ANTECEDENTES
La enfermedad de Paget la describió por primera vez Velpeau (1856); en 1874 Sir James Paget la relacionó con carcinoma mamario. Esta enfermedad suele afectar a mujeres de entre 40 y 60 años. 1,2 Es una alteración excepcional, pues se reporta en 0.5 a 4.3% de todas las neoplasias de mama. La relación mujer-hombre es de 99:1, 3 y el comportamiento clínico es similar en ambos géneros. 4 Tiene dos formas clínicas de manifestación: 1) eccematosa y 2) ulcerativa. Suele aparecer como una lesión unilateral, que se inicia en el pezón o en la areola y, posteriormente, puede extenderse a la piel circundante.
La enfermedad de Paget mamaria es una alteración poco frecuente, que genera cambios en el pezón-areola y puede asociarse con carcinoma de mama subyacente in situ o invasor.
CASO CLÍNICO
Mujer de 69 años, con antecedentes médicos de colecistectomía complicada dos años antes y colocación de endoprótesis biliar; antecedentes heredofamiliares: padre con cáncer pulmonar y madre con cáncer renal. En el interrogatorio refirió que el padecimiento actual se inició cuatro años antes, con cambios en la coloración del pezón y descamación, acompañados de prurito. Se le prescribieron corticoesteroides tópicos sin disminución de los síntomas. Posteriormente manifestó una dermatosis localizada en la glándula mamaria izquierda, que afectaba el pezón y la areola. La lesión era unilateral y asimétrica, constituida por una placa con eritema y descamación fina, de 4.0 x 4.5 cm de diámetro, con retracción del pezón (Figura 1).
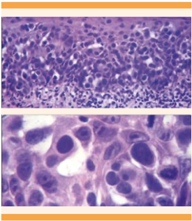
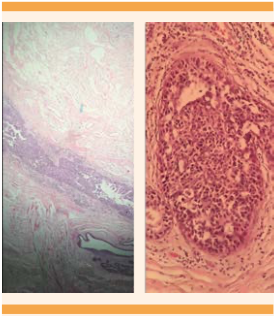
No se palparon masas mamarias, adenopatías axilares ni supraclaviculares sospechosas. Se estableció el diagnóstico presuntivo de enfermedad de Paget mamaria y enfermedad de Bowen, por lo que se obtuvo una biopsia del área del pezón-areola. El estudio de patología reportó células neoplásicas grandes, con infiltración a la epidermis, aisladas o en pequeños grupos, con citoplasma claro, vacuolado, núcleo agrandado y nucléolo prominente, característico de la enfermedad de Paget mamaria (Figura 2).

Figura 2. Epidermis con nidos de células atípicas y citoplasma claro abundante (tinción HE: 10x y 40x).
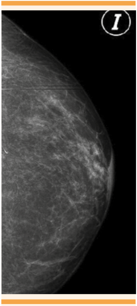
El estudio de inmunohistoquímica reportó positividad para CK7 y HER2, y negatividad para p53 a células neoplásicas, con lo que se estableció el diagnóstico definitivo de enfermedad de Paget mamaria (Figura 3 y 4). Los estudios de mastografía anuales se reportaron normales, excepto el último (Figura 5), que mostró ambas mamas con patrón fibroglandular disperso, aumento del grosor de la piel del complejo areola-pezón, con aplanamiento del pezón, sin evidencia de nódulos en la región retroareolar, correspondiente con calcificaciones benignas bilaterales, clasificación BIRADS 5. El ultrasonido no mostró alteraciones. La paciente fue enviada al servicio de Oncología quirúrgica para su valoración y se realizó la mastectomía total, cuyo reporte final de patología reveló un carcinoma intraductal sin componente invasor. Figura 6
DISCUSIÓN
La enfermedad de Paget mamaria se manifiesta como una placa descamativa, eritematosa y áspera; en ocasiones puede aparecer exudación serosa o sanguinolenta, lo que genera una apariencia eccematosa. La retracción del pezón es rara y puede ocurrir en estadios avanzados de la enfermedad. El ardor, dolor y prurito pueden afectar, incluso, a 25% de las pacientes antes de que la enfermedad sea clínicamente aparente. 2 En el caso clínico reportado, la edad está dentro del límite correspondiente para esta dermatosis, así como la manifestación clínica, que suele ser unilateral, con placa descamativa y eritematosa.
El 97% de los casos de enfermedad de Paget mamaria se asocia con neoplasia maligna, que puede manifestarse como una masa palpable, alteración mamográfica, o ambas. 1 La paciente de este estudio no tuvo masa palpable ni cambios radiológicos; el cáncer oculto puede manifestarse en 25% de los casos. 1 La ausencia de masa palpable suele asociarse con carcinoma ductal in situ. 2
El diagnóstico diferencial incluye alteraciones dermatológicas benignas como: eccema del pezón, dermatitis de contacto, adenoma del pezón, liquen simple crónico, psoriasis y algunas neoplasias malignas como: enfermedad de Bowen, carcinoma basocelular y, en pacientes con pigmentación, melanoma maligno. 1
Existen dos teorías que tratan de explicar la patogenia de la enfermedad de Paget mamaria: 2
Epidermótropa: postula que las células de Paget son ductales cancerosas, que han migrado a lo largo de la membrana basal de los ductos subyacentes hacia la epidermis del pezón. La unión de la heregulina-alfa con receptores de células de Paget (HER2/NEU y correceptores HER3 o HER4) provocan la quimiotaxis de las células del cáncer de mama hacia la epidermis del pezón subyacente.
Transformación maligna intraepidérmica: sugiere que las células de Paget se originan in situ de células multipotenciales de la membrana basal de queratinocitos epidérmicos del pezón o, incluso, de la porción terminal del conducto lácteo, en su unión con la epidermis.
El diagnóstico de enfermedad de Paget mamaria se confirmó mediante biopsia de piel del pezón, considerado el estudio de elección, que además incluye la evaluación de los conductos galactóforos. 5 Histológicamente se caracteriza por la coexistencia de células de adenocarcinoma intraepitelial (células de Paget), por separado o en grupos, dentro de la epidermis del pezón. Las células son grandes, redondas u ovaladas, con protoplasma grueso, citoplasma pálido y claro, con núcleos grandes y nucléolos con mitosis abundantes. 1,3 La inmunohistoquímica con mayor especificidad es la citoqueratina 7. La oncoproteína c-erb2 suele sobreexpresarse en más de 90% de los casos y la tinción positiva casi siempre se relaciona con carcinoma de mama. 2)
En el caso aquí reportado se solicitó inicialmente la mamografía, pues se considera el estudio radiológico de elección para detectar algún carcinoma invasivo o intraductal in situ, pero con limitaciones en este último. 1,5 La sensibilidad de la mamografía para la detección de neoplasias mamarias con y sin masa palpable es de 97 y 50%, respectivamente. 2 Una revisión de casos de enfermedad de Paget mamaria e imágenes radiológicas describió los siguientes hallazgos: 6 engrosamiento de la piel, específicamente en la región areola-pezón, densidad asimétrica, retracción del pezón y una masa discreta, ya sea subareolar o distante de la zona areola-pezón. Otros hallazgos incluyen: calcificaciones pleomórficas malignas, asociadas o no con engrosamiento o distorsión de la anatomía mamaria.
El ultrasonido representa un estudio complementario para detectar hallazgos mamográficos o un resultado negativo. 5
En nuestro caso no se solicitó resonancia magnética por no contar con el recurso en su momento. Este estudio se solicita cuando la mamografía y los hallazgos ultrasonográficos son negativos y la extensión de la enfermedad es incierta, 5,6 además de la toma de decisiones para establecer el tratamiento. 5 Es una técnica poco accesible en algunas instituciones debido a su costo elevado y no proporciona seguridad en el diagnóstico de tumores subyacentes ni diseminación intraductal. 2 Su alta sensibilidad y baja especificidad suelen revelar anormalidades que pueden llevar a la práctica excesiva de mastectomías sin beneficios a largo plazo. 7
La mastectomía con o sin disección ganglionar axilar se consideró durante mucho tiempo la técnica de elección en pacientes con enfermad de Paget mamaria, 5 debido al incremento en los primeros informes de asociación con carcinoma multicéntrico. 8,9) Sin embargo, actualmente se realiza en pacientes con carcinoma ductal in situ de más de 2 cm de diámetro o cuando es imposible tener la certeza que los márgenes negativos puedan alcanzarse debido a la extensión o multicentricidad del tumor. 10 La mayoría de las pacientes con masa palpable pueden requerir mastectomía, porque el cáncer asociado se encuentra en estadio avanzado, con ganglios axilares positivos en 48-69% de los casos. 1 Domicini y su grupo publicaron un algoritmo para el tratamiento de la enfermedad de Paget mamaria. 8
Después de revisar los estudios del caso aquí expuesto se comentaron las posibilidades de tratamiento y se decidió efectuar la mastectomía.
El cáncer de piel subyacente puede ser invasivo en 25-30% de los casos, 1 con riesgo de metástasis axilar en 21 a 25%.7) El cáncer de mama puede aparecer de forma multicéntrica o multifocal, por lo que algunos autores recomiendan la cirugía definitiva. 8 Incluso, se considera una opción en pacientes con diagnóstico tardío, debido al riesgo de extensión de la enfermedad. 10 Tres estudios que examinaron las piezas de mastectomía de pacientes con enfermedad de Paget mamaria reportaron cáncer multifocal o multicéntrico en 73, 75 y 80% de los casos, respectivamente. En una serie de 37 pacientes con enfermedad de Paget mamaria sin masa palpable o alteración mamográfica tratadas con mastectomía simple indicaron un índice de recurrencia local de 5%, con media de seguimiento de 40 meses. 11 Estos datos comprueban la conducta de la mastectomía, como sucedió en nuestro caso, aunque fue decisión de la paciente.
En pacientes con enfermedad de Paget mamaria sin masa palpable y anormalidad mamográfica la cirugía conservadora de mama seguida de radioterapia es una alternativa efectiva. 5,7 El Grupo de Expertos del Consenso de Enfermedad de Paget mamaria, dirigido por Gaurav y su grupo, está a favor de la cirugía conservadora. 5 La Organización Europea para la Investigación y Tratamiento del Cáncer (EORTC) publicó, en 2001, el primer estudio prospectivo de tratamiento conservador y lo sugirió como alternativa de tratamiento para las mujeres con enfermedad de Paget mamaria y cáncer intraductal in situ. 7 El estudio de Helme y sus coautores señala que menos de 20% de las pacientes tiene enfermedad central confinada al pezón y, por lo tanto, son idóneas para cirugía conservadora de mama. En su publicación elaboraron un algoritmo para la selección de pacientes susceptibles a este procedimiento quirúrgico. 7
Los factores pronóstico incluyen: coexistencia de masa palpable, afectación de nódulos linfáticos, aumento de tamaño del tumor, enfermedad invasiva, edad mayor de 60 años y estadio II de la enfermedad. 7 Albarrán y su grupo evaluaron 13 casos y reportaron una tasa de supervivencia de 72% a 5 años. 9)
La paciente de este estudio correspondió a la clasificación Tis (enfermedad de Paget del pezón) N0 M0, estadio clínico 0, con una tasa de supervivencia de 92% a 5 años. Hoy día se encuentra sin recidiva y permanece en vigilancia por los especialistas del servicio de Oncología.
CONCLUSIONES
El conocimiento de la enfermedad de Paget mamaria tiene importancia clínica, puesto que representa una afección poco frecuente, que debe considerarse en el diagnóstico diferencial de lesiones benignas del complejo areola-pezón y cuya manifestación implica realizar los estudios necesarios para descartar el diagnóstico de carcinoma de mama. Ante la falta de estudios radiológicos que impiden seguir algoritmos de tratamientos recomendados, es importante la valoración de cada caso para el tratamiento adecuado y oportuno.










nueva página del texto (beta)







