Servicios Personalizados
Revista
Articulo
Indicadores
-
Citado por SciELO -
Accesos
Links relacionados
-
Similares en
SciELO
Compartir
Archivos de neurociencias (México, D.F.)
versión On-line ISSN 1028-5938versión impresa ISSN 0187-4705
Arch. Neurocien. (Mex., D.F.) vol.9 no.2 Ciudad de México jun. 2004
Arch Neurocien 2004; Vol. 9(2):105-109
ARTÍCULO DE REVISIÓN
Hemorragia del núcleo caudado
SERGIO DIEGO VEGA BASULTO
Neurocirugía. Servicio de Neurocirugía Hospital Manuel Ascunce Domenech
Carretera Central Oeste Camagüey, Cuba.
CRISTINA RIVERO GARCÍA
Radiología. Servicio de Neurocirugía Hospital Manuel Ascunce Domenech
Carretera Central Oeste Camagüey, Cuba.
YAMMARA BETHANTES SOTOMAYOR
FREDDY G. GUTIÉRREZ MUÑOZ
Neurocirugía. Servicio de Neurocirugía Hospital Manuel Ascunce Domenech
Carretera Central Oeste Camagüey, Cuba.
Correspondencia:
Sergio Vega Basulto
Domingo Puentes No. 5. La Caridad, Camagüey,
70300, Cuba
E-mail: svega@finlay.cmw.sld.cu
Recibido: 10 noviembre 2003
Aceptado: diciembre 2003
RESUMEN
La hemorragia de núcleo caudado es una forma infrecuente de ictus en el paciente joven. Caso clínico: un varón de 28 años con antecedentes de hipertensión arterial, presentó cefalea frontal paroxística y pulsátil, náuseas y vómitos. No hubo déficit sensitivo motor ni trastornos visuales. Hubo rigidez nucal. Lo observaron agitado, desorientado en tiempo y espacio. Su conducta y la memoria cambiaron de forma notable. La tomografía computalizada evidenció una hemorragia localizada en la cabeza del núcleo caudado izquierdo y colapso del cuerno frontal del ventrículo homolateral. No existía sangre en el espacio subaracnoideo de la base ni en la región interhemisférica. Los estudios angiotomográficos y arteriograficos excluyeron malformaciones vasculares o aneurismas. Discusión: la hemorragia del núcleo caudado se caracteriza por su aparición en edades por debajo de los 40 años, frecuencia elevada de trastornos de la memoria y del lenguaje, una imagen tomográfica consistente en lesión hiperdensa localizada en la región periventricular del cuerno frontal del ventrículo, ausencia de sangre subaracnoidea o interhemisférica y buen pronóstico de la enfermedad. Es importante el estudio completo del paciente para precisar si existe un aneurisma de la región de la comunicante anterior o una malformación arteriovenosa.
PALABRAS CLAVE: hemorragia intracerebral, hemorragia del caudado, ictus hemorrágico, hipertensión arterial.
ABSTRACT
Caudate nucleus hemorrhage is an uncommon form of ictus in young patient. Clinical case: A 28 year-old male with antecedents of arterial hypertension, presented frontal paroxístic headache, nauseas and vomits. There were not motor or sensitive deficit neither visual dysfunctions. There was rigidity nucal. Patient was observed disturb, confused in time and space and their behavior and memory changed remarkable. Computerized tomography evidenced an hemorrhage located in the head of the caudate nucleus that collapsed the front horn of the homolateral ventricle. There was not blood at the subarachnoid space of the base neither in the interhemispheric region. Complete imaginolocal study excluded aneurysms or arteriovenous malformations Discussion: Caudate nucleus hemorrhage is characterized by its appearance in ages below the 40 years, high frequency of dysfunctions of the memory and speech, an hyperdense lesion located in the peri-ventricular region of the front horn of the ventricle, absence of subarachnoid and interhemispheric blood and good prognosis of the illness. It is mandatory a complete imaginological study to ruled out an aneurysm or arteriovenous malformations.
KEY WORDS:caudate hemorrhage, caudate nucleus, hemorrhagic ictus, arterial hipertension.
Las hemorragias intracerebrales constituyen el 10 -30% de todos los ictus. Su mortalidad es elevada, entre el 29 y el 84 %, con una media del 40 al 55%. La edad, el estado clínico del paciente, el volumen del hematoma, la extensión al sistema ventricular y la localización, sobre todo en los núcleos basales, son factores que determinan una mayor mortalidad 1.
Cada localización de las hemorragias intracerebrales tiene rasgos clínicos e imaginológicos que permiten diferenciar a las ubicadas en el putamen, tálamo, cerebelo, tallo cerebral y de la sustancia blanca lobar. Estas lesiones hemorrágicas se producen por la ruptura de pequeñas y profundas ramos arteriales perforantes que irrigan esas estructuras anatómicas 2.
Es importante conocer la localización de la hemorragia para precisar el origen del sangrado, orientar el estudio del paciente y adoptar una adecuada conducta médica o quirúrgica.
La hemorragia del núcleo caudado ha sido reportada con muy poca frecuencia y la posibilidad creciente de realizar estudios tomográficos a todos los pacientes con ictus hemorrágico ha incrementado esa contingencia en los últimos años 3.
El núcleo caudado es una parte importante del circuito que conecta las zonas corticales y subcorticales relacionadas con la cognición y la conducta. Su irrigación depende de ramos arteriales perforantes profundos de la arteria cerebral anterior proximal y de la arteria cerebral media. Su vecindad con estructuras como el ventrículo lateral y la cápsula interna determina una elevada potencialidad de morbilidad y mortalidad.
Estamos seguros que la baja frecuencia de este tipo de hemorragia depende del poco conocimiento y divulgación de sus características clínicas.
OBJETIVO
De este trabajo es aportar un nuevo caso de hematoma de la cabeza del núcleo caudado y llamar a los neurocientíficos a reconocer con más asiduidad esta interesante afección.
CASO CLÍNICO
Un varón de 28 años, diestro, con antecedentes de hipertensión arterial hace 2 años, ingresó por cefalea frontal paroxística y pulsátil después de realizar ejercicios físicos. No había antecedentes de ingestión de drogas u otros medicamentos estimulantes. El dolor se hizo intenso y aparecieron nauseas y vómitos por lo que el paciente fue llevado al facultativo. El paciente refirió que no podía dormir del dolor. No había déficit sensitivo motor ni trastornos visuales. Hubo rigidez nucal. Estaba agitado, desorientado en tiempo y espacio y su conducta cambió de forma notable. Existieron trastornos de la memoria.
La tomografía computalizada evidenció una hemorragia localizada en la cabeza del núcleo caudado izquierdo y colapso del cuerno frontal del ventrículo homolateral. No existía sangre en el espacio subaracnoideo de la base ni en la región interhemisférica (figura 1).

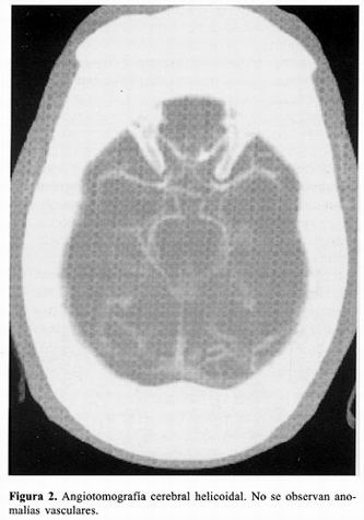
La angiotomografia cerebral helicoidal se realizó al tercer día y no se observó ninguna malformación vascular intracraneal (figura 2). La angiografía carotídea izquierda por inyección intraarterial del contraste yodado no evidenció lesiones aneurismáticas (figura 3).

El paciente ingresó en la sala de terapia intensiva y permaneció allí por siete días. Su evolución fue favorable. Egresó asintomático y se prescribió tratamiento para el control de la hipertensión arterial.
Repetimos la tomografía axial computalizada y la angiotomografia tres meses después del egreso y se observa curación del proceso hemorrágico. Este paciente ha evolucionado satisfactoriamente durante un año de seguimiento y no ha tenido más síntomas.
DISCUSIÓN
Antiguamente, los hematomas de los núcleos de la base se clasificaban en un sólo grupo; pero en la actualidad se distinguen dos: los mediales que incluyen los hematomas talámicos y del núcleo caudado y los laterales que comprenden los coágulos putáminocapsulares. Esta clasificación se basa en elementos clínicos y radiológicos3.
El núcleo caudado, igual que otros ganglios de la base, recibe irrigación arterial de los vasos perforantes de la arteria cerebral anterior y media. Los ramos caudados mediales proceden de la arteria recurrente de Heubner y de la arteria cerebral anterior proximal y los ramos caudados laterales se originan en la porción proximal de la arteria cerebral media 3,4. Además, la localización paraventricular del núcleo caudado le permite, al igual que al tálamo, recibir irrigación de las arterias ependimarias que tienen un recorrido centrífugo, una extensión de 1.5 a 2 cm en la superficie del epéndimo y penetran de adentro hacia fuera en el parénquima cerebral. Las arterias paraventriculares, localizadas por debajo de la superficie del epéndimo, son ramas terminales de las arterias coroideas anterior, coroidea posterior y la rama estriatal de la arteria cerebral media y en ellas se originan con frecuencia pequeñas malformaciones vasculares periependimarias.
Caplan 3 ha observado, en estudios patológicos, pequeñas malformaciones vasculares congénitas de los vasos de esta región no visibles en los estudios imaginológicos que pueden ser causantes de hemorragias del núcleo caudado.
Los mismos procesos que afectan a las arterias del putamen y el tálamo en la hipertensión arterial (lipohialinosis, formación de microaneurismas y necrosis fibrinoide), pueden también lesionar los vasos perforantes y periependimarios del núcleo caudado y explicar la aparición de hemorragias en ese sitio 2.
Stein, et al4 en estudios necrópsicos de hemorragias intracerebrales, encontró que el 50% de las hemorragias de los núcleos basales involucró también al núcleo caudado; pero no halló lesiones localizadas, exclusivamente, en este núcleo. La extensión de las hemorragias a otros territorios adyacentes a los núcleos basales determinó cuadros clínicos polimorfos y difíciles de distinguir unos de otros.
Caplan 3Stein, et al4 y Weisberg 5 analizaron un grupo de pacientes con hemorragias localizadas en el núcleo caudado y encontraron los siguientes rasgos clínicos imaginológicos comunes: aparición en edades por debajo de los 40 años, frecuencia elevada de trastornos de la memoria, conducta y del lenguaje, una imagen tomográfica con una lesión hiperdensa localizada en la región adyacente al cuerno frontal del ventrículo lateral, ausencia de sangre subaracnoidea o interhemisférica y buen pronóstico clínico. Todos estos rasgos estuvieron presentes en nuestro paciente.
De ocho pacientes reportados en la literatura 3,5,6, 6 eran menores de 40 años. Este hecho resulta significativo porque las hemorragias intracerebrales del hipertenso son lesiones más frecuentes en la quinta y sexta década de la vida y no en pacientes de menor edad.
Algunos autores 7-10 han relacionado la hemorragia intracerebral precoz con la ingestión de drogas o de sustancias estimulantes; pero el interrogatorio intencionado de nuestro paciente negó este hecho, que en nuestro país no es un problema médico ni social, aunque si lo es en otros. En un estudio necrópsico de 83 casos de fallecimiento por hemorragias cerebrales aneurismáticas, Davis y Swalwell 9 encontraron una historia de drogadicción en 13 pacientes (15%). El consumo crónico de cocaína u otros estimulantes 9 predispone a la hemorragia intracraneal o hace que las malformaciones vasculares se manifiesten, en su historia natural, antes que en los no consumidores. La hipertensión arterial, que es uno de los efectos farmacológicos de esas drogas, es el factor desencadenante de la ruptura de los vasos normales o malformados 10.
La estimulación de la cabeza del núcleo caudado, en gatos, ha tenido efectos autonómicos como la inhibición del tono vesical y la reducción de la actividad secretora de las glándulas sudoríparas; pero este efecto no se ha confirmado en el hombre 11.
Los trastornos de la memoria son prominentes en las lesiones del núcleo caudado; pero Stein et al 4 los ha observado también, en los pacientes con sangre intraventricular o dilatación ventricular abrupta de cualquier causa. La extensión de una hemorragia al tálamo puede contribuir también a la pérdida de memoria; pero la estimulación de la cabeza del núcleo caudado en humanos produce vaguedad, trastornos de la memoria y conducta inapropiada, que comienza al final del estímulo y se extiende de 15 a 20 min 11. Este efecto es similar al observado en los hematomas de este núcleo.
Las hemorragias del caudado, por la localización de la sangre, deben diferenciarse de las hemorragias intraventriculares primarias y de los sangrados de los aneurismas de la arteria comunicante anterior y de la arteria cerebral media proximal 3,11. Por eso resulta indispensable el estudio angiográfico o la angiorresonancia. En los aneurismas de la arteria comunicante anterior, la sangre diseca el espacio subaracnoideo de la base hacia arriba, hasta llegar a los ventrículos y el cuerpo calloso y se acumula en el espacio interhemisférico inferior. Algo similar ocurre en los aneurismas de la arteria cerebral media. En la hemorragia del caudado no hay sangre en la base craneal ni en el espacio interhemisféricos 12,13.
Según Caplan 3 los pacientes con hemorragias del núcleo caudado pueden clasificarse en dos grupos: el grupo I en el cual el sangrado se localiza en el ventrículo y el grupo II cuando la sangre diseca los tejidos neurales alejándose medial o lateralmente de esa cavidad. El cuadro clínico del grupo I es similar al de una hemorragia subaracnoidea o intraventricular. En los pacientes del grupo II aparecen hemiparesias, trastornos sensitivos, del lenguaje y problemas neuroftalmológicos, como trastornos campimétricos y desviación conjugada de la mirada hacia el lado de la hemorragia. Si la hemorragia se extiende inferiormente, afectan la región rostral hipotalámica, donde están las fibras simpáticas y determinan un síndrome de Horner o una anisocoria 1-3,6.
De acuerdo a esta clasificación, nuestro paciente perteneció al grupo I de Caplan 3.
La hemorragia del núcleo caudado no se consideraba antes como una entidad clínica independiente. Después del advenimiento de la tomografía computalizada, se ha podido delinear con más exactitud la localización y extensión de muchas hemorragias y correlacionarlas con sus cuadros clínicos. Con anterioridad, muchos pacientes con hemorragias del caudado deben haber sido diagnosticados erróneamente como hemorragias putaminales, hemorragias subaracnoideas con estudios arteriograficos normales o hemorragias intraventriculares primarias.
Estas lesiones hemorrágicas profundas se tratan médicamente. La atención en salas de terapia intensiva permite un buen control del estado clínico, buenos cuidados generales, ventilación adecuada, control de la tensión arterial, tratamiento de la presión intracraneal elevada y se evitan muchas complicaciones que prolongan la convalecencia del paciente 14. El tratamiento quirúrgico de estas lesiones no está indicado, salvo que se requieran métodos mínimamente invasivos o derivaciones ventriculares 15.
La hemorragia del núcleo caudado es una forma poco frecuente de hemorragia intracerebral, tiene un cuadro clínico característico y debe diferenciarse de los sangrados producidos por aneurismas intracraneales o malformaciones arteriovenosas. Pueden asociarse al consumo de drogas o estimulantes. Su curso es favorable y habitualmente no requieren de tratamiento quirúrgico. En el paciente que presentamos no se demostró ninguna malformación vascular.
REFERENCIAS
1. Bembribre R, Soto A, Díaz D, Hernández A. Epidemiología de la enfermedad cerebrovascular hemorrágica en la región central de Cuba. Rev Neurol 2001; 33: 501-4. [ Links ]
2. Hamilton MG, Zabramski JM. Intracerebral hematomas. En: Carter LP, Spetzler RF.(eds.) Neurovascular surgery. New York: McGraw-Hill 1995. [ Links ]
3. Caplan LR. Clinical features of spontaneous intracerebral hemorrhage. En: Kaufman HH. Intracerebral hematomas. New York: Raven Press. 1992. [ Links ]
4. Stein RW, Kase CS, Hier DB, Caplan LR, Mohr JP, Hemmati, et al . Caudate hemorrhage. Neurology 1984; 34: 1549-54. [ Links ]
5. Weisberg L. Caudate hemorrhage. Arch Neurol 1984; 41: 971-4. [ Links ]
6. Wada S, Fujimoto K, Okada M, Miyazaki M, Tanaka Y. Caudate hemorrhage. Neurosurgery 1986; 18: 445-50. [ Links ]
7. Vilalta J. Cocaina y enfermedad cerebrovascular en adultos jóvenes. Rev Neuro l 2000; 31: 1273-6. [ Links ]
8. Blanco M, Diez Tejedor E, Vivancos F, Barreiro P. Cocaina y enfermedad, cerebrovascular. Rev Neurol 1999; 29: 796-800. [ Links ]
9. Davis GG, Swalwell CI. The incidence of acute cocaine or methamphetamine intoxication in deaths due to ruptured cerebral (berry) aneurysms. J Forensic Sci 1996; 41: 626-8. [ Links ]
10. Oyesiku NM, Colohan ART, Barrow DL, Reisner A. Cocaine-induced aneurysmal rupture: an emergent negative factor in the natural history of intracranial aneurysms? Neurosurgery 1993, 32: 518-26. [ Links ]
11. Pérez Álvarez F, Timoneda Gallart C. Conductas emocionales como disfunción neurológica. Rev Neurol 2002; 35: 612-24 [ Links ]
12. Escosa Bagé M, Sola RG. Indicaciones quirúrgicas de la hemorragia intracerebral no traumática. Rev Neurol 2001; 32: 1060-2. [ Links ]
13. Broderick JP, Adams HP, Barsan W, Feinberg W, Feldman E, Grotta J, et al. Guidelines for the management of spontaneous intracerebral hemorrhage. A statement for healthcare professionals from a special writing group of the Stroke Council. American Heart Association Stroke 1999. [ Links ]
14. Lainez JM, Pareja A. Tratamiento médico de la hemorragia intracerebral. Rev Neurol 2000; 31:174-9. [ Links ]
15. Escosa-Bagé, Sola RG. Indicaciones quirúrgicas de la hemorragia intracerebral no traumática. Rev Neurol 2001; 32: 1060-2 [ Links ]













