ANTECEDENTES
La endometriosis se define como la coexistencia de tejido endometrial funcional fuera de la cavidad uterina. Se estima que afecta del 6 al 10% de las mujeres en edad fértil. A lo anterior se agrega que del 35 al 100% de las mujeres con dolor pélvico y, aproximadamente, 5 a 50% de quienes padecen infertilidad tienen tejido endometrial ectópico.1
Por lo regular, la endometriosis se localiza en los tejidos adyacentes al útero: ovarios, trompas de Falopio y ligamentos circundantes; pocas veces se identifican células endometriales en localizaciones extrapélvicas.2
La endometriosis de la pared abdominal implica la coexistencia de tejido endometrial en la superficie peritoneal parietal; la incidencia reportada es de 0.03 a 3.5%.3 Ello puede, o no, estar relacionado con antecedentes quirúrgicos. La cesárea es uno de los procedimientos que más se vinculan: corresponde del 57 al 99.6% de los casos de endometriosis de la pared abdominal. 3,4 Por su parte, la histerectomía representó 1.38% de los procedimientos previos a la aparición de endometriosis de la pared abdominal en un estudio conducido por Nominato y colaboradores.5
Se han descrito diversas teorías respecto al origen de la endometriosis, entre ellas los implantes extrapélvicos, que lo más común es que se relacionen con procedimientos obstétricos; existen, incluso, descripciones de hallazgo de tejido endometrial en cicatrices de episiotomía.6
La inoculación directa de tejido endometrial viable en cualquiera de las capas de la pared abdominal, aunada a un estímulo hormonal, corresponde a la teoría más aceptada del origen de la endometriosis de la pared abdominal.5 Sin duda, las situaciones que compliquen la cirugía abdominal o predispongan a una mayor dificultad en la intervención quirúrgica aumentarán el riesgo de endometriosis de la pared abdominal, entre ellas el índice de masa corporal elevado.7 Debido a su baja incidencia, la endometriosis de la pared abdominal es un diagnóstico diferencial en muchas ocasiones olvidado. A pesar de ello, en las pacientes con riesgo es importante conocer los factores de riesgo asociados y su presentación clínica para poder reconocerla.
CASO CLÍNICO
Paciente de 35 años, con antecedentes ginecoobstétricos de: tres embarazos, tres cesáreas, última cinco años previos a la intervención, en la que se practicó una histerectomía obstétrica indicada por sangrado transoperatorio. El padecimiento actual se inició 24 horas previas a su ingreso, con dolor espontáneo en la fosa iliaca derecha, de difícil relación con los ciclos menstruales debido al antecedente quirúrgico, acompañado de aumento de volumen y náuseas. Al ingreso al hospital la paciente se encontró con: signos vitales en parámetros normales, afebril, con 98 kg, talla: 1.68 m e IMC de 34.7. En la exploración física se identificaron dos masas palpables, la primera en la fosa iliaca derecha y la segunda en la región infraumbilical, ambas dolorosas a la palpación, no reductibles, sin aumento de tamaño a la maniobra de Valsalva.
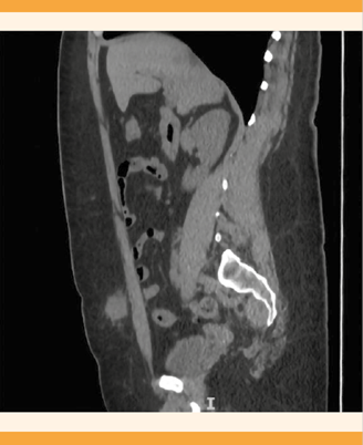
La tomografía abdominal reportó: útero con ausencia quirúrgica, hernia umbilical de 22 x 12 mm con contenido graso peritoneal y orificio herniario de 6 mm, posible tejido inflamatorio subcutáneo por debajo del saco herniario de 25 x 22 mm, con registro de densidad de 38 UH, tejido subcutáneo medial en la fosa iliaca derecha por arriba del músculo recto mayor de 22 x 19 mm, con registro de densidad de 21 UH. Figuras 1 y 2

Figura 2 Tomografía computada que muestra un tumor en el tejido celular subcutáneo de la fosa iliaca derecha (izquierda) y paraumbilical (derecha).
La intervención quirúrgica se decidió con el propósito de efectuar la exploración abdominal por medio de una incisión media-abdominal supra e infraumbilical de 7 cm. Se llevó a cabo la disección roma de tejidos blandos (Figura 3). En primera instancia se identificó un tumor paraumbilical derecho, cercano al defecto herniario de piel y tejidos blandos de 4 x 2 x 2 cm, indurado, con tejido inflamatorio graso perilesional que se resecó sin afectar el margen libre de 10 mm. Posteriormente, se procedió a la disección en plano graso del tumor de piel y tejidos blandos en la fosa iliaca derecha, a 5 cm de la línea media, encapsulado, con tejido inflamatorio yuxtalesional por encima de la aponeurosis de 8 x 3 x 2 cm (Figura 4); se resecó de forma similar al previo. En el resto de la exploración no se encontraron lesiones visibles o palpables. La pared se cerró dejando drenaje Blake 19 fr. Luego de la adecuada evolución, la paciente se dio de alta del hospital a las 72 horas posteriores de la intervención quirúrgica.
El reporte histopatológico de ambas piezas fue (Figura 5): 1) Tumor de tejidos blandos en la región infraumbilical, compatible con endometriosis, fibrosis acentuada con inflamación crónica multifocal. 2) Tumor de tejidos blandos en la región pararrectal derecha, compatible con endometriosis, fibrosis acentuada e inflamación crónica.
DISCUSIÓN
A pesar de que la endometriosis de la pared abdominal es poco común existe gran cantidad de reportes y revisiones que tratan de esclarecer su complejidad, derivada de su multifactoriedad y iatrogenia.1,2,4,7
El enigma fisiopatológico de su causa ha sido por demás discutido. Diversas teorías han intentado explicar, de forma inconclusa, las diferentes manifestaciones de la endometriosis. Con certeza, explicaciones como la migración celular y metaplasia, menstruación retrógrada o, más reciente, el sangrado uterino neonatal, ninguna de ellas figura en la endometriosis de la pared abdominal.1,2
En referencia a la endometriosis de la pared abdominal, la inoculación directa y la proliferación celular son, sin duda, la base etiológica. Las células endometriales, una vez implantadas en el tejido extrauterino, son dependientes de interacciones entre factores y enzimas locales que estimulan la proliferación y diferenciación celular de la matriz, que es lo que da lugar a la endometriosis de la pared abdominal. El factor de crecimiento transformador beta (TGFβ) se ha asociado con este fenómeno; incluso, diversos estudios han demostrado que existe una sobreexpresión de ese factor en el líquido peritoneal de las pacientes que resultan con endometriosis, comparadas con quienes no lo hacen.8 Se cree que tiene una participación importante en diferentes fases de la aparición de la lesión. El aumento del factor de crecimiento transformador beta conduce a una respuesta inmunitaria inapropiada, lo que deriva en una actividad disminuida por parte de las células NK (natural killer). Este proceso podría contribuir a la supervivencia de las células endometriales ectópicas en su sitio de implantación. También las altas concentraciones de TGFβ podrían ser las responsables de aumentar la adhesión de las células a la superficie peritoneal de la pared abdominal. Por último, de igual manera, podría tomar parte en la invasión y angiogénesis por medio de cambios en el metabolismo celular, semejante a lo que sucede con las células cancerígenas.8 Todo esto teniendo como consecuencia la implantación y mantenimiento de las células endometriales en la pared abdominal.
Luego de estudiar las células de los endometriomas se encontró que están compuestas de tejido fibrótico denso y de células fibroblásticas estromales.9 A diferencia de los fibroblastos que se encuentran en la dermis, estas células son PR+ (progesterona-receptor), lo que sugiere que su origen es el estroma endometrial. A pesar de ello, los endometriomas son resistentes al tratamiento con progesterona.9 Se cree que esa insensibilidad se debe a una cantidad disminuida de receptores de progesterona o a su metabolismo elevado10 y desregulación en los sitios de unión de los receptores; todo ello inducido por la inflamación de los endometriomas;11 además de la existencia de radicales libres y el estrés oxidativo causado por la inflamación.11 Todos estos factores podrían ser responsables de la resistencia ante estímulos progestágenos, lo que dificulta la prevención mediante tratamiento hormonal exclusivo.9
Los receptores PPAR-γ (receptores activados por proliferadores peroxisomales-gamma) se han relacionado con el dolor cíclico que sufren estas pacientes.12Tal y como se encontró en un estudio de McKinnon y su grupo existe una correlación positiva entre el dolor y la expresión de PPAR-γ en lesiones endometriales obtenidas del peritoneo, lo que a su vez se correlaciona con dispareunia, dolor pélvico y dismenorrea.13 La activación de los receptores de PPAR-γ es la responsable de mediar reacciones inflamatorias porque controla la transcripción de diferentes citocinas proinflamatorias en el tejido endometrial.14
Un estudio conducido por Tokushige y su grupo encontró que existe mayor densidad de fibras nerviosas en las lesiones endometriales en comparación con mujeres con peritoneo sano, lo que contribuye al dolor experimentado en estas pacientes.15
Se han identificado ciertos factores necesarios para que haya endometriosis de la pared abdominal: inflamación local y activación de metaloproteinasas en el sitio de inoculación debida a la coexistencia de factores de crecimiento locales, estimulación estrogénica por medio de receptores de estrógeno y cambios epigenéticos.2
La endometriosis de la pared abdominal se manifiesta con un cuadro clásico de la enfermedad endocrino-ginecológica. Esquivel-Estrada sospechó que se basa, principalmente, en tres síntomas: 1) dolor intermitente relacionado con los ciclos menstruales, 2) antecedente quirúrgico, sobre todo obstétrico y 3) masa tumoral en la región adyacente. Estos síntomas pueden, incluso, coexistir durante varios años antes del diagnóstico.16
Según se desprendió del interrogatorio y la exploración física, la paciente del caso tenía dos de estos síntomas clásicos: antecedente quirúrgico y masa palpable. Desde luego que puede haber ligeras variaciones en su forma de manifestarse. El dolor abdominal espontáneo era difícil relacionarlo con el ciclo menstrual porque había el antecedente de histerectomía en la última cesárea.
De lo anterior se desprende que es posible identificar tres puntos importantes de riesgo. Horton aisló los riesgos de cada evento y consiguió estimarlos en 57% en relación con la cesárea, además de su asociación con la histerectomía del 11%,4 aunado a un evento obstétrico de urgencia y la obesidad que predispusieron de manera muy relevante a la endometriosis de la pared abdominal.
La resección quirúrgica y la histopatología son la base para el diagnóstico definitivo y tratamiento. Los estudios de imagen auxiliares pueden facilitar la identificación de este padecimiento sin alcanzar la certeza. La ecografía abdominal y transvaginal esclarecen las sospechas diagnósticas, sobre todo en la endometriosis pélvica. En la endometriosis de la pared abdominal los estudios de imagen de elección son la tomografía computada o la resonancia magnética; en la paciente del caso se optó por la primera. La tomografía computada permitió evaluar adecuadamente la localización y características de las lesiones y ofrecer la mejor aproximación quirúrgica.1,17,18
La selección de la incisión se hizo con base en la localización y cantidad de lesiones. La herida en la línea media permitió practicar con facilidad la resección del tumor infraumbilical y dejar márgenes libres de 1 cm. Se ejecutó lo mismo con el tumor de la fosa iliaca derecha mediante la disección en plano subcutáneo.
Se estima una recurrencia de 1.5 a 11.4%,19 en particular en pacientes en quienes el tejido no logra extirparse en su totalidad. Los márgenes sugeridos por consenso son de 10 mm. Además, debe hacerse la resección de las estructuras involucradas en la lesión, como la aponeurosis y la piel. En algunas pacientes puede ser necesario crear colgajos para reconstrucción o aplicar mallas para la reparación del defecto en la pared.18,19
Existen medidas de prevención dirigidas a disminuir la incidencia. Para minimizar el contacto se recomienda: el uso de bolsas de extracción para cirugía ginecológica laparoscópica, no utilizar la misma sutura para el cierre del útero y la pared, cobertura y protección de los bordes de la herida, lavado de ésta, remoción del cuerpo lúteo durante la histerectomía, cierre del peritoneo y evitar espacios muertos subcutáneos.18,20,21 Puesto que estas estrategias no garantizan la resolución del problema es necesario continuar con estudios posteriores e, incluso, replantear el método quirúrgico.
CONCLUSIÓN
La endometriosis es un padecimiento con alta prevalencia en el mundo, no así en su ubicación en la pared abdominal. A pesar de que aún no se conoce con certeza su causa, se sabe que la inoculación directa (muchas veces debida a un procedimiento ginecológico quirúrgico) y la proliferación celular tienen participación relevante en su origen. Los síntomas pueden ser variables entre las pacientes, por eso debe pensarse en la endometriosis en quienes tienen masas abdominales con intervención quirúrgica ginecológica abdominal previa y factores de riesgo coexistentes.










nueva página del texto (beta)






