Case report
Female patient of 85 years old, resident of Mexico City, history of hypercholesterolemia diagnosed 2 years ago. Began her cardiovascular history in 2007 with rapidly progressive deterioration of functional class to New York Heart Association (NYHA) II in a period of one month, accompanied by unquantified fever and asthenia, reason why she was hospitalized in the National Institute of Cardiology (Ignacio Chávez) in Mexico city, where the diagnosis of bicuspid aorta and secondary endocarditis in the aortic and mitral valves was integrated. In April 12 of 2007 was performed the mitral and aortic valve replacement with biological valves, with placement of a Carpentier-Edwards #21 (Edwards Lifesciences, Irvine, California) valve in the aortic position and Carpentier-Edwards #27 (Edwards Lifesciences, Irvine, California) in mitral position, with adequate surgical outcomes with maintained antibiotic treatment, being discharged 21 days after the procedure in NYHA functional class I, continuing subsequent consultations in that hospital, remaining without clinical changes. Since may 2015 refers progressive deterioration until NYHA functional class III, adding in November 2015 progressive and bilateral oedema in lower limbs. On ecocardiographic exam she reveals severe pulmonary hypertension and mitral prosthetic valve disfunction, she was initially treated with hydric depletion with loop diuretic and aldosterone receptor antagonist, with outpatient follow-up, presenting no improvement despite treatment, reason why she later was referred to our institution to assess the mitral prosthetic valve replacement.
Physical examination: blood pressure of 130/50 mmHg, heart rate of 97 beats/min, respiratory rate 28 breaths/min, temperature 36.5 oC, weight: 45 kg, height 1.48 meters, body mass index of 20.5 kg/m2. With paleness of teguments ++, jugular plethora grade III, in the chest auscultation with subscapular and bilateral rales, with diminished breath sounds bilaterally, without integrating pleuropulmonary syndrome, anterior chest with apex lifting on fifth intercostal space at left midclavicular line. Arrhythmic cardiac sounds with holosystolic murmur, intensity IV/VI Levine, predominant in mitral area, irradiated to parasternal left edge. Abdomen with hepatomegaly 5 x 6 x 6 cm below the costal margin, limbs with bilateral ankle oedema, soft and not painful, immediate capillary filling.
Results of laboratory studies: leukocytes of 4,860/mm3, Hb 12.3 g/dL, hematocrit of 38.7%, 86,000 platelets, neutrophils of 3,400/mm3, ureic nitrogen of 43 mg/dL, glucose of 93 mg/dL, creatinin of 0.96 mg/dL, sodium of 143 mEq/L, potassium of 4.2 mEq/L, chloride of 108 mEq/L, trombine time of 14.5 secs, tromboplastine time of 33.9 secs, alanine aminetransferase levels of 31 U/L, aspartate aminetransferase levels of 29 U/L, total bilirrubin levels of 1.04 mg/dL.
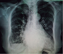
Results of paraclinic studies: surface electrocardiogram of 12 leads in atrial fibrillation rhythm, with posterior right fascicle hemiblock and non-specific repolarization disorders. Chest X-ray in anteroposterior projection where sternal cerclage is observed and right hemidiaphragmatic elevation, apparent cardiomegaly, with both costodiaphragmatic and cardiofrenic angles deleted on right hemidiaphragm, with images of valvular stents suggesting mitral and aortic positions, with increased bilateral vascularity and prominent pulmonary cone (Figure 1). On cardiac tomography with 3D reconstruction, it can be seen the mitral prosthetic valve with 2.33 cm of anteroposterior diameter and 2.39 cm of lateromedial diameter (Figure 2).

Figure 1: Chest X-ray in anteroposterior projection, right hemidiaphragmatic elevation, apparent cardiomegaly, with both costodiaphragmatic and cardiofrenic angles deleted on right hemidiaphragm, suggestive of pleural effusion of 25%, with images of valvular stents in mitral and aortic positions, with increased bilateral vascularity and prominent pulmonary cone.

Figure 2: Computed tomography with three-dimensional reconstruction: mitral bio-prosthetic valve (A), anteroposterior diameter of 2.33 cm and lateromedial 2.39 cm (B).
Transthoracic and transesophageal echocardiography: left ventricular end-diastolic volume of 45 milliliters, systolic volume of 11 milliliters, ejection fraction 76%, without changes in global or segmental mobility at rest, without thrombi, with concentric remodeling data; dilated left atrium without thrombi, a left atrial volume index (LAVI) 48 mL/m2 is calculated; mitral valve bio-prosthesis thickened, heavily calcified, irregular by pannus (Figure 3), with inadequate excursion and closure, with one of the leaflets fixed (Figure 4), an acceleration of flow rate 2.9 m/s, it shows maximum peak velocity of 2.9 m/s with maximum gradient of 34 mmHg and mean gradient of 25 mmHg (Figure 5), valve area by continuity 0.5 cm2, indexed 0.3 cm/m2, by pressure half-time of 0.7 cm2, with mild central regurgitation jet, Doppler index of 4; aortic valve bio-prosthesis with mild calcification, with suitable excursion and closing, maximum peak velocity of 2.2 m/s, maximum gradient 29 mmHg, mean gradient 15 mmHg, valve area by continuity 1.3 cm2, indexed 0.81 cm/m2, with no evidence of leakage, a Doppler index of 0.28; right ventricle: dilated, hypertrophic, with preserved systolic function, tricuspid annular plane systolic excursion (TAPSE) 17 mm/m2, S wave 12 cm/s; right atrium: dilated, without thrombi; tricuspid valve: structurally normal, deficient coaptation, with a concentric regurgitation jet generating severe failure, vena contracta 10 mm, regurgitation area 16 cm2, a systolic pulmonary artery pressure (SPAP) of 105 mmHg is calculated.
Coronary angiogram realized on January 2016, without significant lesions in epicardial vessels.
Surgical risks: Euroscore II with 23.4% mortality risk, score of the Society of Thoracic Surgeons (STS) with 19.56% of mortality risk and 23.74% risk of reoperation. It was decided to present in heart team session, ruling out the option of surgical mitral valve replacement and proposing the transcatheter mitral "valve-in-valve" implantation by transapical approach as the only feasible treatment to our patient.

Figure 3: Transesophageal echocardiogram with three-dimensional reconstruction of the mitral bio-prosthesis Carpentier-Edwards #27 (Edwards Lifesciences), degenerated, seen from the left atrium.

Figure 4: Transesophageal echocardiogram: showing the null mobility of the posterior leaflet (arrows), determining an incomplete opening in diastole (A and C). In systole the mitral prosthesis shows significant thickening of one of its valves (B and D).
Procedure
Held on January 22, 2016, prior informed consent of the patient and family. Under general anesthesia with endotracheal intubation, it proceeds to perform asepsis and antisepsis of both femoral regions, with modified Seldinger technique are punctured left femoral artery and right femoral vein, placing introducers of 5 and 6 French (fr), temporary pacemaker is placed in the right ventricle without complications and adequate capture is confirmed, remaining on guard. Then, a left anterolateral thoracotomy is performed at the fifth intercostal space, the pericardium is incised longitudinally and marsupialized, tucks are placed in snuff bag form with prolene 2-0 to expose the left ventricular apex without penetrating ventricular cavity, near the apex and lateral to the anterior descending artery with modified Seldinger technique the apex is punctured at the level of the left ventricle and the femoral introducer 6 fr is advanced, the mitral bio-prosthetic valve is intersected with a 0.035 mm teflonated guidewire with interchange curve, the multipurpose catheter 1.5 fr is advanced through which a guide "Amplatz extra-stiff" is swapped to the left pulmonary vein (Figure 6), introducer Ascendra of 24 fr is placed and through this the delivery transapical system with an Edwards Sapien #26 (Edwards Lifesciences, Irvine, California) valve, after corroborating the proper position with fluoroscopy in right anterior oblique projection, the valve is released successfully (Figure 7). Transesophageal echocardiography performed during the procedure shows the dysfunctional prosthetic mitral valve with a mean gradient of 25 mmHg, the apex is located for the surgical intervention, and is verified in two and four cameras projection, coaxiality with needle and introducer is verified, biological prosthetic valve is intersected with guide and introducer, the deployment of percutaneous mitral valve on longitudinal axis of 3 cameras (120o) is monitored, and the proper position of the valve is verified, without identifying paravalvular leak, appropriate opening/closure and mean gradient of 3 mmHg (Figure 8). Introductors and delivery system are removed, the apex is closed by knotting the two sutures in bag snuff previously set, a pericardial effusion was shown by transgastrical projection, restricted exclusively to posterior wall without hemodynamic effects on right cavities, monitoring is performed by subcostal window observing a separation of sheets of 15mm, repair apex was performed with prolene 2-0 due to a left ventricle tear, contained without further complication; pericardium and chest wall is closed in layers, prior echocardiography subcostal drain is placed, and pacemaker is maintained with stimulation. Fluoroscopy time of 24 minutes, use of 22 milliliters of contrast, removing introducers and considering the procedure as successful.

Figure 6: Step by step of transcatheter mitral valve-in-valve implantation via a transapical approach: mitral bio-prosthetic valve in situ, seen by fluoroscopy (A). Mitral bio-prosthetic valve intersected by "Amplatz extra-stiff" guidewire and advanced to the left pulmonary vein (B). Ascendra introducer is placed and through this the delivery system (C and D).

Figure 7: Step by step of transcatheter mitral valve-in-valve implantation via a transapical approach: an Edwards Sapien #26 valve (Edwards Lifesciences, Irvine, California) is positioned within the Carpentier-Edwards biological valve #27 (A), successfully deployed (B), removing delivery system (C) and corroborating the proper position with fluoroscopy in right anterior oblique projection (D).

Figure 8: Transesophageal echocardiogram with three-dimensional reconstruction of the mitral valve after implantation, during systole (A) and diastole (B).
The patient was transferred to an intensive coronary care unit, in which courses without immediate complications, with the support of norepinephrine and mechanical ventilation; is extubated within 24 hours and vasoactive amines are removed within 48 hours of the procedure, within 72 hours pacemaker is removed, remaining in sinus rhythm and with adequate heart rate without requiring the placement of a definitive device, removing the subcostal drain subcostal prior assessment of cardiothoracic surgeon. It was decided to continue hospitalization for 5 days due to lower respiratory tract infection, improving to remission. The hospital discharge is decided on January 2016, to continue outpatient follow-up, referring the patient in NYHA functional class I. After 6 months follow-up remains in NYHA functional class I. Transesophageal echocardiogram reported a non-dilated left ventricle with ejection fraction of 70%; dilated left atrium with LAVI of 39 mL/cm2; non-dilated right ventricle with normal rest wall thickening, TAPSE 21; normofuncional percutaneous mitral prosthesis in adequate position (within bio-prosthesis) with maximum peak velocity of 1.6 m/s, maximum gradient 10 mmHg, mean gradient to 5 mmHg, valve area of 1.7 cm2, without paravalvular leakage (Figure 5); structurally normal tricuspid valve without stenosis, lack of coaptation of the cusps that conditions mild regurgitation; structurally normal pulmonary valve without significant gradients, SPAP 60 mmHg.
Discussion
The transcatheter mitral valve replacement has recently emerged as one of the new therapeutic tools in the field of structural interventionism. Although transcatheter aortic valve replacement (TAVR) is a worldwide well established treatment for patients with symptomatic severe aortic stenosis considered at high surgical risk, in our country this experience is limited, nowadays even proven to be effective in patients with intermediate surgical risk, and in the near future could be effective for patients with low surgical risk, experience with transcatheter mitral valve replacement is in a very early stage of development and formerly of this case in our country was completely null.
The "valve-in-valve" procedure has demonstrated to be clinically effective in the treatment of the vast majority of patients with degenerated aortic and mitral bio-prosthesis.1 Since the first report in 2009,2 it has been followed by other published series confirming the effectiveness of the procedure,(3)-(6) significant clinical impact is proven and can anticipate its exponential growth as the number of mitral bio-prosthesis continues growing, creating a less invasive treatment option for mitral replacement, which is constantly expanding along with the elderly population considered at high surgical risk.
The first patients were treated using the balloon-expandable Sapien and Sapien XT valves (Edwards Lifesciences, Irvine, California), with good short- and midterm clinical outcomes. However, the first successful cases were implanted surgically via a transapical approach, as the initial attempts at transcatheter replacement via transseptal and transatrial access routes failed.(7)-(9)
In a multicenter registry report by Webb, et al; the results of 23 consecutive patients with a failed mitral bio-prosthesis who were successfully treated with transcatheter valve replacement via a transapical approach the success rate was 100%. There was no intraprocedural or 30-day mortality. At a median follow-up of 753 days, the survival rate was 90.4%, with the longest follow-up at 1,448 days. Clinical improvement in heart failure symptoms to New York Heart Association (NYHA) class I/II was observed in all but one patient (95.6%) at last follow-up.9
Favorable results have been reported in cases of replacement via a transeptal approach using the Sapien XT valve (Edwards Lifesciences, Irvine, California),(10),(11) and Melody valve (Medtronic),(12),(13) but the vast majority of reported cases have employed a replacement via a transapical approach.(3),(4),(14) Dvir et al reported the results in 70 patients included in the global registry VIVID (11.4% valve-in-ring, 88.6% valve-in-valve). All patients were treated with the Sapien valve (23 mm-22.9%, 26 mm-58.6% and 29 mm-18.6%). The transapical access was used in 85.7%, transeptal in 10% and transatrial in 4.3%. The device malposition occurred in 4.3%. The 30-day all-cause mortality rate was 10.3%, and 82.3% of patients remained in NYHA functional class I-II at 30 days.15
Due to a growing body of evidence indicating favorable outcomes, the Sapien XT transcatheter valve received.
CE Mark approval in 2014 for use in aortic and mitral valve-in-valve replacement to treat patients with failed bio-prostheses with high surgical risk.
Because of all the theoretical context exposed previously it was decided in our patient to perform the implantation of an Edwards Sapien #26 valve (Edwards Lifesciences, Irvine, California) via a transpical approach due to a suitable anatomy and a margin that allowed an optimum coaxiality for the valve deployment. The valve implantation was recorded as successful, being the first case of its kind in our country. The evolution of the patient was to improvement with decreased valvular gradients compared as initially reported, as well as a substantial decrease in the SPAP resulting in clinical improvement of functional class, remaining at 6 months follow-up in functional class I NYHA, there is still a lack of knowledge and experience with long-term follow-up worldwide. This being the first patient experience with outpatient follow-up, as well as a reference for following such procedures in Mexico.
The technology of transcatheter valve replacement has been extending to the different and increasingly more complex clinical scenarios in order to provide a new opportunity to treat patients with high surgical risk. These scenarios include: valve implantation in annuloplasty ring (valve-in-ring), implantation in regurgitating native mitral valve, and even implantation in stenosed native mitral valve. Counting today with recent manufacturated devices for these purposes, most of these still in experimental phase, among wich are the valves: CardiAQ (CardiAQ Valve Technologies, Inc.), Tendyne (Tendyne Holdings, Inc.), Tiara (Neovasc Inc.) and Fortis valve (Edwards Lifesciences).
Conclusions
Transcatheter implantation "valve-in-valve" in the mitral valve via a transapical approach in cases of failed biological prosthetic valves in patients with high surgical risk can be performed with minimal morbidity and low mortality. The clinical results are hemodynamically favorable in the short and medium term. The transapical approach has the best clinical outcomes in clinical trial reports. This is the first case of this procedure reported in Mexico.









nueva página del texto (beta)



