Introduction
Drug addiction is one of the main causes of burden on the global healthcare system, being in the top ten in the developed countries. The consumers of amphetamines or its derivatives represent around 1.1% of the global population.1 The National Survey of Addictions (ENA) 2011, when compared to the ENA 2008, regarding the Mexican Northeast region, has shown a regional increase in the prevalence of both usages of any kind of drug (2.1% vs. 4.6%) and of illegal drugs (2.0% vs. 3.2%), which stands in sharp contrast to other areas of Mexico, in where no overall increase in drug consumption was observed, with the exception of the Western Region.2 The last report of the Mexican national system of vigilance of addictions put the amphetamine type drugs as the third most important cause of interment in the national centers of treatment, only overcome by marijuana and alcohol. In the case of the northern region of the country this rises to the first place with 31.2% of all the interments.3
In regards to the use of amphetamines and its derivatives, generally consumed due to its weight-decreasing properties by the female population, there has been an increase in its use by the male population due to a work-related need, mainly by long-distance transport drivers, due to the need to remain awake for extremely long periods of time, which creates the conditions for an addiction.4,5
In the following case report we present a 22 years old patient with several risk factors associated with cardiomyopathy, the main one we purport to be a chronic use of amphetamines type stimulants, which presented to the emergency department with acute onset dyspnea. Amphetamine, along with its chemical analogue methamphetamine, are synthetic stimulants that act by increasing catecholamine concentrations in the central and peripheral nervous systems. Its cardiotoxic effect is thought to be due to exposure of the myocardium to excessive catecholamine levels, and amphetamine-inherent cardiotoxicity. The most severe acute cardiovascular complications include acute myocardial infarction, aortic dissection, and sudden cardiac death, while coronary artery disease, and cardiomyopathy, in both its dilatated and hypertrophic types, have been observed as chronic consequences of amphetamine use.6
Of interest in the following report was the three-day delay before a correct diagnosis could be established, despite the typical clinical presentation, due to the little-known association between chronic consumption of drugs and cardiomyopathy in the general medical community. This article aims to shed some light on its general pathophysiology and generate awareness about an ever-increasing problem at the global level, with an emphasis on the difference a prompt diagnosis and management can make in otherwise healthy young patients.
Case report
We present the case of a 22-year-old male patient, truck driver, with no relevant previous clinical history, with no reported congenital heart, or chronic-degenerative disease. The only thing of note is the occasional consumption of alcohol in moderate quantities, approximately 50 grams per week, along with the regular oral and nasal consumption of amphetamine-type stimulants and cocaine during the last 3 years in a non-specified quantity.
Two weeks before his hospitalization, during the day of 13/04/2016, he reported fits of dry cough, which became humid during the following week, along with the appearance of a sharp pain in the right hemithorax which was exacerbated by drawing breath. He didn’t present fever, arthralgia, myalgia or shivering. The day of his internment he reported taking 12 tablets of amphetamines (clobenzorex 60 mg, for a total dose of 720 mg), presenting 8 hours later two episodes of vomit, along with a sudden increase in the intensity and duration of the fits of coughing and with sudden-onset dyspnea of minimal efforts, rapidly progressing to be symptomatic at rest. He also reported the presence of orthopnea, needing to be supported by 4 pillows to be comfortable. Due to all of this he presented to the urgency department of the hospital.
The patient presented with tachycardia, with a frequency of 145 bpm, polypneic with a respiratory frequency of 24 per minute, not capable of tolerating dorsal decubitus. No fever was reported. The blood oxygen saturation with no supplementary oxygen was reported at 84%, increasing to 92% with an oxygen mask with supplementary oxygen at 5 liters per min, keeping an steady blood pressure of 130/80 mmHg. The physical exploration revealed the presence of bilateral crackles at the pulmonary auscultation, with no apparent heart murmur. The chest radiography (Figure 1), shows bilateral diffuse opacities along with cardiomegaly grade III.

Figure 1: Simple PA thorax radiography, which shows cloudlike bilateral opacities along with disappearance of the right costodiaphragmatic recess, with a third degree cardiomegaly.
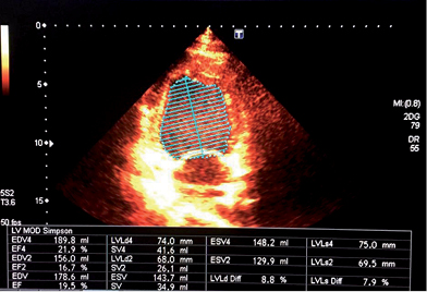
The patient was admitted with an initial diagnosis of pneumonia, being placed under an antibiotic therapy with levofloxacin 750 mg IV q24 hrs, along with oseltamivir, nebulized salbutamol, and budesonide. During his third day of stay he presented a sudden severe worsening of his clinical condition, with increased polypnea, tachycardia, dizziness and chest pain, which required the initiation of non-invasive mechanical ventilation, along with a transfer to the intensive care unit (ICU). The electrocardiogram (Figure 2), reported left ventricular hypertrophy as the most notable abnormality. A thorax CAT scan was performed (Figure 3), which showed signs of acute pulmonary edema. Suspecting a cardiopathy, an echocardiogram was performed (Figure 4), which showed a depressed ejection fraction of 19%, along with severe generalized hypokinesis.

Figure 2: ECG which shows sinus rhythm, with a cardiac frequency of 93, PR 0.16 QRS 0.08, Axis at -30 degrees, without apparent signs of ischemia or necrosis, with presence of Left ventricular hypertrophy according to the Sokolow-Lyon and Cornell index.

Figure 3: High resolution thorax computed axial tomography, in which it can be seen the presence of multiple hyperdense zones in the pulmonary parenchyma, with an increase in liquid in the peribronchial spaces, indicative of acute pulmonary edema.

Figure 4: Transthoracic echocardiography, with measurement of the ejection fraction (EF) through Simpson’s method, which shows EF of 19%.
In the ICU treatment for heart failure was started, with levosimendan and diuretics, with marked clinical improvement during the following week, which allowed the transfer of the patient to the Internal Medicine Ward and his discharge the day after, with an appointment for outpatient vigilance. At his last day in the hospital his vital signs were stable, with a heartbeat of 87 bpm, 18 breaths per minute, peripheric oxygen saturation of 95%, blood pressure of 130/80 mmHg, with no fever or dyspnea and with no need of supplementary oxygen.
Discussion
Amphetamines are synthetic derivatives of phenethylamines, natural amines synthetized from phenylalanine. Adding a methyl group to amphetamines creates methamphetamines, which have a greater solubility in lipids and a greater capacity to cross the blood brain barrier. There exist also two isomeric forms of amphetamines, the dextro form being the most active at the central nervous system level, with 5 times the potency of its levo counterpart. Amphetamines are metabolized by the kidney, with a half-life of approximately 9 to 12 hours. Amphetamines don’t have a sympathetic effect directly, instead they act through an extracytosolic increase of dopamine, norepinephrine, epinephrine, and serotonin in the synaptic space, through both mechanisms of increased release and inhibition of reuptake, which result in increased neuronal activity. Is has been postulated, thus, that this kind of substance harms the myocardium through a direct effect of excessive catecholamine stimulation, ischemia due to coronary vasospasm, mitochondrial damage and an increase in the presence of free oxygen radicals.7 In contrast to this, cocaine inhibits directly the reuptake of norepinephrine in the synaptic space of sympathetic neurons, favoring the occurrence of coronary vasospasm, coronary thrombosis, direct toxic effect due to the excessive sympathetic stimulation and an absolute increase in the consumption of oxygen by the myocardium due to important tachycardia and an increase in the blood pressure levels.8
In the case of our patient, the only relevant clinical history for the development of a cardiopathy, with a severely depressed systolic dysfunction, was the start of consumption of both cocaine and amphetamines three years before the start of the symptoms. The initial confusion regarding the diagnosis is remarkable, as it was being treated as an infectious pulmonary pathology. This could be explained by the age of the patient, alongside the absence of traditional risk factors associated with cardiovascular disease with a decrease of the ventricular function, with it being an obscure diagnosis, even if multiple cases of ventricular failure related to drug consumption have been reported since at least the 80’s.9-11
Alcohol consumption has been related to dilated cardiomyopathy,12,13 however in the current case the quantity ingested, less than 40 grams per day, isn’t considered enough to provoke acute damage to the myocardium. The use of cocaine has also been associated to dilated myocardiopathy in young patients, generally in their twenties to thirties, whose common initial presentation is acute chest pain and in some case signs of heart failure, with an abnormal echocardiogram. However, in the current literature it is described as uncommon the initial finding of a dilated cardiomyopathy in relation to the consumption of cocaine, being far more common the presence of hypertrophic cardiomyopathy, alongside changes in the EKG which show areas of both ischemia and scar tissue.14 Due to this reasons we consider far more probable than the main etiological culprit of the dilated cardiomyopathy found in the patient is the consumption of amphetamines, with a possible synergistic effect with cocaine.15 However, to date there haven’t been any appropriate studies which show the impact of the concurrent use of multiple sympathetic illegal drugs on the myocardium and how it compares to single-use cardiomyopathy.7
The clinical effects of amphetamine type stimulants include an increase in energy, euphoria, energy and a reduction in appetite,16 mainly acting through mesolimbic and mesocortical neuronal dopaminergic pathways.7 Amphetamines and methamphetamines, besides being much cheaper than cocaine, also have a greater potency and a longer lasting effect, which has greatly contributed to the increase in national and international use during the last years, being right now the second most consumed illegal drug at the global level.1 Another thing to bear in mind when treating this kind of patients is the possibility of a reversal of the cardiomyopathy if the patient ceases consumption of the offending drug, something of great relevance for the prognosis of this type of cases.
Amphetamines and methamphetamines are drugs that have become extremely popular at the global level, mainly in developing and newly industrialized countries. It is necessary to give a greater importance to the risk factor of illicit drug consumption in a patient’s clinical history, mainly in the young with clinical signs of heart failure and dyspnea. Outreach and educational programs have to be established to give the necessary information to non-cardiologists, for even though there haven’t yet been enough studies to obtain precise data on the quantity and time involved in the development of myocardiopathy related to the usage of amphetamines and methamphetamines, it is important to take it into account in the differential diagnosis, in order to guide our treatment, and give accurate information to the general population regarding the risk of consumption of this toxic substances and its potential reversibility if they cease consuming it.










nueva página del texto (beta)


