ANTECEDENTES
Los quistes de Naboth (de retención, mucinosos o epiteliales) son frecuentes en la unión escamosa del cuello uterino.1 Aparecen en mujeres en edad reproductiva, son hallazgos ginecológicos comunes y raras veces tienen importancia clínica. Estos quistes se forman cuando una hendidura del epitelio columnar se cubre de células escamosas y las células columnares siguen secretando material mucoide. Generalmente son pequeños y asintomáticos. Son lesiones quísticas multiloculares que aparecen en el cuello uterino. Pueden variar de benignos a malignos porque cualquier proliferación glandular cervical puede mostrar espacios multiquísticos.2,3 Los quistes pequeños de Naboth son clínicamente asintomáticos y los grandes son aún más raros. Los gigantes pueden confundirse con tumoraciones malignas, como el adenoma maligno, que es productor de mucina.4 Existen reportes de quistes gigantes de Naboth que se manifiestan como una tumoración intraabdominal; el diagnóstico diferencial son las masas anexiales (tumoraciones del ovario, trompas de Falopio o tejido conectivo circundante).2,5
CASO CLINICO
Paciente de 44 años, con índice de masa corporal de 38. Antecedentes obstétricos de dos embarazos y dos cesáreas. Acudió a consulta debido al sangrado uterino anormal de 7 años de evolución, flujo transvaginal hialino abundante y continuo, sensación de pesantez pélvica, aumento del tamaño abdominal y dificultad para orinar.
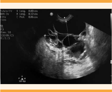
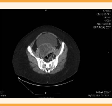
En la exploración física se encontró el abdomen blando, depresible, útero no delimitado, con anexo derecho aumentado de tamaño. En el ultrasonido pélvico se observó una tumoración en el anexo derecho, multiloculada, de aspecto complejo (Figura 1). La tomografía axial computada abdominopélvica reportó una lesión compleja, multiloculada, de paredes y septos gruesos, desplazamiento del útero hacia la izquierda, de aproximadamente 9.3 x 7.2 x 10.1 cm (Figuras 2 y 3). Se sospechó una tumoración de anexo, sobre todo dependiente del ovario. Por eso se solicitó la cuantificación del marcador tumoral Ca 125 que se reportó con valores dentro de límites normales. La citología cervicovaginal fue negativa para displasia.

Figura 1 Ultrasonido pélvico: anexo derecho multilobulado de 9 x 7 x 10 cm, ovario izquierdo normal.

Figura 2 TAC, corte coronal: tumoración pélvica compleja, multiloculada de paredes gruesas, desplazamiento del útero, compresión de la pared de la vejiga urinaria.

Figura 3 TAC, corte transversal donde se observa una tumoración pélvica, sin componente sólido, de apariencia multiquística.
La intervención se efectuó por vía laparoscópica, ante la sospecha de un tumor en el anexo derecho. Los anexos se encontraron íntegros, el útero macroscópicamente normal, con un quiste en la cara anterior, de 15 x 12 x 18 cm, adherido al espacio paravesical (Figura 4). La cistectomía se efectuó con punción del quiste del que se obtuvo material mucinoso. Se observó la comunicación entre el quiste y el canal vaginal de aproximadamente 6 cm. Ante estos hallazgos se decidió convertir la cirugía laparoscópica en cirugía abierta para efectuar la histerectomía total.

Figura 4 Tumoracion pélvica adherida al espacio paravesical, con salida de líquido de aspecto mucinoso.
El reporte histopatológico de la muestra fue de: quiste complejo de Naboth, profundo hasta la pared en el segmento y parametrios, sin evidencia de malignidad (Figuras 5, 6 y 7); adenomiosis uterina, sin evidencia de malignidad.
DISCUSIÓN
En este caso se inició el protocolo de estudio de las masas anexiales porque la localización del quiste era intraabdominal. Conforme a los lineamientos al respecto del ACOG la evaluación de las masas anexiales incluye el ultrasonido pélvico como primera línea en imagen y Ca-125 para descartar malignidad.6 El ultrasonido de la paciente reportó datos ultrasonográficos de sospecha de malignidad, por eso se complementó con una TAC y marcador tumoral Ca 125 que reportaron parámetros normales; por eso se decidió el acceso laparoscópico.
Conforme a lo que se señala en la bibliografía, la mejor vía de acceso para masas anexiales es mediante laparoscopia.7 En el caso aquí reportado se llevó a cabo, inicialmente, por vía laparoscópica ante la sospecha de patología anexial. Durante el procedimiento se documentó la comunicación entre la vagina y la cavidad abdominal y por eso se decidió la histerectomía total asistida por vía abdominal, con reporte histopatológico de quiste de Naboth.
Los quistes de Naboth son característicos de la edad reproductiva, como un proceso de reparación e inflamación de cervicitis crónica, después de un traumatismo menor o el parto. La capa submucosa es la localización más común y rara vez son profundos.8 Son tan frecuentes que se consideran una característica normal de la anatomía del cuello uterino. El epitelio escamoso del cuello uterino prolifera y cubre el epitelio columnar de las glándulas endocervicales. La mucosa secretada por este epitelio forma unos quistes de retención mucinosa denominados de Naboth.9 Casi siempre son asintomáticos y pueden medir desde milímetros hasta menos de 4 cm de diámetro, pocas veces crecen más de 8 cm de diámetro; provocan síntomas similares a los de los tumores uterinos.10 En el caso de esta comunicación el quiste midió 15x12x18 cm de diámetro. Lo singular es la rareza de su localización en la cavidad abdominal, por lo que se sospechó una tumoración de anexo derecho.
Entre los síntomas reportados por las pacientes con quistes gigante están: hematometra, sangrado uterino anormal, obstrucción en el canal del parto y compresión rectal.1 La paciente del caso tuvo sangrado uterino anormal, sensación de pesantez pélvica y salida de material mucinoso por vía vaginal.
Vural y su grupo11 publicaron el diagnóstico histopatológico de quiste de Naboth por la existencia en la pared del quiste de epitelio cilíndrico columnar, sin atipias, semejante al reportado en nuestra institución.
CONCLUSIÓN
Los quistes de Naboth suelen ser pequeños, asintomáticos y benignos. El que aquí se reporta se originó en el cuello uterino donde abarcó, incluso, la cavidad abdominal, que fue lo que ocasionó los síntomas compresivos. Ante las dimensiones del quiste y la pérdida de la continuidad de la vagina hacia la cavidad se requirió histerectomía total abdominal. Entre las tumoraciones anexiales debe considerarse al quiste gigante de Naboth como diagnóstico diferencial.










nueva página del texto (beta)





