Antecedentes
El tumor proliferante benigno mucinoso, de tipo endocervical, con hiperplasia microglan-dular en el ovario, lo describieron Saurine y colaboradores.1 Lo común es que la hiperplasia microglandular aparezca en el endocérvix, pero también puede hacerlo en cualquier localización donde el epitelio glandular sea mucinoso (ectropión y adenosis vaginal). También está descrito un caso de hiperplasia microglandular en endosalpingiosis.2 Los cambios de hiperplasia microglandular-like solo se han descrito en tumores ováricos benignos por Saurine y su grupo en la bibliografía revisada.1
La hiperplasia microglandular es un padecimiento benigno que obliga a descartar malignidad al examinar la arquitectura glandular. En 1967 Taylor y sus coautores describieron un tipo distintivo de hiperplasia endocervical atípica polipoidea en mujeres que tomaban anticonceptivos.3 Más tarde se publicaron otros casos de mujeres jóvenes que tomaban anticonceptivos orales y en embarazadas.3,4,5,6 La hiperplasia microglandular puede relacionarse con la exposición a la progesterona de los anticonceptivos.3 También se han descrito casos de pacientes sin antecedente de exposición a los anticonceptivos orales o posmenopáusicas.7 El papel exacto de la progesterona, y de los estrógenos, no está claro, pero se sugiere que representa un ejemplo florido de hiperplasia de células de reserva con diferenciación glandular en respuesta a la estimulación hormonal.7,8 Aproximadamente 75% de los tumores mucinosos de ovario son benignos.9 El espectro se subdividió, inicialmente, en variantes intestinal, mülleriano o endocervical, cada una con su patrón de correlación clínica y patológica.10 Las neoplasias mucinosas fronterizas (borderline) proliferantes son, en su mayor parte, de subtipo intestinal. Las variantes müllerianas o endocervical-like han demostrado cambios en la arquitectura similares a los encontrados en los pólipos endocervicales.
En 2014, la Organización Mundial de la Salud (OMS) clasificó los tumores mucinosos de ovario como mucinosos fronterizos (borderline), seromucinosos fronterizos (tumores mucinosos de tipo endocervical-mülleriano) y carcinomas mucinosos.11
Las neoplasias mucinosas derivan del epitelio celómico ovárico que reproduce al epitelio mülleriano endocervical.
El objetivo de este estudio fue: exponer el diagnóstico de una tumoración ovárica benigna infrecuente, en una paciente que recibió estimulación hormonal con fines reproductivos.
Caso clínico
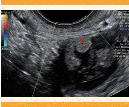
Paciente de 38 años, con hallazgo ecográfico de una formación anexial sospechosa de malignidad en una revisión ginecológica previa a un nuevo ciclo de estimulación ovárica. Un examinador experto observó una formación quística de 25 x 33 mm, de pared gruesa e irregular, con papila de 6 mm, vascularizada; el resto del contenido quístico era heterogéneo (Figuras 1, 2). El ovario izquierdo se observó normal, de 19 x 10 mm. En el útero, el endometrio era homogéneo y congruente con la fase del ciclo. El cuerpo uterino tenía un mioma de 10 x 13 mm, en la cara posterior. No se visualizó líquido libre.
La exploración ginecológica no reportó hallazgos relevantes. Los marcadores tumorales séricos fueron Ca 19.9 (antígeno carbohidratado) de 57 U/mL, CA 125 de 10 U/mL y antígeno carcino-embrionario inferior a 0.5 ng/mL. La citología endocervical fue negativa.
La paciente no refirió antecedentes médicos de interés. De los antecedentes obstétricos destacaron: una cesárea en 2012 y un legrado por aborto diferido de 12 semanas de gestación en 2015. Los embarazos se lograron mediante inseminación artificial. La paciente había recibido hiperestimulación ovárica controlada en cuatro ocasiones, tres ciclos de inseminación artificial y un ciclo de fecundación in vitro seis meses previos al hallazgo ecográfico de la formación anexial. Otro dato relevante fue la anticoncepción combinada durante un mes, con parches de liberación diaria de 20 mcg de etinilestradiol y 150 mcg de norelgestromina, previos al inicio de un nuevo ciclo de estimulación ovárica. A lo largo de su vida, la paciente había estado previa-mente con anticoncepción hormonal combinada durante tres años.
Se llevó a cabo la anexectomía derecha, por laparoscopia, y el lavado peritoneal con los siguientes hallazgos intraoperatorios: mioma en fondo de 3 cm, ovario izquierdo normal y ovario derecho quístico de 4 cm de superficie lisa, con resto de la cavidad sin hallazgos y sin ascitis. Figura 3 A, B.
El diagnóstico anatomopatológico fue de tumor proliferante mucinoso de tipo endocervical, con hiperplasia microglandular. El lavado peritoneal mostró una citología inflamatoria, sin evidencia de malignidad.
En la descripción macroscópica se observó un quiste de 3 cm, con contenido mucinoso con una zona amarillenta hacia la luz, de superficie granular de 1.2 x 0.5 cm.
En la descripción microscópica el ovario mostró a la cavidad quística tapizada por epitelio mucinoso, sin atipia, con proyecciones nodulares hacia la luz en más de 10% (Figura 4 A, B). Estaban constituidas por glándulas revestidas por células mucosas, con leves variaciones de forma y tamaño nuclear, con patrón similar a una hiperplasia microglandular del cuello uterino (Figura 5). Se acompañaba de infiltración por leucocitos polimorfonucleares. El quiste se incluyó en su totalidad y no se observó infiltración de la pared. En los reportes del perfil inmunohistoquímico, la citoqueratina 7 resultó positiva, con citoquera-tina 20, CDX2 (proteína homeobox) y antígeno carcinoembrionario negativo. El anticuerpo monoclonal Ki-67 fue menor de 10%. Los receptores de estrógenos fueron focalmente positivos y los de progesterona positivos de forma difusa e intensa.
A partir del tratamiento, la paciente ha evolucionado favorablemente, con controles ecográficos endometriales y anexiales y controles citológicos normales. Los marcadores tumorales se tornaron negativos después de la cirugía.
Discusión
Ante el hallazgo de una neoformación ovárica mucinosa proliferante es decisivo establecer el diagnóstico diferencial entre carcinoma, tumoración fronteriza (borderline) y tumor benigno mediante el estudio anatomopatológico exhaustivo y el perfil inmunohistoquímico. El caso expuesto tuvo una ecografía sospechosa de malignidad, y el estudio anatomopatológico posterior no se ajustó a un cistoadenoma mucinoso típico. Ello obligó a efectuar un estudio patológico detallado.
Las neoplasias seromucinosas fronterizas (tumores mucinosos de tipo endocervical-mülleriano) son una nueva categoría de la clasificación de tumores de los órganos reproductores femeninos de la OMS que están claramente descritas, pero pocos son los casos reportados de carcinomas seromucinosos.12 De estos, la mayor parte tiene una arquitectura predominantemente papilar y es distintiva la coexistencia de múltiples tipos de células, con un infiltrado de polimorfonu-cleares y áreas de arquitectura microglandular con aclaramiento citoplasmático y polimorfismo intraluminal, características semejantes a la hiperplasia microglandular cervical.12
Esta semejanza con la hiperplasia microglandular cervical también se encontró en el caso expuesto, pero no se hallaron ni mitosis, ni invasión estromal, lo que orientó a una tu-moración benigna. Tampoco se visualizaron atipias nucleares, ni pseudoestratificación nuclear, por lo que no se ajustó con un tumor fronterizo.
La atipia nuclear, la actividad mitótica y la invasión estromal diferencian un adenocarcinoma de una hiperplasia microglandular.13 El caso aquí detallado se diagnosticó como hiperplasia microglandular en una neoplasia mucinosa benigna a nivel ovárico, similar al caso publicado por Saurine y colaboradores, que también tuvo infiltrado de polimorfonucleares.1
Desde el punto de vista histológico, la hiperplasia microglandular consiste en una proliferación de numerosas glándulas pequeñas, estrechamente empaquetadas y forradas por células cuboides bajas. Una característica sobresaliente es que no hay mitosis. Es frecuente el infiltrado inflamatorio con edema estromal.14
El patrón morfológico orienta claramente al tipo mucinoso. El estudio se complementa con un perfil inmunohistoquímico.
De acuerdo con la inmunohistoquímica, la hiperplasia microglandular tiene bajo índice de anticuerpo monoclonal Ki-67;15 tanto p53 como el antígeno carcinoembrionario son típicamente negativos.16 Esto contrasta con el adenocarcinoma que casi siempre es de alta expresión de Ki-67, sobreexpresión de p53 y positividad marcada para el antígeno carcinoembrionario citoplasmático.16
La tumoración descrita tuvo antígeno carcinoembrionario negativo con concentraciones de anticuerpo monoclonal Ki-67 menores de 10%. La combinación de positividad del antígeno carcinoembrionario con moderado-alto índice de Ki-67 (superior a 10%) hubiera apoyado el diagnóstico de carcinoma.16
La neoplasia del caso expuesto mostró citoque-ratina 7 positiva, con citoqueratina 20 y CDX2 negativas. La combinación de citoqueratina 7, citoqueratina 20 y CDX2 se utiliza para identificar la diferenciación mucinosa y resulta útil en la diferenciación entre tumor mucinoso ginecológico subtipo mülleriano y malignidad en el aparato gastrointestinal inferior.17 CDX2 y citoqueratina 20 positivas se correlacionan con diferenciación intestinal y resultan de especial utilidad para el diagnóstico de neoplasias metas-tásicas del aparato gastrointestinal.17,18
La proteína CDX2 participa en la regulación de la proliferación celular y en la diferenciación de las células epiteliales del intestino. Es codificada por el gen CDX2 (gen caudal homeobox de Drosophila).
De este modo, el perfil inmunohistoquímico de la neoformación descrita orienta más a una tumoración mucinosa de estirpe no intestinal.
El estudio ecográfico endometrial, previo a la cirugía y a los controles posteriores, y la citología endocervical no despertaron sospecha clínica, por eso no se consideró ningún estudio complementario.
Los primeros casos de hiperplasia microglandular cervical se describieron en usuarias de anticonceptivos hormonales con progesterona.3-6 Con posterioridad, en una serie de 43 casos, más de la mitad no tuvieron antecedente de anticoncepción oral y tres pacientes eran posmenopáusicas. En varios casos de tumores mucinosos en embarazadas no se observaron estos cambios.19,20
En la bibliografía no se encontraron casos similares a los de pacientes que recibieron ciclos de estimulación ovárica en el marco de la fertilidad. Los receptores de progesterona y los de estrógenos fueron positivos en la tumoración benigna descrita. Los de progesterona de forma difusa e intensa, y los de estrógenos, focalmente. Los carcinomas seromucinosos ováricos descritos por Taylor y su grupo tenían receptores de estrógenos positivos en 16 de 16 casos estudiados y receptores de progesterona positivos en 6 de 7 valorados.12
Del caso aquí descrito podría desprenderse la posible implicación hormonal en la aparición de tumores mucinosos, tipo hiperplasia microglandular-like, y la expresión de receptores de estrógenos y progesterona positivos apoyaría la respuesta hormonal de la neoformación.
La paciente del caso aquí descrito había recibido altas concentraciones de estrógenos con fines de hiperestimulación ovárica controlada; durante 12 semanas recibió dosis adicionales de 200 mg al día de progesterona las veces que se embarazó. La estimulación más cercana al hallazgo de la neoplasia ovárica había sido con anticoncepción hormonal combinada.









nueva página del texto (beta)







