ANTECEDENTES
La coincidencia temporo-espacial; es decir, la simultaneidad de dos o más neoplasias benignas, malignas o combinadas que afectan a un mismo órgano o tejido es lo que define al tumor de colisión. Éste se distingue por sus diferencias conductuales, genéticas e histológicas; además, las neoplasias se yuxtaponen sin áreas de entremezclado. Su diagnóstico suele ser fortuito y su comportamiento por demás desconocido.1-6
El estudio de estas neoplasias deja ver que hay algunos factores que pudieran explicar la formación de los tumores de colisión: edad avanzada, tratamiento previo con quimioterapia o radioterapia, predisposición genética o la exposición a agentes carcinógenos ambientales y la inmunosupresión. En la actualidad se han propuesto diversas hipótesis acerca de la patogénesis que podrían explicar la etiopatogenia:
La aparición es coincidente, sobre todo en tumores que se originan en tejidos vecinos o por aposición espontánea de dos tumores no relacionados.
Proliferación simultánea de dos líneas celulares diferentes.
Origen común de células madre precursoras pluripotentes que se diferencian en dos componentes.
Un agente carcinogénico puede inter-actuar con diferentes tejidos e inducir distintos tumores.
Un factor de crecimiento oncogénico, producido por un tumor metastásico que podría inducir el crecimiento del cáncer primario en el sitio de la metástasis o favorecer la diferenciación de la lesión metastásica para imitar la histología del tumor primario del órgano de la lesión metastásica.
La alteración en el microambiente, como la angiogénesis y la inflamación, por el tumor primario, podría facilitar el crecimiento de metástasis de un segundo tumor primario de otro órgano.7-13
CASO CLÍNICO
Paciente de 53 años, con antecedentes de madre con cáncer gástrico, hermana con cáncer de mama, hermano y tía paterna con diabetes mellitus tipo 2, residente de Puebla, casada, escolaridad con licenciatura trunca. Alcoholismo ocasional, salpingoclasia bilateral a los 33 años, una cesárea.
Acudió al servicio de Urgencias debido a dolor intermitente de siete meses de evolución. En las últimas semanas se intensificó y se agregaron náuseas y vómitos. En la exploración abdominal se detectó aumento de volumen en el área pélvica, sin irritación peritoneal. A la palpación bimanual el cuello uterino se encontró de 3 x 3 cm, sin pérdidas transvaginales o tumoración.
Los marcadores tumorales CA-125, CA 19-9 y el antígeno carcinoembrionario se determinaron en valores normales. El rastreo ultrasonográfico encontró, en la fosa ovárica izquierda, una imagen quística simple, con paredes ecogénicas definidas de 123 cc; otra imagen quística compleja, de menor tamaño, a expensas de septos gruesos de aspecto multilocular, con interior heterogéneo predominantemente anecoico, con ecos finos en su interior (volumen de 18 cc) y un componente sólido ecogénico de 25 x 20 mm.
Si bien no pudo obtenerse el reporte tomográfico con los hallazgos del ultrasonido, marcadores tumorales y persistencia del dolor se decidió la intervención quirúrgica. La visualización de la cavidad abdominal, en el intraoperatorio, permitió advertir la existencia de una tumoración dependiente del ovario izquierdo, de aspecto quístico multilocular transparente que alternaba con zonas de aspecto sólido, de color blanco, de consistencia firme, de 8 a 10 cm de tamaño: se optó por la histerectomía total.
El estudio anatomopatológico del espécimen estableció el diagnóstico de tumor en colisión del ovario izquierdo, cistoadenofibroma seroso papilar y fibrotecoma de 10 x 7 x 7 cm. La tumoración tenía dos áreas: una de ellas quística multilocular, con contenido luminal seroso, en algunos de los lóculos se observaron pequeñas proyecciones papilares, de base ancha y fibrosa, separadas de otro componente tumoral circunscrito, de color amarillo, de 5 cm, mezclado con zonas de aspecto fibroso, de color blanco, de consistencia media.
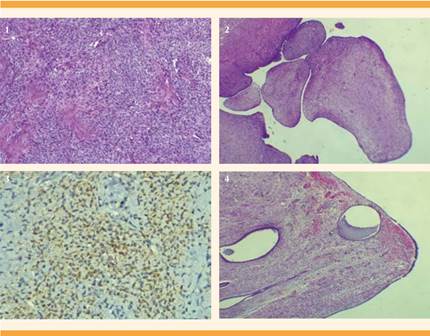
En el estudio microscópico se observaron dos componentes tumorales: uno formado por una pared delgada de tejido fibroso, en algunos segmentos con formaciones papilares no complejas, revestidas de epitelio cúbico simple, separados por bandas de fibrosis. El otro componente estaba formado por una proliferación de células fusocelulares, de escaso citoplasma y núcleos ovalados, alternando con zonas hipocelulares, compuestas de colágena. El análisis inmunohistoquímico mostró inmunoexpresión positiva para inhibina. Cuatro meses después de la extirpación quirúrgica la paciente continuaba asintomática. El control se estableció con tomografía computada de abdomen, sin nuevos hallazgos patológicos.
DISCUSIÓN
Los tumores de colisión se han descrito en diversos sitios del cuerpo: cerebro, glándula tiroides, pulmón, unión esofagogástrica, hígado, recto, riñón, glándula suprarrenal, páncreas, vías biliares, vejiga, útero y en otros órganos; la mayor parte se localizan en los órganos digestivos o endocrinos. Los tumores de colisión ovárica son un subtipo relativamente más raro, o quizá exista desconocimiento e inexperiencia con ellos en las diversas especialidades implicadas en el proceso de diagnóstico, que se refleja en una baja incidencia.9,14, 15,16

Figura 2 Útero y ovario izquierdo seccionados a la mitad. Se identifica un pólipo en la cavidad uterina, el ovario con una lesión quística multilocular revestida por papilas simples y una tumoración nodular circunscrita, de color amarillo y blanco.
En el campo de la Ginecología se han descrito en el cuerpo uterino, cuello del útero y ovario. En éste pueden crecer tumores histológicamente diferentes entre sí. Casi todos los tumores de colisión ovárica descritos engloban diferentes combinaciones de tumores epiteliales, de células germinales y del estroma del cordón sexual, benignos o malignos. El tipo más común está formado por un teratoma quístico maduro y una neoplasia mucinosa de ovario (cistoadenoma o cistoadenocarcinoma). Los síntomas son inespecíficos; sin embargo, en la bibliografía llegan a referirse: dolor abdominal intermitente, distensión y elevación del CA-125 como los más comunes.17-21

Microfotografía 2. Tumoración quística revestida por papilas simples anchas, de tallo fibroso, revestidas por epitelio cúbico simple.
Microfotografía 3. Inhibina positiva en tumoración fibrotecomatosa. Microfotografía 4. Pólipo endometrial compuesto por un tallo de tejido fibroconectivo vascularizado, acompañado de glándulas endometriales con dilatación quística revestidas por epitelio cilíndrico inactivo.
Figura 3 Microfotografía 1. Tumoración fibrotecomatosa compuesta por células fusocelulares de escaso citoplasma y núcleos ovalados en algunas de ellas, con nucléolos aparentes que alternan con zonas hipocelulares compuestas de colágena.
Los tumores de colisión ovárica, compuestos por tumores epiteliales y de los cordones sexuales, son muy raros. Las combinaciones publicadas incluyen: cistadenocarcinoma seroso papilar y tumores de células de la granulosa, cistadenoma seroso y tumores de células de Sertoli-Leydig, además de carcinomas endometrioides y tumores de células de la granulosa o cistadenoma seroso o mucinoso con fibrotecomas, como en la paciente del caso. El comportamiento biológico depende de sus propias características tumorales.
La tomografía computada y la resonancia magnética son los exámenes más utilizados e ideales por sus capacidades multiplanares de alta calidad y alta resolución que proporcionan una imagen global del tumor, junto con la diferenciación de cada componente.10,22,23
Debido a una histogénesis no lo suficientemente clara de estos tumores, la importancia de diferenciar entre las dos entidades y, en casos excepcionales, hasta tres entidades, es porque la diversidad morfológica e inmunofenotípica ya sea benigna, maligna o limítrofe mantienen una influencia significativa en el tratamiento posterior. Cuando el examen patológico preoperatorio arroja informes inconsistentes lo conducente es la discusión multidisciplinaria entre médicos, cirujanos y patólogos. Si es posible debe haber una consulta intraoperatoria con patólogos especialistas en Ginecología; esto para reducir el riesgo de diagnóstico erróneo o perdido.24,25
En el ovario, la colisión de fibrotecoma y cistadenoma seroso es una combinación poco común que se vuelve un desafío, sobre todo si se carece de un diagnóstico preoperatorio fiable y, a menudo, se establece en el posoperatorio, como sucedió en la paciente del caso.26
CONCLUSIONES
Los tumores de colisión en el ovario son excepcionales; por tanto, hay poca bibliografía de este tipo de neoplasias únicas o múltiples; ello obliga al clínico a descartar su origen histológico diverso. Ante la sospecha, la evaluación clínica, radiológica y un diagnóstico anatomopatológico minucioso de cada componente, acompañado de marcadores de inmunohistoquímica, son imprescindibles para poder establecer el diagnóstico de tumores de colisión. Su tratamiento dependerá, sobre todo, de la composición histológica.










nueva página del texto (beta)



