Introducción
El desarrollo embrionario de la glándula tiroides inicia en la tercera-quinta semanas, desciende desde el foramen cecum a través de la línea media, anterior al hueso hioides y laringe, alcanzando su posición paratraqueal en la semana siete y dejando el conducto tirogloso, que se oblitera a las 9-10 semanas.1 El quiste de conducto tirogloso es la causa más común de tumores benignos de línea media en cuello en niños; en adultos, la persistencia de quiste de conducto tirogloso se presenta en aproximadamente el 7%, representa 70% de todas las anomalías congénitas del cuello y más del 50% contienen tejido tiroideo funcional. El carcinoma papilar es una situación poco frecuente, que sucede en alrededor del 1% de los quistes tiroglosos.2,3 Fue descrito de manera inicial por Bretano en 1911. La histología maligna más frecuente que ocurre en el quiste de conducto tirogloso persistente es el carcinoma papilar de tiroides; otras histologías menos frecuentes son escamoso, folicular, células de Hürthle.3,4 El origen del carcinoma de quiste tirogloso se encuentra en debate, se cuestiona si es primario del quiste o tiene origen en la glándula tiroides. La presentación clínica más común del quiste tirogloso es la aparición de un tumor en la línea media a nivel del hueso hioides. A continuación, se describe un caso de cáncer papilar de tiroides en un paciente con quiste tirogloso persistente.
Caso clínico
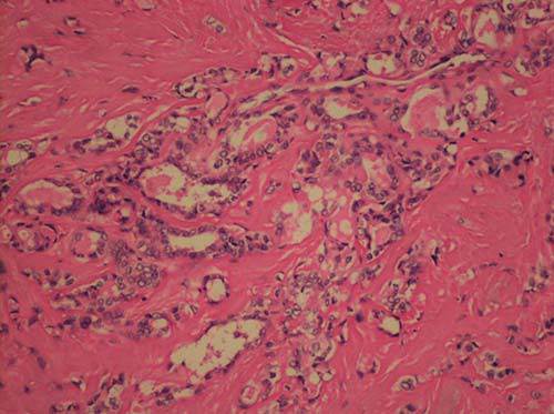
Paciente masculino de 54 años que inició su padecimiento actual con aparición de un tumor cervical anterior de seis meses de evolución, de 3 × 5 centímetros de diámetro. Ultrasonido de tiroides con nódulo tiroideo derecho de 5.0 × 3.8 × 4.0 cm, TIRADS 4c, con lesión tiroidea compleja sólido-quístico-septos y adenopatías sospechosas en nivel VI del cuello. Se realizó diagnóstico de carcinoma papilar de tiroides mediante biopsia por aspiración con aguja fina (BAAF) del nódulo tiroideo; el estudio de laboratorio para función tiroidea resultó dentro de los parámetros normales. Se llevó a cabo tiroidectomía total + resección de quiste tirogloso (Figura 1) con reporte patológico de carcinoma papilar variante convencional multifocal con desmoplasia moderada que infiltraba la cápsula tiroidea (Figura 2) y fibras del músculo estriado pretiroideo adyacente (Figura 3), tumor de lóbulo derecho de 2 × 1.5 × 1.3 cm, tumor de lóbulo izquierdo de 3.5 × 3 × 4 cm (Figura 4). Se discutió en junta multidisciplinaria, donde se decidió que era candidato a ablación con I-131. Después del tratamiento con I-131, se mantuvo sin complicaciones y con niveles de Tg < 0.2.
Discusión
El carcinoma tiroideo de quiste de conducto tirogloso es una entidad extremadamente rara, con incidencias aproximadas de entre 0.7 y 1.6%; de éstos, el carcinoma bien diferenciado es el más frecuente, constituyendo de 66.7 a 95%.1 El diagnóstico de este cáncer poco frecuente se hace, de manera usual, durante el transoperatorio o como hallazgo de patología. La mayoría de las ocasiones, los clínicos que hacen un diagnóstico de quiste de conducto tirogloso no sospechan un diagnóstico de cáncer de tiroides, por lo que no se realiza biopsia con aguja fina antes de un tratamiento quirúrgico.4 Además, en algunas series se ha llegado a encontrar que existe una alta probabilidad de falsos negativos: hasta 47% con la BAAF.5 La metástasis a ganglios linfáticos oscila entre 7 y 12%, la cual es menor comparada al carcinoma papilar de tiroides de manera global; la disección cervical debería ser reservada sólo para los pacientes con ganglios clínicamente positivos posterior a la resección del quiste tirogloso.6
Los estudios de imagen como la tomografía son importantes para evaluar la relación con el hueso hioides, las características de las estructuras adyacentes, el grosor de las paredes, los márgenes, los septos internos, el engrosamiento del anillo, la densidad interna y la presencia o ausencia de glándula tiroides.7 El ultrasonido también tiene alguna utilidad en este padecimiento, en la evaluación de la glándula tiroides y los ganglios cervicales.1 Consideramos que ante la sospecha de un carcinoma papilar originado en un quiste tirogloso, el abordaje ideal deberá incluir tomografía y ultrasonido.
En muchas de las ocasiones, el diagnóstico es incidental tras la cirugía.1 No existe un consenso acerca del tratamiento óptimo del cáncer papilar de tiroides del conducto tirogloso; esto se debe a lo raro del padecimiento. Existe controversia con respecto a la extensión de la cirugía, aunque la mayoría de los pacientes son llevados a procedimiento de Sistrunk,2 con el cual la tasa de recurrencia es menor del 5-30%.1 Este procedimiento puede ser tratamiento suficiente en pacientes de bajo riesgo (sin metástasis a distancia, resección macroscópica completa, histologías no agresivas, sin invasión vascular, sin metástasis a ganglios cervicales, edad menor de 45 años, sin historia de radiación, tumores de tamaño menor a 4 centímetros), de acuerdo con las características descritas en las guías clínicas de la Asociación Americana de Tiroides.7 Existen series en donde se reporta que el tipo de cirugía afecta el pronóstico, así que los pacientes con resecciones simples tienen una supervivencia a 10 años de 75% y los tratados con Sistrunk de 100%.3,8
La metástasis a ganglios regionales en el cáncer de quiste de conducto tirogloso ha sido reportada hasta en 88%; la disección central permite encontrar metástasis ocultas en ganglios regionales y modificar nuestra conducta de acuerdo con los hallazgos de patología. A pesar de que es claro que los ganglios laterales son relevo regional en el cáncer tiroideo, no está recomendada la disección lateral por ningún autor.2,4,9 Por lo anterior, el manejo de los ganglios en caso de tratarse de un cáncer de un quiste de conducto tirogloso se deberá realizar de acuerdo con las guías descritas para cáncer bien diferenciado de tiroides.7
Las indicaciones para terapia con yodo radioactivo y supresión de TSH deberán seguir los mismos principios que para el carcinoma papilar de tiroides, de acuerdo al grupo de riesgo en el cual se agrupe cada caso en particular.7
Conclusiones
El cáncer bien diferenciado de tiroides, de manera general, sin factores de mal pronóstico, es un diagnóstico con buena supervivencia. En el caso del cáncer de tiroides de quiste de conducto tirogloso, se trata de una entidad poco frecuente, por lo que consideramos que deberá ser tratado en centros que concentren gran número de pacientes y cuenten con los recursos suficientes para un manejo multidisciplinario. Proponemos, al igual que otros autores, que la técnica quirúrgica deberá incluir la resección del hueso hioides en su porción central. El resto del manejo oncológico, como la necesidad de yodo y disecciones ganglionares, estarán en función de los hallazgos transoperatorios y/o de patología, orientados por las guías clínicas que existen para el manejo de cáncer bien diferenciado de tiroides. No tenemos evidencia que nos haga pensar que el simple hecho de que se trate de cáncer de tiroides del quiste de conducto tirogloso sea un factor de mal pronóstico, aunque al ser tejido tiroideo fuera de la localización de la glándula tiroides, podríamos pensar que es ya un factor de mal pronóstico.
Al tratarse de una presentación de cáncer bien diferenciado de tiroides poco frecuente, será difícil hacer conclusiones con un alto nivel de evidencia para su manejo, pero éste deberá ser orientado por las guías actuales para cáncer bien diferenciado de tiroides y se tendrá que tomar decisiones en equipos multidisciplinarios.










nueva página del texto (beta)






