SciELO - Scientific Electronic Library Online

 
vol.90 número7Cistoadenofibroma gigante de ovario: reporte de casoMioma nascens: reporte de caso índice de autoresíndice de materiabúsqueda de artículos
Home Pagelista alfabética de revistas  

Servicios Personalizados

Revista

Articulo

Indicadores

Links relacionados

  • No hay artículos similaresSimilares en SciELO

Compartir


Ginecología y obstetricia de México

versión impresa ISSN 0300-9041

Ginecol. obstet. Méx. vol.90 no.7 Ciudad de México jul. 2022  Epub 26-Sep-2022

https://doi.org/10.24245/gom.v90i7.6881 

Casos clínicos

Malignidad o no de las masas anexiales de gran tamaño. Reporte de caso

Malignancy or not of large adnexal masses. Case report

María Fernanda Toro-Wills1 

Adriana Paola Redondo-Rada2 

Melissa Rodríguez-Siachoque3 

1 Ginecoobstetra. Centro Hospitalario Serena del Mar, Universidad del Rosario, Bogotá, Colombia.

2 Médica general. Centro Hospitalario Serena del Mar, Universidad del Rosario, Bogotá, Colombia.

3 Residente de Ginecología y Obstetricia. Centro Hospitalario Serena del Mar, Universidad del Rosario, Bogotá, Colombia.


Resumen

ANTECEDENTES:

Una masa anexial es una prominencia de localización cercana, o relacionada con los órganos reproductores femeninos y sus tejidos circundantes. En la práctica clínica, las masas anexiales representan un dilema en cuanto a su diagnóstico y tratamiento. El diagnóstico suele ser fortuito, luego de un hallazgo en el examen ginecológico o en estudios de imagen.

CASO CLÍNICO:

Paciente de 29 años, con antecedentes de tres embarazos, dos partos y un aborto, sin comorbilidades asociadas. El último parto se registró en enero del 2021. Acudió a consulta debido a un cuadro de dolor en la parte inferior del abdomen, tipo cólico, de intensidad progresiva 7/10 en la escala visual análoga, irradiado a la zona lumbar, asociado con episodios eméticos, sin ningún otro síntoma, de una semana de evolución. Al ingreso a Urgencias sus condiciones generales se estimaron aceptables: hidratada, álgica, sin alteraciones cardiacas ni pulmonares, sin afectación neurológica ni adenopatías.

CONCLUSIONES:

Es importante individualizar cada caso, determinar las características ecográficas y llevar a cabo un tratamiento escalonado conforme a la respuesta clínica de las pacientes. La bibliografía y este reporte comprueban la utilidad de los nuevos índices propuestos por la IOTA para el cálculo del riesgo de malignidad de masas complejas anexiales. En este reporte de caso se logra observar una correcta relación entre la sospecha preoperatoria y el desenlace histológico final.

PALABRAS CLAVE: Masas anexiales; estudios de imagen; ultrasonido; antígeno CA-125; IOTA

Abstract

BACKGROUND:

An adnexal mass is a prominence of location close to, or related to, the female reproductive organs and their surrounding tissues. In clinical practice, adnexal masses represent a diagnostic and treatment dilemma. Diagnosis is usually fortuitous, following a finding on gynecological examination or imaging studies.

CLINICAL CASE:

29-year-old patient, with a history of three pregnancies, two deliveries and one miscarriage, with no associated comorbidities. The last delivery was recorded in January 2021. She came for consultation due to a picture of pain in the lower abdomen, colic type, of progressive intensity 7/10 on the visual analog scale, radiating to the lumbar area, associated with emetic episodes, without any other symptoms, of one week of evolution. On admission to the emergency department, her general condition was considered acceptable: hydrated, energetic, without no cardiac or pulmonary alterations, without neurological involvement or lymphadenopathies.

CONCLUSIONS:

It is important to individualize each case, determine the ultrasound characteristics and carry out a stepwise treatment according to the clinical response of the patients. The literature and this report prove the usefulness of the new indexes proposed by IOTA for the calculation of the risk of malignancy of complex adnexal masses. In this case report a correct relationship between preoperative suspicion and final histologic outcome is observed.

KEYWORDS: Adnexal masses; Imaging studies; Ultrasonography; CA-125 antigen; IOTA

ANTECEDENTES

Una masa anexial es una prominencia de localización cercana, o relacionada con los órganos reproductores femeninos y sus tejidos circundantes.1 En la práctica clínica, las masas anexiales representan un dilema en cuanto a su diagnóstico y tratamiento. 2 El diagnóstico suele ser fortuito, luego de un hallazgo en el examen ginecológico o en estudios de imagen. 2

El cáncer de ovario es una neoplasia ginecológica prevalente que suele diagnosticarse en estadios avanzados, circunstancia que condiciona su pobre pronóstico a corto plazo. 3 Es prioritario determinar la naturaleza de una masa anexial, benigna o maligna, para determinar la pertinencia del proceso de tratamiento por parte del ginecólogo o del especialista en Oncología. 1 La ultrasonografía es el patrón de referencia que permite distinguir la naturaleza de las lesiones anexiales. 3 La valoración ecográfica tiene una alta sensibilidad y especificidad para catalogar las lesiones sin dejar de lado que los marcadores tumorales pueden no ser confiables y que su elevación depende de múltiples factores, no necesariamente asociados con el cáncer. 1,3

Enseguida se comunica el caso de una paciente con una masa anexial de gran tamaño, con elevación de marcadores tumorales, que inició con un cuadro agudo de torsión ovárica que el análisis histológico reportó benigno. Se destaca la importancia del enfoque multimodal: clínico, imagenológico y bioquímico sumado a los índices de riesgo disponibles y validados para ofrecer un tratamiento individualizado, oportuno y adecuado.

CASO CLÍNICO

Paciente de 29 años, con antecedentes de tres embarazos, dos partos y un aborto, sin comorbilidades asociadas. El último parto se registró en enero del 2021. Acudió a consulta debido a un cuadro de dolor en la parte media inferior del abdomen, tipo cólico, de intensidad progresiva 7-10 en la escala visual análoga, irradiado a la zona lumbar, asociado con episodios eméticos, sin ningún otro síntoma, de una semana de evolución. Al ingreso a Urgencias sus condiciones generales se estimaron aceptables: hidratada, álgica, sin alteraciones cardiacas ni pulmonares, sin afectación neurológica ni adenopatías.

Llamó la atención, al examen físico, el evidente aumento del perímetro abdominal con palpación de una masa de, aproximadamente, 20 cm ubicada en el hemiabdomen inferior, con dolor en el flanco y la fosa iliaca derecha, sin signos de irritación peritoneal. Al tacto vaginal, el cuello uterino se encontró: posterior, blando, cerrado, no doloroso a la movilización, con evidencia de masa quística de aproximadamente 4 cm, dependiente del anexo izquierdo. No fue posible palpar el anexo derecho, sin evidencia de sangrado o flujo.

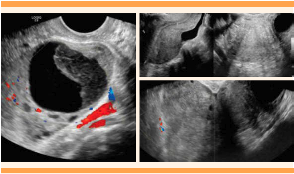
Los análisis paraclínicos no reportaron leucocitosis ni anemia, la función renal estaba preservada (creatinina 0.62 mg/dL, BUN 11). La ecografía transvaginal reportó: útero en anteversión de forma, tamaño y ecogenicidad normal, sin lesiones en el miometrio, de 57 x 54 x 45 mm, volumen de 74.7 cc. El cuello del útero reportó un aspecto ecográfico normal. El espesor ecogénico del endometrio fue de 6.1 mm. El ovario izquierdo se encontró aumentado de tamaño: 54 x 53 x 41 mm, con 61.67 cc de volumen. En su interior se identificó una lesión redonda, hipoecoica, con componente sólido en su interior y aspecto en vidrio esmerilado, sin flujo de Doppler color de 38 x 36 x 36 mm. No fue posible visualizar el ovario derecho, en su topografía se encontró una gran masa, evaluada de manera incompleta por vía transvaginal, con componente sólido y quístico, sin flujo al Doppler color, sin claro plano de clivaje con la pared del útero de dimensiones aproximadas de 174 x 154 x 106 mm y 1494 cc de volumen líquido libre, particulado, en la pelvis. Figura 1

Figura 1 Imágenes ecográficas de lesiones anexiales. La imagen del lado izquierdo corresponde al anexo, con Doppler color. La imagen del lado derecho es la visualización ecográfica del útero en corte longitudinal y porciones de masa anexial derecha, con Doppler color. 

La TAC de abdomen y pelvis, con contraste, comprobó la existencia de la masa anexial derecha, compleja, de gran tamaño, de comportamiento tomográfico no agresivo (Figura 2) y una lesión anexial izquierda, compleja, quizá relacionada con el endometrioma. Los marcadores tumorales reportaron: gonadotropina coriónica humana (BHCG) negativa, LDH 285 UI/L normal, antígeno carcinoembrionario (CEA) negativo: 0.59 ng/mL, antígeno carbohidratado 19-9 (CA 19-9) negativo: 8.5 U/mL, alfafetoproteína (AFP) negativa: 1.22 ng/mL, antígeno del cáncer 125 (CA 125) 93.40 U/mL solo este último parámetro se reportó positivo.

Figura 2 Imágenes de TAC con contraste de abdomen y pelvis. Se observan dos cortes: coronal y sagital. 

Con fundamento en los hallazgos imagenológicos y marcadores tumorales se hicieron cálculos para determinar la naturaleza de la masa y el riesgo de malignidad. El índice de riesgo de malignidad (I) se encontró en 280.2 (sugerente de malignidad); el algoritmo de regresión logarítmica-1 (LR1- IOTA) en 2.5% (benigno), reglas simples (IOTA) con hallazgos sugerentes de benignidad, e índice ADNEX con una probabilidad del 90.5% de benignidad.

Los informes imagenológicos eran sugerentes de patología benigna, con ausencia de afectación a los órganos intraabdominales e índices de malignidad de IOTA sumamente sugerentes de benignidad; con base en esto se decidió la intervención quirúrgica. El procedimiento fue una laparotomía, que documentó un gran tumor en el ovario derecho (20 x 17 cm), con superficie lisa violácea, opaca, necrótica, con tres vueltas sobre su propio eje en torno al pedículo vascular, sugerente de torsión anexial (Figura 3). El anexo izquierdo estaba aumentado de tamaño (5 x 4 cm), con un quiste simple, de contenido cetrino. Se procedió a la salpingooforectomía derecha, cistectomía del ovario izquierdo y liberación de las adherencias del ovario derecho, sin complicaciones. Los tejidos retirados y la muestra de líquido peritoneal se enviaron para su análisis con el patólogo.

Figura 3 Imágenes intraoperatorias de la lesión anexial, con evidencia de torsión del pedículo vascular y extensa necrosis. 

La evolución posoperatoria de la paciente fue favorable, el reporte del líquido peritoneal fue negativo para malignidad. El ovario izquierdo, el cuerpo lúteo hemorrágico, el ovario derecho, la masa ovárica quística y el parénquima ovárico se reportaron con extensa necrosis hemorrágica, edema e inflamación aguda y crónica; la trompa uterina derecha con extensa necrosis hemorrágica, edema e inflamación aguda y crónica. La paciente se dio de alta del hospital, sin complicaciones y asintomática.

DISCUSIÓN

Cuando se sospecha una masa, el apoyo de las imágenes es decisivo para una orientación de su naturaleza. 1 La ecografía es el patrón de referencia para la valoración de las masas de origen ginecológico. Las características que refieren benignidad consisten en lesiones de contornos regulares, únicas, sin lobulaciones, con componentes sólidos con diámetros menores a 7 mm, sombra acústica, sin flujo al Doppler color. 1 En la paciente del caso, siguiendo lo recomendado en la bibliografía, se procedió al estudio ecográfico; sin embargo, por el tamaño de la masa, no fue posible visualizarla adecuadamente; por eso se optó por la tomografía que, además, permitió evaluar si había daño o no en algún otro órgano que apuntase a malignidad.

El cáncer de ovario es una de las neoplasias ginecológicas más frecuentes en el mundo, casi siempre se diagnostica tardíamente y su supervivencia a cinco años es menor del 10%.3 Es prioritario identificar los procesos potencialmente malignos, a fin de que haya una repercusión temprana y mínima en la morbilidad y mortalidad. Para esto son útiles los marcadores tumorales. 2,3 Éstos, son moléculas que se elevan según el tipo histológico del que se derivan. 2 Los tumores de origen epitelial, como el cáncer de ovario epitelial, elevan el Ca-125, mientras que los tumores metastásicos al ovario de origen gastrointestinal aumentan las concentraciones del antígeno carcinoembrionario y Ca 19-9. 1,2,3

Los tumores germinales elevan las concentraciones de la alfafetoproteína y del lactato deshidrogenasa. 1,2,3 Las molas, o coriocarcinomas, derivadas del tejido trofoblástico muestran una elevación de la gonadotropina coriónica. La paciente del caso clínico expuesto tuvo elevación del Ca-125. 1,2,3

El Ca-125 y, en general, los marcadores tumorales, son de alta sensibilidad pero baja especificidad. Hay muchas causas no oncológicas que dan lugar a su elevación, entre ellas destacan: la inflamación, la endometriosis, la enfermedad pélvica inflamatoria, la menstruación e, incluso, el embarazo. 4 A la paciente del caso se le practicaron todas las ayudas diagnósticas necesarias que apuntaban que, a pesar del gran tamaño de la lesión y la elevación de marcadores tumorales (Ca-125), se trataba de una masa benigna.

Para evitar los diagnósticos inadecuados, en el año 2000 un grupo de expertos en ecografía ginecológica denominado IOTA (International Ovarian Tumor Analysis) desarrolló un estudio multicéntrico para diseñar herramientas para el diagnóstico preoperatorio del cáncer de ovario. 5 A partir de ese estudio se establecieron unos índices basados en la determinación de las características intrínsecas de las masas para, así, catalogar su naturaleza. 1-4 Por medio del modelo IOTA se ejecutaron modelos de regresión logística (LR1 y LR2) y un sistema más simple de predicción de riesgo de malignidad, llamado reglas simples. 5 En el caso clínico descrito se calculó el riesgo con las reglas simples, los algoritmos de regresión logarítmica 1 y 2 (LR1 -LR2) y el índice ADNEX propuestos por la IOTA1. Los índices mencionados arrojaron reportes sugerentes de benignidad de las masas anexiales.

Otro índice de riesgo de malignidad es el de Jacobs, que se calcula con la edad multiplicada por el valor de Ca-125 y las características ecográficas. 6,7 Un índice de Jacobs con un valor superior a 200 sugiere malignidad. 6,7 Al respecto, la paciente obtuvo un puntaje de 280.2 por encima del punto de corte e indicativo de atención por parte del especialista en Ginecología oncológica, ante la sospecha de masa de origen neoplásico.

La paciente se intervino y se confirmó, por medios histopatológicos, su naturaleza benigna y se corroboró la correcta catalogación con los criterios calculados por IOTA.

La decisión de la intervención quirúrgica en la paciente del caso se basó en un conjunto de factores, entre ellos la caracterización ecográfica: diámetro de la lesión, componente sólido, regularidad de las paredes, índices predictores, edad, antecedentes familiares oncológicos, marcadores bioquímicos Ca-125 y los síntomas. 1,8 Es importante recordar las limitaciones diagnósticas de los marcadores tumorales, sobre todo del Ca-125. Se requiere una apropiada interpretación por parte del personal de salud que recuerde que no siempre esta elevación se asocia con la existencia preoperatoria de cáncer; un diagnóstico inapropiado trae consigo la sospecha injustificada de malignidad, con toda la carga biopsicosocial que ello acarrea. 4

CONCLUSIONES

Es importante individualizar cada caso, determinar las características ecográficas y llevar a cabo un tratamiento escalonado conforme a la respuesta clínica de las pacientes. La bibliografía y este reporte comprueban la utilidad de los nuevos índices propuestos por la IOTA para el cálculo del riesgo de malignidad de masas complejas anexiales. En este reporte de caso se logra observar una correcta relación entre la sospecha preoperatoria y el desenlace histológico final.

REFERENCIAS

1. Salvador S, Scott S, Glanc P, Eiriksson L, Jang JH, Sebastianelli A, Dean E. Guideline No. 403: Initial Investigation and Management of Adnexal Masses. J Obstet Gynecol Can 2020; 42 (8): 1021-1029.e3. doi:10.1016/j.jogc.2019.08.044 [ Links ]

2. Practice Bulletin No. 174: Evaluation and Management of Adnexal Masses. Obstet Gynecol 2016; 128 (5):2210-e226. doi: 10.1097/AOG.0000000000001768 [ Links ]

3. Timmerman D, Planchamp F, Bourne T, du Bois L, et al. ESGO/ISUOG/IOTA/ESGE Consensus Statement on pre-operative diagnosis of ovarian tumors. Ultrasound Obstet Gynecol 2021; 58 (1): 148-86. https://doi.org/10.1002/uog.23635 [ Links ]

4. Bottoni P, Scatena R. The role of CA 125 as tumor marker: Biochemical and clinical aspects. Adv Exp Med Biol 2015; 867: 229-44. doi: 10.1007/978-94-017-7215-0_14 [ Links ]

5. Timmerman D, Valentin L, Bourne TH, Collins WP, Verrelst H, et al. Terms, definitions and measurements to describe the sonographic features of adnexal tumors: a consensus opinion from the International Ovarian Tumor Analysis (IOTA) Group. Ultrasound Obstet Gynecol 2000; 16 (5): 500-5. doi: 10.1046/j.1469-0705.2000.00287.x [ Links ]

6. González-Burgos OM, Álvarez-Licona NE, Lever-Rosas CD. Comparación de tres índices ecográficos para evaluación del riesgo de malignidad de los tumores anexiales. Ginecol Obstet Mex 2018; 86 (8): 519-29. https://doi.org/10.24245/gom.v86i8.1399 [ Links ]

7. Meléndez-González CV, SaldañaSolorzano CF, Machorro-García EG, González-Habib R. Correlación entre el índice de malignidad de Jacobs II y el reporte anatomopatológico en tumores de ovario. Ginecol Obstet Mex 2019; 87 (5): 277-87. https://doi.org/10.24245/gom.v87i5.2680 [ Links ]

8. Cicchiello LA, Hamper UM, Scoutt LM. Ultrasound evaluation of gynecologic causes of pelvic pain. Obstet Gynecol Clin N Am 2011; 38: 85-114. https://doi.org/10.1016/j.ogc.2011.02.005 [ Links ]

1Este artículo debe citarse como: Toro-Wills MF, Redondo-Rada AP, Rodríguez-Siachoque M. Malignidad o no de las masas anexiales de gran tamaño. Reporte de caso. Ginecol Obstet Mex 2022; 90 (7): 606-611.

Recibido: Septiembre de 2021; Aprobado: Febrero de 2022

Correspondencia María Fernanda Toro Wills mariaf.toro@urosario.edu.co

Creative Commons License Este es un artículo publicado en acceso abierto bajo una licencia Creative Commons