ANTECEDENTES
La hemoglobinuria paroxística nocturna, también llamada síndrome de Marchiafava-Micheli,1,2 es un trastorno adquirido de la célula madre hematopoyética, muy poco frecuente, que se manifiesta con un cuadro clínico variado, en el que destacan: hemólisis intravascular, hemoglobinuria, aplasia medular y episodios trombóticos.3,4 Puede manifestarse a cualquier edad, pero afecta preferentemente a adultos jóvenes en la tercera década de la vida.4,5
La incidencia de hemoglobinuria paroxística nocturna en todo el mundo es de 1 a 10 casos por millón de habitantes, en la etapa adulta afecta en igual proporción a hombres y mujeres.6,7 En la actualidad no existen en Ecuador datos epidemiológicos de la enfermedad.
CASO CLÍNICO
Paciente masculino de 32 años de edad, obrero de construcción, sin antecedentes familiares de importancia, con antecedente personal de dos hospitalizaciones (hacía cinco y dos años) en otra casa de salud por episodios de ictericia, anemia, astenia, adinamia e hiporexia; en la última hospitalización recibió una transfusión de dos concentrados de glóbulos rojos y tratamiento con prednisona a dosis de 40 mg/día durante seis semanas. Ingresó al servicio de Medicina Interna del Hospital General Docente de Calderón, con dolor abdominal, localizado en el hipocondrio derecho, de tipo cólico, de moderada intensidad (escala visual análoga: 6/10), irradiado hacia la región lumbar y al hombro derecho, se acompañaba de astenia, sensación de alza térmica y hematuria macroscópica.
En sus signos vitales se evidenció presión arterial de 140/90 mmHg, frecuencia cardiaca de 112 latidos por minuto, 18 respiraciones por minuto, temperatura axilar de 37°C y 99% de saturación de oxígeno en la pulsioximetría. Piel: palidez generalizada e ictericia en las escleras y la mucosa sublingual (Figura 1). Abdomen: suave y depresible, doloroso a la palpación profunda en el epigastrio y en el hipocondrio derecho, no se palparon visceromegalias.
En las pruebas complementarias los hallazgos más destacados fueron: leucocitos: 5240/mm3, neutrófilos: 68.8%, hemoglobina: 7.81 g/dL, hematócrito: 25%, reticulocitos 4.27, plaquetas: 224,000/mm3, Coombs directo negativo, creatinina: 0.96 mg/dL, glucosa plasmática: 127 mg/ dL, triglicéridos: 346 mg/dL, proteína C reactiva: 12 mg/dL, velocidad de eritrosedimentación globular: 28 mm/h, ALT: 16 U/L (0-55), AST: 53 U/L (5-34), bilirrubina total: 16.7, bilirrubina directa:1.3, bilirrubina indirecta: 15.4 y hemoglobinuria (Cuadro 1).
Cuadro 1 Valores de biometría hemática durante la hospitalización y frotis en sangre periférica al ingreso.
| Fecha | Biometría hemática | Frotis en sangre periférica | |||||
|---|---|---|---|---|---|---|---|
| Leucocitos | Neutrófilos (%) | Hemoglobina | Hematócrito | Plaquetas | Reticulocitos | Serie roja: macrocitosis redonda++, basofilia difusa++, dacriocitos++, esferocitos+ | |
| 31-05-18 | 5.24 | 68.8 | 7.81 | 25 | 224 | 14.27 | |
| 01-06-18 | 4.54 | 71.9 | 6.25 | 20 | 154 | 15.51 | |
| 02-06-18 | 4.81 | 87.7 | 8.8 | 26.2 | 170 | Serie blanca: cantidad normal, morfología conservada | |
| 04-06-18 | 6.95 | 75.2 | 9.9 | 31 | 190 | ||
| 12-06-18 | 4.1 | 47.4 | 11.1 | 35.5 | 249 | ||
| 17-06-18 | 4.9 | 67.2 | 11.3 | 34.5 | 248 | Serie plaquetaria: cantidad normal, morfología normal | |
El estudio de citometría de flujo en la médula reportó: hiperplasia eritroide (42%) con cambios diseritropoyéticos e identificó dos poblaciones celulares patológicas, una (44%) débilmente positiva a CD55 y CD59 y otra (30%) constituida por células tipo 3 que no expresaban CD55 y CD59.
El paciente recibió transfusión de dos concentrados de glóbulos rojos, hidratación intravenosa, antipiréticos y profilaxis antitrombótica.
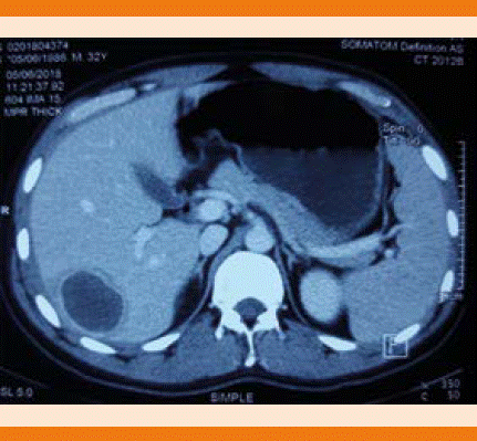
La tomografía de abdomen evidenció una lesión hipodensa localizada en el segmento VII del hígado, con tamaño de 3 x 3.4 cm, hallazgos compatibles con absceso hepático (Figura 2). Se realizó punción el absceso y se drenaron aproximadamente 20 mm3 de líquido purulento, además, se inició tratamiento antibiótico empírico con ceftriaxona y metronidazol, el cultivo del líquido purulento drenado no reportó crecimiento bacteriano.

Figura 2 Estudio tomográfico de abdomen; se evidencia lesión hipodensa en el segmento hepático VII, de 3 x 3.4 cm y densidad de 24 UH con realce periférico a la administración de contraste intravenoso.
El paciente evolucionó favorablemente al tratamiento prescrito. Luego de 15 días de tratamiento antibiótico intravenoso fue dado de alta para continuar el tratamiento de forma ambulatoria dos semanas más.
DISCUSIÓN
La hemoglobinuria paroxística nocturna se distingue por anemia hemolítica intravascular, tendencia a trombosis y afectación variable de insuficiencia medular.8
Una mutación clonal somática adquirida del gen PIGA, situado en el brazo corto del cromosoma X, que codifica el GPI (glucosil-fosfatidil-inositol) del grupo A, ocasiona deficiencia en las concentra- ciones de este glicerofosfolípido necesario para el anclaje de proteínas de membrana. Esto conlleva a un defecto en la expresión de los inhibidores fisiológicos de la activación del complemento: inhibidor de lisis reactiva de la membrana MIRL (CD59) y el factor acelerador de la degradación del complemento DAF (CD55),1,9 que concluye en la lisis eritrocitaria de las células más sensibles. La mutación de la célula multipotencial puede producirse en pocas células, pero la posterior expansión clonal determina la expresión clínica.1
Existen tres variantes clínicas: 1) hemoglobinuria paroxística nocturna clásica: afecta a individuos jóvenes, con anemia intravascular crónica. 2) Hemoglobinuria paroxística nocturna asociada con anemia aplástica: representa 10% y se vincula con dos o tres citopenias (Hb < 10 g/ dL, neutrófilos < 1000/L, plaquetas < 80,000/L), y 3) hemoglobinuria paroxística nocturna subclínica: se manifiesta cuando el clon de hemoglobinuria paroxística nocturna es < 1%.3,10,11
En términos clínicos, el paciente tuvo algunos de los síntomas patognomónicos de la enferme- dad comenzando por la anemia normocítica, normocrómica, con reticulocitosis, Coombs directo negativo, manifiesta en palidez, astenia y hemoglobinuria, ictericia generalizada; estas manifestaciones clínicas episódicas duraron un periodo de cinco años aproximadamente.4,8,11,12
Los episodios de hemólisis se relacionan con procesos infecciosos que se atribuyen a alteraciones de los leucocitos, mismos que pueden mostrar defectos en la quimiotaxis y fagocitosis debido al aumento de su lisis mediada por complemento, así como también disminución de la expresión de proteínas de membrana.1
En el caso del paciente se plantea que el proceso hemolítico se exacerbó secundario al absceso hepático, cuya génesis se relacionó con la inmunosupresión generada por la exposición prolongada a corticoesteroides (Figura 2).
Se descartaron, además, otras citopenias (trombocitopenia, leucopenia) y mediante métodos de imagen la no relación con fenómenos trombóticos concomitantes, se sabe que estos últimos representan la principal causa de morbilidad y mortalidad (40-67%).
En los últimos años se ha asociado con terapias conocidas: andrógenos, eritropoyetina, trasplante de médula ósea, administración del anticuerpo monoclonal eculizumab como inhibidor del complemento, que disminuye la hemólisis, la necesidad transfusional, el riesgo trombótico, lo que permite mejorar la calidad de vida del paciente.4,13-15
La supervivencia media es de 10 a 15 años tras el diagnóstico y está influida por la variabilidad de manifestación y fenómenos trombóticos, que se relacionan principalmente con aumento de la mortalidad.
Se presume que la hemoglobinuria paroxística nocturna está infradiagnosticada en Ecuador por la falta de recursos del sistema de salud, problemática COMÚN en países en vías de desarrollo por la limitación de los métodos diagnósticos que representan alto costo y difícil acceso a pacientes y profesionales de la salud. También existen limitaciones en cuanto al tratamiento, los anticuerpos monoclonales son la mejor alternativa, pero tienen costo elevado, lo que complica la oferta de tratamiento a los pacientes y disminuye su expectativa y calidad de vida.2
Éste es el primer caso en el que se describe la coincidencia de estas dos enfermedades.










nueva página del texto (beta)



