ANTECEDENTES
El síndrome de desmielinización osmótica (SDO) es una alteración desmielinizante aguda, no inflamatoria, que puede aparecer en el puente del tronco encefálico (mielinolisis central-MCP) u otras áreas del sistema nervioso central (cerebelo, cuerpo geniculado lateral, cápsula extrema, cápsula externa, putamen, hipocampo, tálamo, núcleo caudado, entre otras estructuras [mielinolisis-MEP)1,2 Suele originarse al corregir o equilibrar rápidamente la concentración de sodio en pacientes con hiponatremia, generalmente crónica;3,4 sin embargo, cuando aparece en pacientes embarazadas se asocia con hiperémesis gravídica.5-9
Durante el estado hiponatrémico pueden perderse sustancias osmóticamente activas que protegen del edema cerebral (sodio, cloruro de potasio y osmolitos orgánicos [mioinositol, glutamato y glutamina]). Su expresión resulta en estrés osmótico, edema cerebral e incremento de la presión intracerebral, con disminución del flujo sanguíneo cerebral y alteración de la barrera hematoencefálica, que favorece la liberación de factores mielinotóxicos y oligodendrogliales destructivos.4 Las manifestaciones clínicas suelen aparecer dos a tres días posteriores a la reposición de sodio, con un curso clínico bifásico.
El objetivo de este artículo es presentar el caso de una gestante indígena procedente de la Amazonía colombiana, con síntomas neurológicos severos, doble antecedente de hiperémesis e hiponatremia y alteraciones imagenológicas compatibles con MEP.
CASO CLÍNICO
Paciente de 32 años, con embarazo de 15 semanas, originaria de la etnia indígena Curripaco, natural de la comunidad Pueblo Nuevo y procedente de Inírida (capital de Guainía), ubicada en la Amazonia colombiana. La paciente ingresó a un hospital de mediana complejidad en Guainía, por un cuadro clínico de dos horas de evolución caracterizado por movimientos tónico-clónicos generalizados, con desviación de la mirada hacia la izquierda, movimientos orofaciales de “chupeteo”, asociados con cefalea global tipo pulsátil, con antecedente de 10 episodios eméticos y un cuadro febril no cuantificado. Al examen físico se encontraba deshidratada, con taquicardia (162 latidos por minuto) y taquipnea (24 respiraciones por minuto); alteración del estado de conciencia (somnolencia), desorientación, sin contacto visual, automatismo bucal, bradipsiquia, afasia, disartria y reflejos conservados; sin signos de irritación meníngea. Antecedente de hospitalización hacía un mes por hiponatremia secundaria a hiperémesis gravídica y pielonefritis (se desconoce el tratamiento previo); además, recibió tratamiento con medicina tradicional (infusión de plantas). Antecedentes obstétricos: 4 embarazos, todos finalizados por parto, sin complicaciones. Se sospechó síndrome convulsivo por eclampsia, por lo que se inició tratamiento con fenitoína, ampicilina-sulbactam y sulfato de magnesio; los estudios paraclínicos reportaron: aumento de transaminasas (ALT 255 UI/L y AST 128 UI/L), concentración de sodio 127 mEq/L y potasio 2.4 mEq/L. Después de la reposición de electrolitos, el estudio efectuado 22 horas posteriores reportó: concentración de sodio 135 mEq/L y potasio 3.58 mEq/L. Figura 1

A) Inicio de la reposición de sodio y proceso de remisión, B) suspensión de la reposición de sodio y se remite para descartar complicación del cuadro clínico (neuroinfección), C) ingreso al hospital de IV nivel e inicio de reanimación hídrica, D) se descarta neuroinfección, E) ingresa a la unidad de cuidados intensivos por deterioro neurológico. Inicio del soporte ventilatorio, F) resonancia magnética compatible con mielinolisis pontina o extrapontina, G) evolución neurológica estacionaria y H) evolución clínica satisfactoria (extubación).
Figura 1 Concentración de sodio durante las primeras horas de estancia hospitalaria en Guainía y Bogotá.
La paciente continuó con deterioro neurológico, que evolucionó en 22 horas a un episodio convulsivo de difícil control. Se sospechó un tumor o neuroinfección, por tratarse del primer episodio y no tener antecedente neurológico relacionado. Tomando en cuenta el embarazo y la necesidad de estudios no disponibles (neuroimagen), se envió a un hospital universitario en la ciudad de Bogotá. Por las características de Guainía, era imposible el traslado por vía terrestre.
La paciente ingresó 5 horas después, en regular estado general, con tensión arterial de 130-79 mmHg, taquicardia (150 latidos por minuto) y taquipnea (24 respiraciones por minuto); frecuencia cardiaca fetal de 172 latidos por minuto; alteraciones neurológicas por deterioro del estado de conciencia (somnolencia), disartria, hemiparesia derecha, movimientos orofaciales de “chupeteo”, con mirada primaria central, deficiente relación con el medio, campimetría por amenaza sin alteración, movimientos oculares preservados, úvula centrada, elevación simétrica del velo del paladar, con hiperestesia ocular y signo de Kernig y Brudzinski positivos. Se informó una talla de 156 cm y desnutrición marcada.
Los exámenes de ingreso evidenciaron hiponatremia (130 mEq/L), potasio sérico sin alteraciones, disfunción hepática (AST 93 UI/L, ALT 205 UI/L, BT 1.5 mg/dL) y acidosis metabólica. Con base en lo anterior se estableció el diagnóstico diferencial de síndrome meníngeo, síndrome convulsivo y síndrome encefalopático. El tratamiento consistió en tratamiento empírico con antibióticos, previa punción lumbar que resultó negativa para infección, por lo que se suspendió el tratamiento antibiótico. La tomografía computada cerebral simple reportó un edema cerebral. Por el riesgo de deterioro neurológico y la necesidad de soporte ventilatorio, la paciente requirió tratamiento multidisciplinario y fue trasladada a la unidad de cuidados intensivos, donde se efectuó la intubación orotraqueal, en tratamiento conjunto con los médicos de los servicios de Neurología y Ginecología. Por el antecedente de pielonefritis se solicitó un examen general de orina, que fue positivo para infección de vías urinarias, por lo que se planteó la posibilidad de sepsis de origen urinario. Los urocultivos resultaron negativos. Se prescribió ceftriaxona y vancomicina, y continuó con tratamiento anticonvulsivo con levetiracetam.
De acuerdo con la evolución clínica de la paciente y su estado gravídico, se sospechó trombosis de senos venosos, por lo que se inició tratamiento con anticoagulantes. La angiorresonancia y resonancia magnética cerebrales evidenciaron lesiones hiperintensas en T2 y FLAIR, en las regiones talámica bilateral, periacueductal mesencefálica y los ganglios basales bilaterales, además de disminución del flujo en los senos venosos profundos (Figura 2), por lo que requirió panangiografía para la tipificación de la lesión. En consenso con el servicio de Neurología y considerando el antecedente de hiperémesis gravídica con alteración de la concentración de sodio y potasio, con velocidad de reposición de electrolitos no clara, se concluyó que el cuadro era compatible con mielinolisis extrapontina.

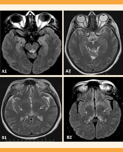
Figura 2 Resonancia magnética cerebral que muestra lesiones hiperintensas de la sustancia blanca profunda de forma simétrica, periventriculares y periacueductales. A1) Cortes en T2. A2) (FLAIR) se observan lesiones hiperintensas en el tegmen mesencefálico. B1) Cortes en T2 y B2) (FLAIR) lesiones en la región posteromedial y posterolateral del tálamo.
Durante su estancia en la unidad de cuidados intensivos tuvo fluctuaciones del estado de conciencia, episodios de estupor y agitación motora. Se le practicaron maniobras de extubación en tres ocasiones sin ser toleradas, disminuyó la saturación de oxígeno y manifestó signos de dificultad respiratoria, por lo que se practicó traqueostomía, con adecuada evolución y disminución progresiva del oxígeno complementario.
A partir de la hospitalización la frecuencia cardiaca permaneció elevada (pico máximo 150 latidos por minuto), por lo que fue valorada por el endocrinólogo y el cardiólogo, quienes coincidieron que la enfermedad tenía un origen multifactorial y no se aconsejó prescribir tratamiento específico. Al día 30 de hospitalización la paciente reportó evolución neurológica estacionaria, con nuevos picos febriles, por lo que se tomó un nuevo urocultivo que reportó E. coli y se inició tratamiento con meropenem y vancomicina.
Ante la mejoría parcial del cuadro clínico y neurológico se indicó el alta hospitalaria, con terapia integral en su lugar de procedencia (Guainía), por los riesgos de mantenerla en hospitalización. Salió del hospital con diagnóstico de: embarazo de 23.1 semanas, con feto vivo; mielinolisis extrapontina, síndrome de alteración del estado de conciencia multifactorial, episodio convulsivo e infección de vías urinarias.
En un principio se garantizó la red de apoyo y contrarreferencia aérea al territorio para finalizar el tratamiento con antibióticos. Recibió apoyo de Trabajo Social e inició terapias de rehabilitación, que debía continuar de manera ambulatoria. La paciente finalizó el embarazo por parto, en su domicilio, a las 38.3 semanas, del que nació una mujer, sin complicaciones, consultando al hospital para el alumbramiento.
El equipo médico que visitó a la paciente en Guainía, a los 2 años de su alta hospitalaria en Bogotá, Colombia, advirtió las secuelas neurológicas, con dificultad para la marcha, trastorno del lenguaje y dificultad para efectuar actividades cotidianas (bañarse). Se encontraba al cuidado de su hija mayor, quien refirió que solo recibieron una visita domiciliaria de rehabilitación y hasta la fecha es la familia quien dirige las terapias.
DISCUSIÓN
La hiperémesis gravídica se caracteriza por vómito asociado con deshidratación, desequilibrio electrolítico, desnutrición y pérdida de peso mayor de 5% durante el embarazo.10 Si bien los episodios de emesis pueden ocurrir en 50% de los embarazos, sólo 0.2-2% de los casos manifiesta alteraciones metabólicas e hidroelectrolíticas severas, como hiponatremia, que ponen en riesgo a la madre y al feto.
El caso aquí descrito inició con un episodio convulsivo, alteración de la conciencia y déficit neurológico. Este curso bifásico se ha descrito en pacientes con síndrome de desmielinización osmótica,4 caracterizado por encefalopatía o convulsiones, para después recuperarse rápidamente y deteriorarse 1 a 14 días después, con síntomas pontinos o extrapiramidales, alteraciones de la conciencia o el afecto,18 incluso signos de polineuropatía desmielinizante en las extremidades,13 catatonia,, trismo, y psicosis.16,17,18
El cuadro fue interpretado como posible eclampsia y se planeó descartar neuroinfección, con lo que se inició el traslado a una institución de alta complejidad, donde se estableció el diagnóstico definitivo de mielinolisis extrapontina. Éste se fundamenta en la sospecha clínica; la resonancia magnética cerebral es el estudio de elección para la confirmación de la enfermedad, por la evidencia de lesiones hipointensas en la secuencia T1 e hiperintensas en las secuencias T2 y FLAIR.1,19 Al inicio, las imágenes no son concluyentes, por lo que se recomiendan estudios seriados, puesto que en la primera imagen no es visible la lesión característica20 o que la mielinolisis extrapontina anteceda a la mielinolisis central pontina.21
El diagnóstico diferencial de hiperintensidad en los ganglios basales con restricción en la difusión en las secuencias T2 y FLAIR de la resonancia magnética se establece con: hipoglucemia, encefalopatía isquémica hipóxica, intoxicación con monóxido de carbono e hiperamonemia, que pueden descartarse mediante la historia clínica y con el estudio de glucometría al ingreso al hospital. Otro diagnóstico diferencial incluye la encefalopatía de Wernicke, una urgencia neurológica aguda originada por la deficiencia de tiamina, que suele ser frecuente en alcohólicos y se manifiesta por la tríada de ataxia, confusión y oftalmoplejia, en conjunto con las características clínicas de deficiencia de vitamina B1. En esta alteración también se evidencia hiperintensidad mediante resonancia magnética cerebral, con distribución irregular y asimétrica marcada.21,22
En cuanto al tratamiento, el caso aquí reportado fue, aparentemente, agudo (menos de 48 horas); sin embargo, el antecedente de hiperémesis e hiponatremia un mes antes del cuadro actual sugirió la posible agudización del cuadro de inicio crónico (mayor de 48 horas). La importancia de considerar esta condición de cronicidad, es que cuando se ha completado el periodo de adaptación cerebral, de 48 horas, las células cerebrales son más vulnerables a la desmielinización osmótica, como sucedió al efectuar la corrección rápida de la deficiencia electrolítica.23 Otros aspectos que pudieron favorecer el síndrome de desmielinización osmótica fueron la hipovolemia, provocada por la hiperémesis, y el mal estado nutricional,23 evidenciado por la delgadez marcada.
Además, la hiperémesis y crisis convulsiva manifestadas por la paciente pueden catalogarse como hiponatremia gravemente sintomática,24 por lo que se recomienda la atención rápida hasta disminuir los síntomas, corregir en 10 mmol/L o alcanzar los 130 mmol/L (lo que ocurra primero), con comprobaciones ulteriores cada 4 horas.21 En nuestra paciente, el primer control fue a las 22 horas de su ingreso, cuando había sobrepasado los 130 mEq/L (135 mEq/L) y tenía un valor de 8 mEq, superior al del ingreso (127 mEq/L).
La corrección inicial de 6 mmol/L es efectiva en pacientes con síntomas severos y no se ha documentado beneficio terapéutico adicional cuando se supera ese valor; por tanto, la meta recomendada por las Guías Norteamericana y Europea es de 4-8 mmol/L en pacientes con hiponatremia crónica con bajo riesgo de síndrome de desmielinización osmótica, 4-6 mmol/L si el riesgo es alto, y valores superiores en los casos de riesgo bajo. Las mismas guías proponen la nemotecnia de la “regla de los seis”, donde la palabra “síntomas” se reemplaza por la abreviatura “sx”, de la siguiente forma: seis al día por seguridad; seis en seis horas para los sx severos y suspensión.23,25 Respecto de la hiponatremia aguda, las mismas guías recomiendan la corrección inicial de 4-6 mmol/L, y en caso de dudas acerca de la temporalidad del inicio deberán implementarse tratamientos similares a los que se prescribe a pacientes con hiponatremia crónica.
La paciente se encontraba en una institución de nivel intermedio (con especialidades de Ginecoobstetricia y Medicina Interna, con laboratorio clínico, sin unidad de cuidados intensivos ni resonancia magnética), en un territorio que solo tiene atención de alta complejidad por vía aérea, y que el síndrome de desmielinización puede aparecer, incluso, aunque se inicie la adecuada velocidad de corrección de los trastornos electrolíticos.26
Puesto que la paciente de este caso regresó a su territorio de origen al finalizar la hospitalización, no se contó con revaloración neurológica ni de imagen, sino que solo pudo acceder a terapias de rehabilitación basadas en su condición al egreso. Que dichas terapias hayan sido interrumpidas a las 15 semanas del egreso y el embarazo finalizara en parto domiciliario sugieren un efecto negativo y la necesidad de ajustar el modelo de salud que se está implementando en ese territorio (Colombia) para cualificarlo a nivel extramural.
De acuerdo con la bibliografía, este es el primer caso de síndrome de desmielinización osmótica e hiperémesis en una paciente embarazada,1,6-10,22,27 indígena, en su segundo episodio de hiperémesis e hiponatremia, procedente de un territorio con condiciones adversas de acceso, que obligaron al traslado aéreo, suponiendo un reto mayor para la paciente. El informe de Corona y sus colaboradores (2014)1 es el más parecido al nuestro: su paciente manifestó el cuadro clínico antes de la semana 20 del embarazo, ingresó a la unidad de cuidados intensivos y no tuvo afectación fetal. Otros casos similares demostraron afectación neurológica, pero no reportan el desenlace fetal.7,22 Es importante que en los reportes futuros se incluya el seguimiento neurológico y fetal, con la finalidad de ampliar el conocimiento del pronóstico de las pacientes.
CONCLUSIONES
El síndrome de desmielinización osmótica es una alteración que debe considerarse en el diagnóstico diferencial de pacientes embarazadas con cuadros neurológicos agudos y antecedente de hiperémesis o hiponatremia. El tratamiento de la hiperémesis gravídica en territorios rurales o con problemas de accesibilidad geográfica debe apuntar a prevenir ese tipo de complicaciones poco frecuentes, pero severas, como la mielinolisis extrapontina o la mielinolisis central pontina. Además, en el tratamiento de embarazadas con hiperémesis, el antecedente de hiponatremia aguda es sugerente de cronicidad. Los servicios de Ginecoobstetricia de zonas rurales y de difícil acceso deben garantizar las condiciones de laboratorio y asistencia para la medición, el monitoreo continuo y el tratamiento óptimo de la hiponatremia u otros trastornos hidroelectrolíticos. Es importante integrar hospitales universitarios o de alta complejidad, habitualmente ubicados en los centros urbanos, a la red de atención en territorios que solo cuentan con hospitales de mediana complejidad.










nueva página del texto (beta)


