ANTECEDENTES
Los schwannomas son el resultado de la proliferación de las células perineurales de Schwann. Constituyen 5% de los tumores benignos de tejidos blandos y tienen predilección por la cabeza, el cuello, las extremidades superiores e inferiores.1 Los tumores de localización profunda predominan en el mediastino posterior y en el retroperitoneo, son raros y su prevalencia es menor a 1% de todos los schwannomas.
El dolor pélvico es uno de los diagnósticos más frecuentes en la consulta ginecológica y su causa no siempre se esclarece porque existen muchas otras alteraciones del sistema reproductivo, gastrointestinal, urológico, músculo-esquelético y psico-neurológico que pueden asociarse con esta enfermedad. Los tumores retroperitoneales son una causa rara de dolor pélvico crónico, que es el síntoma referido con más frecuencia por las pacientes, y que puede irradiarse a los genitales o extremidades inferiores.
CASO CLÍNICO
Paciente de 53 años de edad, en la menopausia a partir de los 50 años, sin terapia de reemplazo hormonal. Acudió a consulta debido a dolor lumbar de tres meses de evolución, irradiado al hipogastrio, asociado con distensión abdominal y dispareunia. El ultrasonido transvaginal reportó una masa hipoecoica de 70 x 68 mm, pediculada, compatible con mioma uterino subseroso. (Figura 1) En virtud de su condición posmenopáusica se le dio seguimiento; a los tres meses del episodio inicial la paciente refirió persistencia de los síntomas, a los que se agregó sangrado vaginal esporádico espontáneo. La biopsia de endometrio descartó hiperplasia o malignidad en el tejido endometrial. La ecografía al mes siguiente reportó un leve aumento en el tamaño de la masa. Ante la persistencia del dolor pélvico se planteó la posibilidad de la histerectomía laparoscópica, por diagnóstico de miomatosis uterina sintomática.
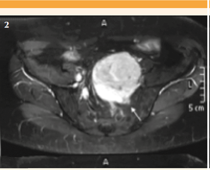
En la exploración laparoscópica el útero y los anexos se observaron normales y se apreció una gran masa retroperitoneal de 9 cm, adherida al sacro pero sin conexión con el útero. Ante estos hallazgos se suspendió el procedimiento programado y se le practicaron estudios complementarios. En la resonancia magnética nuclear contrastada de pelvis se encontró una masa retroperitoneal de 5.7 x 7.8 x 8 cm sugerente de tumor mesenquimal. Figuras 2 y 3

Figuras 2-3 Resonancia magnética del abdomen y la pelvis. Izquierda: axial T1 con supresión grasa, donde se observa la relación con el foramen neural S2 izquierda. Derecha: lesión extraperitoneal, encapsulada, heterogénea, sólida de 7x8 cm, anterior al sacro y superior al fundus uterino.

Figuras 2-3 Resonancia magnética del abdomen y la pelvis. Izquierda: axial T1 con supresión grasa, donde se observa la relación con el foramen neural S2 izquierda. Derecha: lesión extraperitoneal, encapsulada, heterogénea, sólida de 7x8 cm, anterior al sacro y superior al fundus uterino.
La paciente se envió al Departamento de cirugía oncológica para valoración y ahí se le propuso la resección quirúrgica de la masa.
El procedimiento consistió en ingreso por vía laparoscópica para disección del retroperitoneo; se evidenció una masa firmemente adherida al sacro, de color blanco perlado, de consistencia cauchosa, sólida y de superficie lisa, de 9 cm y aproximadamente 200 g. (Figura 4 ) El tumor se resecó completamente con su cápsula y se logró la preservación de los nervios sacros peritumorales. Figura 5
El procedimiento finalizó por laparotomía mediante una incisión mediana para extracción completa de la masa, sin complicaciones intraoperatorias. El tiempo quirúrgico fue de 210 minutos y la pérdida sanguínea de 200 mL.
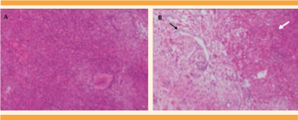
El estudio histopatológico con tinción de hematoxilina eosina mostró una lesión constituida por células fusiformes, con formación focal de borlas, sin atipia ni actividad mitótica pronunciada (Figura 6 ). Las coloraciones de inmunohistoquímica tuvieron tinción positiva citoplasmática de las células que forman la lesión con coloración; esto permitió establecer que se trataba de un schwannoma celular S-100 positivo y actina de la musculatura lisa negativa (Figura 7). La paciente evolucionó satisfactoriamente y fue dada de alta del hospital al tercer día posquirúrgico, en buenas condiciones y sin ningún tipo de disfunción. Se le dio seguimiento a la semana, al mes y a los seis meses, sin recurrencia de los síntomas y sin secuelas neurológicas. Al cabo de dos años de seguimiento clínico y con resonancia magnética anual, no existe a la fecha de esta publicación, ninguna evidencia de recidiva de la lesión.

Figura 6 Fotomicrografía (aumento original, 20X, tinción de hematoxilina-eosina). Tinción positiva citoplasmática de las células que forman la lesión con la coloración de S-100 (A). Flecha negra: zona Antoni B con estroma mas laxo, con cambio mixoide y menos celular. Flecha blanca: zona Antoni A. (B).
REVISIÓN BIBLIOGRÁFICA
La búsqueda se efectuó en PubMed, EMBASE, Excerpta Medica database, SCIELO y Google Scholar con los términos MeSH: “schwannoma”, “neurilemmoma”, “nerve sheath neoplasms” y “retroperitoneal neoplasms”. Asimismo, también se buscaron los vocablos: schwannoma, tumor retroperitoneal, neurilemoma, tratamiento y laparoscopia de artículos publicados entre 1980 y 2016 y registrados en MEDLINE-PubMed, COCHRANE, SciELO y ClinicalKey. Los artículos se seleccionaron por su enfoque diagnóstico y terapéutico.
RESULTADOS
Se encontraron alrededor de 100 casos reportados de schwannomas retroperitoneales, de ellos menos de 30 fueron de localización pélvica. Los schwannomas presacros y retroperitoneales son raros. La mayor frecuencia de asociación es con la enfermedad de Von Recklinghausen.2 En estos casos el pronóstico es peor porque el schwannoma suele ser maligno y puede alcanzar tamaños grandes y difíciles de diagnosticar.3
Una revisión de 82 casos de schwannomas retroperitoneales encontró que solo 15.9% se identificaron antes de la intervención quirúrgica mediante ultrasonido, tomografía computada o resonancia magnética.4
Debido a que el retroperitoneo es un espacio distensible, estos tumores suelen ser grandes, con tendencia a la degeneración espontánea y hemorragia. En el caso aquí reportado el tumor pudo originarse en las fibras periféricas del plexo sacro.
Desde la perspectiva macroscópica, los schwannomas son tumores de apariencia blanca perlada, aislados, debidamente circunscritos, definidos y encapsulados; con hemorragia y degeneración quística. Su origen se ubica en una o varias raíces nerviosas.5 La proliferación de las células de Schwann está limitada por la cápsula que separa el tumor del resto de los nervios y las estructuras adyacentes. No existen mitosis y las fibras nerviosas son rechazadas e incorporadas a la cápsula.
Desde el punto de vista histológico están constituidos por áreas celulares compactas, con disposición en cuerpo Verocay (tejido tipo A Antoni) o con pérdida celular y áreas mixoides con microquistes (tejido tipo B Antoni). (6 Estos tumores se originan en las células neuroectodérmicas y, por lo tanto, son positivos para proteína S-100 en los estudios de inmunohistoquímica.2
El diagnóstico de los schwannomas pélvicos es complejo porque no existen síntomas específicos ni hallazgos radiológicos patognomónicos. El tamaño del tumor no refleja el grado de agresividad ni su potencial maligno.
Debido a que son tumores de crecimiento lento y a su localización anatómica, los schwannomas suelen permanecer asintomáticos hasta que alcanzan un gran tamaño y producen efecto de masa. Pueden originar dolor pélvico o lumbar, sensación de peso con síntomas urinarios o digestivos debidos a la compresión vesical o intestinal.7
Aún en pacientes asintomáticas se recomienda el tratamiento quirúrgico porque el diagnóstico definitivo no podrá establecerse sin el estudio histológico e inmunohistoquímico.
En general, el pronóstico de estas neoplasias es bueno, excepto en la variedad pigmentada denominada schwannoma melanótico, en cuyo caso el pronóstico es variable.
Los schwannomas pocas veces degeneran en malignos, excepto en 4-11% de los casos asociados con la enfermedad de Von Recklinghausen tipo 1.8
Aunque la malignidad no puede excluirse, se recomienda una adecuada evaluación prequirúrgica y, en lo posible, una biopsia por congelación, con resección quirúrgica completa.9
Existes varios estudios que han reportado diferentes técnicas quirúrgicas para los schwannomas sacros.10-13 Algunos han utilizado curetaje intralesional, procedimiento que permite la preservación de las raíces nerviosas sacras. El estudio de Abernathey y colaboradores14 reportó 13 casos de schwannoma del sacro y encontró que 54% de los pacientes en quienes se aplicó esta técnica de curetaje intralesional tuvieron recurrencia del tumor y requirieron reintervención. Con base en esta observación concluyen que estos tumores deben resecarse por completo, incluyendo las raíces nerviosas peritumorales que se requiera. Estos procedimientos pueden causar pérdidas sanguíneas masivas, riesgo de disfunción intestinal y vesical posquirúrgica y problemas sensitivos y motores en las extremidades inferiores. Otros autores, como Domínguez y colaboradores, encontraron que el tratamiento conservador con enucleación intracapsular ofrece resultados favorables con tasas de recurrencia de 16%.11
Algunos autores han reportado importante pérdida sanguínea intraoperatoria debido a la proximidad del tumor con el plexo venoso pélvico. Se recomienda reservar derivados sanguíneos porque pueden requerirse de urgencia.16 En tumores de gran tamaño también puede considerarse como alternativa la embolización prequirúrgica.17
También se han descrito diferentes vías de acceso para estos tipos de tumores, como la transperitoneal, retroperitoneal, paravertebral y la vía laparoscópica, descrita por diferentes autores.18-20 Al igual que en nuestro caso, otros autores han utilizado vías de acceso combinadas.
Marc Possover describió el acceso laparoscópico exitoso en tres pacientes con vulvococcigodinia y demostró que esta vía de acceso facilita la visualización de los uréteres, el recto, la vejiga y demás estructuras vasculares y nerviosas que de alguna manera se relacionan con el tumor. Además, este tipo de acceso facilita el control del sangrado intraoperatorio y se constituye en una alternativa quirúrgica quizá más fácil que los accesos neuroquirúrgicos clásicos, con menor riesgo de morbilidad funcional posoperatoria. Los tumores se resecan y con ello la cápsula se mantiene intacta y morcelados en endobolsas para su extracción posterior. Los resultados intraoperatorios y la evolución posquirúrgica de las pacientes de los distintos reportes analizados fueron satisfactorios, con mínima pérdida sanguínea, sin complicaciones durante el acto quirúrgico, sin secuelas funcionales ni neurológicas posteriores. Además de la esencia de recurrencia tumoral a los 27 meses de seguimiento.21
CONCLUSIONES
Los schwannomas se manifiestan, excepcionalmente, como masas pélvicas, como fue el caso aquí comunicado que se diagnosticó como fibroma uterino, pero que posteriormente se demostró era un schwannoma retroperitoneal. Este tumor pocas veces genera síntomas y cuando los hay suelen ser inespecíficos, por eso frecuentemente el diagnóstico es erróneo. Por la falta de características distintivas en los estudios de imagen el diagnóstico preoperatorio de un schwannoma no es fácil; su pronóstico es excelente y la escisión suele ser curativa.










nueva página del texto (beta)






