ANTECEDENTES
El lupus eritematoso sistémico es una enfermedad crónica, multisistémica, de causa desconocida. Se caracteriza por una actividad aberrante del sistema inmunitario en la que se producen autoanticuerpos dirigidos contra antígenos nucleares y citoplasmáticos.1,2 Es más común en mujeres en edad fértil, aunque puede aparecer a cualquier edad. Se estima que la relación mujer: hombre es de 10:1. 3,4 Se ha observado que entre los hispanos y los de raza negra la incidencia y prevalencia son mayores, en comparación con los caucásicos. 3,5
Al afectar diversos sistemas del organismo, las manifestaciones clínicas en el lupus eritematoso sistémico son heterogéneas, lo que constituye un reto diagnóstico. 3 Puede dañar la piel, las articulaciones, el cerebro, el corazón, los riñones y los pulmones, ocasionalmente también afecta el aparato gastrointestinal. 6 La afectación cardiaca se registra en más del 50% de los pacientes con lupus eritematoso sistémico; lo que representa una alta morbilidad y mortalidad cardiovascular asociada con la enfermedad. 7 Algunas manifestaciones cardiacas de lupus eritematoso sistémico incluyen: pericarditis, arritmias, miocarditis y endocarditis. 8,9 El daño del pericardio es el más común y el taponamiento cardiaco es excepcional, y más aún el inicio durante el embarazo que, realmente, es una manifestación atípica del lupus eritematoso sistémico. 7,8,10
El taponamiento cardiaco es una urgencia médica causada por un aumento anormal de la acumulación de líquido en el saco pericárdico que, al elevar las presiones intracardiacas, impide el llenado cardiaco normal. Estas pacientes deben tratarse con un enfoque multidisciplinario, sobre todo las embarazadas con lupus eritematoso sistémico. 1,2 Más de la mitad de las pacientes con esta inmunopatología tienen afectación renal (nefritis lúpica) y un riesgo elevado de desenlaces adversos maternos y fetales. 11
La nefritis lúpica es una complicación frecuente de la enfermedad sistémica, además de un factor de riesgo importante de morbilidad y mortalidad general. 12 La nefritis lúpica se caracteriza por lesiones histológicas múltiples, de diversa gravedad que, en sus formas más severas, lleva inexorablemente a la pérdida de la función renal si no es tratada a tiempo. De hecho, el 10% de las pacientes con nefritis lúpica tendrá enfermedad renal en etapa terminal. 12,13
El embarazo suele ser uno de los momentos de inicio o empeoramiento de la enfermedad. No está claro el papel que juega la elevación de las concentraciones de estradiol y progestágenos en esta situación; de hecho, las concentraciones de estas hormonas son menores durante el segundo y tercer trimestre en las embarazadas con esta afección que en mujeres sanas. El mecanismo por el que las hormonas femeninas contribuyen a la mayor prevalencia del lupus eritematoso sistémico se desconoce. 14
El objetivo de reportar este caso es informar que el taponamiento cardiaco puede ser una manifestación de inicio en una embarazada con lupus eritematoso sistémico a quien se le hizo un drenaje mediante una ventana pericárdica, con evolución satisfactoria. Esta complicación es importante porque requiere un diagnóstico temprano y atención multidisciplinaria para disminuir el riesgo de un desenlace adverso y preservar el bienestar de la madre y del feto. La revisión de la bibliografía permitirá conocer el contexto en que se encuentra esta complicación durante el embarazo.
CASO CLÍNICO
Paciente de 24 años, casada, procedente del área rural, con antecedentes de 2 embarazos, 1 aborto espontáneo previo (a las 19 semanas por fecha de la última menstruación) y en la actualidad con 27.5 semanas de embarazo por fecha de la última menstruación. Acudió al servicio de Ginecología y Obstetricia de un hospital de segundo nivel de atención en San Pedro Sula, Honduras, con anasarca, disnea que evolucionó a ortopnea y dolor torácico punzante de tres semanas de evolución.
En la exploración física la paciente se encontró: lucida, consciente, orientada, sin déficit neurológico, con intolerancia al decúbito. Pesaba 60 kg y medía 1.57 m, con Índice de Masa Corporal de 24.3 kg/m2. Tenía anasarca con fóvea (+++), pulsos adecuados y llenado capilar menor de 2 segundos. A la auscultación se detectó ausencia de murmullo vesicular hasta el tercio medio de ambos campos pulmonares, ruidos cardiacos de bajo tono e intensidad, con frote pericárdico, pulso paradójico y ascitis. Los signos vitales reportaron cifras tensionales bajas (100-60 mmHg), frecuencia cardiaca de 105 lpm, frecuencia respiratoria de 22 rpm, temperatura de 36.5 oC y saturación de oxígeno de 98%.
La biometría hemática reportó: hemoglobina de 8.8 g/dL, hematocrito de 27.8%, leucocitos 12,590 /µL, plaquetas de 384,000 Ul, neutrófilos 84.1%. Química sanguínea: glucosa de 32 g/dL, creatinina de 1.27 mg/dL, deshidrogenada láctica (LDH) 1,389 µ/L, aspartato aminotransferasa (TGO) 46 u/L, alanina aminotransferasa (TGP) 35 u/L, calcio 6,2 mg/dL, nitrógeno ureico 23 mg/dL. Tiempos de coagulación: tiempo parcial de tromboplastina 41 y tiempo de protrombina 11.8.
En la revisión ginecológica se encontró con altura de fondo uterino de 24 centímetros, frecuencia cardiaca fetal de 138 lpm, sin actividad uterina, se palparon movimientos fetales positivos y adecuados, en posición cefálica por maniobra de Leopold. Al tacto vaginal: cuello uterino cerrado, membranas íntegras, sin evidencia de sangrado. BUS (Bartolini, Uretra, Skene) de aspecto normal, sin alteraciones.
En la telerradiografía de tórax se visualizó ensanchamiento de la silueta cardiaca, cardiomegalia grado II (índice cardiotorácico mayor de 0.62).Campos pulmonares congestivos, con opacificación de la base pulmonar izquierda en probable relación con derrame pericárdico y pulmonar, respectivamente, además de congestión hiliar bilateral. Figura 1

Figura 1 Radiografía de tórax posteroanterior. Ensanchamiento de la silueta cardiaca, opacificación de la base pulmonar izquierda en relación con el derrame pericárdico y pulmonar.
La paciente se hospitalizó con diagnóstico de derrame pericárdico, ante el deterioro progresivo permaneció en vigilancia y seguimiento. Su capacidad pulmonar estaba afectada, con agravamiento de la condición disneica-ortopnea. Con insuficiencia renal aguda manifestada por aumentos progresivos de creatinina en los días subsiguientes hasta concentraciones de 2.35 mg/dL en menos de 2 días, con exacerbación de los síntomas, inestabilidad hemodinámica caracterizada por pulso paradójico, tendencia a la hipotensión arterial y ruidos cardiacos disminuidos.
Ante la sospecha clínica de taponamiento cardiaco se tomó un ecocardiograma que evidenció al ventrículo izquierdo con dimensiones, grosor y movilidad dentro de parámetros de normalidad, con fracción de eyección del 73%, relación E/A normal. El ventrículo y la aurícula derecha sin alteraciones. Raíz aórtica, aorta y seno tubular normales. Se observó derrame pericárdico de aproximadamente 500 mL, con datos de taponamiento cardiaco y signos de pericarditis. No se observaron vegetaciones ni anomalías valvulares. Figura 4

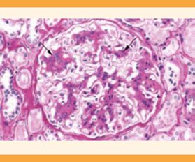
Figura 2 Tinción PAS de Schiff. Se observa proliferación mesangial en zonas centrolobulillares, con paredes capilares indemnes. Compatible con NL clase II.
Se solicitó interconsulta con el servicio de Cirugía para evaluar la intervención quirúrgica y tratar el cuadro agudo de taponamiento cardiaco. Para drenaje del líquido, evitar recidivas y poliserosis de repetición se hizo una ventana pericárdica subxifoidea. Previa asepsia y antisepsia se procedió a realizar una incisión de 5 centímetros a la altura del apéndice xifoides; se disecó hasta la subescapular y se creó un plano subxifoideo. Se accedió al pericardio y se hizo la ventana pericárdica. Se extrajeron 500 mL de líquido amarillento, no fétido y sanguinolento que se envió al laboratorio para su estudio citoquímico. Se tomó una biopsia del tejido pericárdico. Se colocó un catéter de drenaje torácico de 24 French con sistema pleura pleural, que mejoró la condición hipóxica de 89% de saturación a 97%. Se solicitó la evaluación de la vía aérea difícil por parte del anestesiólogo para llevar a cabo la intubación electiva ante el riesgo de insuficiencia ventilatoria. La intubación fue exitosa al primer intento, sin movilización cervical y con un tiempo total entre la introducción del dispositivo a la boca y el inflado del balón de 20 segundos. No hubo complicaciones durante el procedimiento, ni deterioro neurológico posterior. Durante el posoperatorio inmediato la paciente se trasladó a la unidad de cuidados intensivos.
La citoquímica del líquido extraído de la ventana pericárdica reportó: eritrocitos, más de 50 células por campo, leucocitos 28 a 30 por campo, bacterias escasas y recuento absoluto de leucocitos de 5636/mm3. El informe microscópico del pericardio reportó cambios fibrinoides e infiltrado inflamatorio mixto con neutrófilos y eosinófilos, con predominio de linfocitos, sin elementos de malignidad.
Debido a la sospecha clínica de daño inmunológico y antecedentes de aborto, se indicaron pruebas inmunológicas. El principal diagnóstico diferencial de sospecha fue: lupus eritematoso sistémico.
Se reportó la existencia de anticuerpos antinucleares positivos y en el examen general de orina proteínas (+++), sin hematuria, ni leucocitos. La paciente tuvo una proteinuria en 24 horas de 7.32 g al día con una hipoalbuminemia severa de 0.8 g/L. Se tomó la biopsia renal con extracción de dos cilindros renales con más de 10 glomérulos cada uno, con tinciones de PAS (Figura 2), hematoxilina y eosina, plata metenamina de Jones, tricrómica de Mason, rojo Congo e inmunofluorescencia directa frente a IgG, IgM, IgA, C3 y C1q con patrón histológico correspondiente a nefritis lúpica clase II, inmunofluorescencia positiva para depósitos mesangiales de IgG (Figura 3). También se evidenció un síndrome nefrótico que había provocado la pérdida masiva de proteínas con edema, con una disminución del volumen efectivo de irrigación renal. Esto provocó una disfunción renal aguda AKIN II, que respondió a la administración de albúmina y a los diuréticos de manera escalonada, con recuperación total de la función renal, después de la difícil decisión del tratamiento de inducción con pulsos de prednisona a dosis de 15 mg/kg, aplicando 750 mg IV por 3 días, y 1 g de ciclofosfamida por vía intravenosa más tratamiento coadyuvante de 2 mg/kg/día de azatioprina. Al término de los tres ciclos, al cuarto día se inició con 1 mg /kg de prednisolona durante 4 semanas para posterior descenso paulatino a 25 mg al día. Esa intervención se decidió luego de valorar el riesgo-beneficio de manera conjunta (nefrólogo y ginecólogo). El objetivo a corto plazo fue la detención de la actividad lúpica renal que tiene como manifestación principal la pérdida masiva de proteínas que perpetúa la serositis, la anasarca y la disfunción renal. Con todos los datos anteriores se llegó a la conclusión diagnóstica de lupus eritematoso sistémico con nefritis lúpica clase II, y se continuó el seguimiento estricto de la función renal.
La paciente evolucionó favorablemente, sin datos de insuficiencia cardiaca, patrón respiratorio restablecido, sin inestabilidad hemodinámica e insuficiencia renal resuelta. Se inició el tratamiento con pulsos de esteroides intravenosos y posteriormente se continuó con corticosteroides orales. Permaneció hospitalizada con supervisión y vigilancia hasta el momento del parto, que transcurrió sin complicaciones a las 34.0 semanas de embarazo con la obtención de un recién nacido de 3200 g, talla de 50.5 cm, Apgar de 8/9, sin complicaciones perinatales o alteraciones anatómicas, con evolución posterior satisfactoria.
La paciente se dio de alta del hospital junto con su recién nacido al segundo día posparto. El tratamiento ambulatorio consistió en 10 mg al día de prednisona, 1 g de micofenolato mofetil cada 12 horas y 40 mg de furosemida al día. Además, se le indicó un método de planificación familiar con anticonceptivos orales combinados de baja dosis estrogénica y evitar otro embarazo mientras la actividad lúpica permaneciera elevada. Al alta del hospital la actividad del lupus eritematoso sistémico se encontraba en remisión, por lo que se inició el seguimiento nefrológico en el puerperio y después de éste para control de la enfermedad.
MÉTODOLOGÍA DE BÚSQUEDA
Se hizo una revisión narrativa de la bibliografía según la lista de comprobación CARE para reportes de caso. Para la consulta de los casos clínicos se utilizaron los motores de búsqueda de PubMed, Scielo y Google Scholar. Se aplicaron filtros de búsqueda de 2009 a marzo de 2021, en idioma español e inglés. Se diseñó una estrategia de búsqueda avanzada con los descriptores MeSH y DeCS (“Lupus eritematoso sistémico”, “taponamiento cardiaco”, “nefritis lúpica”, “embarazo”); se utilizaron los operadores boleanos AND, con las siguientes combinaciones: “Lupus eritematoso sistémico” AND “embarazo; “taponamiento cardiaco” AND “embarazo”. Se definieron los siguientes criterios de inclusión: investigaciones originales (reportes de casos, series de casos), revisiones bibliográficas que incluyeran información del taponamiento cardiaco en pacientes con lupus eritematoso sistémico; se excluyeron duplicados y recomendaciones clínicas y artículos cuyo curso clínico discrepaba del artículo en cuestión.
RESULTADOS
Se encontraron 58 publicaciones que, luego de una revisión más crítica del contenido y verificación con la lista de comprobación CARE solo se seleccionaron 18 artículos que cumplieron los criterios de inclusión, su información era relevante al caso y aportaban a la clínica, diagnóstico, tratamiento y evolución del taponamiento cardiaco en pacientes con lupus eritematoso sistémico.
DISCUSIÓN
El lupus eritematoso sistémico es una enfermedad autoinmunitaria que puede afectar a todos los órganos, con frecuencia al sistema cardiaco y es más frecuente en mujeres en edad reproductiva. 3 En concordancia con la bibliografía la edad a la aparición, en este caso, fue a los 24 años, durante la edad fértil y a una edad temprana.
Las manifestaciones cardiacas comunes de la enfermedad incluyen: pericarditis, derrames pericárdicos, hipertensión pulmonar, lesiones miocárdicas, arritmias y valvulopatías. 9 El derrame pericárdico, al ser la manifestación cardiaca más común del lupus eritematoso sistémico, por lo general tiende a ser pequeño y hemodinámicamente insignificante. 7 En los pacientes con lupus eritematoso sistémico el taponamiento cardiaco es raro; se estima que se produce en menos del 1% de los pacientes. 7,9 Una alteración hemodinámica cardiovascular ocasionada por la acumulación aguda o subaguda de líquido puede resultar en taponamiento cardiaco. 10,15
El taponamiento cardiaco puede producirse a partir de 150 mL de líquido introducidos en el espacio pericárdico. 16 En la paciente del caso se encontró un derrame pericárdico de aproximadamente 500 mL, con datos de taponamiento cardiaco y síntomas que respaldaban la sospecha clínica.
Los signos y síntomas clave del taponamiento cardiaco incluyen: disnea, taquicardia, dolor torácico, hipotensión, edema periférico y pulso paradójico. 17 En el taponamiento cardiaco avanzado el paciente puede tener la tríada de Beck que consiste en los ruidos cardiacos apagados, hipotensión e incremento de la presión venosa yugular. 16 La paciente del caso tuvo ruidos cardiacos disminuidos e hipotensión, sin llegar a evolucionar a ingurgitación yugular. Además, en la radiografía de tórax se observó una silueta cardiaca agrandada y campos pulmonares opacificados del lado izquierdo; signos que se han relacionado como predictores de derrame pericárdico y pleural. 9,10 La prueba positiva de anticuerpos antinucleares, el derrame pericárdico, los estudios histopatológicos y la inmunofluorescencia confirmaron el diagnóstico.
En la actualidad, el tratamiento del taponamiento cardiaco en mujeres con antecedente obstétrico deficiente, manifestaciones cardiacas, daño renal o enfermedad activa es con dosis altas de corticosteroides, con pericardiocentesis y una ventana pericárdica, que es sumamente raro en lupus eritematoso. 3,4,7 El régimen recomendado es la metilprednisolona (500 a 1000 mg/día durante 2-3 días) seguido de 1 mg/kg/día de prednisolona o 125 mg/día de metilprednisolona a corto plazo seguido de 1 mg/kg/día de prednisolona junto con pulsos mensuales de ciclofosfamida intravenosa (750-1000 mg) para ser muy eficaz. 18 A la paciente del caso se le realizó una ventana pericárdica por no contar en la unidad con ultrasonido de alta resolución para efectuar la pericardiocentesis guiada por ultrasonido, y fue tratada con pulsos de corticosteroides intravenosos y luego orales, con un desenlace satisfactorio del caso, y preservación de la vitalidad de la madre y su hijo.
CONCLUSIÓN
El taponamiento cardiaco es poco común en pacientes con lupus eritematoso sistémico, y es más raro aún como manifestación de inicio de la enfermedad. Este fenómeno es una urgencia clínica y requiere atención multidisciplinaria porque el embarazo en una paciente con lupus eritematoso sistémico implica mayor riesgo de complicaciones sistémicas y de efectos adversos para la madre y su hijo. La principal fortaleza del reporte es la evolución satisfactoria de la paciente y del neonato, consecuencia de la atención multidisciplinaria, la información de la bibliografía que mostró la rareza de esta complicación y los riesgos que implica.










nueva página del texto (beta)




