ANTECEDENTES
Las malformaciones congénitas del aparato genital femenino suponen una prevalencia global de aproximadamente 3%.1 Su origen se debe a una alteración en el desarrollo embriológico de los conductos de Müller. 2 La clasificación de las malformaciones uterinas ha ido cambiando con el tiempo, en la actualidad se utiliza la de ESHRE-ESGE. 3
La incidencia de hemiútero con cavidad rudimentaria es de 0.1%,1 puede diagnosticarse durante la revisión ginecológica, en el estudio de esterilidad-infertilidad4 o por manifestaciones clínicas asociadas: dismenorrea, dolor pélvico crónico, hematometra o hematosalpinx. 5,6
Esta malformación uterina se relaciona con importantes complicaciones, sobre todo en adolescentes. 7,8 De acuerdo con diversos estudios, las manifestaciones incluyen: dismenorrea intensa, dolor pélvico crónico y endometriosis. 5-9 La importancia de este tipo de casos se basa en establecer el diagnóstico diferencial del cuadro clínico de dolor abdominal. 10 La sospecha de dolor abdominal de causa ginecológica, sobre todo cuando existe dolor cíclico coincidente con la menstruación, es decisivo para solicitar las pruebas de imagen pertinentes, sobre todo la ecografía transvaginal o transrectal y, posteriormente, la correcta confirmación de la malformación uterina por resonancia pélvica, con la intención de establecer el tratamiento adecuado. 11
CASO CLÍNICO
Paciente de 29 años, sin antecedentes médico-quirúrgicos de interés, que acudió al servicio de Urgencias de Ginecología por un cuadro de dismenorrea intensa e incapacitante, sin reacción a los analgésicos por vía oral (dexketoprofeno 25 mg 1/8 h e ibuprofeno 600 mg 1/8 h en forma alterna). La dismenorrea se acompañaba de ciclos menstruales irregulares, de tres meses de evolución, por lo que había iniciado tratamiento con dienogest, sin referir disminución de los síntomas. Entre sus antecedentes ginecológicos refirió: menarquia a los 11 años, ciclos menstruales de 5 días de duración, con frecuencia irregular (más de 45 días entre los ciclos); fecha de la última menstruación 5 de octubre de 2019. Refirió no haber tenido relaciones sexuales.
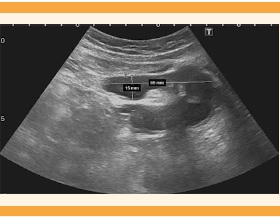
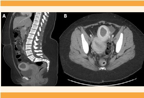
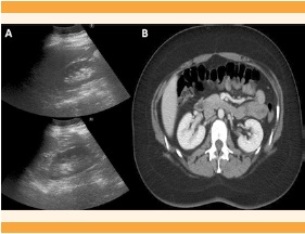
En la ecografía abdominopélvica se sospechó una malformación congénita uterina, pues se visualizó el útero izquierdo ligeramente tubular, de tamaño normal, con un pólipo endometrial en su interior, y adyacente a la imagen se observó una masa compatible con hemiútero derecho, de 52 x 49 mm, con contenido líquido hematológico retenido (hematometra) de 25 mm. El hemiútero no tenía conexión aparente con el cuello uterino ni con la porción contralateral del útero (Figura 1). El ovario izquierdo se visualizó de tamaño y características normales, con microfolículos y eje mayor de 3.2 cm, rodeando por fuera y por delante al ovario derecho, también de tamaño y aspecto normales; se observó una estructura quística alargada y en forma de codo, con contenido ecogénico de 65 x 15 mm, sugerente de hematosalpinx (Figura 2). La tomografía abdominopélvica confirmó la coexistencia del hemiútero derecho, de 55 x 54 mm, hipervascular, degenerado, con colección hemorrágica interna de 30 mm (Figura 3), e hidrosalpinx derecho. La ecografía y la tomografía no demostraron malformaciones renales. Figura 4

Figura 1 A) Hemiútero derecho de 52 x 49 mm. Hemiútero izquierdo, en plano más anterior, de aspecto normal, con pólipo endometrial en su interior (flecha). B) Colección líquida y heterogénea de 25 mm en el interior del hemiútero derecho, compatible con hematometra.

Figura 2 Hematosalpinx que rodea al ovario derecho; se observa una estructura quística alargada y en forma de codo, con contenido ecogénico, de 65 x 15 mm, sugerente de hematosalpinx.

Figura 3 Tomografía abdominal, A) corte sagital y B) transversal. Hemiútero derecho en plano más anterior, de 55 x 54 mm hipervascular, degenerado, con colección hemorrágica interna de 30 mm, compatible con hematometra.

Figura 4 A) Ecografía pélvica que muestra los riñones sin alteraciones. B) Tomografía abdominal, corte transversal, con riñones sanos.
La paciente fue ingresada al servicio de Ginecología para recibir tratamiento con analgésicos por vía intravenosa (dexketoprofeno 50 mg cada 8 h y paracetamol 1 g cada 8 h, alternos), con clara disminución de los síntomas. Se comentó el caso en una sesión clínica y se decidió la laparoscopia exploradora, después del tratamiento con análogos de la GnRH durante dos meses (3.75 mg de triptorelina). En el estudio preoperatorio solo se reportó concentración de Ca-125 de 125.5 UI/mL.
Dos meses después de su programación se llevó a cabo la laparoscopia exploradora. El acceso fue mediante neumoperitoneo, con aguja de Veress de 15 mm, e incisiones con trocares accesorios: uno de 10 mm en la zona suprapúbica y 2 de 5 mm en ambas fosas ilíacas. Durante la cirugía se encontró: hemiútero rudimentario de 5 cm, sin comunicación con el hemiútero izquierdo (Figura 5). La trompa ipsilateral derecha estaba dilatada, con contenido hemático, y se encontraba íntimamente adherida al ovario derecho, el ligamento infundíbulo-pélvico y el mesosalpinx, que formaba un conglomerado compatible con hematosalpinx. Se realizó la exéresis del hemiútero rudimentario y de la trompa derecha; se utilizó Ligasure® tipo Maryland. Posteriormente se efectuó la morcelación intracavitaria de la pieza quirúrgica, para su posterior extracción.

Figura 5 Laparoscopia exploradora. A) Hemiútero rudimentario derecho en plano más anterior (flecha) junto al hemiútero sano izquierdo (asterisco). B) Hematosalpinx derecho.
En un segundo tiempo se llevó a cabo la histeroscopia diagnóstica; la vagina, el orificio cervical externo y el canal endocervical se encontraron normales. La cavidad endometrial era de aspecto tubular. El ostium se visualizó en la zona central-derecha y un pólipo endometrial de 2 cm, insertado en la cara lateral derecha, que se extirpó con tijera fría.
El estudio anatomopatológico reportó: pieza quirúrgica benigna, con signos de hemorragia en el hemiútero rudimentario y la trompa izquierda, y focos de endometriosis glandular. El pólipo extirpado no mostró signos de atipia.
La paciente tuvo buena evolución posoperatoria, fue dada de alta a las 72 horas de la cirugía. Cinco meses después, el estudio de control hormonal no reportó alteraciones (estradiol 74 pg/mL, FSH 4.64 mUI/mL y LH 1.1 mUI/mL); la ecografía pélvica mostró al útero restante de tamaño normal, con endometrio delgado, y los ovarios de características normales, con folículos funcionales. La paciente se encontraba asintomática y con ciclos menstruales regulares.
METODOLOGÍA
Debido a la escasa frecuencia de este tipo de complicaciones ginecológicas y a la cantidad limitada de artículos publicados, se realizó la revisión bibliográfica del tema de los últimos 20 años, incluyendo artículos en inglés y en español. La búsqueda se llevó a cabo en PubMed, entre febrero y marzo de 2020, utilizando las palabras clave: “congenital uterine anomalies”, unicornuate uterus and management and unicornuate uterus with non-communicating rudimentary horn”. Se seleccionaron estudios clínicos con la mayor evidencia disponible, con casos clínicos semejantes al aquí reportado, revisiones sistemáticas y guías clínicas de consenso de malformaciones uterinas. Se encontraron 98 artículos asociados con el tema y las palabras clave, de los que solo se incluyeron 32 investigaciones que cumplieron con las características requeridas (pubertad, hemiútero con cavidad rudimentaria, pruebas de imagen para el diagnóstico y laparoscopia en el tratamiento de la malformación uterina) y posibles complicaciones (dismenorrea, hemoperitoneo y gestación en hemiútero rudimentario).
DISCUSIÓN
El hemiútero con cavidad rudimentaria es una malformación uterina que se origina por alguna anomalía en el desarrollo de los conductos paramesonéfricos, o de Müller, en la sexta semana de la organogénesis. 1,12La prevalencia de estas malformaciones se ha incrementado de forma considerable, debido a los estudios que se requieren para establecer el diagnóstico y tratamiento de infertilidad y la mejora en las técnicas diagnósticas, 13 principalmente la ecografía 3D14 y la resonancia pélvica. 15
En los últimos años la clasificación de las malformaciones uterinas ha variado en su terminología. 2 La clasificación más reciente y utilizada es la propuesta en 2013 por el consenso de la ESHRE-ESGE, que permite clasificar al útero, el cuello uterino y la vagina3 (Figura 6). De acuerdo con la última clasificación, la paciente del caso se encontraba en la clase U4a C0 V0 (hemiútero con cavidad rudimentaria, cuello y vagina normales y únicos).

Figura 6 Esquema de las malformaciones del aparato genital femenino, según la clasificación de ESHRE/ESGE. 3
El hemiútero representa 20% de las malformaciones uterinas6 y su incidencia aproximada es de 0.1%.1 La cavidad rudimentaria suele aparecer en 75% de los casos, es de menor tamaño que el hemiútero funcional y en 83% de las pacientes no es comunicante. 16 Cuando existe comunicación entre ambos hemiúteros suele ser de tipo fibroso o fibromuscular. 17 Esta malformación se asocia con importantes complicaciones ginecológicas, principalmente en la menarquia, la adolescencia y el periodo fértil de la mujer. Los síntomas más frecuentes incluyen: dismenorrea intensa, dolor pélvico crónico, hematometra y hematosalpinx. 5 Además, estas mujeres tienen alto riesgo de endometriosis y adenomiosis en la cavidad rudimentaria, 9 como se sospechó en la paciente del caso, por los hallazgos en el estudio anatomopatológico, y por la concentración elevada de Ca-125; la prevalencia estimada de esterilidad es de 0.5% (p < 0.05 comparada con la población general). 1 Desde el punto de vista obstétrico, esta malformación puede manifestarse con abortos de repetición (24.3%), riesgo de embarazo ectópico (2.7%),18 implantación en el hemiútero no comunicante, 19,20parto pretérmino (20.1%), presentación fetal anormal, restricción del crecimiento intrauterino, abortos en el segundo trimestre o muerte fetal intrauterina (9.7%)21 y riesgo de rotura uterina. 16 Esta alteración uterina se asocia con malformaciones renales (agenesia renal, riñón en herradura, displasia renal o duplicación de los sistemas colectores) en 40.5% de los casos; 5,22 no obstante, se descartaron en la paciente del caso mediante ecografía y tomografía.
Los estudios de imagen diagnósticos incluyen: ecografía convencional y 3D, tomografía pélvica, histerosalpingografía, resonancia magnética, histeroscopia y laparoscopia exploradora. 23 La ecografía 3D es el estudio con mayor sensibilidad para establecer el diagnóstico de malformaciones uterinas, sobre todo en centros donde la resonancia no está disponible. Además, la ecografía 3D endovaginal ofrece mayor tolerancia y permite obtener imágenes en tiempo real. Tonali y su grupo24 no encontraron diferencias respecto de la clasificación uterina entre la ecografía 3D endovaginal versus resonancia pélvica. Los cortes coronales del útero fueron semejantes en la ecografía 3D y en la resonancia, y establecieron la correlación certera entre el fondo y la cavidad uterina. 24,25 En nuestro centro, debido a la posibilidad de practicar la ecografía 2D y la tomografía pélvica de urgencia al momento del ingreso, se optó por implementar estas técnicas de imagen en lugar de la resonancia magnética, por la confiabilidad que ofrecen y los síntomas de la paciente, que supuso la realización directa de la laparoscopia exploradora; esto hizo posible aplicar el tratamiento en el mismo acto diagnóstico. No obstante, la resonancia debe considerarse el estudio de elección para las malformaciones uterinas, 26 pues es un método no invasivo, de capacidad multiplanar y sin radiación ionizante, incluso proporciona definición exhaustiva de la anatomía interna y externa. Asimismo, permite tomar medidas y establecer el tratamiento quirúrgico adecuado. 27,28
En cuanto al tratamiento, y debido a las importantes complicaciones ginecoobstétricas asociadas, se recomienda la exéresis del hemiútero rudimentario por laparoscopia, 27,29,30 además de salpingectomía ipsilateral para evitar la posibilidad de embarazo ectópico. 31 Es importante valorar la histeroscopia diagnóstica, con la intención de completar el estudio y evitar pasar por alto malformaciones en el conducto genital inferior, 32 como se llevó a cabo en la paciente de este estudio.
CONCLUSIÓN
En pacientes jóvenes, con cuadros de dismenorrea intensa, debe descartarse la posibilidad de malformaciones uterinas. La evaluación de pacientes con hemiútero, con cavidad rudimentaria, requiere la valoración por laparoscopia para extirpar la cavidad rudimentaria y la trompa uterina ipsilateral, con la intención de evitar complicaciones ginecoobstétricas a corto y largo plazo.










nueva página del texto (beta)


