboratorios. A la QFB. Celida Martínez Rodríguez del CIAD Culiacán por el apoyo técnico recibido así como a Adrian Sbodio y Eduardo Gutiérrez, estudiantes de posgrado de la University of CaliforniaDavis, Ca., por sus acertados comentarios al escrito.
LITERATURA CITADA
Beuchat, L. R. 1995. Pathogenic microorganisms associated with fresh produce. J. Food Prot. (USA). 59:204216. [ Links ]
Bolton, L. F.; Kelley, L. C.; Lee, M. D.; Fedorka, P. J. and Maurer, J. J. 1999. Detection of multidrugresistant Salmonella enterica serotype typhimurium DT104 based on gene which confers crossresistant to florfenicol and chloramphenicol. J. Clin. Microbiol. 37:13481351. [ Links ]
Castillo, A.; Mercado, I.; Lucia, M. L.; Martínez, R. Y.; De León, P. J.; Murano, A. E. and Acuff, R. G. 2004. Salmonella contamination during production of cantaloupe: a binational study. J. Food Prot. (USA). 67(4):713720. [ Links ]
ChengHsun, C. and Ou, T. J. 1996. Rapid identification of Salmonella serovars in feces by specific detection of virulence genes, invA and spvC, by an enrichment broth culturemultiplex PCR combination assay. J. Clinical Microbiol. (USA). 34(10):26192622. [ Links ]
Cocolin, L.; Manzano, M.; Cantoni, C. and Comi, C. 1998. Use of polymerase chain reaction and restriction enzyme analysis to directly detect and identify Salmonella typhimurium in food. J. Applied Microbiol. (USA). 85:673677. [ Links ]
Darwin, K. H. and Miller, V. L. 1999. Molecular basis of the interaction of Salmonella with the intestinal mucosa. Clin. Microbiol. Rev. 12:405428. [ Links ]
Duffy, E. A.; Lucia, L. M.; Kells, J. M.; Castillo, A.; Pillai, S. D. and Acuff, G. R. 2005. Concentrations of Escherichia coli and genetic diversity and antibiotic resistance profiling of Salmonella isolated from irrigation water, packing shed equipment and fresh produce in Texas. J. Food Protect. 68(81):7079. [ Links ]
Ebner, P. D. and Mathew A. G. 2001. Three molecular methods to identify Salmonella enterica serotype Typhimurium DT104: PCR fingerprinting, multiplex PCR and rapid PFGE. FEMS Microbial. Lett. 205:2529. [ Links ]
Espinal, M. P.; Prieto, S. E. A.; Jiménez, V. O. y Velilla, S. M. 2006. Presencia del gen de invasividad invA en cepas de Salmonella spp. aisladas de alimentos del caribe colombiano. Rev. Cubana Salud Pública. 32(2). [ Links ]
Food and Drug Administration (FDA). 2002. La FDA anuncia importante alerta sobre cantaloupes mexicanos. Documento Web: http://www.fda.gov/bbs/topics/ANSWERS/SPANISH/span01167.html (revisado el 10 de diciembre de 2004). [ Links ]
Food and Drug Administration (FDA). 2003. Memoria: entrenamiento para capacitadores sobre buenas prácticas agrícolas y de manejo de frutas y hortalizas. 1721 de marzo, Culiacán, Sinaloa. [ Links ]
Galan, J. E. and Curtiss, III. R. 1989. Cloning and molecular characterization of genes whose products allow Salmonella typhimurium to penetrate tissue culture cells. Proc. Natl. Acad. Sci. (USA). 86:63836387. [ Links ]
Galan, J. E. and Curtiss, III. R. 1991. Distribution of the invA, B, C, and D genes of Salmonella typhimurium among other Salmonella serovars: invA mutants of Salmonella typhimurium are deficient for entry into mammalian cells. Infect. Immun. (USA). 59(9):29012908. [ Links ]
Guo, X.; Chen, J.; Beuchat, R. L. and Brackett, E. R. 2000. PCR detection of Salmonella enterica serotype montevideo in and on raw tomatoes using primers derived from hilA. Appl. Environm. Microbiol. (USA). 66(12):52485252. [ Links ]
Harris, L. J.; Zagory, D. and Gorny, R. J. 2002. Safety factors. In: Kader, A. (ed.). Postharvest technology of horticultural crops. Third Edition. University of California. Oakland, California, USA. p. 301314. [ Links ]
HernándezDominguez, C.; HernándezA, A. M.; CháidezQ, C.; RendonS, G. y Suslow, T. 2008. Detección de Salmonella y coliformes fecales en agua de uso agrícola para la producción de melón "Cantalupe". Agric. Téc. Méx. 34(1):7584. [ Links ]
Hirose, K.; Itoh, K.; Nakajima, H.; Kurazono, T.; Yamaguchi, M.; Moriga, K.; Ezaki, T.; Kawamura, Y.; Tamura, K. and Watanabe, H. 2002. Selective amplification of lyv (rfbE), prl (rfbS), viaB and fliC genes by multiplex PCR for identification of Salmonella enterica serovars typhi and Paratyphi A. J. Clin. Microbiol. 40:633636. [ Links ]
Hong, Y. L.; Tongrui, H. C.; Marer, M.; White, D. G.; Ayers, S.; Wang, L. and Maurer, J. J. 2003. A restriction fragment length polymorphismbased polymerase chain reaction as an alternative to serotyping for identifying Salmonella serotypes. J. Avian Diseases. 47:387395. [ Links ]
Khan, A. A.; Nawaz, M. S.; Kahn, S. A. and Cerniglia, C. E. 2000. Detection of multidrugresistance Salmonella typhimurium DT104 by multiplex polymerase chain reaction. FEMS Mirobial. Lett. 182:355360. [ Links ]
Modificación a la Norma Oficial Mexicana, NOM127SSA11994. Salud ambiental. Agua para uso y consumo humano. Límites permisibles de calidad y tratamientos a que debe someterse el agua para su potabilización. [ Links ]
MohleBoetani, J. C.; Reporter, R.; Werner, B. S.; Abbott, S.; Farrar, J.; Waterman, H. S. and Vui, J. D. 1999. An outbreak of Salmonella serogroup Saphra due to cantaloupes from Mexico. J. Infect. Dis. 180:13611364. [ Links ]
Norma Oficial Mexicana, NOM114SSA11994, bienes y servicios. Método para la determinación de Salmonella en alimentos. [ Links ]
Proyecto de Norma Oficial Mexicana, NOM 109SSA11994, bienes y servicios. Procedimientos para la toma, manejo y transporte de muestras de alimentos para su análisis microbiológico. [ Links ]
Rahn, K.; De Grandis, S. A.; Clarke, R. C.; Mcewen, S. A.; Galan, J. E.; Ginocchio, C.; Curtis, R. and Gyles, C. L. 1992. Amplification of an invA gene sequence of Salmonella typhimurium by polymerase chain reaction as a specific method of detection of Salmonella. Mol. Cell. Probes (USA). 6:271279. [ Links ]
Ries, A. A.; Gaza, S.; Langkop, C.; Tauxe, R. V. and Blake, P. A. 1990. A multistate outbreak of Salmonella chester linked to imported cantaloupe. In: program and abstracts of the 30th Interscience Conference on Antimicrobial Agents and Chemoterapy. American Society for Microbiology. Washington, D.C. Abstr. No. 915. [ Links ]
Scheaffer, R. L.; Mendenhall, W. and Ott, L. 1986. Elementary survey sampling. Third edition.Traducido del inglés por Rendón, S. G. y Gómez, A. J. R. 3ª. Edición. Grupo Editorial Iberoamérica. D. F., México. 321 p. [ Links ]
Servicio Nacional de Sanidad, Inocuidad y Calidad Agroalimentaria (SENASICA). 2005. http://www.senasica.sagarpa.gob.mx. [ Links ]
Tortora, G. J.; Funke, B. R. and Case, C. L. 1995. Microbiology: an introduction. The Benjamin/Cummings Publishing Company, INC. USA. [ Links ]
Wilson, I. A. 1997. Inhibition and facilitation of nucleic acid amplification. Appl. Environm. Microbiol. (USA). 63(10):37413751. [ Links ]













