ANTECEDENTES
La muerte materna es la que sucede en una mujer embarazada o en el trascurso de los 42 días siguientes a la terminación del embarazo, independientemente de la duración y el sitio del embarazo, debida a cualquier causa relacionada o agravada con el embarazo o su atención, pero no por causas accidentales o fortuitas.1 En los países en desarrollo representan el 99% de la mortalidad materna. Se han observado grandes disparidades entre los países y en un mismo país y entre mujeres con ingresos altos y bajos y entre la población rural y la urbana. Algunos de los factores que impiden que las mujeres reciban o busquen atención durante el embarazo y el parto son: pobreza, distancia, falta de información, inexistencia de servicios de salud y prácticas culturales.2,3
Durante el embarazo suceden cambios adaptativos como consecuencia de la relación entre la madre, la placenta y el feto. Los cambios hormonales de la gestación se asocian con respuestas celulares deterioradas que aumentan el riesgo de ciertas infecciones.4,5
Los virus del papiloma humano son un grupo de más de 180 genotipos de virus tumorales. Las agrupaciones se correlacionan con la fisiopatología y la distribución en los tejidos. Los subtipos 6 y 11 son responsables de más del 90% de los casos de papilomatosis laríngea.6 Un estudio de 2017, efectuado en el Centro Nacional de Estadísticas de Salud (NCHS) de los Centros para el Control y Prevención de Enfermedades de Estados Unidos (CDC) examinó la prevalencia de la infección oral por VPH en más de 9000 participantes de entre 18 y 69 años. Estimaron que 14.7% de la población de estudio tenía ADN de VPH detectable en la cavidad laríngea.7 Según el genotipo, aproximadamente el 1% de la población tiene la cavidad oral infectada con VPH 6 o VPH 11, una pequeña fracción de ellos padecerá papilomatosis laríngea.8-10
CASO MÉDICO-FORENSE
Paciente de 34 años, con 32 semanas de embarazo. Luego de experimentar un cuadro de dificultad respiratoria súbita en su domicilio recibió los primeros auxilios sin respuesta favorable y falleció.
Autopsia médico legal
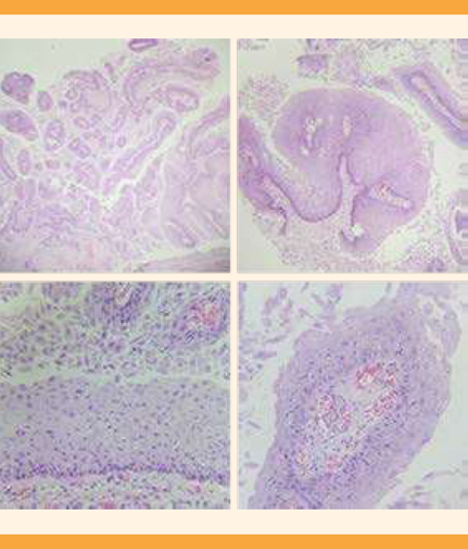
A la apertura de la laringe, sobre las cuerdas vocales, se observaron tumoraciones exofíticas, verrugosas, blancas grisáceas y firmes. La del lado derecho midió 2 x 2 x 1.3 cm, y la del izquierdo 2 x 2 cm que obstruia la luz de la laringe en más del 50%. No se observaron lesiones similares en el resto de la vía aérea, genital o anal.

Figura 1 Imagen de laringe posterior y anterior (con fijación de formol al 10%), que muestra el daño a las cuerdas vocales y paredes laterales, por lesiones exofíticas que ocupan más del 50% del lumen laríngeo.

Figura 2 Corte sagital de laringe con lesión exofítica de aspecto verrugoso que afecta la cuerda ventrículo y la banda.
El epitelio escamoso se observó con proliferación de estructuras papilares sostenidas por tallos fibrovasculares, con hiperplasia de células basales. En los estratos superiores se distinguían células con cariomegalia, hipercromasia, cromatina fina granular, membranas nucleares irregulares y coilocitosis extensa.
DISCUSIÓN
La mortalidad materna es inaceptablemente alta. Cada día mueren en el mundo alrededor de 830 mujeres por complicaciones relacionadas con el embarazo o el parto. Estas muertes suceden en países de ingresos bajos y un alto porcentaje son susceptibles de evitarse.1
La papilomatosis laríngea es una enfermedad benigna, infrecuente, casi siempre de alivio espontáneo. Algunos autores la consideran una neoplasia, a veces devastadora y caprichosa con el potencial de consecuencias mórbidas por su localización en las vías respiratorias y el riesgo de evolución maligna.
El estudio ATHENA (2013) refiere que durante toda la vida el riesgo de exposición a la infección es de 50 a 80%; varía según la edad y la localización geográfica. Es más común en niños y se cree que el virus se trasmite por contacto con secreciones infectadas en el canal del parto. Hay dos presentaciones clínicas: PRR juvenil (PRRJ) en menores de 12 años y PRR del adulto (PRRA) en mayores de 12 años. Incluso hasta 40% de los casos tienen recidivas; el 75% de éstas son en la forma juvenil.9,11-15
El inicio en adultos tiene una incidencia estimada de 1.8 por cada 100,000 pacientes. La edad predominante en adultos es entre 20 y 40 años. Se ha demostrado que el VPH 11 es la cepa viral más agresiva. Su aparición en edad joven se asocia con un curso más agresivo. La transformación maligna es de 24 años, en promedio. Lo común es que aparezca en las cuerdas vocales, los senos de Morgagni y la región subglótica; a veces, se extiende a la tráquea y los bronquios. El diagnostico final es el análisis histopatológico de muestras de lesiones de laringe.9,16,17
La disfonía es el síntoma principal y suele ser persistente y progresiva, sin periodos de voz normal. Los papilomas son lesiones exofíticas, sésiles o pedunculadas individuales o múltiples. Conforme aumenta su tamaño comienzan a obstruir la vía aérea, lo que se manifiesta con dificultad respiratoria progresiva y estridor inspiratorio de tono grave. Otros síntomas son los ronquidos y apneas del sueño, la tos crónica, las infecciones respiratorias recurrentes y la disfagia. En la actualidad no existe tratamiento curativo. La extirpación quirúrgica es el pilar fundamental para garantizar el funcionamiento de la vía aérea.6,18,19
La vacunación contra VPH es prometedora para disminuir el RRP previo a la exposición. Es uno de los métodos más eficaces para prevenir la trasmisión; se recomienda para niños y niñas de 11 o 12 años y puede administrarse a partir de los 9 años. Se recomienda la vacuna contra el VPH bivalente, tetravalente o 9-valente para las mujeres. La vacuna tetravalente o la vacuna 9-valente se recomienda para los hombres.20,21,22
El embarazo es un periodo distintivo que se caracteriza por cambios fisiológicos complejos. La atención compartida entre ginecoobstetras y médicos familiares permitirá prevenir, o tratar, enfermedades que ponen en riesgo la vida de la madre y de su hijo.5,23
Los Objetivos de Desarrollo del Milenio fueron una iniciativa global impulsada por Naciones Unidas y fue firmada en 2000 por los gobiernos de más de 180 países; la mortalidad materna se redujo en un 44% a partir de 1990.24,25
En México, a partir del 2002 se practica la búsqueda intencionada y de reclasificación de muertes maternas, circunstancia que ha permitido recuperar entre el 10 y el 30% de las muertes maternas no registradas.26
El acceso desigual a los servicios de salud y los retrasos en la identificación y tratamiento de las complicaciones relacionadas con el embarazo siguen siendo obstáculos fundamentales para la supervivencia y el bienestar de las mujeres (y los niños) en todo el mundo. La mortalidad materna es alta, con alrededor de 280,000 muertes maternas en todo el mundo cada año.27
CONCLUSIONES
La papilomatosis laríngea es una enfermedad de comportamiento variable y la tumoración más frecuente de la vía respiratoria. Puede iniciarse durante la niñez o aparecer en la edad adulta. En sus estadios avanzados puede provocar insuficiencia respiratoria y asfixia de forma súbita. El embarazo es un factor que favorece el crecimiento de las lesiones papilomatosas en menos tiempo y de forma más agresiva, debido a la disminución de la respuesta inmunología que genera. Es poco probable que no haya síntomas respiratorios o del habla previos a la obstrucción de la vía respiratoria y la muerte. Es un reto médico conocer acerca de la enfermedad y orientar a las pacientes. Desconocer el cuadro no exime la responsabilidad de una muerte materna que pudo haberse evitado con un adecuado diagnóstico y tratamiento.









nueva página del texto (beta)



