Introducción
La fibrois pulmonar es una enfermedad intersticial pulmonar progresiva caracterizada por la cicatrización del tejido pulmonar, que vuelve rígidos a los pulmones dificultando el intercambio gaseoso y la respiración. Se desconoce la causa exacta de la enfermedad, sin embargo factores de riesgo son el tabaquismo, la inhalación de agentes fibrogénicos como el asbesto, o enfermedades sistémicas autoinmunes [1,2,3]. Normalmente el desarrollo de la fibrosis idiopática pulmonar consiste en un decaimiento gradual con una media de supervivencia de 3 a 5 años después del diagnóstico.
Es importante definir el grado de afectación en pacientes con fibrosis para identificar a aquéllos que pudieran verse beneficiados con tratamiento médico. El diagnóstico y la evaluación del grado de fibrosis se basa en pruebas de función pulmonar, en imagenología médica, e incluso en biopsias pulmonares [4]. Las pruebas de función pulmonar evalúan principalmente la Capacidad Vital Forzada, pero utilizan un amplio rango de valores que son considerados normales (8 % a 120 %), por lo que puede resultar complicado identificar adecuadamente el grado de enfermedad [5]. Dentro de las imágenes médicas utilizadas se encuentran los rayos X y la Tomografía Axial Computarizada (TAC), siendo esta última la que brinda una mayor precisión para diferenciar el grado de fibrosis pulmonar [4,5].
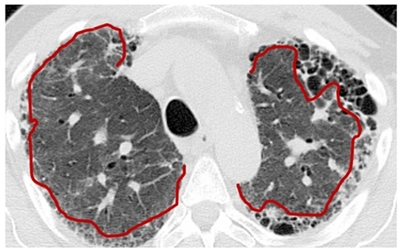
Médicos neumólogos especialistas se encargan de determinar el porcentaje del área total de los pulmones que se ve afectada por la fibrosis. Para esto, realizan una inspección visual de las imágenes de TAC, delimitan el área correspondiente a tejido fibroso, y determinan empíricamente el porcentaje de fibrosis pulmonar (%FP) en cada pulmón de acuerdo a su experiencia y conocimiento de la estructura del parénquima pulmonar sano, vías aéreas, vasculatura y patrón imagenológico de la enfermedad. Las características observadas por los médicos en la TAC son irregularidades intralobulares periféricas y quistes subpleurales con forma semejante a un panal de abejas (Figura 1), lo que significa que las regiones anormales del pulmón con huecos semejando un panal corresponden a regiones con fibrosis pulmonar [1,2].

Figura 1 Imagen de TAC de un paciente con presencia de fibrosis pulmonar donde el área afectada se visualiza de las líneas rojas hacía la parte externa. Los % de fibrosis pulmonar dados por el experto clínico son: 20% pulmón derecho, 40% pulmón izquierdo.
En la literatura se ha reportado que los médicos pueden tardar alrededor de dos minutos en inspeccionar una imagen y estimar el (%FP)[5], sin embargo la precisión y repetibilidad del análisis depende de la experiencia del especialista clínico. Por lo tanto, resulta útil desarrollar herramientas auxiliares que permitan obtener valores cuantitativos reproducibles de forma automática o semi-automática, evitando la variabilidad inter-observador. Por ejemplo, existen herramientas que permiten segmentar el pulmón y clasificar diferentes zonas de fibrosis con base en diferentes medidas de textura [6,7], sin embargo en éstos casos no se hace cuantificación del porcentaje de fibrosis.
En este trabajo se presenta una primera evaluación de un método propuesto para calcular el (%FP) de forma cuantitativa con base a la información presente en los pixeles de las imágenes de TAC, utilizando un algoritmo de segmentación semi-automático basado en el método de Chan-Vese (CV) [8,9]. Adicionalmente, se describe el desarrollo e implementación de una Interfaz Gráfica de Usuario (GUI) que permite al experto clínico realizar la estimación del %F P de forma sencilla.
Metodología
Conjunto de Imagenes de TAC de Fibrosis Pulmonar
Para poder evaluar y analizar el desempeño de la estrategia propuesta para el cálculo del %FP, se utilizaron las imágenes de TAC de dos pacientes diagnosticados con fibrosis pulmonar, las cuales fueron proporcionadas por el Instituto Nacional de Enfermedades Respiratorias (INER). En cada paciente, el experto clínico seleccionó 5 imágenes bidimensionales a diferentes alturas del pulmón distribuidas de forma equidistante con el objetivo de abarcar toda la región pulmonar (Figura 2). Todas las imágenes en 2D de TAC tienen una dimensión de 512x512 pixeles, con una dimensión del pixel de 0.6 x 0.6 mm.
Estimación de Porcentaje de Fibrosis Pulmonar
La idea principal del método propuesto es emular el procedimiento realizado por el experto clínico, el cual es un proceso mental que consiste en una comparación de la anatomía del pulmón sano (estimado empíricamente por el médico) contra la anatomía del pulmón enfermo la cual se observa en la imagen de TAC.
Por lo tanto, para poder realizar esta comparación de forma cuantitativa es necesario definir las secciones correspondientes a la anatomía de un pulmón sano. En nuestro caso particular, se utilizó el software MIPAV (Medical Image Processing, Analysis and Visualization) [10], para que un usuario experto dibujara de forma manual la región de interés (ROI) que delimita el pulmón sano. Esta acción fue realizada en cada imagen y a partir de estas ROI se generaron máscaras binarias para cada pulmón por separado, esto es derecho e izquierdo, las cuales fueron almacenadas como imágenes en formato NIfTI.
Posteriormente, se segmentaron los pulmones de las imágenes TAC en 2D con presencia evidente de fibrosis utilizando un algoritmo de segmentación de contornos activos basado en el método de CV, el cual es adecuado para la segmentación de estructuras con bordes no bien definidos o en imagenes con presencia considerable de ruido [8]. En general, el algoritmo de CV es un método de segmentación en donde se busca la minimización de un funcional de energía, asumiendo que un objeto de interés está delimitado por una curva C dentro de una imagen I, la cual esta conformada por dos regiones de intensidades diferentes, los valores de intensidad dentro de la curva Cin, y los valores fuera de la curva Cout. De esta manera el funcional de energía se puede definir de la siguiente forma:
donde C es una curva variable, y las constantes C 1 y C 2 corresponden al valor promedio de la intensidad de los pixeles de la imagen I dentro y fuera de la curva C. De la ecuación anterior es posible apreciar que la minimización del funcional de energía ocurre cuando la curva C este delineando el contorno del objeto de interés, es decir, cuando F 1(C) ≈ 0 y F 2(C) ≈ 0.
A este modelo se añaden algunos términos de regularización como la longitud de la curva C, y el área interior de C, definiendo ahora el funcional de energía que se muestra a continuación:
en donde µ ≥ 0, v ≥ 0, λ 1, λ 2 > 0 son parámetros de regularización constantes dependientes de la imagen I. Bajo este principio, la curva C se representa por medio de una curva de nivel cero de una función Lipschitz (ϕ), de tal manera que el funcional de energía se reescribe de la siguiente manera:
Por otro lado, para poder minimizar el funcional (3) en términos de la función ϕ se define su primera variación por medio de la ecuación de Euler-Lagrange. Utilizando estas consideraciones, la ecuación de diferencias se puede escribir de la forma siguiente:
donde C
1 y C
2 son el promedio de los valores de los pixeles dentro y fuera del
contorno, I es la imagen a segmentar, λ
1 y λ
2 son constantes de regularización que determinan el nivel de
similitud entre la intensidad de los pixeles dentro y fuera del contorno
respectivamente, y la función delta de Dirac se aproxima mediante
Para la parte práctica e implementación del algoritmo, se utiliza la versión discreta de la ecuación (4) logrando así, la delimitación del objeto a segmentar a través de la evolución de la curva. Utilizando el descenso de gradiente, se introduce una variable artificial con respecto al tiempo de la siguiente manera:
En este trabajo el algoritmo fue implementado en MATLAB, y sus parámetros fueron ajustados para segmentar la parte interna de los pulmones dejando fuera las regiones con fibrosis. Los parámetros utilizados en este trabajo para la segmentación automática de los pulmones fueron el número de iteraciones (t = 30), el valor de los incrementos entre iteraciones (t = 0.2), y los coeficientes λ 1 y λ 2, ambos con un valor de 0.1. Es importante mencionar que se realizaron pruebas modificando los valores de los parámetros arriba mencionados con rangos t = 0.1, 0.2, ..., 1; λ 1 = λ 2 = 0.1, 0.2, ..., 1; y t = 10, 20, ..., 50 y se eligieron los más adecuados de forma empírica apoyados por la validación cualitativa del experto clínico, es decir diferentes segmentaciones con distintos parámetros fueron presentadas al experto para establecer que parámetros generaban las mejores segmentaciones cualitativamente.
Una vez obtenidas las máscaras binarias de la segmentación de los pulmones a través del método CV, se creó una imagen de diferencia entre las máscaras de los pulmones sanos y las máscaras de la segmentación; de ésta forma se obtuvo una imagen que contiene las regiones con fibrosis, regiones con inflamación, bronquios y elementos vasculares. La Figura 3 muestra un ejemplo de este procedimiento.

Figura 3 Método propuesto para la determinación de las zonas de fibrosis pulmonar. (a) Imagen TAC original, (b) Máscara del pulmón sano, considerando ambos campos pulmonares, (c) Máscara de la segmentación CV, (d) Imagen de diferencia entre (b) y (c).
Posteriormente, se dibujaron manualmente sobre las imágenes de diferencia las ROI que delimitan las zonas de fibrosis, de tal manera que se pudieron descartar todos los elementos obtenidos por la segmentación que no corresponden a tejido fibroso.
Finalmente, se calculó el porcentaje de fibrosis para cada pulmón usando el área correspondiente a los pulmones sanos y las imágenes de diferencia donde aparece el área de tejido fibroso. Se calculó la relación de la suma de pixeles en la imagen de fibrosis entre la suma de los pixeles de la imagen del pulmón sano (100%).
Implementación de Interfaz Gráfica de Usuario
Pensando en facilitar la tarea del médico para usar la estrategia establecida en este trabajo para estimar el %FP , se creó una GUI que le permita al experto clínico cargar imágenes médicas en formato NIfTI y realizar de forma directa los pasos descritos anteriormente; una vista de esta GUI se aprecia en la Figura 4. En esta figura se puede apreciar que la GUI consta principalmente de cinco espacios de trabajo donde se visualizan las diferentes imágenes de interés; dichas imágenes corresponden a la imagen TAC original (en 3D), la máscara del pulmón sano, la segmentación obtenida por el algoritmo CV, la imagen de diferencia, y la segmentación del área con fibrosis.
La imagen de TAC original se carga de forma volumétrica ya que en la interfaz se cuenta con un control deslizable que permite posicionar la imagen original en la imagen en 2D a analizar. En la GUI se incluyó una herramienta de ajuste de contraste para facilitar la visualización de las imágenes. Además, se cuenta con un menú en el que se pueden ejecutar todas las acciones necesarias para el cálculo del %FP siguiendo el método propuesto.
Adicionalmente a las opciones localizadas en los menus de la parte superior izquierda de la interfaz, se optó por colocar una serie de botones numerados que permiten calcular de una manera más intuitiva el %FP. El primer botón, esta etiquetado como “Cargar Imagen” el cual permite seleccionar y visualizar el archivo NiFTI de la imagen TAC original. Un segundo botón permite cargar una máscara del pulmón sano o diseñar la máscara de forma manual; esta máscara es la que se utiliza como referencia del 100 % del área del pulmón. El tercer botón sirve para realizar la segmentación de la imagen; en este paso se despliega primero un cuadro de diálogo que permite introducir los valores deseados para cada parámetro del algoritmo y después se ejecuta la segmentación sobre la rebanada seleccionada. Al finalizar, se muestran en diferentes áreas de trabajo, la imagen segmentada y la imagen de diferencia. Después utilizando el botón de “dibujar área de fibrosis” es posible definir la ROI que delimita la región con fibrosis; éste procedimiento es similar a la delimitación usualmente realizada por el médico tal y como se ejemplifica en la Figura 1 (línea roja). Por último, para completar el cálculo se debe utilizar el quinto botón “calcular porcentaje de fibrosis”, el cual despliega un cuadro de diálogo con el valor del %F P estimado.
Adicionalmente, en el menú se encuentra una opción para guardar las imágenes generadas a lo largo de este proceso, por lo que se muestra un cuadro de diálogo que permite elegir cuales imágenes guardar, la segmentación, la diferencia o la máscara de fibrosis; así mismo permite elegir el directorio y nombre para guardar los archivos.
Resultados y discusión
Las regiones seleccionadas por el médico como regiones con presencia de fibrosis se compararon en términos del %F P con los resultados obtenidos a través del método basado en la segmentación con el algoritmo de CV. Esta comparación se realizó para cada una de las 5 rebanadas de TAC seleccionadas por cada paciente. La Figura 5 muestra particularmente 3 casos, donde se indican las regiones definidas por el médico y las regiones obtenidas por el método propuesto. En la Figura 5 se presenta en la primer columna, las imágenes originales con la región correspondiente a fibrosis, delimitada por el médico mediante una línea roja; en la segunda columna, las regiones de fibrosis obtenidas a partir del método propuesto y la última columna muestra las imágenes de diferencia traslapadas con las regiones de fibrosis mostradas en la segunda columna, indicadas en color naranja. Si se comparan visualmente las regiones seleccionadas por el médico y las obtenidas por el método semi-automático se puede observar que ambas regiones son muy semejantes.

Figura 5 Comparación de regiones con presencia de fibrosis obtenidas por el médico y por el método propuesto. Imagen original de una rebanada con el área de fibrosis delimitada por el médico mediante una linea roja (a,d,g), regiones de fibrosis utilizadas para el calculo del %F P mediante el método propuesto (b,e,h), imágenes de diferencia traslapadas con la región de fibrosis obtenida a través del método semi-automático indicada en color naranja (c,f,i).
La Tabla 1 muestra los porcentajes de fibrosis estimados en cada rebanada y en cada pulmón obtenidos por el método propuesto basado en el algoritmo CV, y los valores estimados por el médico experto. Los porcentajes obtenidos entre el método semi-automático y el experto clínico difieren en gran parte de las rebanadas de ambos pacientes. Sin embargo, es importante mencionar que en la mayoría de rebanadas coincide la proporción de un área mayor o menor afectada por fibrosis entre pulmón derecho e izquierdo, entre el experto y el método semi-automático. En particular, se logró una aproximación muy cercana en el caso de la rebanada 3 del paciente 1, este caso se muestra en la Figura 5 (a,b,c). La diferencia entre porcentajes estimados puede ser debida principalmente a la estimación subjetiva del %F P por parte del experto clínico, ya que en la Figura 5 se puede apreciar que las regiones obtenidas por el médico y por el método propuesto son muy similares, sin embargo los porcentajes asignados por el experto clínico difieren del área calculada con base a la información presente en la imagen. Por ejemplo, para la rebanada 22 del paciente 2 mostrada en la Figura 5 (d,e,f), el experto clínico asignó un %F P de 30 % y 20 % para pulmón derecho e izquierdo respectivamente y los %F P obtenidos por el método semi-automático fueron 10.9 % y 8 % respectivamente, pero visualmente se puede observar que las regiones seleccionadas por el experto y por el método propuesto poseen una gran coincidencia. En el tercer caso, que corresponde a la rebanada 26 del paciente 2, mostrado en la Figura 5 (g,h,i), el experto encontró un %F P de 40 % y 20 % para pulmón derecho e izquierdo respectivamente, mientras que el método semi-automático determino un %F P de 9.9 % y 6.4 % respectivamente. Estos resultados entre estrategias de aproximación de áreas afectadas por fibrosis tienen una diferencia mucho mayor, esta gran diferencia podría reducirse si para el cálculo del %F P se consideran todos los pixeles dentro de la ROI que define la zona afectada por inflamación y fibrosis.
Finalmente, la interfaz permite visualizar imágenes y calcular los porcentajes para cada una de las regiones que se desean analizar, brindando cifras más reproducibles que pueden ser útiles en las decisiones de tratamiento y predicciones de esperanza de vida. Además disminuye en gran medida la subjetividad en el cálculo del área con fibrosis.
Conclusiones
En este trabajo se presentó una estrategia semi-automática para estimar el %F P a partir de la información presente en imágenes de TAC. En particular, el método propuesto utiliza una implementación del algoritmo de segmentación de CV para la detección de tejido pulmonar sin considerar estructuras internas (vasculatura, regiones con fibrosis e inflamación), en conjunto con una mascara binaria que representa la zona pulmonar total, para generar una imagen de diferencia a partir de la cual se extrae la región con fibrosis pulmonar.
El método propuesto fue probado en 10 imágenes en 2D de TAC provenientes de dos pacientes diagnosticados con fibrosis pulmonar. Los resultados encontrados mostraron ser comparables cualitativamente con el proceso realizado por el experto clínico para la definición de las zonas de fibrosis. Sin embargo, cuantitativamente los %F P calculados por la estrategia propuesta tuvieron poca coincidencia con los porcentajes estimados por el experto clínico. Lo anterior sugiere que el método propuesto es prometedor para el cálculo del %F P dado que es calculado utilizando la información contenida en la imagen, evitando la subjetividad del proceso mental realizado por el médico para definir los %F P. Adicionalmente, la GUI implementada que realiza la metodología propuesta mostró ser una herramienta de fácil uso que podría brindar apoyo al personal clínico para la cuantificación del %F P.
Como trabajo futuro se pretende analizar una mayor cantidad de pacientes para poder obtener más evidencias del desempeño del método propuesto, y realizar una validación de la robustez del método con retroalimentación por parte del experto clínico. Adicionalmente, se pretende desarrollar una GUI que permita definir el área del pulmón sano de forma automática y facilitar el proceso de cálculo del %F P, así como poder diferenciar y cuantificar los porcentajes de fibrosis e inflamación.










nueva página del texto (beta)





