ANTECEDENTES
El abdomen agudo es una alteración poco frecuente durante el embarazo. Entre sus principales causas se encuentran: apendicitis aguda, colecistitis aguda y masas anexiales.1 La paciente en edad fértil tiene riesgo elevado de enfermedad pélvica, que amerita intervención quirúrgica. Durante el embarazo es difícil establecer el diagnóstico de masa o tumoración anexial.1 Su incidencia en este periodo es menor a 5%.3 Las pacientes suelen cursar asintomáticas, incluso expresar signos y síntomas inespecíficos, como distensión abdominal, náuseas y vómito.5 El teratoma maduro representa 50% de las masas anexiales durante el embarazo2 y su localización más frecuente es en el ovario.3 El estudio diagnóstico de elección sigue siendo el ultrasonido pélvico, por su accesibilidad y seguridad; sin embrago, la resonancia magnética ha demostrado mayor sensibilidad (97%).3 Desde el punto de vista macroscópico, los teratomas se clasifican en quísticos (cuya naturaleza es benigna y suelen afectar a 80% de las mujeres) y sólidos.4 Desde el punto de vista histológico muestran tejido de una o diversas capas de células germinales: ectodermo, endodermo y mesodermo. Suelen manifestarse de forma unilateral (72.2%), principalmente en el lado derecho. El pronóstico de pacientes con teratomas benignos es bueno. Aunque la torsión anexial es un suceso poco frecuente durante el embarazo, se ha reportado en 1 a 2% de los casos.3 El tratamiento de elección consiste en extirpación quirúrgica completa, en la medida de lo posible.
CASO CLÍNICO
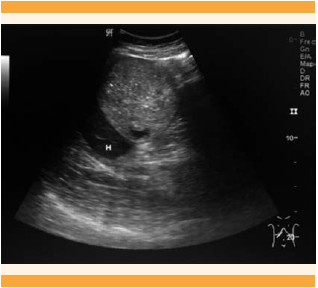
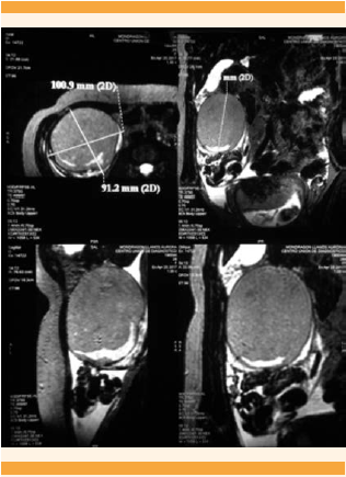
Paciente de 29 años, que acudió al servicio de Urgencias Ginecoobstétricas del Hospital General Dr. Miguel Silva de Morelia, Michoacán, con embarazo de 15.2 semanas (estimado por fecha de la última menstruación) y dolor pélvico agudo de 3 horas de evolución, localizado en la fosa iliaca derecha, que se irradiaba al hipocondrio derecho, incapacitante, calificado en la escala visual análoga de 9. Antecedentes personales patológicos, quirúrgicos, traumáticos, alérgicos, transfusionales y toxicomanías negados. Antecedentes ginecoobstétricos: menarquia a los 14 años, ciclo menstrual 28/4, eumenorreica a expensas de útero gestante; prueba de embarazo positiva; 5 embarazos, 3 partos y 1 aborto. Inicio de la vida sexual activa a los 18 años, una pareja sexual, sin implementación de métodos anticonceptivos; Papanicolaou nunca realizado. Durante la exploración física se encontró con abdomen semigloboso y en la auscultación peristalsis normal. A la palpación media y profunda se percibió resistencia muscular, dolor en la fosa iliaca y hemiabdomen derechos, con signo de rebote positivo en la fosa iliaca derecha; no se palparon visceromegalias ni tumoraciones. A la exploración genital se encontró con cérvix posterior desplazado hacia la izquierda, de consistencia dura, cerrado, dolor a la movilización referido hacia el lado derecho, sin sangrado activo, cavidad vaginal eutérmica. Al tacto bimanual: fondo de saco lateral derecho ocupado por una tumoración de consistencia dura, móvil, doloroso a la movilización, tumoración no delimitada. El ultrasonido abdomino-pélvico reportó un embarazo intrauterino, con feto único, vivo, de 14.2 semanas (estimadas por fetometría), con 140 lpm y placenta normoinserta. También se observó una imagen ovoide, delimitada, de contenido heterogéneo, con imágenes hipodensas en su interior correspondientes a grasa, además de imágenes hiperecogénicas con sombra acústica relacionadas con calcificaciones. A pesar de los hallazgos detectados en el estudio de imagen, no se concluyó la situación anatómica, debido al tamaño de la tumoración y el estado gestacional (Figura 1). La resonancia magnética de abdomen superior evidenció una masa anexial bien definida y delimitada, de bordes regulares, de aproximadamente de 10 x 9 x 9.1 cm, quizá asociada con endometrioma (Figura 2).
La determinación de marcadores tumorales reportó: alfafetoproteína 19.8 ng/mL, antígeno carcinoembrionario 1.4 ng/mL, Ca-125 31.2 U/mL y Ca-19-9 30.4 U/mL; el resto de los estudios de laboratorio estuvieron dentro de los límites normales.
Con el diagnóstico de embarazo de 15.2 semanas (establecido por fecha de la última menstruación) y masa anexial se decidió efectuar la intervención quirúrgica por posible afectación vascular. Se llevó a cabo la laparotomía exploradora, con incisión media infraumbilical, incidiendo por planos hasta llegar a la cavidad abdominal. Durante el procedimiento se observó: útero aumentado de tamaño, de 18 x 12 cm aproximadamente; anexo derecho con tumoración de 14 x 10 cm, con afectación vascular, desplazada hacia el hipocondrio derecho (Figura 3), por lo que se decidió la resección, con salpingo-ooforectomía derecha, sin complicaciones inmediatas; el anexo izquierdo se visualizó sin anormalidades anatómicas. La tumoración anexial se envió al Departamento de Anatomía patológica del hospital. La paciente evolucionó satisfactoriamente y se otorgó el alta hospitalaria 48 horas posteriores al procedimiento quirúrgico, con reporte de los estudios de laboratorio normales.
Desde el punto de vista macroscópico, el tumor era de forma irregular, multilobulado, quístico, de 634 g y 16 x 11 x 7 cm, de superficie lisa, violácea, brillante, con áreas de hemorragia y congestión vascular (Figura 4). Al corte, la pared medía 1 cm de espesor, tenía contenido de apariencia pastosa, amarillo, con cabellos y sangre. La superficie interna era unilocular, lisa y de color rosa; no se identificó el ovario residual (Figura 5). Entre los hallazgos microscópicos se identificaron elementos de las tres capas embrionarias. Se observaron glándulas sebáceas apocrinas, epidermis que revestía la superficie interna del quiste y láminas de queratina en su interior. La pared del quiste mostró un aspecto engrosado, debido a la coexistencia de vasos sanguíneos congestivos y múltiples áreas de necrosis isquémica hemorrágica. Figura 6

Figura 4. Ovario de superficie violácea, con áreas difusas de congestión vascular y hemorragia en el hilio.

Figura 5. Ovario quístico que al corte se encuentra totalmente ocupado por material de aspecto sebáceo, queratinoso y cabellos. En el hilio se observa congestión vascular secundaria a torsión y hemorragia que se extiende al área quística.
DISCUSIÓN
Los teratomas son el tipo más común de tumor de células germinales. Se clasifican en maduros e inmaduros, pueden ser quísticos y sólidos, o una combinación de ambos. Sus formas son variables y pueden encontrarse diversos tipos de tejido maduro. 1 El 25 a 50% de las pacientes pueden cursar asintomáticas; sin embargo, según su tamaño puede ocasionar distensión abdominal, náuseas y vómito. El hallazgo de una lesión quística anexial, simple o compleja durante el embarazo es un suceso poco frecuente. 2 El 0.2-2% de los embarazos se complica por la coexistencia de alguna masa anexial y, como en la paciente de este estudio, puede aparecer en 1 a 2% de los casos con cuadro de abdomen agudo. Se reporta dolor abdominal en 35-65% y aumento de volumen abdominal, según la edad gestacional, en 15%.1 La torsión anexial ocurre en 5% de las mujeres embarazadas con alguna masa anexial. 2 El dolor abdominal suele originarse por la torsión ovárica entre la octava y décima sexta semana de gestación (nuestra paciente se encontraba en la semana 15). 1-3 El ultrasonido representa un método efectivo para establecer el diagnóstico de masa anexial, pues además de mostrar elevada sensibilidad (90%),3 es de fácil acceso, bajo costo, confiere seguridad materno-fetal y ofrece imágenes de lesiones complejas, con doble componente quístico y sólido. 4 Sin embargo, como sucedió en el caso aquí reportado, la resonancia magnética fue más efectiva, porque identificó diferentes componentes de tejido de la tumoración, precisando su localización, morfología y estructuras adyacentes. Los hallazgos histológicos más frecuentes son: teratoma maduro, cistoadenoma y tumores funcionales. 4 El diagnóstico de tumoración anexial puede ser difícil de establecer durante el embarazo y, por tanto, provocar complicaciones y afectar el pronóstico perinatal, así como la decisión de extirpar la tumoración en el momento adecuado. 1-4 La determinación de marcadores tumorales (Ca-125, AFP, GCH-B, DHL, ACE) es limitada por el propio embarazo y por alterar sus valores; en este caso, la conducta no debe estar condicionada por sus resultados y, si el tumor no cumple con los criterios quirúrgicos establecidos, el seguimiento debe ser clínico y mediante estudio ecográfico. 5
Diversos autores recomiendan la intervención quirúrgica; la vía de acceso tradicional es la laparotomía, tratamiento implementado en nuestra paciente, además de ser imprescindible la escisión quirúrgica completa, porque el diagnóstico definitivo no siempre se establece de forma prequirúrgica. 3-5
CONCLUSIÓN
El riesgo de padecer alguna alteración abdominal durante el embarazo es poco frecuente; sin embargo, es importante su conocimiento, con la finalidad de establecer el diagnóstico acertado, además de elegir el protocolo adecuado que pueda orientar al tratamiento correcto, ya sea quirúrgico o no. Como se reportó en este caso clínico, el método diagnóstico de primera línea no siempre será el concluyente; por tanto, debe ampliarse el criterio clínico y decidir acertadamente lo que se requerirá como segunda línea y otorgar la más pronta y mejor atención.










nueva página del texto (beta)






