ANTECEDENTES
Los tumores “borderline” o tumores en el límite de malignidad o tumores de ovario limítrofe o tumores de bajo potencial maligno o proliferación atípica se describieron como cistoadenomas proliferativos. Pfannenstiel 1898, Abel en 1901 y Taylor en 1929 introdujeron el término “semimaligno”.1 La FIGO publicó en 1971 la clasificación de todos los tumores de ovario epitelial y la OMS los reconoció en su clasificación de 1973. 2 En la actualidad se utilizan tres términos: tumor limítrofe de ovario; tumor de bajo potencial maligno y tumor con atipia proliferativa. 2 Kepple y colaboradores clasificaron en cinco grupos a los tumores limítrofes del ovario: serosos, mucinosos, endometroides, de células claras y tipo Brenner. Casi todos son mucinosos (30-50%) y se subdividen en intestinales y “mullerianos” (endocervicales). 3 Muy pocas veces se asocian con pseudmixoma peritoneal; de estos, el 75% se relacionan con su origen apendicular. 4
Los tumores limítrofes del ovario son neoplasias con evolución y entidad propia. Son más frecuentes en mujeres jóvenes5 y representan del 10 al 25% de los tumores epiteliales del ovario. 6 Son neoplasias con proliferación celular y atipia nuclear, sin invasión al estroma. 7 Tienen la capacidad de desarrollar múltiples implantes peritoneales y de recurrencia tumoral por su origen epitelial en las superficies del peritoneo abdominal en un plazo no mayor a diez años. El tumor limítrofe del ovario tiene mejor pronóstico de supervivencia que el resto de los tumores epiteliales del anexo, con una supervivencia global superior al 90%.8 Algunos autores han relacionado su origen como una complicación de la endometriosis. 8,9,10 Desde el punto de vista histológico se diferencian de los tumores benignos por la estratificación epitelial, aumento de la actividad mitótica, atipia nuclear con ausencia de invasión estromal, y porque pueden originar metástasis. 11
Hace poco, un grupo de investigadores biomédicos coreanos publicó el algoritmo ROMA (Risk Ovarian Malignancy Assesment) que permite distinguir el puntaje obtenido de tumores malignos, tumor limítrofe del ovario y de los tumores de ovario benignos en mujeres pre y posmenopáusicas. Para esto utilizaron los marcadores: HE4, CA72-4 y la elevación de los valores de antígeno CA-125 relacionada con endometriosis. 12
El objetivo de esta revisión fue: conocer el pronóstico de supervivencia y los tratamientos indicados para el tumor limítrofe del ovario. Además, comparar los desenlaces en diferentes hospitales de México y lo asentado en la bibliografía internacional.
METODOLOGÍA
Revisión sistemática de ensayos clínicos recientes registrados en las bases de datos de PubMed, Embase y Cochrane de artículos publicados en inglés y en español entre los años 2006 y 2021. Se utilizaron los MeSH: ovarian borderline tumors; stage ovarian cancer; management of borderline ovarian tumors; ovarian epithelial tumors; diagnosis of borderline ovarian tumors; tumores limítrofes de ovario y cancer de ovario. Además, se incluyeron ensayos controlados, con asignación al azar, de fase 2 y 3 registrados en Web of Science y en las Guías de la NCCN. Además, se hizo una revisión analítica de la experiencia acumulada en 10 años en pacientes con tumor limítrofe del ovario atendidas en la Unidad Médica de Alta Especialidad de Oncología del Centro Médico Nacional siglo XXI del Instituto Mexicano del Seguro Social, en la Ciudad de México. Los datos estadísticos se reunieron en el programa SPSS 11.5 de Windows. Los valores con p < 0.05 se aceptaron como estadísticamente significativos. En la bibliografía reunida se consultaron las teorías de su origen, diagnóstico, tratamientos, factores de buen o mal pronóstico relacionados con la supervivencia. Se compararon las ventajas entre el deseo de preservar la fertilidad y las del tratamiento radical y las indicaciones de la linfadenectomía.
Experiencia nacional e institucional
Las pacientes mexicanas recibieron el diagnóstico definitivo de tumor de bajo potencial maligno entre los meses de enero del 2011 y el 30 de enero del 2020, por parte de los servicios de Gineco-oncología y Anatomía patológica de los distintos hospitales. Las pacientes con tumor de bajo potencial maligno, con estirpe de tumores mucinosos y epiteliales con datos de invasión se excluyeron del estudio. La información de las pacientes se obtuvo de las bases de datos de los archivos clínicos de los diversos hospitales de Oncología: Centro Médico Nacional de Occidente, de Guadalajara, Jalisco, el Centro Médico Nacional de Monterrey, Nuevo León del IMSS, el Instituto Nacional de Cancerología INCan; el Hospital General de México, el Hospital Juárez de la Ciudad de México y el Centro Médico Nacional 20 de Noviembre, ISSSTE en la Ciudad de México.
En el Hospital de Oncología del Centro Médico Nacional siglo XXI, del IMSS, se consultaron las notas de los expedientes clínicos y electrónicos de las pacientes con diagnóstico de tumor limítrofe del ovario para conocer la edad, el estado menopáusico, antecedentes de fertilidad, tamaño del tumor, extensión de la enfermedad ovárica, tipo de cirugía: radical o conservadora, esta última preservadora de fertilidad; los hallazgos posoperatorios, la evidencia de invasión ganglionar, las concentraciones de marcador tumoral (CA-125 y CA-19.9) pre y posoperatorio, los tipos histológicos y las mutaciones genéticas. Se propone un algoritmo de diagnóstico pre y posoperatorio para etapas tempranas y avanzadas del tumor limítrofe del ovario (Cuadro 2). Además, el seguimiento llevado a cabo durante cinco años. El Comité Nacional de Investigación y el Comité de Ética aprobaron el protocolo. Por la naturaleza del estudio, no fue necesario el consentimiento informado de las pacientes.
Cuadro 1 Características clínicas de las pacientes
| Características | Mediana mundial (%) | Mediana IMSS, Siglo XXI, México (rango, %) |
| Edad (rango, años) | 38 (16-77) | 27 (17-72) |
| Estado menopáusico | ||
| No conocido | 14 (19) | 4 (8) |
| Premenopáusico | 45 (60) | 25 (45.7) |
| Posmenopáusico | 16 (21) | 26 (45.3) |
| Antecedente de infertilidad | ||
| No | 33 (44) | 20 (80) |
| Sí | 3 (4) | 5 (20) |
| Motivo de admisión | ||
| Ausente | 14 (19) | 9 (5) |
| Dolor abdominal | 32 (43) | 18 (30) |
| Distensión abdominal | 19 (25) | 15 (9) |
| Sangrado transvaginal | 3 (4) | 8 (4) |
| Incontinencia urinaria | 1 (1) | 4 |
| Sin causa | 6 (8) | 1 |
Cuadro 2 Cirugía conservadora preservadora de la fertilidad y mortalidad
| Características de la cirugía conservadora |
Mediana mundial (%) * | Morbilidad IMSS Siglo XXI Ciudad de México (%) |
| Edad (rango, años) | 38 (16-77) | 27 (17-72) |
| Estado menopáusico | ||
| No conocido | 14 (19) | 4(8) |
| Premenopáusico | 45 (60) | 25(45.7) |
| Antecedente de fertilidad | ||
| No | 33(44) | 20(80) |
| Sí | 3(4) | 5(20) |
| Tipo de cirugía conservadora | ||
| Salpingooforectomía unilateral | 60% | 40% |
| Conservadora de la fertilidad | 40% | 12.7% |
| Supervivencia a 5 años | 90 % | 44 pacientes (80%) |
| Sin actividad tumoral | 85% | 35 pacientes (79%) |
| Con actividad tumoral | 5% | 9 pacientes (20%) |
| Supervivencia a 10 años | 80% | 24 pacientes (54%) |
| Con recaída | 20% | 14 pacientes (34%) |
| Defunciones | 10 % | pacientes. (13%). |
* Instituto Europeo Oncológico (IEO), Milán Italia.
RESULTADOS
Se encontraron 62 artículos relacionados con los términos de búsqueda; de éstos, se descartaron 11 porque no eran artículos originales solo de tumores limítrofes del ovario y 4 porque el texto completo estaba escrito en idiomas diferentes al inglés y español. Uno más se eliminó porque sus conclusiones diferían del objetivo planteado y su sustento se consideró endeble. Al final se analizaron 41 artículos.
El diagnóstico oportuno del tumor limítrofe del ovario es excepcional, como sucede en todas las neoplasias benignas y malignas de la gónada. Por lo general, sus manifestaciones clínicas se deben al aumento del volumen abdominal y pélvico (19%) y al dolor cólico, como síntomas principales. 13,14 (Cuadro 1) En el 42% de los casos el tumor limítrofe del ovario está relacionado con un rápido crecimiento y la posible torción de su pedículo lo convierte en una urgencia quirúrgica en 3 a 33% de los casos. 15 Los valores elevados pre y posoperatorios de los marcadores tumorales: CA-125 y CA-19.9 no son patognomónicos del tumor limítrofe del ovario; sin embargo, una elevación discreta superior a 30 a 50 UI/mL y de 30 a 37 UI/mL, respectivamente, no lo descarta. Conforme aumenta la etapa de la enfermedad, el incremento de los valores de los marcadores es constante. 16 Un estudio francés apoya lo anterior en tumores mucinosos limítrofes del ovario. 17
Factores de riesgo
a) Factores clínicos-patológicos. Entre los factores conocidos que predisponen al cáncer epitelial de ovario y al tumor limítrofe del ovario se encuentran: menarquia temprana, menopausia tardía, nuliparidad, esterilidad, terapia hormonal sustitutiva solo con estrógeno, antecedentes de endometriosis, aplicación de talco para la higiene genital, la ingesta de dietas ricas en grasas saturadas y el tabaquismo. El 10% de los carcinomas epiteliales del ovario tiene un factor de tipo genético y epigenético; se han encontrado 15 tipos de oncogenes relacionados con el cáncer de ovario en general. Existe una disminución del riesgo de cáncer epitelial de ovario de 20 a 30% con los anticonceptivos orales (RR: 0.7 a 0.8) tomados durante cinco años y hasta 50% (RR: 0,5) cuando se ingieren por más tiempo. 18
b) Historia reproductiva. Las mujeres nulíparas pueden tener una probabilidad 2.45 veces mayor de tener cáncer de ovario o TOL comparadas con las que han tenido tres o más embarazos a término. Las mujeres infértiles, con endometriosis, tienen un riesgo relativo de 1.73 de padecer un cáncer de ovario. 19 Las mujeres embarazadas tienen mayor frecuencia de microinvasión estromal en un 80% de los casos de tumores serosos limítrofes del ovario. 20 La conclusión de grandes series de preservación de la fertilidad en etapas I del tumor limítrofe del ovario es que la frecuencia de recurrencia y supervivencia es similar para quienes fueron tratadas con cirugía conservadora de la fertilidad o cirugía radical. 21 Además, como primera elección recomiendan la cirugía laparoscópica preservadora de la fertilidad con salpingooforectomía unilateral en etapas tempranas. Para mujeres con tumor en ambos ovarios o tumores mucinosos o quienes tienen elevación del marcador tumoral CA-125 > 50 UI la cirugía conservadora de la fertilidad debe ser perfectamente individualizada en cada caso. 22 En las pacientes con recurrencia tumoral, lo más recomendable es otra cirugía antes de valorar la quimioterapia sistémica, precisamente por el buen pronóstico de supervivencia. 23
c) Genética y cáncer de ovario. El síndrome hereditario de cáncer de mama-ovario se asocia con mutaciones de los genes BRCA 1 y BRCA 2, ubicados en el cromosoma 17 (q21) y en el cromosoma 13 (q12), respectivamente. Esas mutaciones implican un riesgo de cáncer epitelial de ovario del 10 al 54% a lo largo de la vida. El 90% de los casos de cáncer epitelial de ovario hereditario están relacionados con este síndrome. El tumor limítrofe del ovario en las mujeres jóvenes tiene mayor frecuencia de mutaciones de KRAS y BRAF que los de alto grado. 24 Las mutaciones de KRAS son muy comunes en los carcinomas serosos de ovario de bajo grado recurrente, mientras que las mutaciones de BRAF son raras. Los desenlaces reportados por Pepa y Tonini indican que el carcinoma seroso de bajo grado recurrente puede surgir de la proliferación de las células del tumor de ovario seroso de bajo grado con o sin mutaciones perceptibles de KRAS. 25 Las mutaciones de BRAF parecen tener un papel protector en contra de la progresión de tumor limítrofe del ovario a carcinoma seroso de ovario de bajo grado. Por su parte, las mutaciones de KRAS se consideran comúnmente en los casos de tumor limítrofe del ovario que se repitió como CaSOBG. Sin embargo, el carcinoma seroso de ovario de bajo grado, como recurrencia de un tumor limítrofe del ovario, puede originarse del tumor limítrofe del ovario seroso con o sin mutaciones perceptibles de KRAS. También, parece ser una asociación entre la mutación de KRAS G12v y un fenotipo más agresivo de tumor limítrofe del ovario seroso que recurrió como carcinoma seroso de ovario de bajo grado. 26 En el síndrome de Lynch se han identificado cuatro genes implicados en la reparación del ADN: hMSH2 (brazo del cromosoma2p), hMLH1 (brazo del cromosoma 3p), hPMS1 (brazo del cromosoma 2q) y hPMS2 (brazo del cromosoma 7p). La mutación y pérdida de la función del p53 es la anormalidad genética más frecuente en el cáncer de ovario. 27 La inactivación del PTEN se ha identificado en el 3 al 8% de los casos relacionados con el tipo endometroide y con los cánceres de ovario de bajo grado. 28 La pérdida de la heterocigosidad en los tumores mucinosos limítrofes del ovario es frecuente en los cromosomas 5q 14-21 y en el 17q 11.2. 29
d) Características clínicas-quirúrgicas y patológicas de las pacientes. En relación con el factor de raza, en los judíos Asquenazi estas mutaciones se observan con mayor frecuencia. Del 40 al 60% de los cánceres de ovario en las descendientes de mujeres judías centroeuropeas tienen mutaciones BRCA 1 y BRCA2. 30 Más del 70% de las pacientes en etapas tempranas son jóvenes, en quienes está indicado el tratamiento quirúrgico preservador de la fertilidad. 31 El papel de PET-CT en el tumor limítrofe del ovario es aún dudoso. Se carece de pruebas de un beneficio claro de la estadificación preoperatoria del tumor limítrofe del ovario primario o recurrente. Es importante tener en cuenta el elevado costo de esta técnica de alta tecnología y, en consecuencia, debe reconsiderarse su rentabilidad. Giorgini y su grupo señalan que el PET-CT en la estadificación del tumor limítrofe del ovario primario o en el seguimiento de su tratamiento debe limitarse a casos seleccionados, incluso en ensayos prospectivos. 32 En la tesis de Camarillo se menciona que la linfadenectomía retroperitoneal no es necesaria en los tumores limítrofes del ovario. 33 Cuadro 2
e) Recurrencia y supervivencia. La supervivencia a 5 y 10 años se reporta en más del 80% para las etapas tempranas. 34,35 El tumor seroso proliferativo atípico y un pequeño subconjunto de tumores serosos limítrofes con arquitectura micropapilar con mal desenlace se denominan “carcinoma seroso de bajo grado no invasivo” (niLGSC), por las siglas en inglés. Estos tumores son un grupo heterogéneo constituido sobre todo por tumores limítrofes típicos benignos. 36 La diferencia en comportamiento de uno y otro grupo no se debe al subtipo del tumor primario, sino a la enfermedad extraovárica, específicamente los implantes invasivos.
De acuerdo con la terminología de la Clasificación de la OMS de 2014, los tumores serosos limítrofes típicos son equivalentes a los tumores serosos proliferativos atípicos y los tumores serosos limítrofes con arquitectura micropapilar son sinónimos de carcinoma seroso de bajo grado no invasivo. Los “implantes invasivos” se renombran “carcinoma seroso de bajo grado” (LGSC). 37 El tratamiento convencional recomendado incluye: cirugía primaria con fines de diagnóstico, estadificación y citorreducción, seguido de quimioterapia coadyuvante. El dilema de si es la aparición del tumor primario o el carcinoma seroso de ovario de bajo grado extraovárico lo que determinará el desenlace, sigue sin resolverse. El estudio actual se diseñó para determinar qué factores predicen o favorecen la recaída tardía mayor a cinco años de vigilancia, con especial atención en la aparición del tumor primario (TSPA versus niLGSC) y la enfermedad extraovárica (implantes no invasivos comparados con invasivos).
En la mayoría de los casos, la recurrencia se manifiesta, aproximadamente, a los 2 a 5 años de vigilancia, sobre todo en el tejido ovárico remanente al tratar de preservar la posibilidad de un futuro embarazo o conservar la fertilidad. Por esto es necesario comunicar, por escrito, a la paciente la mayor posibilidad de recurrencia del tumor limítrofe del ovario cuando el tratamiento es conservador de la fertilidad. 38
DISCUSIÓN
Los tumores de bajo potencial maligno, o tumores limítrofes del ovario, son un grupo desconcertante de neoplasias que no caen ordenadamente en categorías benignas o malignas. Su comportamiento es enigmático, la patogénesis confusa, y su evolución clínica polémica. 39 El tumor limítrofe del ovario corresponde del 10 al 15% de las neoplasias malignas de la gónada y del 30 al 50% son mucinosos. (Figura 1) En nuestro medio, el 69% corresponde a mujeres jóvenes de 40 años promedio y la mayoría clasificadas en etapas tempranas (52.7%); por eso pocas veces tienen metástasis linfáticas retroperitoneales. 7 La bibliografía mundial reporta etapas localmente avanzadas en menos del 10% de los casos con metástasis linfáticas positivas, en nuestro medio la mayoría de las enfermas mexicanas inicia en etapas III localmente avanzadas y met´s ganglionares positivas (47.3%). La cirugía conservadora de la fertilidad es la mejor opción para mujeres jóvenes con tumor limítrofe del ovario, 80% de los casos alcanzan una supervivencia mayor a 10 años. Las Guías de la NCCN, versión 2 (2020), señalan que, después de una extensa revisión de estudios retrospectivos en mujeres en etapa I de tumor limítrofe del ovario encontraron que la frecuencia de recurrencia y supervivencia fue similar para las pacientes tratadas con cirugía conservadora de la fertilidad que la radical por tumor anexial40
En algunos hospitales de México, menos del 5% de las pacientes pueden conservar su fertilidad con tratamientos localizados con salpingooforectomía unilateral (Figuras 2,3y4). Si bien los implantes invasivos son la característica más importante que predice un desenlace adverso, como lo documentan Gerd Hannibal y su grupo con la subclasificación en tumor seroso proliferativo atípico TSPA y niLGSC. 39 En esas mujeres se eleva el riesgo de enfermedad en estadios avanzados con tumor limítrofe del ovario. Para quienes tienen carcinoma seroso en estadio I, el riesgo de implantes invasivos con patrón micro papilar el pronóstico es peor (Figura 5). Esto se relaciona con el volumen de implantes peritoneales invasores que fueron significativamente mayores (HR = 42.3; IC95%: 16.1 a 111.1).

Figura 2 El ovario mide 17 x 14 x 12 cm., al corte muestra una neoplasia quística, en tres lóculos hay áreas con crecimientos papilares endofíticos, de color blanco amarillentos miden de 0.1 a 0.5 cm., de altura, las lesiones papilares no infiltran las paredes de las formaciones quísticas.

Figura 3 Fotografía de ovario, al corte de la cápsula se observan papilas en su interior sin infiltrarla por TLO.

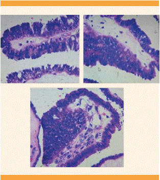
Figura 4 Microfotografía de TLO, con implantes en la cápsula sin datos de invasión por tumor seroso papilar.

Figura 5 Microfotografía de TLO seroso con formaciones micropapilares en forma de “medusa”, sin infiltración al estroma ovárico.
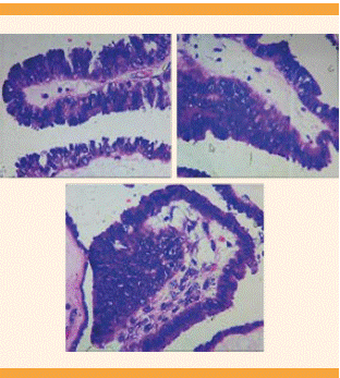
Los tumores limítrofes del ovario, serosos proliferativos y el carcinoma seroso invasor del ovario tratados en las pacientes del IMSS de la Ciudad de México tenían patrón histológico micropapilar seroso, con atipias nucleares, que representan un riesgo adicional de mal pronóstico y mayor frecuencia de recaída tardía después de 5 años. Figuras 5a8

Figura 6 Acercamiento de microfotografía de las formaciones papilares de un TLO con atipias celulares, nucleares y microinfiltración al estroma del ovario.

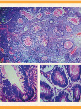
Figura 7 Zonas de cistoadenoma seroso en áreas de TLO seroso, tiene formaciones papilares en forma de “cabeza de Medusa”, sin infiltración al estroma de las papilas, con crecimiento endofítico hacia las cavidades formadas por el cistoadenoma, no infiltra las paredes por debajo de la cápsula del ovario.

Figura 8 Acercamiento de microfotografía de las formaciones papilares de un TLO con atipias celulares, nucleares y microinfiltración al estroma del ovario.

Figura 9 Zonas de cistoadenoma seroso en áreas de TLO seroso, tiene formaciones papilares en forma de “cabeza de Medusa”, sin infiltración al estroma de las papilas, con crecimiento endofítico hacia las cavidades.
De acuerdo con los reportes del Instituto Europeo Oncológico (IEO) y de la bibliografía consultada, el procedimiento para re-estadificar a la enferma no ha demostrado una repercusión significativa en la supervivencia con el tratamiento de pacientes con diagnóstico de tumor de bajo potencial maligno, en particular de quienes tienen el subtipo mucinoso y en los casos que, según la FIGO, son mayores del estadio I. En relación con la supervivencia de las pacientes atendidas en Oncología del IMSS, se observó que su seguimiento fue mayor a 5 años. De 44 pacientes (80%), 35 permanecen vivas, sin actividad tumoral; 14 pacientes vivas con actividad tumoral y 6 fallecieron en un lapso de 10 años. La supervivencia de estas pacientes en etapas tempranas del tumor limítrofe del ovario es estadísticamente significativa y es de más de 5 años (p = 0.005).
CONCLUSIONES
El tumor limítrofe del ovario es un grupo heterogéneo de neoplasias de muy baja frecuencia y muy susceptibles de curación en etapas tempranas de la enfermedad. Sus posibilidades de atención quirúrgica con preservación de la fertilidad son altas pues su recurrencia es baja. Los tumores microinvasores mucinosos, con permeación vascular y linfática, tendrán mayor posibilidad de recaída a largo plazo. En general, su pronóstico de supervivencia en cada etapa es alto. La linfadenectomía retroperitoneal no está indicada en etapas tempranas de la enfermedad.










nueva página del texto (beta)





